Cookie Consent byPrivacyPolicies.comcollage des facettes : QUOI PRENDRE ? - Eugenol

collage des facettes : QUOI PRENDRE ?

Marque a3 orange fyvhyq - Eugenol
Marc Apap

05/02/2014 à 11h02

Ce qui prouve peut-être son intérêt limité, eu égard à ses inconvénients, puisqu'il n'y a pas eu de progrès significatif dans les adhésifs depuis 20 ans, les meilleurs ayant été inventés à cette époque là (M&R3)
Réactiver à la fraise une couche de 5 micromètres d'épaisseur relève pour moi, de l'utopie.


Logo qw3xdt - Eugenol
ĐĐS

05/02/2014 à 11h36

Marc Apap écrivait:
-------------------
> Ce qui prouve peut-être son intérêt limité, eu égard à ses inconvénients,
> puisqu'il n'y a pas eu de progrès significatif dans les adhésifs depuis 20 ans,
> les meilleurs ayant été inventés à cette époque là (M&R3)
> Réactiver à la fraise une couche de 5 micromètres d'épaisseur relève pour moi,
> de l'utopie.

Peut être que l'intérêt est limité ou peut être que c'est juste plus étudié.
Pour les meilleurs adhésifs, je suis d'accord.
Après il y a des publications... On en voit l'intérêt ou pas...
C'est un peu comme tout en dentaire, tout dentiste prend ce qu'il veut prendre dans ce qui est publié ou présenté.


--
Normal is not something to aspire to, it's something to get away from...


Marque a3 orange fyvhyq - Eugenol
Marc Apap

05/02/2014 à 13h15

Dans ce domaine, il y a quand même beaucoup de publications faites parce qu'il faut en produire pour l'avancement de sa carrière. Leur pertinence en ce qui concerne le rapport coût (temps, difficultés, complexité de mise en oeuvre) /efficacité n'est pas forcément évident pour des praticiens de ville lambda.


Grueavatar nptrc9 - Eugenol
Le Choixpeau magique

05/02/2014 à 13h30

Garcimore écrivait:
-------------------
> NX3 de chez KERR, auto-mordançant et auto-adhésif, à prendre en translucide pour
> les facettes. Compatible avec tous les adhésifs du marché pour les cas de
> rétention trop faible.

NX3 n'est ni auto-mordançant ni auto-adhésif.
Et il est déconseillé d'utiliser un ciment translucide pour des facettes à cause de l'aspect grisâtre que ça peut donner.
Sinon il y a éventuellement NX3 photo (pas sûr qu'il soit dispo chez nous), à utiliser bien sûr avec un adhésif.


Gonzo k0qhwz - Eugenol
matten

05/02/2014 à 13h50

danteyeah écrivait:
-------------------
>Autre avantage le composite peut être utilisé comme "try
> in", ça évite aussi de faire un stock de de ce genre de glycérine (bon c'est> plus chiant à retirer). Techniquement ilest aussi plus facile de retirer les
> excès et de contrôler le joint.


J'utilise de kit variolink veneer.
Il contient toutes les pates try in et leur couleur n'est pas celle de la colle non polymerisee. En effet la teinte apres polymerisation d'un compo n'a rien a voir.

Verifie tu verras.


Bebe 038 nf8eum - Eugenol
danteyeah

05/02/2014 à 14h13

matten écrivait:
----------------

> J'utilise de kit variolink veneer.
> Il contient toutes les pates try in et leur couleur n'est pas celle de la colle
> non polymerisee. En effet la teinte apres polymerisation d'un compo n'a rien a
> voir.
>
> Verifie tu verras.

Test le beautifil 2 de Shofu, pas de différence de teinte entre polymérisé et non polymérisé. Et pour le Gaenial en masse dentine, la variable sur une épaisseur fine (le cas d'un collage) reste tenue.


Egy194 ietbqd - Eugenol
tristanavi

06/02/2014 à 19h07

l'incidence de la teinte du matériau d 'assemblage est quasi nulle pour un gap de l 'ordre de 100 microns (cf pubmed).Les coffrets multi teintes et try ne servent a rien.De l 'eau ou glycérine sur la préparation et basta.Évidemment ça fait pas l 'affaire des marchands.


atiz

20/05/2014 à 10h55

bonjour à tous,

je suis confronté à un cas de facettes, mais j'ai une question plus générale que je me pose à chaque fois que je colle sur de l'émail en antérieur:

sur une facette dont la préparation est uniquement dans l'émail,lors d'un collage avec mordançage préalable, une fois avoir rincé l'acide,

faut-il sécher modérément (c'est à dire comme de la dentine), ou au contraire comme il s'agit uniquement d'émail on peut coller sur quelque chose de parfaitement sec et donc sécher "à fond" pour obtenir le meilleur collage possible????

et une fois avoir appliquer l'adhésif et séché doucement pour favoriser l'étalement, photopolymérisé, peut-on après par exemple un essayage ou une mauvaise manipulation, rincer à l'eau et re-sécher sans nuire au futur collage? faut-il à ce moment un séchage fort? ou doux?

merci de vos réponses.


