Cookie Consent byPrivacyPolicies.comDouleurs lors de l'utilisation du Mac Spadden - Eugenol

Douleurs lors de l'utilisation du Mac Spadden

ny162

19/01/2014 à 20h17

Bonjour,

Je voudrais avoir votre avis sur l'obturation thermomécanique au Mac Spadden. A la fac, on nous a enseigné la technique combinée avec condensation latérale avec les finger spreaders puis passage du Mac Spadden.
Le problème, c'est qu'à chaque fois que j'utilise le Mac Spadden, déjà je suis morte de trouille à l'idée d'envoyer le cône au-delà de l'apex (même si je vérifie toujours que j'ai un bon tug back), et en plus le patient ressent systématiquement une douleur lors du "ressaut" du contre-angle. Comment utilisez-vous cet instrument? A quelle vitesse?
Personnellement, je le cale entre la paroi canalaire et les cônes jusqu'à ce qu'il bloque, je le mets en route, j'attends un peu que les cônes fondent et je le remonte toujours en rotation.
J'hésite de plus en plus à utiliser cette technique parce qu'à chaque fois c'est un stress pas possible de me dire que c'est "risqué" et que ça va faire mal au patient...


pointG

19/01/2014 à 21h41

J'utilise le Mac Spadden depuis dix ans ; l'obturation
canalaire doit être scellée en 3D (critères qui datent
depuis 40 ans Schilder,Laurichesse and Co...)et c'est
le compactage de "gutta" ,le moins cher.La technique monocone
ne correspond pas au scellement tridimensionnel du canal
puisque trop de ciment canalaire même avec un cone bien
calibré (à noter le lentulo est aussi dangereux pour placer de la pâte canalaire)
Je peux te conseiller d'abandonner le compactage latéral,avant
le passage "mac spadden" car tu risques de faire partir un des cônes dans le périapex.Je n'utilise qu'un seul cône de gutta;le plus difficile est un bon calibrage avec la filaire(réglette endo) à 0,5mm de l'apex radio.Vérifie bien
le cône que tu auras enduit de ciment canalaire sur le bout
(fini le lentulo mais tu le sais...)radiologiquement.
Effectivement il faut un bon "tug back".Je compacte avec
un CA "bleu" donc rapide et je ne compacte pas à moins de la Longueur-apicale moins 4mm ;après, une pression avec un compacteur à main de "machtou" qq.secondes.
J'ai eu des dépassements de gutta avec plusieurs cones et depuis que je compacte à un seul cône,j'ai plutôt des dépassements qq.fois de pâte canalaire qui fusent dans le périapex mais se résorbent dans 95% des cas et j'ai aussi la chance de voir des canaux secondaires obturés par le ciment(chance ou bon alésage hypo etc qui ouvrent les canaux latéraux). L'endo est stressante entre la pose de la digue,la découverte des entrées canalaires, ne pas faire ingérer de l'hypo,ne pas casser de Niti,ne pas passer dans le périapex.Discipline intéressante et diminue ton stress
par la prise de radios multiples(normalement 3 mais plus quand tu sens les problèmes)
Autrement la SFE pour son congrès de Nice 12,13,14 juin invite Le Docteur Mac spadden......


pointG

19/01/2014 à 21h50

Quelques oublies:le compactage "Mac spadden chauffe beaucoup
même sous "anesthésie";je l'ai moi même ressenti lors d'une endo faite par un endo exclusif ;mon assistante avertie toujours le patient de cette sensation d'échauffement
Le compactage fait un peu vibrer et je n'utilise pas un thermocompacteur trop fin(couleur jaune);j'en casse assez souvent chaleur+vibration mais je récupère toujours la tige
cassée (c'est mieux que de casser un lentulo....)


Index vakr2r - Eugenol
pgc

19/01/2014 à 22h03

ny162 écrivait:
---------------
...
> Personnellement, je le cale entre la paroi canalaire et les cônes jusqu'à ce
> qu'il bloque, je le mets en route, j'attends un peu que les cônes fondent et je
> le remonte toujours en rotation.
...

