Cookie Consent byPrivacyPolicies.comPeriimplantite sur 37 conduite a tenir - Eugenol

Periimplantite sur 37 conduite a tenir

Gonzo k0qhwz - Eugenol
matten

17/01/2014 à 19h25

Salut les copains.

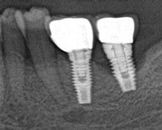
Voici la radio implants poses en 2007.
La radio ou tout va bien c'est 2009, et l'autre c'est aujourd'hui.

En bouche, asymptomatique, mais suppuration sulculaire presente. Pas de mobilite pour le moment.

Je comptais dans un premier temps faire un lambeau d'assainissement et recommander une irrigation sous gigivale bi-quotidienne avec antiseptique. dans un premier temps et reevaluer dans 3-4 mois.


A2 px tjwv10 - Eugenol
A2 xdxvle - Eugenol

youn

17/01/2014 à 19h38

Pour avoir fait ma thèse la dessus, dépose comble repose. Trop de spires exposées. Les méthodes de reconstruction marchent de temps en temps mais c'est aléatoire. Tu feras chier ton patient pour pas grand chose. Et le truc c'est que même quand ton comblement et/ou ton assainissement (au passage tu en es au stade du comblement si tu veux récupérer) tient tu n'obtiens pas une réostéointégration (ou très rarement) et tu as une interposition fibreuse, ce qui est beaucoup plus fragile.

Pour moi la meilleure attitude dans ce genre de cas, c'est dépose/comblement/repose, ça te coûte un peu mais t'es tranquille.

Certains te diront que je suis à l'ouest ou trop radical, mais la littérature est la seule à qui je fais confiance et elle est plutôt unanime.


S2y2o1v7q53ws4r5wy6ou8czrpom - Eugenol
pxav

17/01/2014 à 20h54

d'accord avec toi youn.

--
xbk
"Si tous ceux qui croient avoir raison n'avaient pas tort, la vérité ne serait pas loin" Dac Pierre


Img 8465 fqhxid - Eugenol
noahaxeltiger-olivier

17/01/2014 à 21h34

youn écrivait:
--------------
> Certains te diront que je suis à l'ouest ou trop radical, mais la littérature
> est la seule à qui je fais confiance et elle est plutôt unanime.

On a vraisemblablement pas lu la même litterature toi et moi !!


youn

17/01/2014 à 22h19

Ben vas-y dégaine hehehe! Je te répondrais avec les miens si tu veux.



Edit. après réflexion je dégaine le premier :

Tenenbaum 2012 Péri-implantites EMC Volume 7 n°6 décembre 2012. (je commence en Français.)


Photo pluton1b h9n4ea - Eugenol
pluton

17/01/2014 à 22h54

un duel youn/noah...;-))

je prends les pop-corn et le boulier pour compter les points...;-))

cela dit: j'ai vu une présentation à l'ADF de ROG sur périimplantites il y a 2 ans je crois, et les résultats étaient assez bluffants...mais il est vrai sur des implants usinés (les "vieux" Nobels...)

par contre, dans la situation montrée, j'aurais certainement dégainé le tourne à gauche...

c'est en tout cas un bon sujet...c'est pas tous les jours qu'on a çà a traiter (en tout cas pour moi) et il est intéressant de connaître les dernières options et méthodologies de traitement...


youn

17/01/2014 à 23h47

Ma thèse est confidentielle sinon je vous l'aurais postée.

Je ne dis pas que tu n'obtiens rien : à la radio tu obtiens un résultat, de l'os qui "repousse" mais en réalité il ne s'agit pas d'une réostéointégration vraie, avec une vraie interface os/implant mais d'une interface os/tissu fibreux/implant, ce qui est beaucoup plus fragile. C'est un peu comme le long épithélium de jonction que tu obtiens en traitant des parodontite, c'est plus fragile mais ça a au moins le mérite d'être là.

Implant usiné ou non le problème vient essentiellement de la désinfection, "stérilisation in vivo" de la surface désostéointégrée. Il suffit d'une couche de contaminants pour empêcher la couche de TiO2 de se reformer, or c'est elle qui est la garante de la bonne ostéointégration.

Tout le monde se pose des questions sur les différents protocoles à mettre en place :
-Quelle désinfection/irrigation? La chlorhexidine semble donner les meilleurs résultats, certains tentent des trucs plus ou moins farfelus en plus : eau oxygénée, acide citrique, aero-polisseur (perio-flow), laser, ozone gazeux...

A priori aucune méthode n'a prouvé une supériorité par rapport à la chlorhexidine.

On peut ajouter ou non des AB par voie systémique.

- Quels moyens de comblement? Os (tous types, auto-allo-xéno), substituts osseux, Bio-céramiques, protéines ostéo-inductrices (BMP-2 essentiellement, certains ont essayé en ajoutant de l'emdogain : amelogénine) sur éponge de collagène, avec ou sans membranes, renforcées ou non.

