Cookie Consent byPrivacyPolicies.comPour Mr Couzinou la digue n'est pas indispensable - Eugenol

Pour Mr Couzinou la digue n'est pas indispensable

Egy194 ietbqd - Eugenol
tristanavi

12/01/2014 à 20h14

Voir la tribune de l 'information dentaire n°1 du 8 janvier dans lequel notre président du conseil de l 'ordre dit ne pas avoir apprécier que P. Missika déplore le fait (tout a fait vérifiable par les vendeurs) que la majorité des traitements endodontiques sont réalisés sans champ opératoire.Le nombre de sinistres de plusieurs centaines (sans compter ceux déclarés ailleurs qu'a la MACSF et ceux non déclarés ) ne semble pas émouvoir le moins du monde notre cher président. Ne prêtons pas le flanc aux critiques sur ce sujet des bonnes pratiques .Mettons la digue et réclamons la revalorisation des actes .Et que ce bon Docteur COUZINOU consacre son énergie à défendre efficacement notre profession sans corporatisme ni démagogie , nous le payons pour ça me semble t il.


Polymorphe

12/01/2014 à 21h47

La digue ?
Un peu de temps de perdu pour la mettre en place.
Beaucoup de TEMPS GAGNE lors du traitement.
CONFORT pour le praticien ET pour le patient.
SÉCURITÉ assurée : comme la ceinture de sécurité, c'est lors d'un accident (un instrument endo m'échappe des doigts) que l'on est content de l'avoir mise.
ASEPTIE : pas de salive (pleine de bactéries) dans les canaux)

" C'est nouveau docteur ?
- Non
- On ne me m'a jamais mis ça avant... Je ne vais pas pouvoir respirer..."

Je ne demande pas l'avis du patient... je la met et puis c'est tout.

Après le traitement endodontique :
"C'est bien votre machin (digue) !"

NOUS savons ... NOUS assurons la sécurité de nos patients.

(A la fac, je détestais la mettre : il allait balader le patient jusqu'à la salle radio, lime en place) mais ça, c'était avant :-)




Little shop of horrors brzqjx - Eugenol
chatondecarte

12/01/2014 à 21h57

C'est surtout qu'à la fac les crampons sont merdiques.


doctyoni

12/01/2014 à 22h08

J'ai l'article .
Il ne parle pas du tout de l'indispensabilité ou non de la digue .
Il dit juste que ,c'est un faux procès et que la majorité des praticiens essayent de travailler correctement .
Aprés pour etre franc , si les endos etaient rémunérées correctement , la qualité serait surement au RDV .

Entre les limes utilisation uniques , les cones de gutta , les l'hypochlorite , les cones de papier , le locapex ,le system B,les crampons , la digue et le temps passé . A 80 euros , je considere cela comme du bénévolat.


Capture d  cran 2015 03 12 12.28 - Eugenol
chicot29

12/01/2014 à 22h15

Le problème dans ce pays (qui est foutu) on prend les gens pour des cons. A des tarifs de merde traitements de merde en majorité, faut pas s'étonner et jouer les vierges effarouchées.
Mais bon ca ne va pas durer longtemps la relève roumaine arrive ! )))))))
Et + 1 pour les remarques de patients pourtant maintes fois pulpectés concernant la digue : c'est quoi ça ? c'est nouveau ?


levm

12/01/2014 à 22h31

Le problème en France , c'est qu'on est payé pour du tarif "Mac do" pour l'endo et on nous impose des exigences "menus gastronomiques 3 etoiles" pour le meme prix .


Egy194 ietbqd - Eugenol
tristanavi

12/01/2014 à 23h16

Mais enfin si vos gamins doivent se faire opérer de l 'appendicite et que le chirurgien vous dit qu'il n 'a pas mis de champ ou un truc de ce genre, au motif qu'il ne gagne pas grand chose sur cet acte vous lui répondez quoi ?
Que je sache nous pouvons encore "équilibrer" avec des actes non opposables.Et il va bien falloir souvent sceller une couronne ou coller un onlay. Les patients le comprennent très bien. La digue raccourci le temps de traitement et facilite la procédure donc où est le problème ?


Photo thumb 45 lnhuvp - Eugenol
wakrap

12/01/2014 à 23h22

tristanavi écrivait:
--------------------
où est le problème ?


Ouch qsooo8 - Eugenol

levm

12/01/2014 à 23h36

le problème ?
C'est justement qu'on doit jouer l'équilibriste à foutre un inlay core et une couronne pour rentabiliser le tout .
Des minis cavités deviennent des moignons dentaires surtaillés prêts à recevoir des couronnes .
On ne nous paye pas l'anesthésie et l'amalgame est au meme prix que le composite.
Le tenon fibré collé est moins bien honoré qu'un inlay core.