Je fais exactement pareil et je n'ai jamais eu de sensation douloureuse avec un McSpadden.
Ayant bénéficié de l'enseignement de Serge Bal j'utilise un McSpadden de diamètre 40 à 40 000 tours.
je ne cherche pas à m'approcher de l'apex, je descends le McSpadden aussi loin qu'il veut descendre mais s'il est trop engagé dans le canal donc trop proche de l'apex c'est qu'il n'y a pas assez de gutta et je rajoute un ou plusieurs cônes.
Si la dent est parfaitement anesthésiée mais que l'instrument est utilisé maladroitement il se produit un dépassement de pâte et de gutta chaude, ce qui est dommageable pour le périapex mais ne provoque pas de douleur.
Est-ce que tu fais des dépassements?
Ca chauffe un peu (idem aucune sensation possible sur une anesthésie profonde et efficace) le McSpadden n'a pas besoin de rester longtemps en rotation dans le canal.
Peut-être devrais tu utiliser des Mac plus gros, t'assurer qu'il y a déjà beaucoup de gutta dans le canal (de gros cônes, plusieurs cônes), blinder ton anesthésie, rester au tiers ou à la moitié environ du canal.
C'est une méthode fiable, reproductible, non douloureuse, économique, mais il y a deux ou trois astuces ou tours de main à connaître et c'est décevant dans les canaux courbes.


Index vakr2r - Eugenol
pgc

19/01/2014 à 22h05

pointG écrivait:
----------------
...j'ai aussi la chance de
> voir des canaux secondaires obturés par le ciment(chance ou bon alésage hypo etc
> qui ouvrent les canaux latéraux)...

C'est souvent le cas avec cette technique et c'est toujours sympa d'obtenir ce résultat avec une technique qui reste très simple.


Index vakr2r - Eugenol
pgc

19/01/2014 à 22h11

pointG écrivait:
----------------

> J'ai eu des dépassements de gutta avec plusieurs cones et depuis que je compacte
> à un seul cône,

Je n'ai jamais balancé un cône au delà de l'apex en faisant de la thermocompaction avec un Mac mais peut-être que j'ai eu de la chance. Il faut utiliser des cônes larges et courts (non calibrés) et soigner la calibration avec une filière + vérification radio cône en place + tug-back. Sinon effectivement il y a un risque de faire dépasser du matériau au delà de l'apex.

j'ai plutôt des dépassements qq.fois de pâte canalaire qui fusent
> dans le périapex mais se résorbent dans 95% des cas

idem. Un tout petit peu de pâte ou un petit puff de gutta sont sans conséquence.


ny162

19/01/2014 à 22h43

Pour les douleurs, ça m'est encore arrivé vendredi dernier, très grosse douleur ressentie par le patient, et pourtant aucun dépassement sur la radio...
Je vais suivre vos conseils et prendre un Mac Spadden plus gros parce que c'est vrai que parfois il descend quand même assez bas et je ne suis pas sereine en l'utilisant.
Vous ne faites jamais de mouvement de poussée apicale avec le Mac Spadden?


Index vakr2r - Eugenol
pgc

19/01/2014 à 23h33

Je ménage un espace entre le ou les cônes et la paroi du canal avec un fouloir manuel de 30, j'engage le Mc, je le mets en rotation à vitesse maximale (40 000 tours), je fais une petite poussée apicale puis je laisse la gutta compactée repousser graduellement le Mc en direction coronaire.
Je n'ai jamais eu de douleur avec ce procédé. Peut-être laisses tu l'instrument en rotation et en poussée dans le canal trop longtemps, jusqu'à provoquer un échauffement? (mais un échauffement sur une dent anesthésiée ++ ne peut pas être perceptible par le patient??). Il y a sûrement un problème de manipulation. Ce serait dommage de devoir abandonner cette technique pour ce type de problème qui n'est pas courant avec un McSpadden.


pointG

19/01/2014 à 23h33

Je fais bien un mouvement apical avec un thermocompacteur plutôt large en frottant une paroi couleur jaune(pas à moins de 4mm de l'apex et je m'arrète avant une courbure trop marquée);un cône gutta unique fine medium calibré à la filière +trempé dans le ciment canalaire.Je répète cela chauffe beaucoup je l'ai moins même ressenti lors d'un soin endo;je ne suis pas sensible,mais je comprends qu'un patient
puisse éprouver une douleur;donc previens le patient sans montrer ton stress (effet psy.qui exacerbe la crainte donc la douleur du patient)et comme dit "PGC" assure ton anesthésie....


pontdemail

20/01/2014 à 15h58

Où acheter vous vos instruments mc spadden ?