Là toutes les techniques marchent plus ou moins, et les quelques méta-analyses qu'il y a (qui déplorent toutes le manque de données fiables a comparer) ne donnent pas de différences statistiquement significatives.


La réponse de la litérature : pas assez de données fiables pour en conclure quoique ce soit. C'est le point clé qui ressort des articles de revues : les données sont trop rares et encore plus rarement fiables et méta-analysable.

Rien que pour la prévalence ça varie de 10% à 43% des implants et de 20% à 58% des sujets selon les études.

Voilà pour un petit point sur la péri-implantite.

Attention certains auteurs vont affirmer avoir des résultats et montreront des radios, mais il n'auront pas fait d'analyse histologique de l'interface obtenue. L'os néoformé obtenu est toujours mieux que rien, mais s'il s'agissait d'un autre domaine que la dentisterie tout le monde jugerait beaucoup plus prudent de déposer/reposer que de traiter de façon imparfaite. La dépose/repose est plutôt aisée en plus dans la plupart des cas. Donc en cas de péri-implantite avancée, pour le moment et après avoir essayer de faire le tour de la question, c'est ce que je ferais.


Gonzo k0qhwz - Eugenol
matten

18/01/2014 à 13h40

Pour retirer l'implant croyez vous que je peux essayer de la luxer en prenant appui en interproximal?

Une fois l'implant retire je curete les tissus ou pas? J'attends avant de combler ou pas? (attendre 3sem permettrait une fermeture etanche...)


S2y2o1v7q53ws4r5wy6ou8czrpom - Eugenol
pxav

18/01/2014 à 13h53

matten écrivait:
----------------
> Pour retirer l'implant croyez vous que je peux essayer de la luxer en prenant
> appui en interproximal?
>


un implant ce retire soit au tourne à gauche, soit au davier en tournant soit au trépan (scie cloche), ou à la fraise ultra fine mais surement pas en luxant avec appui interproximal.

ensuite curetage ou pas ça dépend un peu de ce que tu vas trouver, mais en principe curetage, et désinfection (betadine ou autre)
--
xbk
"Si tous ceux qui croient avoir raison n'avaient pas tort, la vérité ne serait pas loin" Dac Pierre


Gonzo k0qhwz - Eugenol
matten

18/01/2014 à 14h06

C'est quoi la marque du tourne a gauche ? Dans mon souvenir c'etait anthogyr mais je ne trouve rien sur google


Photo pluton1b h9n4ea - Eugenol
pluton

18/01/2014 à 14h39

tes implants, c'est du Nobel?
si j'ai bonne mémoire, la clef à cliquet chirurgicale est avec un carré standard...

donc, le plus simple, c'est chez Implant Direct...les 2 tourne à gauche IXT pour les implants (plus gros donc plus résistant) et SXT pour le petit qui sert surtout à dévisser les vis dont l'empreinte dans la tête est abimée...

45€ HT pour chaque, plus le port...(17€50TTC)

Ixt ts 1 ig5czr - Eugenol
Sxt 2 w9du4x - Eugenol

Smile beach jgh0a1 - Eugenol
Céramik

18/01/2014 à 18h39

Les quelques implants que j'ai déposé, j'ai simplement utilisé le porte implant standard du kit de pose, et j'ai dévissé...

Pourquoi utiliser un "tourne gauche" ?


--
Céramik


S2y2o1v7q53ws4r5wy6ou8czrpom - Eugenol
pxav

18/01/2014 à 20h03

parce que certaines fois l'apex est fortement osteointegré

--
xbk
"Si tous ceux qui croient avoir raison n'avaient pas tort, la vérité ne serait pas loin" Dac Pierre


Logo vuaztn - Eugenol
mac

18/01/2014 à 21h25

puisqu'on parle de péri-implantite j'ai un cas sur une 47 qui a évolué de façon très rapide, on peut voir qu'en 6 mois là ou j'avais une perte osseuse peu importante, j'ai eu une cratérisation très importante alors que les implants étaient en bouche depuis plus de 5 ans sans problèmes notables.

quelle est la conduite à tenir selon vous?



--
mac

http://focusimplant-unitaire-posterieur.com/

http://focusimplant-unitaire-posterieur.com/FLB-Formation-Plaquette.pdf

Test fpfato - Eugenol

youn

18/01/2014 à 21h48

Qu'est-ce qui a changé? Parce que en 6 mois c'est vif quand même.

Après c'est toujours pareil, faut faire un rapport emmerdements/coût et selon ce que tu sens tu choisis.

Mais faut que tu trouve ce qui a changé. Si tu ne trouves pas tente l'assainissement et vois ce qui se passe.