Disons que l'on fait au mieux avec ce que la NGAP nous offre.
Je ferais volontiers des soins conservateurs si mon salaire était le meme .


RépondreCiter
Egy194 ietbqd - Eugenol
tristanavi

12/01/2014 à 23h40

doctyoni écrivait:
------------------
> J'ai l'article .
> Il ne parle pas du tout de l'indispensabilité ou non de la digue .
> Il dit juste que ,c'est un faux procès et que la majorité des praticiens
> essayent de travailler correctement .
> Aprés pour etre franc , si les endos etaient rémunérées correctement , la
> qualité serait surement au RDV .
>
> Entre les limes utilisation uniques , les cones de gutta , les l'hypochlorite ,
> les cones de papier , le locapex ,le system B,les crampons , la digue et le
> temps passé . A 80 euros , je considere cela comme du bénévolat.

il faut lire entre les lignes.Il défend ses clients donateurs.T'en fais pas ,lui se fait soigner sous digue.Démago mais pas fou.


tarski

13/01/2014 à 10h27

la digue...pourquoi ??
pas d'endo, pas de digue...où est le problème ??

Faut se concentrer sur "ce qui rapporte"...l'endo, les soins : on s'en fiche !
Vive l'IC+CCM...


je précise : travaux fait ailleurs...tiens justement chez un protocolisé MGEN...no comment...

16 pasdendosousccm yl8wbi - Eugenol

Capture d  cran 2015 03 12 12.28 - Eugenol
chicot29

13/01/2014 à 11h17

Tu peux mettre la digue et faire une endo de merde. Mais il faut reconnaitre que celui qui met la digue en général s'applique sur son endo. mais bon un dentiste c'est un dentiste ils ont le même diplôme, moi je vais au moins cher.))))))


Marque a3 orange fyvhyq - Eugenol
Marc Apap

13/01/2014 à 11h24

Le problème c'est que tu as mis la charrue avant les boeufs : c'est "Pas de digue, pas de traitement endodontique". Donc allons droit au but au lieu de perdre bêtement du temps avec des actes non rentables. Une solution innovante somme toute.


Capture d  cran 2015 03 12 12.28 - Eugenol
chicot29

13/01/2014 à 12h12

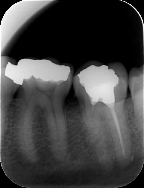
Ce que je ne comprend pas c'est coller un ic coiffe sur une merde pareille. L'effet boomerang est garanti et bonjour à te faire chier et à tout déposer. Quitte à faire de la merde je t'y aurais collé un amalgame-pouce opposable screw post dentatus inside.


80x80 image06 funny w4abq5 - Eugenol
bigcandy

13/01/2014 à 12h29

chicot29 écrivait:
------------------

> L'effet boomerang est garanti et bonjour à te faire chier et à tout déposer.

Le gars qui a fait cette merde ne se pose pas les mêmes questions que nous !

Quand cette molaire posera problème, il retombera sur ses pieds en extrayant la dent, en la remplaçant par un implant et en disant :
" c'est pas de chance Mme Michu, vous avez des dents qui font des abcès, c'est comme ça !votre dent a quand même tenu 3 ans, c'est déjà bien"

Le problème est surtout un manque de conscience professionnelle , de formation, et de retour sur investissement !

Bonne journée


tarski

13/01/2014 à 12h54

IC+CCM posé en juin 2013...abcès chronique, fistule, le patient retourne chez le confrère qui y fait ça, mais non il n'y a pas d'infection, mais il prescrit quant même des antibiotiques...on ne sait jamais...ça aurait pu marcher...

Tiens j'en rajoute une couche...c'était un protocole MGEN...

Mais je ne jette pas la pierre sur ce confrère.

Pour réagir sur la digue, ce n'est pas une fin en soi. Je ne l'utilise pas en endo jusqu'à présent. Je ne l'utiliserais pas en l'état actuel de la nomenclature. Je soigne selon les données CPAM NGAP...faut pas exagérer. Si des confrères s'amusent à faire des tr endo sous digue, sous microscope, gutta chaude pour 30 euros...pourquoi voulez vous une ré-évaluation des tarifs de soins ? alors que nous sommes prêts à soigner gratos...la belle affaire pour le gouvernement.

Je rêve d'un consensus au niveau de la profession où tous les confrères descendraient dans la rue en disant "stop, on ne peut plus assurer des soins de qualité vu les tarifs et donc pour éviter de mettre la santé de nos patients en jeux, on arrête certains soins ( endo, chir, avulsion).

