Cookie Consent byPrivacyPolicies.comExtraction DS, dommage collatéral... - Eugenol
Capture ddc6bm - Eugenol
sumble

13/01/2014 à 19h29

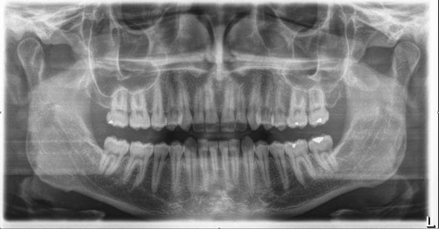
Extraction des 38-48 sous AG il y a 2 ans. Se plaint d'halitose depuis, avec parfois inflammation gingival vers le trigone.
Poche dans l'angle disto-vestibulaire de 37 d'au moins 5mm. Etat global tissulaire OK.
Il semble que 37 ait pris un coup de fraise.
Je pars pour une reconstruction du défaut au CVI.
Une autre idée?

Pano heoazj - Eugenol
En 3d z2ajv8 - Eugenol

olivier

13/01/2014 à 20h01

il n y a pas de cliché pre op ?


Aiguille cyboyt - Eugenol
fatboy

14/01/2014 à 05h24

Les reconstitution en distal des 7 sont hyper balaise. Pas de visibilite, sous gingivale, probleme d'acces.
Sans voir le cas (ce n'est qu'une humble opinion) tu devrais faire une elongation coronaire en distal, genre distale wedge et ouvrir une cavite en occlusal pour pouvoir mettre une matrice.
Sinon, tu as de grande chance de faire un boulot qui baigne dans le sang et la salive et d'avoir une belle reprise de carie dans 2 ans qui deviendront endo couronne.


 mg 0207 xwjxcl - Eugenol
Tillc

14/01/2014 à 19h25

C'est pas un coup de fraise c 'est typiquement la carie en distale de la 7 crée par la DDS.
Passe directement a IC/CCM tu vas gagner du temps
( elle a la meme de l lautre coté non ?)


Index vakr2r - Eugenol
pgc

14/01/2014 à 20h35

Tillc écrivait:
---------------
> C'est pas un coup de fraise c 'est typiquement la carie en distale de la 7 crée
> par la DDS.
> Passe directement a IC/CCM tu vas gagner du temps
...

+ 1


Capture ddc6bm - Eugenol
sumble

14/01/2014 à 21h34

Merci du conseil les gars :)