Cookie Consent byPrivacyPolicies.comDouleurs lors de l'utilisation du Mac Spadden - Eugenol

Douleurs lors de l'utilisation du Mac Spadden

Avatar eugenol pe0ymx - Eugenol
nicklebenou

22/02/2014 à 15h28

pendant les formations que j'ai fait récemment on parle plutôt de 20 mille tours minutes: attention tous les cônes de gutta ne sont pas performants pour la thermo compaction.
Les marques stériblues et rs de gacd je les trouve performantes. Après plus on utilise des cônes larges et plus cela peut prendre de temps. Par expérience il faut pas que cela dépasse quelques secondes. Et aussi il ne faut pas que le thermo compacteur soit trop fin sinon on pédale dans la choucroute..


belette

22/02/2014 à 20h41

20 ou 40 000 , un détail...y'a pas comme un problème là ?
On vous vend du matos et des formations (l'initiale est certes gratuite mais c'est pas avec ça qu'on devient chicot29) et dépatouillez vous !
Les plus doués, débrouillards , volontaires,consciencieux s'en sortent, les autres: c'est selon...
^ ... ^
Ô"""Ô
= o =
°°°°°


Marque a3 orange fyvhyq - Eugenol
Marc Apap

22/02/2014 à 20h50

C'est un peu comme ça pour tout, non ?
Le gutta condensor est vraiment un outil bizarre puisque son utilisation semble très opérateur dépendante.
Je travaille avec un moteur dont la vitesse est commandée à la pédale, et je ne me soucie que de la sensation dans ma main et de ce que je vois.
Il m'arrive très souvent de faire varier cette vitesse exactement comme si je conduisais ma voiture (ou une moto) sur un terrain difficile.
Alors dire qu'il faut pile 20000 ou 40000, ça me paraît assez inutile.


Nouveau image bitmap fz77zh - Eugenol
Sethef

22/02/2014 à 21h06

Tout pareil. Je n'ai pas de "compte tours", j'ai tendance à accélérer progressivement et à "pomper" sur la fin. J'ai réellement été satisfait de mes résultats le jour où je suis passé aux cônes calibrés Protaper. (pas pour la marque, mais pour leur conicité, les autres marques sont probablement tout aussi efficaces).

Pour ce mouvement qui s'explique mal et se pratique bien, l'entraînement sur dents sèches me paraît une excellente solution.


belette

22/02/2014 à 21h26


Tu as quelques années d'expérience derrière toi Marc, et avec beaucoup de tenacité on peut arriver à progresser petit à petit; On lâche des gens dans leur cabinet avec un diplôme comme on lâche des conducteurs sur la route avec leur permis en poche... Faut-il comparer le nombre d' accidents de la route et les pourcentages de traitements endo non conformes ?

^ ... ^
Ô"""Ô
= o =
°°°°°


Nouveau image bitmap fz77zh - Eugenol
Sethef

22/02/2014 à 21h37

De toutes manières, il est acquis qu'en sortant de la fac, on ne sait rien... Progresser en endo est peut-être le plus simple, puisqu'il suffit d'un stock de dents sèches, de temps et de motivation... Pour la part théorique, c'est probablement la discipline la plus accessible.


Chicothérapeute

22/02/2014 à 23h24

Merci pour les conseils.
Je m.entraine sur dents extraites et je vous tiens au courant
J'ai hâte d.en sortir car j'adore l.endo et là du coup je suis frustrée


Darmon - Eugenol
Latin

23/02/2014 à 00h02

Sethef écrivait:
----------------
> De toutes manières, il est acquis qu'en sortant de la fac, on ne sait rien...

Pfffff... mais arrêtons de dénigrer sans arrêt la formation initiale.

Pour l'endo ce que j'en ai retenu c'est conicité 6, diamètre 30, avec irrigation abondante, l'utilisation du localisateur d'apex, le tug back et la thermocompaction au pac spaden. Bien-sûr le tout sous digue ce n'était même pas la peine de chercher à négocier.

Et bien celui qui a intégré tout ces standards, je pense qu'il a quand-même toutes les clés en main pour travailler honnêtement et progresser.

Après quand on dit que la fac est en total décalage avec la réalité du cabinet, c'est surtout parce que au cabinet il faut tout faire plus vite, mais normalement ça vient vite. Et tout plus vite mais sans shunter les étapes, ça ça dépend de la conscience de chacun, pas de ce qui nous a été enseigné ou non.

Ensuite le pentamix, le malaxeur à alginate, les instruments uniques en endo, l'écran au plafond, tout ça ajoute du confort et permet de travailler plus vite sans baisser la qualité, mais ça reste du plus.


> Progresser en endo est peut-être le plus simple, puisqu'il suffit d'un stock de
> dents sèches, de temps et de motivation...

De la pratique quoi...

Pour la part théorique, c'est
> probablement la discipline la plus accessible.


