Cookie Consent byPrivacyPolicies.comdepose d inlay sur incisive latérale : ca me donne chaud - Eugenol

depose d inlay sur incisive latérale : ca me donne chaud

nanefredo

09/01/2014 à 16h37

re bonjour,
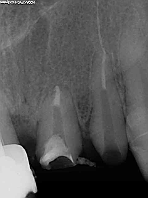
voila j ai entrepris de déposer un inlay sur 21 22 ci joint radio : j y arrive pas : j ai détouré l inlay de 22 pour lui donner ne forme arrondi , fait une tranchée entre l inlay et la dentine et j ai passé les ultrasons pneumatiques et les ultrasons classiques
ça me fait transpirer : j ai peur que ca se termine en extraction par ma faute si je fracture la dent toute grignette un conseil ?
bon j arrive pas à joindre ma retro je sais pas pourquoi ?


Avatar eugenol pe0ymx - Eugenol
nicklebenou

09/01/2014 à 16h52

elle doit être trop volumineuse. sinon essaye de changer de navigateur internet style mozilla firefox


003 penrd2 - Eugenol
Cingulum

09/01/2014 à 17h38

Extracteur de Gonon Thomas...

--
Dr Cingulum
-----Ancien interné----
----Attaché à l'apex----
http://www.clinic-all.fr/ formation par passion


copioche

09/01/2014 à 19h07

il nous faut ta radio!


Capture d  cran 2015 03 12 12.28 - Eugenol
chicot29

09/01/2014 à 22h50

Ben tiens cette semaine j'ai eu le meme problème sur une richemond sur 21. Je me suis résolu à la laisser car j'ai eu peur de virer la racine avec en forcant trop. Transformée en inlay-core elle a fini par partir ..... dans l'empreinte (les vibrations dues à la préparation l'ont descellée assurément) et j'ai donc pu faire mon rte et une nouvelle empreinte.)))))))
Bon en général j'y arrive sans soucis mais toujours avec de l'appréhension en détourant la base de l'inlay core pour donner prise au davier.
Est ce que quelqu'un utilise le wam X et en est satisfait ? histoire de m'éviter un coup de stress à chaque fois ?

http://www.wamkey.com/FR/produit/55-/WAMX-Descellez-tenons-faux-moignon-richmonds-pivots

R1 xt8olq - Eugenol
R2 wtk2ro - Eugenol
R3 kwztrq - Eugenol
R4 l0an8x - Eugenol

marcus

09/01/2014 à 23h02

c'est quoi un "inlay" sur une incisive laterale ?
Une obturation du cingulum ?

Dans ce cas c'est vrai çà "donne chaud" !

Je dis çà,je dis rien !


Capture d  cran 2015 03 12 12.28 - Eugenol
chicot29

09/01/2014 à 23h13

Il faut comprendre inlay-core évidemment, gros malin. Un inlay sur une incisive ca serait plutôt le coté "imaginatif" de Catherine pour faire des dépassements sur les soins.)))))))


Avatar eugenol pe0ymx - Eugenol
nicklebenou

10/01/2014 à 00h49

salut chicot j'ai le wam x depuis qq mois; je n'ai eu l'occasion de m'en servir qu'une seule fois. Aucun souci d'utilisation mais c 'était sur une 26 avec un tenon normal de 5-6mm d'ancrage dans une racine palatine costaud. J'ai fait mes encoches en palatins. C'est ça le plus embêtant à faire sinon ras.
Avis aux autres..


Bebe 038 nf8eum - Eugenol
danteyeah

10/01/2014 à 03h55

chicot29 écrivait:
------------------
> Est ce que quelqu'un utilise le wam X et en est satisfait ? histoire de m'éviter
> un coup de stress à chaque fois ?
>
> http://www.wamkey.com/FR/produit/55-/WAMX-Descellez-tenons-faux-moignon-richmonds-pivots

Je me suis équipé d'une WamX dés 2006, et cela m'a bien depané des dizaines de fois depuis, il est vrai aussi que 2 fois sur 3 le tenon se descelle après fraisage de préparation et US. Le mois dernier j'ai descellé mes premiers tenons collés au Superbond, autant te dire que j'angoissais rien qu'à l'idée. Au final ça m'a bien pris une bonne demi heure pour 2 tenons (à comparer au 5 minutes Max pour un simple descelement avec ciment ou VIO), mais c'est sorti, et sans stress pour les racines.
Ce joujou est hautement recommandable, son seul inconvénient est qu'il oblige souvent à réduire un peu la hauteur de racine résiduelle pour laisser passer les "mords" de la pince; et que son utilisation n'est pas innée mais nécessite une petite courbe d'apprentissage. En tous cas le gars qui a inventé les Wam est un génie.


