Cookie Consent byPrivacyPolicies.comIdentification implants. - Eugenol

Identification implants.

Img 5097 lxchd7 - Eugenol
Queixal

15/01/2014 à 19h50

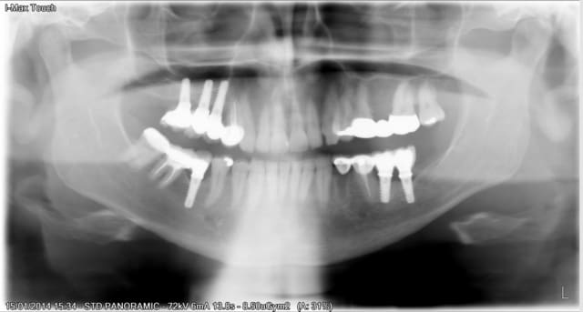
Patient qui vient pour faire un devis pour refaire son bridge en bas a gauche. La ceramique a explosée et dent 34 enlevée il y a un mois.
Son ancien prat lui a proposé de jumeler les implants avec la 35 et la 33 a tailler.Le patient judicieusement trouve le plan de traitement fumeux et vient pour un 2eme avis.

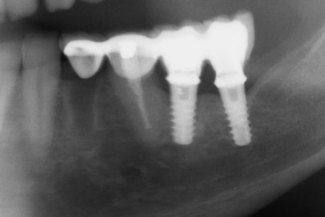
Ces implants ont été realisés en Espagne il a 2 ans.Aprés recherche sur oseosource je me demande s´il sagirait de Klockner.

Je ne sais pas coment faire pour voir une image plus grandesur Eugenol demain je posterias des agrandissements des implants.
Merci beaucoup.

Unknown x 2014 01 15 15 34 54 4 umlmbo - Eugenol

Photo pluton1b h9n4ea - Eugenol
pluton

15/01/2014 à 20h26

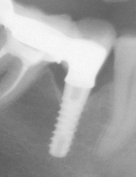
une rétro stp!!!!!

il me semble deviner un évent apical et un col sans spires....si oui, moi je pencherais plus pour çà...

http://osseosource.com/dental-implants/product_info.php?products_id=2432


Img 5097 lxchd7 - Eugenol
Queixal

16/01/2014 à 00h25

Merci demain je posterai une radio plus lisible.
Je pense que mon implant est a conexion externe, avec un col droit sans spires.
La forme evasée du col je pense qu' elle fait partie de la prothése.
Sur l' apex je pense qu'il y a une echancrure, mais pas de trou.

 4 zqgjdr - Eugenol
Sin t tulo njfp5r - Eugenol
Unknown x 2014 01 15 15 34 54 4 m2kqox - Eugenol

Img 5097 lxchd7 - Eugenol
Queixal

10/03/2014 à 14h56

J´avais vu juste le patient confirme "klockner nk2"


Photo pluton1b h9n4ea - Eugenol
pluton

10/03/2014 à 15h30

possible...
voilà ce que j'ai trouvé sur cet implant pas référencé sur osseosource...mais çà doit être le SK2...

http://www.klocknerimplantsystem.com/productos.php?prod=28


Img 5097 lxchd7 - Eugenol
Queixal

10/03/2014 à 17h22

Si ils sont sur osseosource mais sous le nom du fabricant soadco.