Darmon - Eugenol
Latin

23/02/2014 à 00h08

Chicothérapeute écrivait:
-------------------------
> Merci pour les conseils.
> Je m.entraine sur dents extraites et je vous tiens au courant
> J'ai hâte d.en sortir car j'adore l.endo et là du coup je suis frustrée

Vas-y entraine toi. Et dit-toi que si tu as respecté tes longueurs de travail, il n'y a aucune raison pour que tu aies explosé l'apex, et donc il n'y a aucune raison de projeter de la gutta au-delà de l'apex au moment de la thermocompaction. Moi aussi j'étais flippé au début. Mais franchement si ton cône d’arrêt est bon tu peux y aller en toute confiance.


Nouveau image bitmap fz77zh - Eugenol
Sethef

23/02/2014 à 12h27

@ Latin:

Le but n'est pas ici de dénigrer la fac: même si je ne doute pas qu'on pourrait, comme toujours, améliorer l'organisation, je confirme qu'en sortant on est censé avoir acquis les bases. Les bases, quoi. De quoi faire du bouche-trou. Mais pas forcément de quoi être fier de son boulot.
Il est cependant évident que pour en apprendre plus, il faudrait rallonger, encore, la durée des études. Est-ce nécessaire? Je n'en sais rien, il y a bien un moment où il faut se mettre au turbin. Mais si tu me disais qu'à partir de l'année prochaine, dentaire c'est bac+12, je suis certain que je pourrais te remplir le programme des années suivantes, que ce soit en pratique ou en théorique.


Gregory H

23/02/2014 à 13h03

Sethef écrivait:
----------------
> Il est cependant évident que pour en apprendre plus, il faudrait rallonger,
> encore, la durée des études.

Des études de merde avec des profs de merde, mieux vaut qu'elles soient courtes, histoire de ne pas trop retarder l'apprentissage de notre métier: chercher les couronnes, implants, onlays, facettes à faire, faire un devis de plombier, attendre que ceux qui ont les moyens et/ou une mutuelle à plus de 300% reviennent puis commencer à turbiner.


Capture d  cran 2015 03 12 12.28 - Eugenol
chicot29

24/02/2014 à 19h48

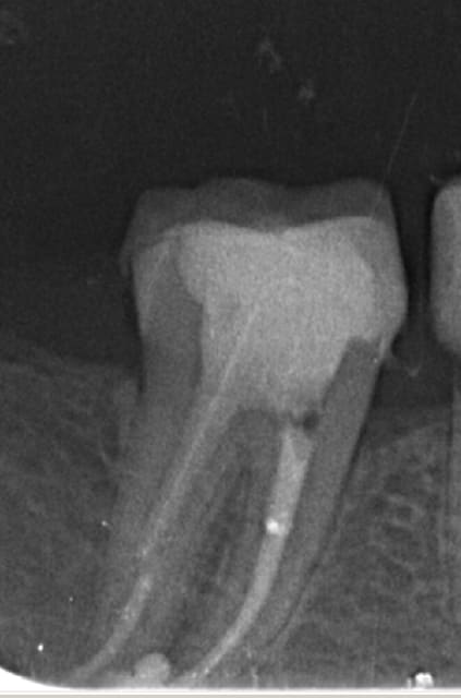
Je m'entraine au mac spaden mais abrès avoir réalisé des bouchons apicaux au friendo ( enfin j'essaye par ce que ca bloque un peu trop loin de l'apex vu que je n'ai pas toutes les tailles d'inserts lol !); Pas franchement de meilleure image qu'au monocone scellé.
Je me fais chier pour rien je pense mais j'appréhende cet engin qui tourne à 40 000 tours ( j'utilise le diametre 40 pour une préparation au R25)
Ca compacte dur par contre vu que l'intégralité du cone ( ici un diametre 40) disparait dans le canal.
En termo-compaction pure à combien de mm de l'apex faut il envoyer l'engin ? vu la pression que ca développe une connerie est vite arrivée.
pas cool de commencer par une 36 de 4 canaux. Par contre.)))))))

R1 iqqn0y - Eugenol
R2 sxl3pa - Eugenol
R3 ulnhut - Eugenol
R4 hefdnh - Eugenol

Loop trrma6 - Eugenol
justineH

24/02/2014 à 20h08

En thermocompaction faut se tenir à 4mm de l'apex (a peu pres). Et même si on voit pas tout le temps la différence radiologiquement avec le monocone, on est sur que c'est étanche à l'apex (ce qui est pas du tout le cas avec un monocone scellé...)
PS: belle obtu ;)


Capture d  cran 2015 03 12 12.28 - Eugenol
chicot29

24/02/2014 à 20h38

Oui c'est la meme chose avec le système B utilisé (friendo de hufriedy). Seulement j'ai pas réussi à descendre les inserts à 4 mm de l'apex (trop gros taille FM/06) curieux d'ailleurs dans certains canaux je n'en suis pas loin. Mon obturation est donc en monocone scellé au bout.)))))
Pour un alésage en 25 /06 quel diametre utiliser ?