Nouveau image bitmap fz77zh - Eugenol
Sethef

20/05/2014 à 11h35

Tous ces détails dépendront d ton système adhésif. Le principe du collage humide ne s'applique que dans le cadre de M&R 2 ou 3, sur la dentine. Le but est d'éviter que les fibres de collagène mises à nu ne collapsent lors d'un séchage trop important, empêchant la bonne pénétration de ton adhésif et la création de la couche hybride. Selon l'adhésif utilisé, cela aura une incidence plus ou moins importante.
Sur de l'émail, tu peux sécher à fond, aucune incidence donc.

De la même manière, selon ton système adhésif, la contamination de ton champ op ne se gérera pas pareil. Et la contamination par de l'eau sera très différente de la salive, ou du sang.

De manière générale, mieux vaut recommencer la procédure à 0, tu te feras moins de noeuds à l'esprit. (mais sinon, ceux pratiquant l'IDS te diront mieux que moi comment ils gèrent leur collage en second tour, moi je n'aime pas le principe, vu que je ne sais pas réellement ce qui se passe là-dessous)


(ma thèse date de quelques années, mais elle était assez complète sur le sujet, si tu as le temps pour un peu de lecture)


atiz

20/05/2014 à 11h50

oui je parle dans le cadre d'un M&R2, j'ai mordançage, primer et adhésif en une étape.

sur l'émail ça adhérera plus alors avec un séchage complet? je n'ai aucune crainte de dessécher?

pour l'IDS je ne connais pas assez pour pratiquer, mais c'est dans cette esprit que je pose la question.

de la même manière si comme tu dis, si je reprends mon protocole complet si il y'a eut contamination après polymérisation de l'adhésif, je le reprends à quel niveau? et le fait d'avoir deux couches d'adhésif ne va pas diminuer mon potentiel d'adhésion?


Nouveau image bitmap fz77zh - Eugenol
Sethef

20/05/2014 à 12h08

atiz écrivait:
--------------
> oui je parle dans le cadre d'un M&R2, j'ai mordançage, primer et adhésif en une
> étape.
>
> sur l'émail ça adhérera plus alors avec un séchage complet? je n'ai aucune
> crainte de dessécher?

Sur l'émail, grosso modo, tout marche à peu près à condition d'un mordançage préalable, collage humide ou pas, MR ou SAM... C'est très tolérant aux erreurs de manip.
Du coup, sur le papier, collage humide ou séchage à fond, c'est la même. Dans la pratique, si tu sèches à mort, tu es sûr de ne pas te planter.


>
> pour l'IDS je ne connais pas assez pour pratiquer, mais c'est dans cette esprit
> que je pose la question.
>
> de la même manière si comme tu dis, si je reprends mon protocole complet si il
> y'a eut contamination après polymérisation de l'adhésif, je le reprends à quel
> niveau? et le fait d'avoir deux couches d'adhésif ne va pas diminuer mon
> potentiel d'adhésion?

Là encore, dans les études, l'IDS est censé augmenter la valeur de l'adhésion. C'est bien le même principe ici. Ca ne m'a jamais inspiré, parce que je ne sais pas à quoi ressemble mon adhésif après contamination, nettoyage, élimination de la couche inhibée... Si je devais le faire, ce serait mordançage 10 sec pour le nettoyage, séchage complet, adhésif, parce que c'est ce qui me paraît intellectuellement le plus satisfaisant.

Mais si c'est pour un compo direct, je préfère encore éliminer la couche d'adhésif à la fraise et tout recommencer, c'est plus clean.

(allez, les spécialistes IDS, lâchez vous)


Bebe 038 nf8eum - Eugenol
danteyeah

20/05/2014 à 13h15

Sethef écrivait:
----------------

> (allez, les spécialistes IDS, lâchez vous)

J'suis pas du tout un spécialiste de l'IDS, mais j'ai déjà testé en bouche 2 ou 3 X, pour obtenir le même résultat: Intellectuellement je considère la couche de collage contaminé après, empreinte, collage provisoire, essayage facette, cette couche est donc à éliminer.
Si j'élimine à la fraise: soit je risque de ne pas tout enlever (pas trop grave, sauf au niveau du bord cervicale), soit je risque d'en enlever trop (j'augmente mon joint de collage définitif, pas cool).
Si j'élimine à la sableuse, même si tout n'est pas retiré je pense en avoir enlevé suffisamment sans risque de retoucher la taille; seulement ceux qui ont déjà essayé auront surement rencontré le même problème que moi: saignement sulculaire à tous les coups, donc gestion de l'hémostase chronophage (amélioré depuis avec le laser diode, mais bon, ça fait pas très propre).