Notre président a bien fait de réagir. Faut arrêter d'être plus royaliste que le roi. Bientôt on va nous obliger pour chaque avulsion, à mettre un pansement hémo + suture, pour chaque dét à faire un polissage à aéropolisseur, pour chaque consult : à faire des empreintes d'études et des photos, pour chaque compo : à mettre la digue etc etc.

Oui j'aimerais bien pratiquer comme cela, mais non en l'état actuel de la nomenclature !

Une dernière : tr endo fait à moitié...ben ouais le confrère croyait que le tarif actuel c'était juste pour un canal, pas pour les autres...ouarf ouarf !



37 demiendo weuubs - Eugenol

CHIRDENT

13/01/2014 à 13h50

Ce qui est pénible avec la nomenclature, c'est qu'elle biaise notre approche du patient.

Pour un soin nécessitant une dévitallisation, c'est devis d'inlay core d'abord, sinon la dévitallisation, ce n'est même pas la peine de commencer.........on perd de l'argent.

A partir de là, la digue est le meilleur moyen de faire de l'endo propre et d'éviter les emmerdes futurs........mais parfois, il faut une couronne pré endontique, etc....alors je comprends que certains esprits faibles n'en donnent que pour 80 €.

Mais cela n'empêche pas les moralisateurs des éditoriaux de cracher dans la soupe.


003 penrd2 - Eugenol
Cingulum

13/01/2014 à 19h10

surtout que la digue ça demande au moins 2 min à mettre ...


--
Dr Cingulum
-----Ancien interné----
----Attaché à l'apex----
http://www.clinic-all.fr/ formation par passion


Img 0052 dkvbyu - Eugenol
Leandro

13/01/2014 à 19h34

Vrai dans 80 % des cas...


Smile beach jgh0a1 - Eugenol
Céramik

13/01/2014 à 21h54

Cingulum écrivait:
------------------
> surtout que la digue ça demande au moins 2 min à mettre ...
>


Avec ta vitesse et ta dextérité, c'est 30 secondes maxi...

--
Céramik


P2eqdh3csim6s7nb09ktdq3e7ev8 - Eugenol
barbabapat

14/01/2014 à 09h59

Une question qui n'est pas abordée est pourquoi y a il une différence de prix si importante entre une endo low cost selon la nommenclature et une endo réalisée avec le DP avec la bénédiction de la secu.

Oui la non pose de digue ne passe pas l'epreuve judiciaire à cause de la perte de chance; mais à un moment, la différence de tarif sur les actes conservateurs entre un bénéficiaire du DP et le vulgus dentiste n'est il pas trop important pour que le vulgus dentiste puisse réaliser les soins avec la même qualité que le bénéficiaire d'un DP.

A trop pousser des tarifs easy jet, la sécu peut elle un moment croire qu'elle aura accès à un service de 1er classe air france.

Pourquoi alors ne pas defendre, l'endo au meme tarif, mais l'anesthesie en hn, la digue en hn, la condentation à chaud en hn, ........ avec une facture qui permettre au patient de faire son choix et d'avoir accès ou non à la possibilité de contestation judiciaire.


003 penrd2 - Eugenol
Cingulum

14/01/2014 à 10h00

un peu plus ...
https://www.dropbox.com/s/3k08f42dv6au669/digue.mp4

--
Dr Cingulum
-----Ancien interné----
----Attaché à l'apex----
http://www.clinic-all.fr/ formation par passion


Capture d  cran 2015 03 12 12.28 - Eugenol
chicot29

14/01/2014 à 11h19

barbabapat écrivait:
--------------------
> Une question qui n'est pas abordée est pourquoi y a il une différence de prix si
> importante entre une endo low cost selon la nommenclature et une endo réalisée
> avec le DP avec la bénédiction de la secu.
>

Parce que le praticien ayant droit au DP sur les soins fait sa prothèse moins chère vu qu'il n'a pas besoin de se rattraper . J'ai bon ?))))))


Capture d  cran 2015 03 12 12.28 - Eugenol
chicot29

14/01/2014 à 11h27

Ou bien est il nécessaire d'avoir une dentisterie haut de gamme pour soigner les apparatchiks du régime , (les parlementaires dont la complémentaire santé rembourse aux frais réels par exemple). C'est nécessaire dans ce pays du "bienvivreensemble".


Avatar kvapls - Eugenol
God Save the Fluide

14/01/2014 à 11h46

Moi, j'aurais bien envie de faire chier ces fameux politiques... On fait la chasse aux endo exclusifs et à tout les parisiens qui font des depassements sur les actes opposables... comme ça ils diminuerons leurs moyens de travail et donc la qualité, fuierons paris... et ces fameux politiques auront le droit enfin à une dentisterie moyenageuse


12...