Avatar eugenol pe0ymx - Eugenol
nicklebenou

25/02/2014 à 00h27

chicot29 écrivait:
------------------
> Oui c'est la meme chose avec le système B utilisé (friendo de hufriedy).
> Seulement j'ai pas réussi à descendre les inserts à 4 mm de l'apex (trop gros
> taille FM/06) curieux d'ailleurs dans certains canaux je n'en suis pas loin. Mon
> obturation est donc en monocone scellé au bout.)))))
> Pour un alésage en 25 /06 quel diametre utiliser ?

Un compacteur de 30. Les revo condensor sont parfait ils ont une bague violette. Je ne me sers presque que de ces thermocompacteurs. La densité des cônes compactes à la radio dépend de leur concentration en eugenol.donc peu significatif. Pour me faire la main je passais le cone puis un.coup de finger spreader et après seulement le compacteur


Nouveau image bitmap fz77zh - Eugenol
Sethef

28/02/2014 à 15h09

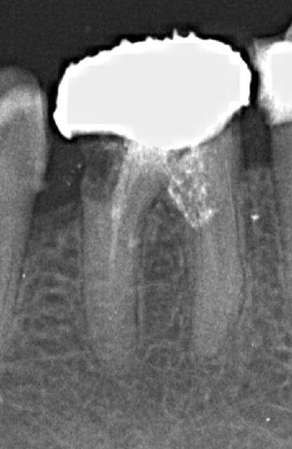
Juste pour prouver qu'on peut tout faire avec Mc Spadden, le derviche écossais:
Canal large, on est allé au F5 sans toucher les bords, cône calibré à 55 à l'apex, thermocompacteur à 3mm de la LT. Pas d'anesthésie.

21 ckpvf9 - Eugenol

youn

28/02/2014 à 17h42

Je l'utilise de mieux en mieux mais c'est vrai qu'il y a une petite douleur ressentie par les patients. Je descend super bas, mais je vérifie que j'ai un bon tug back à chaque fois (je descends à 2-4 mm de l'apex), avec un 40 ou un 30 la plupart du temps.

Par contre sur les racines longues et fines j'ai aussi des patients qui se plaignent de douleurs lors de l'alésage, malgré des anesthésies de cheval, je ne comprends pas bien, je fais peri-apicale, intra-lig, et intra pulpaire, mais ils ont encore mal.
--
www.dentaltradegroup.com

Endo 13  3  w39n8g - Eugenol
Endo 14  1  preop rl6qb9 - Eugenol
Endo 12  1  preop j7svi4 - Eugenol
Endo 13  1  preop sqffuc - Eugenol
Endo 13  2  ichn8i - Eugenol
Endo 14  2  fin bnbjik - Eugenol
Endo 15  1  preop vuyysh - Eugenol
Endo 15  2  l6mle4 - Eugenol
Endo 12  2  fin thdi3f - Eugenol

Marque a3 orange fyvhyq - Eugenol
Marc Apap

28/02/2014 à 18h21

youn écrivait:
--------------
> Par contre sur les racines longues et fines j'ai aussi des patients qui se
> plaignent de douleurs lors de l'alésage, malgré des anesthésies de cheval, je ne
> comprends pas bien, je fais peri-apicale, intra-lig, et intra pulpaire, mais ils
> ont encore mal.
> --
> www.dentaltradegroup.com

Arrête avec les anesthésiques chinois ou brésiliens. Prend des produits de chez nous ;))


youn

28/02/2014 à 19h43

Marc Apap écrivait:
-------------------
> Arrête avec les anesthésiques chinois ou brésiliens. Prend des produits de chez
> nous ;))

Hehehe, c'est peut-être parce qu'ils ne sont pas brésiliens que ça ne marche pas. Pas encore!
--
www.dentaltradegroup.com


Gregory H

28/02/2014 à 19h49

nicklebenou écrivait:
---------------------

La densité des cônes
> compactes à la radio dépend de leur concentration en eugenol.

Y a du niveau.


Capture d  cran 2015 03 12 12.28 - Eugenol
chicot29

28/02/2014 à 21h06

Effectivement.))))))


youn

28/02/2014 à 21h50

J'avoue que je ne comprends pas cette phrase...

--
www.dentaltradegroup.com


Avatar eugenol pe0ymx - Eugenol
nicklebenou

28/02/2014 à 23h25

plus y a d'eugenol dans la compo de la gutta moins elle apparaitra blanche à la radio. voila

pour l'anesthésie plus haut faut faire une spix plus intra lig et intra pulp si besoin et tu n'auras pas de sensibilités ou alors QS pour les aficionados


Avatar eugenol pe0ymx - Eugenol
nicklebenou

28/02/2014 à 23h27

oxyde de zinc ma langue a fourché. autant pour moi


Gregory H

28/02/2014 à 23h34

Elle a fourché deux fois à quatre jours d'intervalle.
Mais merci de reconnaître ton erreur, c'est si rare. ;-)