Cookie Consent byPrivacyPolicies.comImplant - Eugenol

Implant

Avatar jt8tlq - Eugenol
bogenom

31/01/2014 à 18h59

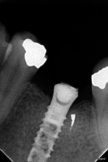
Bonjour, qui arrivera à identifier cet implant posé il y a 20 ans avec vis cassée dedans ?
un ancêtre de Straumann ?

Implant xdjk3f - Eugenol

Photo pluton1b h9n4ea - Eugenol
pluton

31/01/2014 à 19h48

Ce que je trouve de plus proche c'est çà...mais j'ai un doute...

http://osseosource.com/dental-implants/product_info.php?products_id=1078


Tumblr nbpd8ntwip1rsb3deo1 1280 hyinig - Eugenol
Enki

31/01/2014 à 20h06

ITI Hollow screw implant.


http://www1.umn.edu/perio/dent8101/W9_Blanes.pdf


Photo pluton1b h9n4ea - Eugenol
pluton

31/01/2014 à 20h15

Enki écrivait:
--------------
> ITI Hollow screw implant.
>
>
> http://www1.umn.edu/perio/dent8101/W9_Blanes.pdf

oui, bien joué!!!...;-)
http://link.springer.com/chapter/10.1007%2F978-0-387-22427-5_15#page-1


Avatar jt8tlq - Eugenol
bogenom

01/02/2014 à 00h42

et merci qui ? Merci Enki et Pluton comme d'hab
c'est compatible Straumann ?
qui en a déjà posé ici ?