Cookie Consent byPrivacyPolicies.comROG verticale posterieure - Eugenol

ROG verticale posterieure

Tumblr nbpd8ntwip1rsb3deo1 1280 hyinig - Eugenol
Enki

19/12/2014 à 15h28

Bravo !

Et merci pour la présentation et les précisions.


Android jyzura - Eugenol
Tavéca

19/12/2014 à 15h29

Juste pour critiquer, j'aurais enfouis un peu plus les implants pour prévenir d'une légère érosion crestale osseuse.
Mais sinon bravo, joli cas.


200106 10150128247663588 709988587 6466236 5598391 n d7mksb - Eugenol
hallboy

20/12/2014 à 23h36

top.....!


Smile beach jgh0a1 - Eugenol
Céramik

21/12/2014 à 05h51

Très bien ;-)


--
Céramik


Blason dql7mj - Eugenol
growler

21/12/2014 à 08h10

.


Blason dql7mj - Eugenol
growler

21/12/2014 à 08h18

super mac ! comme à ton habitude aucune improvisation, de la méthode et donc du résultat


Logo vuaztn - Eugenol
mac

12/01/2015 à 17h01

Tavéca écrivait:
----------------
> Juste pour critiquer, j'aurais enfouis un peu plus les implants pour prévenir
> d'une légère érosion crestale osseuse.


pourquoi tu penses qu'il va y avoir une érosion crestale?


Logo vuaztn - Eugenol
mac

20/03/2015 à 10h24

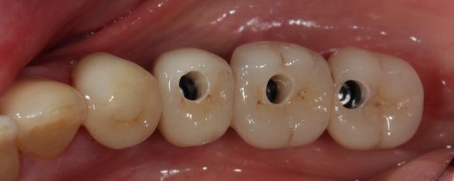
Bon ben voilà c'est fini, reste plus qu'a faire l'autre coté ;)




--
http://focusimplant-unitaire-posterieur.com/

Img 4431 so0uck - Eugenol
Img 4427 vd1sxf - Eugenol
Versini gs7unb - Eugenol
Img 4430 pddcyk - Eugenol

Photo 158 mluhia - Eugenol
robin

20/03/2015 à 10h36

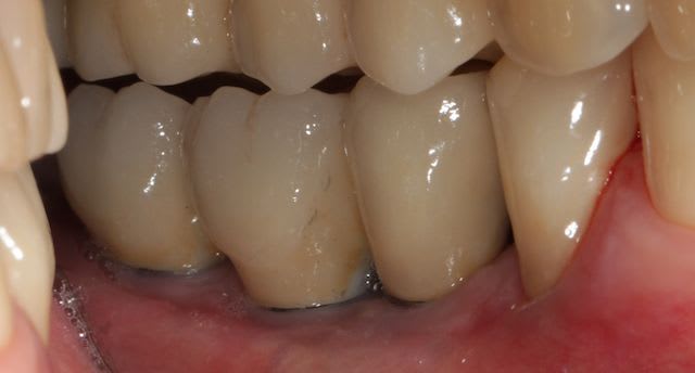
très jolie boulot..félicitations.


Logo vuaztn - Eugenol
mac

20/03/2015 à 10h42

Merci


--
http://focusimplant-unitaire-posterieur.com/


Grueavatar nptrc9 - Eugenol
Le Choixpeau magique

20/03/2015 à 11h23

Super Mac !


HDent

20/03/2015 à 18h33

superbe cas en effet, beau boulot


Fouilla h6plsy - Eugenol
fouilla

20/03/2015 à 19h08

beau propre reproductible du mac ...superbe

--
.


BucaR

21/03/2015 à 11h31

je suis débutant en implanto mais,
-Cà ne pose pas problème l'aspect granuleux de l'os crestal vu sur la rx?
-La 4 a été solidarisée au reste?


Blason dql7mj - Eugenol
growler

21/03/2015 à 11h39

de l'implanto dont tu peux être fier mac !


Logo vuaztn - Eugenol
mac

21/03/2015 à 19h18

BucaR écrivait:
---------------
> je suis débutant en implanto mais,
> -Cà ne pose pas problème l'aspect granuleux de l'os crestal vu sur la rx?
> -La 4 a été solidarisée au reste?


L'aspect granuleux ce sont des des granules de BIo-oss, je pense pas que cela pose problème.

non bien sur sûr la 4 n'est pas solidarisée.

--
http://focusimplant-unitaire-posterieur.com/


12