Cookie Consent byPrivacyPolicies.comune 17 avec 2 racines palatines! - Eugenol

une 17 avec 2 racines palatines!

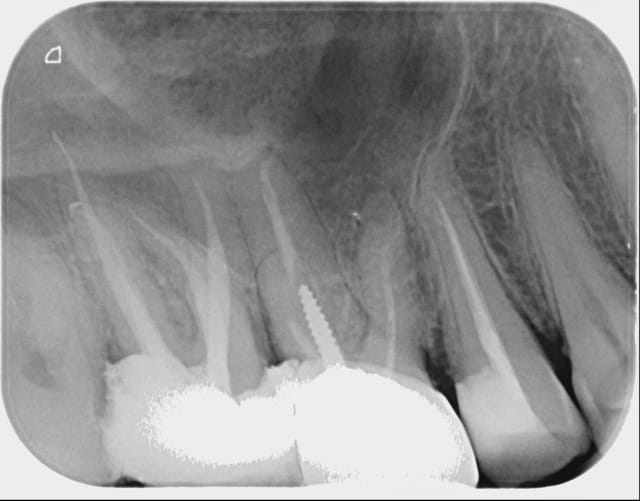
JUAN

10/02/2014 à 16h01

Franchement j'en avais jamais vu! acte rémunéré 80 euros et des bananes... vu le temps passé. Faut la foi... j'ai fait ma bonne action...

Dent 17 wpajuq - Eugenol

Loop trrma6 - Eugenol
justineH

10/02/2014 à 21h44

Ben c'est la période j'en ai vu une la semaine dernière! Sympathique les 5 canaux ^^