Tu peux tenter une chir, assainissement + comblement + refermeture + attente de quelques mois avant remise en charge. Ou déposer/reposer, là t'es un peu à la croisée des chemins (mais je pense que je choisirais encore la deuxième solution parce que niveau coût ça va pas te changer ta vie, ton cab prendra en réputation, "si ça déconne il assume" et tu retombes en terrain mieux connu et probablement beaucoup moins de merdes.) Par contre avant de faire quoique ce soit je chercherais une cause!

Comme je l'ai dit tu trouveras beaucoup de cas dans la littérature où l'implant a survécu et le patient est très content, mais des réussites d'implants après péri-implantite tu en trouveras beaucoup plus encore.

Toi la question se pose surtout parceque tu as une prothèse à refaire derrière, et que ça ça engendre un surcoût...

Faut peser le pour et le contre. Ca se tente c'est moins cher si ça marche.


South park   craig te7bfk - Eugenol
CRAIG

18/01/2014 à 23h12

Quelles sont les principales causes de dépose d'implants posés en bouche depuis plusieurs années?
Car autant des échecs d'implantation au bout de quelques semaines je visualise bien autant un implant bien ostéointégré qui fait des siennes au bout de quelques années j'ai plus de mal à appréhender le sujet.


youn

18/01/2014 à 23h20

Ben y'en a pas mal, outre les maladies plutôt rares qui font que le milieu change, problèmes de xérostomie etc... y'a les problèmes de mobilité du patient (difficulté soudaine au brossage pour X ou Y raisons, parkinson, sclérose en plaque etc...) ou simplement un changement de technique de brossage.

Sinon plus fréquemment, relâche dans la rigueur quant à l'hygiène sur terrain paro (comme plus haut les petits changements dans l'hygiène sont d'autant plus perceptibles sur les dents qu'elles sont au fond...), ou problème d'occlusion, changement au niveau de l'antagoniste, pertes de dents ailleurs dans la bouche qui provoquent une surcharge.

Y'a pas mal de possibilités.


Grumpy cat ifik8s - Eugenol
radich_a_tord

18/01/2014 à 23h26

La grande mode c'est de dire que c'est de la faute du ciment de scellement et qu'il ne faut plus faire que du vissé.

Mouais.


youn

18/01/2014 à 23h29

Oui puis on traite avec des huiles essentielles 2 gouttes de ravintsara et hop l'os repousse!


cessna

19/01/2014 à 13h09

bientot avec tous les implants poses a la chaine
le scandale pip sera anecdotique


Tumblr nbpd8ntwip1rsb3deo1 1280 hyinig - Eugenol
Enki

19/01/2014 à 14h16

"bientot avec tous les implants poses a la chaine
le scandale pip sera anecdotique"

N'importe quoi...bref.


Tous ceux qui posent des implants sont confrontés à ce genre de problème et nous nous demandons tous comment agir. Ce qui est assez drôle c'est de voir avec quelle assurance péremptoire des confrères assènent un définitif : "il faut déposer" ou "il faut ouvrir, nettoyer, combler/membraner" ou encore "tu irrigues avec de la chlorex et tu surveilles" (cette bonne blague).

Je suis assez d'accord avec la "méthode Youn" de la dépose. C'est peut être radical mais d'expérience c'est la meilleur méthode pour être tranquille. Je ne dis pas qu'on arrive à rien avec du laser+pulvérisation de poudre de dent de dragon toussa...mais quand on a un emploi du temps chargé, on ne peut pas perdre des dizaines de séances pour peut être avoir un résultat.

Ceci dit j'aimerai bien savoir pourquoi ta thèse est "confidentielle" alors que les thèses sont "présentées soutenues PUBLIQUEMENT" comme indiqué en couverture.

Un peu de lecture :
http://archive.bu.univ-nantes.fr/pollux/get.action;jsessionid=515F8239CC8C873B505F4105C15B5943?id=b78cafdc-2400-4b70-9c4a-926c45b3e234


Gonzo k0qhwz - Eugenol
matten

19/01/2014 à 22h23

J'ai achete le tourne a gauche implant direct.


Logo vuaztn - Eugenol
mac

20/01/2014 à 09h19

youn écrivait:
--------------
> Qu'est-ce qui a changé? Parce que en 6 mois c'est vif quand même.


rien n'a changé.

j'ai donc choisis de faire un lambeau d'assainissement après avoir dévissé le bridge.

ça me semble pas trop mal!

Qqmoislater ddwjjd - Eugenol

Aiguille cyboyt - Eugenol
fatboy

20/01/2014 à 11h20

mac écrivait:
-------------

> ça me semble pas trop mal!

et cette radio, c'est combien de temps apres?


Logo vuaztn - Eugenol
mac

20/01/2014 à 11h31

fatboy écrivait:
----------------
> mac écrivait:
> -------------
>
> > ça me semble pas trop mal!
>
> et cette radio, c'est combien de temps apres?

c'est 9 mois apres la chirurgie d'assainissement.

--
mac

http://focusimplant-unitaire-posterieur.com/


12