Conclusion c'est bien pour ceux qui savent, et apparemment j'en fait pas parti :-(

Pour le collage après contamination par l'eau du liant, lors du TP stratifié Micérium (Vanini), le protocole de recollage était: etching puis liant bis-gma pur (flacon de colle dans les MR3), donc éviter un liant acide (MR2, SAM1); enfin à l'époque y'avait pas d'All-Bond et Co, adhésif qu'il serait bon de tester dans la vrai vie (bataille avec l'ADDA), tellement les promesse de simplification de tous les protocoles sont simple avec ces produits…..mais bon les promesses…….


Nouveau image bitmap fz77zh - Eugenol
Sethef

20/05/2014 à 13h22

Je croyais que l'IDS impliquait justement de laisser en place la première épaisseur de bonding? L'unique but serait alors l'obturation des tubulis en interséance?


Bebe 038 nf8eum - Eugenol
danteyeah

20/05/2014 à 14h08

Sethef écrivait:
----------------
> Je croyais que l'IDS impliquait justement de laisser en place la première
> épaisseur de bonding? L'unique but serait alors l'obturation des tubulis en
> interséance?

Bin ouais, sauf que dans la pratique la partie superficielle de ta couche collée est dégueulasse, que cette couche est très fine et que je n'ai pas la prétention de savoir retirer précisément des microns à la fraise, donc je préfère la sableuse (c'est pas plus précis, mais c'est moins agressif…sauf pour le sulcus)…….. résultat je dois gérer l'hémostase (sauf dans les cas où c'est parfaitement diguable, dans ce cas digue posée avant et tout va bien: l'occasion ne s'est pas encore présentée).
Mais encore une fois ce n'est que la vision d'un praticien omni lambda, avec une petite activité de collage, pas celle d'un spécialiste "Es-collage" et bien souvent formateur.


Grueavatar nptrc9 - Eugenol
Le Choixpeau magique

20/05/2014 à 14h17

atiz écrivait:
--------------

> sur une facette dont la préparation est uniquement dans l'émail,lors d'un
> collage avec mordançage préalable, une fois avoir rincé l'acide,
>
> faut-il sécher modérément (c'est à dire comme de la dentine), ou au contraire
> comme il s'agit uniquement d'émail on peut coller sur quelque chose de
> parfaitement sec et donc sécher "à fond" pour obtenir le meilleur collage
> possible????

Ca revient un peu au même. Certaines études trouvent un intérêt au collage "humide" sur l'émail, d'autres non. Pareil pour l'application du primer.
Ce qui est toujours compliqué par contre c'est d'être 100% sûr d'être dans l'émail.
>
> et une fois avoir appliquer l'adhésif et séché doucement pour favoriser
> l'étalement, photopolymérisé, peut-on après par exemple un essayage ou une
> mauvaise manipulation, rincer à l'eau et re-sécher sans nuire au futur collage?

Après contamination, nettoyage à l'alcool, rinçage, puis on recommence à zéro. Un des intérêts d'avoir un adhésif pas trop épais.


Nouveau image bitmap fz77zh - Eugenol
Sethef

20/05/2014 à 14h21

danteyeah écrivait:
-------------------
> Sethef écrivait:
> ----------------
> > Je croyais que l'IDS impliquait justement de laisser en place la première
> > épaisseur de bonding? L'unique but serait alors l'obturation des tubulis en
> > interséance?
>
> Bin ouais, sauf que dans la pratique la partie superficielle de ta couche collée
> est dégueulasse, que cette couche est très fine et que je n'ai pas la prétention
> de savoir retirer précisément des microns à la fraise, donc je préfère la
> sableuse (c'est pas plus précis, mais c'est moins agressif…sauf pour le
> sulcus)…….. résultat je dois gérer l'hémostase (sauf dans les cas où c'est
> parfaitement diguable, dans ce cas digue posée avant et tout va bien: l'occasion
> ne s'est pas encore présentée).
> Mais encore une fois ce n'est que la vision d'un praticien omni lambda, avec une
> petite activité de collage, pas celle d'un spécialiste "Es-collage" et bien
> souvent formateur.

Les débats, c'est chiant quand tout le monde est d'accord.