Capture d  cran 2015 03 12 12.28 - Eugenol
chicot29

20/01/2014 à 17h17

pointG écrivait:
----------------
> Je fais bien un mouvement apical avec un thermocompacteur plutôt large en
> frottant une paroi couleur jaune(pas à moins de 4mm de l'apex et je m'arrète
> avant une courbure trop marquée);un cône gutta unique fine medium calibré à la
> filière +trempé dans le ciment canalaire.Je répète cela chauffe beaucoup je l'ai
> moins même ressenti lors d'un soin endo;je ne suis pas sensible,mais je
> comprends qu'un patient
> puisse éprouver une douleur;donc previens le patient sans montrer ton stress
> (effet psy.qui exacerbe la crainte donc la douleur du patient)et comme dit "PGC"
> assure ton anesthésie....

Pour avoir subi récemment au système B on ressent la chaleur meme sous anesthésie.


pontdemail

20/01/2014 à 18h21

Tu a enfin trouvé quelqun de "compétent" pour te faire le TE de ta 16?...;-)


pointG

20/01/2014 à 18h25

les mac spadden ou thermocompacteurs sont achetés dans une VPC(genre promodentaire,GACD,DPI,ou Mégadental)
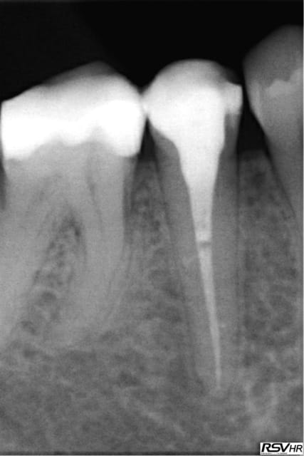
je joins un cas de traitement sur 45 ;nécrobiose,digue,hypo
1 instrument acier en cathétérisme,séquence NITI héroshaper
20%à6% puis4% 25à4% 30à4%,sealite regular,1 cône gutta fine-médium,1 compactage avec thermocompacteur(traitement
sous A.B car risques de douleurs par reprise bactérienne
Chances: des canaux secondaires obturés par le ciment
guérison de l'apex pas de douleurs pendant le compactage
cône de gutta avec "tug back" légère sensation d'échauffement
pas de douleurs post-opératoires
Un rêve....(sauf pas de HN;reconstitution SC33;sauvé par la CCM)!

Dub wr1snl - Eugenol
Dub gc0tiu - Eugenol
Dub2 raqc6l - Eugenol
Dub1 qacbwt - Eugenol
Dub3 xq6ry7 - Eugenol

Chicothérapeute

19/02/2014 à 16h39

Salut à tous
Moi j.ai un problème avec le mac spadden, pas de douleur mais en fait en utilisant un CA bleu qui tourne à 40 000 tours min en ayant bien vérifier le sens horaire et avec un gutta condensor 70 (tout sous les conseils des Dr Serge Bal et Thierry Babin) et bien quand je l'insère en rotation au lieu de chauffer ma gutta, de bien la ramollir pour que je puis la condenser correctement après, j'ai mes cônes qui virevoltent autour du gutta condensor en faisant un bruit épouvantable et l'autre jour les cônes tournaient tellement vite qu'ils ont fouetté la lèvre de ma patiente ça l.a blessé la pauvre, et je me retrouve à avoir réalisé quasiment un logement de tenon..... J'avais un vieux CA avant mais qui est mort malheureusement et avec qui ça ne me faisait pas du tout cet effet la. Je ne comprends vraiment pas ce qui arrive.
Est-ce que c'est déjà arrivé à l'un d'entre vous ?