Capture d  cran 2015 03 12 12.28 - Eugenol
chicot29

10/01/2014 à 04h25

OK. Un peu comme les physics forceps avec lesquels au début tu te demandes dans quel sens les utiliser. Une petite courbe d'apprentissage est également nécessaire pour "sentir" les appuis et le mouvement. Merci.


excavateur

10/01/2014 à 13h05

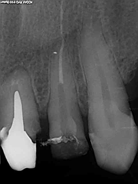
Que s'est-il passé sur l'endo 22 chicot, c'est mes yeux ou tu as bien dépassé ?


Capture d  cran 2015 03 12 12.28 - Eugenol
chicot29

10/01/2014 à 15h23

A priori oui, image bizarre en général ca fait un puff à l'apex.


nanefredo

10/01/2014 à 18h09

voici ma radio
qu en pensez vous ?


youn

11/01/2014 à 02h07

C'est large et assez court : Transmétal jusqu'à ce que le tenon saute. Tu fraises dans le canal si il faut. Au bout d'un moment il va venir. Tu passes les ultrasons régulièrement pour essayer de faire sauter. Mais au pire dans un cas comme ça je fraise jusqu'au bout du tenon, c'est moins dangereux que de tenter de tirer, tu ne cassera pas la dent.


Pa050055 igyagy - Eugenol
mark

12/01/2014 à 14h12

le principal écueil de la dépose d'un IC est de préserver au maximum ce qui reste de la dent sans la casser

les extracteurs de pivot type Gonon ou Wam nécessitent la réalisation d'un espace horizontal et il est bien difficile de n'entamer que le métal

par ailleurs le fait d'exercer une pression sur la dent, même avec l'usage de bagues amortissant et répartissant l'effort sur celle-ci (Gonon) on n'est jamais à l'abri de faire sauter un pan de la préparation périphérique ancienne

beaucoup plus fastidieux, quand le risque pré-cité me parait considérable; je préfère passer plus de temps... et de matériel en sacrifiant au moins 2 fraises trans-métal particulièrement agressives, sur CA rouge, pour détourer tout le faux moignon jusqu'à isoler le tenon et son prolongement façonné au fraisage

à ce stade on évalue mieux le risque de l'usage d'un extracteur et j'avoue le plus souvent préférer le Gonon, car son système de vissage rend la traction plus progressive

hélas, la largeur des mors, rend quelquefois l'insertion impossible entre les dents adjacentes (latérale sup ou I<)

je ne néglige pas d'attaquer le ciment aux US et le cas échéant je m'en prend à minima au tissu dentaire avec un insert ET18D (diamanté)

l'usage d'un insert très épais et large pour transmettre les US sur le tenon isolé peu suffire à l'ébranler

en cas d'échec je dois alors sacrifier un peu plus de tissu en détourant le tenon plus bas avec une fraise de dépose tenon tungstène très longue et très fine avec partie travaillante courte

le fraisage au tungstène avec CA génère à lui seul des vibrations utiles à désorganiser le ciment, sauf s'il s'agit de résine.

Dans ce dernier cas l'attaque franche du ciment à la fraise fine ou à l'ET18D est pour moi la seule solution

Une fois l'espace suffisant sur le pourtour du 1/3 cervical de la racine on pourra poursuivre l'ébranlement du tenon aux US lisse

autre recours si on est certain d'avoir dégagé le tenon jusqu'à n'avoir plus que sa partie purement cylindrique, seulement la filière à pas inversé de Gonon/Thomas avec une bague souple de protection de la préparation périphérique. On ne s'aperçoit alors même pas du moment où le tenon se détache.


Capture d  cran 2015 03 12 12.28 - Eugenol
chicot29

03/02/2014 à 20h46

nicklebenou écrivait:
---------------------
> salut chicot j'ai le wam x depuis qq mois; je n'ai eu l'occasion de m'en servir
> qu'une seule fois. Aucun souci d'utilisation mais c 'était sur une 26 avec un
> tenon normal de 5-6mm d'ancrage dans une racine palatine costaud. J'ai fait mes
> encoches en palatins. C'est ça le plus embêtant à faire sinon ras.
> Avis aux autres..

Je reviens sur la dépose d'inlays core. Suite à un souci sur une dépose j'ai ressorti mon corona-flex de chez Kavo (acheté initialement pour la dépose des bridges). 1 encoche en vestibulaire et une en lingual ca n'a pas fait un pli et ce à la puissance minimale de l'engin. depuis je l'utilise régulièrement c'est trop de la balle.