003 penrd2 - Eugenol
Cingulum

20/05/2014 à 16h43

L'IDS je trouve ça super pour les onlays ou les préparations pour couronne sur dents vivantes. Pour moi c'est surtout le meilleur moyen de protéger la pulpe, limiter ainsi les complications et sensibilités pulpaires.
Sur les facettes où les préparations sont souvent très amélaires, et la temporisation plus délicate je ne le fais plus.

Pour le collage je vous conseille d'utiliser le kit permashade de chez ultradent.
Consistance pateuse, teinte adaptée, photopolymérisable ...
Tout ce qu'il faut dans la malette ...

http://www.ultradent.com/fr/Pages/UltradentSearch.aspx?k=permashade&cs=This%20Site&u=http://www.ultradent.com/fr

--
Dr Cingulum
-----Ancien interné----
----Attaché à l'apex----
http://www.clinic-all.fr/ formation par passion

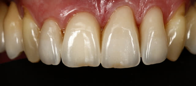
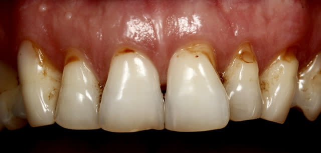
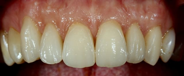
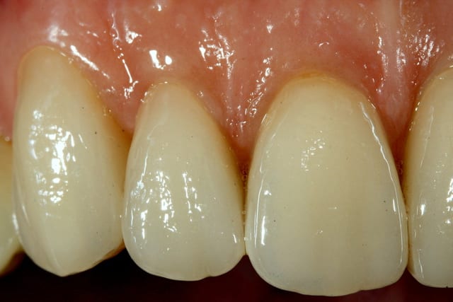
 mg 4802 a9mmbs - Eugenol
 mg 6337 qrxhyf - Eugenol
 mg 2133 zxotca - Eugenol
 mg 2219 exejfi - Eugenol
 mg 2679 mr7pdo - Eugenol
 mg 2682 ip9dek - Eugenol

Nouveau image bitmap fz77zh - Eugenol
Sethef

20/05/2014 à 23h13

Et du coup, comment gères-tu la pollution de la couche d'adhésif "primaire"?


3f3boxni50k58rq7e9ce9ddqrxgk - Eugenol
dentiste57

21/05/2014 à 02h23

au fait c'est quoi le nouveau code maintenant pour les facettes ?


atiz

21/05/2014 à 10h13

merci pour vos réponses,

ducoup je reste dans le sécher sans dessécher pour ne pas modifier de trop le protocole car effectivement, je ne suis pas sur d'être 100% dans l'émail partout.

une dernière question, sur la facette emax, après avoir préparée la facette, je place une couche d'adhésif aussi, mais sans polymériser on est d'accord???


003 penrd2 - Eugenol
Cingulum

21/05/2014 à 12h42

On est d'accord.. :-)

Pour mon protocole onlay :
Je prépare la dent, je met une digue. Je fais la couche hybride et parfois je remonte une marge.
Ensuite je dépose la digue, je passe une fraise sur tout le pourtour d'émail pour ne pas avoir d'adhésif restant sur l'émail. Je prends l'empreinte.
A la pose. Digue puis brossette avec de la ponce, mordancage adhésif, traitement de la ceram et collage au compo photo...

--
Dr Cingulum
-----Ancien interné----
----Attaché à l'apex----
http://www.clinic-all.fr/ formation par passion


Toriko ucqp9i - Eugenol
Giantcoco

21/05/2014 à 17h29

Cingulum écrivait:
------------------
> On est d'accord.. :-)
>
> Pour mon protocole onlay :
> Je prépare la dent, je met une digue. Je fais la couche hybride et parfois je
> remonte une marge.
> Ensuite je dépose la digue, je passe une fraise sur tout le pourtour d'émail
>
Je ne comprends pas bien, remonter une marge ce n'est pas justement parce que la limite est trop sous gingivale et que la digue serait inefficace?


003 penrd2 - Eugenol
Cingulum

21/05/2014 à 22h13

Parfois tu arrives à mettre la digue très bas, mais tu serais embêter pour insérer l'onlay et retirer les excès. Je mettrais une vidéo demain...


--
Dr Cingulum
-----Ancien interné----
----Attaché à l'apex----
http://www.clinic-all.fr/ formation par passion


Nouveau image bitmap fz77zh - Eugenol
Sethef

21/05/2014 à 22h53

J'en rajoute une couche, il est très simple de descendre une matrice sectorielle plusieurs mm sous gingivale et de la sertir efficacement. Je suis bien incapable d'en faire autant avec une digue.

(même si perso j'évite les remontées de marches, j'essaie toujours de limiter le nombre d'interfaces)


John gp55mb - Eugenol
Faivre-rampant

19/02/2018 à 08h28

Quelle résine auto vous utilisez pour le mock up ?