Loop trrma6 - Eugenol
justineH

19/02/2014 à 20h01

Oui les cônes tournent tres vite c'est sur mais pas de souci de blessure avec la digue... :)


pontdemail

19/02/2014 à 20h06

Avec digue pas de problème en effet...


ny162

19/02/2014 à 20h09

Sauf quand le Mac Spadden s'accroche dans la digue et t'envoie tout valdinguer (bah oui, le patient a fermé la bouche à ce moment-là...)


Grumpy cat ifik8s - Eugenol
radich_a_tord

19/02/2014 à 23h14

Tu peux tenir l'extrémité du cône avec des précelles ça évite les mouvements du cône qui part dans tous les sens. Il descend plus vite aussi.

Par contre faut la digue, ou 2 mains gauches en plus de la droite qui tient le contre angle :)


Chicothérapeute

21/02/2014 à 18h43

j'utilise TOUJOURS la digue
le problème c'est la façon dont agit mon gutta condensor, il me fait un logement de tenon en me faisant valdinguer à l'autre bout de la pièce les cônes au lieu de simplement me ramollir mes cônes pour que je puisse les condenser après, ça ne me faisait pas ça avec l'ancien CA (mort) que j'utilisais avant. ça me travaille beaucoup


Marque a3 orange fyvhyq - Eugenol
Marc Apap

21/02/2014 à 19h05

OK, mais comme tu ne peux pas changer de contre angle, il va falloir changer quelque chose pour que ça marche:
Coincer le maitre cone avec un spreader au bout du canal (les rouges en niti de Maillefer sont excellents)
Utiliser le moins possible de ciment canalaire pour éviter une lubrification excessive qui empêche le ramollissement de la gutta
Prendre un ciment canalaire à base d'eugénate ou bien de l'acroseal de chez Septodont, plutôt que de l'AH plus ou du Top seal qui glissent trop
Utiliser un cône de gutta de plus grande conicité
Introduire le gutta condensor plus profondément dans le canal pour bien appuyer sur le cône
Ne faire tourner que lorsque le gutta condensor est dans le canal
Faire plutôt travailler la pointe du gutta condensor et après l'ensemble de la partie travaillante, pour bien sentir la gutta fuser en direction apicale
Tourner à la bonne vitesse et pas trop lentement (vérifie les rapports de vitesse entre l'ancien et le nouveau contre angle)

Voici quelques pistes qui me semblent de nature à t'aider à retrouver la joie de vivre aux commande du gutta condensor !


Utilisateur banni

22/02/2014 à 10h56

Et vérifie bien qu'il ne reste pas de la merde sur les parois canalaires, merde que ton condenseur va gratter et pousser en direction apicale.....


Capture d  cran 2015 03 12 12.28 - Eugenol
chicot29

22/02/2014 à 12h07

oui ,oui tu es con autant ne pas obturer, c'est moins iatrogène dans un premier temps. Une boulette de coton imbibée de pulpéryl et tu peux commencer à stratifier par dessus.


belette

22/02/2014 à 12h31

Marc Apap écrivait: Tourner à la bonne vitesse

Comment s'en assurer ?
Je n'arrive pas à compter les tours.
Le CA bleu assure un rapport 1/1
Reste à savoir la vitesse du moteur...
Et si on a un moteur à air, un peu vieux qui plus est,on est loin des 40000 t/mn ,et en plus on n'a pas beaucoup de puissance, donc les cônes ne fondent pas.
J'ai mis un sacré bout de temps à le comprendre mais personne ne me l'avait jamais dit...
^ ... ^
Ô"""Ô
= o =
°°°°°


Grueavatar nptrc9 - Eugenol
Le Choixpeau magique

22/02/2014 à 13h39

belette écrivait:
-----------------
> Et si on a un moteur à air, un peu vieux qui plus est,on est loin des 40000 t/mn
> ,et en plus on n'a pas beaucoup de puissance, donc les cônes ne fondent pas.

Les moteurs à air ont en général une vitesse max, sauf erreur, de 25000 tours


Index vakr2r - Eugenol
pgc

22/02/2014 à 14h02

En principe le MacSpadden c'est 40 000 tours. Mais comme mon principe date de mes études si vous avez une indication plus récente je suis preneur.