Cookie Consent byPrivacyPolicies.comle MV2 - Eugenol

le MV2

gfgjffghfghffghfghfghfh

11/02/2014 à 22h27

j'ai du mal


Capture d  cran 2013 02 02   21.02 - Eugenol
gouj-euros

11/02/2014 à 22h37

je suis entre 50 et 75% sur les 6 du haut ( sans aides optiques ni microscopes), un peu moins sur les 7.....la dernière version de "pathways of the pulp" parle même de 90% donc il y a de la marge.
Allez pour te remonter le moral dans 30% des cas il y a un apex commun :-)


Capture d  cran 2015 03 12 12.28 - Eugenol
chicot29

11/02/2014 à 22h58

kssimo écrivait:
----------------
> j'ai du mal a retrouver le fameux MV2
> des conseils ,des astuces ,???
> on dit que le MV2 est présent dans 70 % des cas
> est ce que vous le rencontrer dans votre quotidien a cette fréquence
> merci d'avance
>

Sx protaper, Dans 80 % des cas il les trouve.))))))


Photo pluton1b h9n4ea - Eugenol
pluton

11/02/2014 à 23h02

je le trouve dans 80% des cas environ
en effet, 30% rejoignent l'apex du MV1

des conseils: aides optiques, bonnes connaissances anatomiques et...du matériel...beaucoup de matériel
dans mes indispensables: mon microscope...(forcément çà aide...) et mes inserts US diamantés pour bien sonder le plancher pulpaire et rendre le MV2 accessible et instrumentable...

les 7 aussi ont leurs lots de MV2 moins fréquents...mais pas si rares...


gfgjffghfghffghfghfghfh

11/02/2014 à 23h32

merci bien


gfgjffghfghffghfghfghfh

11/02/2014 à 23h35

c'est vra


jeff13

12/02/2014 à 00h04

Comment "sonder" le plancher pulpaire sans le perforer? Vous faites ca avec quel instrument? Parce qu'au us classique, ca marche pas et à la fraise boule ca, bon courage pour pas perforer


Avatar eugenol pe0ymx - Eugenol
nicklebenou

12/02/2014 à 00h13

inserts diamantés exprès pour...
Je m'en sers presque systématiquement pour dégager les entrées canalaires quand c est minéralisé au niveau de la chambre.
Par expérience un repère simple qui aide pour le mv2 est qu"il se trouve en mésial de la ligne (fictive of course) entre le mv1 et le palatin. Si les entrées saignent un peu tu peux t'aider de colorant (je m'en sers rarement) mais il parait que ca peut aider.


Photo pluton1b h9n4ea - Eugenol
pluton

12/02/2014 à 00h14

inserts endo ultrason diamantés
pour moi, sur une PAM type EMS (chinoise...;-))

Ebay est ton ami pour ce type d'équipement...

quelques exemples:

http://www.ebay.com/itm/Dental-Endo-Diamond-Cavity-Preparation-Tip-For-WOODPECKER-EMS-Ultrasonic-Scaler-/310799441525?pt=LH_DefaultDomain_0&hash=item485d171e75

http://www.ebay.com/itm/3-Diamond-Endo-Perio-Tip-Insert-Instrument-for-EMS-Dental-Ultrasonic-Scaler-CA-/251257530666?pt=LH_DefaultDomain_2&hash=item3a801da92a

http://www.ebay.com/itm/E4-E4D-E5-E5D-Dental-Ultrasonic-Scaler-Tips-Tip-Endo-Diamond-Fit-EMS-/380748023173?pt=LH_DefaultDomain_0&hash=item58a659c585

http://www.ebay.com/itm/NEW-3pcs-Dental-Handpiece-Compatible-Woodpecker-EMS-Scaler-Perio-Scaling-Tips-/251446590570?pt=LH_DefaultDomain_0&hash=item3a8b627c6a

http://www.ebay.com/itm/New-120-Dental-Ultrasonic-Scaler-Endo-File-Holder-Tips-compatible-with-EMS-E1-/150951951103?pt=LH_DefaultDomain_0&hash=item23256ffaff


Capture d  cran 2015 03 12 12.28 - Eugenol
chicot29

12/02/2014 à 00h38

jeff13 écrivait:
----------------
> Comment "sonder" le plancher pulpaire sans le perforer? Vous faites ca avec quel
> instrument? Parce qu'au us classique, ca marche pas et à la fraise boule ca, bon
> courage pour pas perforer

Sx protaper sur entran. Comme le SX fait 21 mm de longueur c'est facile à utiliser. L'entran est un contre angle sans fil facile à manipuler. Je trouve le mv 2 quasiment tout le temps rien qu'avec ca. Le mv2 peut etre à coté du mv1 mais aussi certaines fois très lingualé. Tu picores la face mésiale de la chambre pulpaire et tu le trouves en général. ca ne fait pas de perforation. Souvent il rejoint le mv1, tu t'en aperçois cones de gutta en place à la radio ou plus simplement en en mettant un en place et vice versa ils ne vont pas à la meme longueur.


Egy194 ietbqd - Eugenol
tristanavi

13/02/2014 à 00h01

merci Pluton pour tes liens


Avatar eugenol pe0ymx - Eugenol
nicklebenou

13/02/2014 à 13h51

j'utilise aussi les g files pour le mv2 régulièrement. ca facilite le passage grandement.


Pa050055 igyagy - Eugenol
mark

13/02/2014 à 14h52

Pour l'expérience que j'en ai, la première chose à faire est de le VOIR.

Les aides optiques doivent assurer d'abord de vérifier le réclinement complet du plafond pulpaire à la fraise endo mousse (ultra-fine chez Komet)et suffit le plus souvent.
L'insert diamanté ET18 (Satelec)permet d'ôter le dernier surplomb de dentine secondaire éventuel qui masque l'entrée, MAIS je ne prend pas le risque de former une butée au delà du cône d'entrée minuscule de ce canal.

Une bonne sonde endo rend le service de pointer cette entrée et de préfigurer l'angulation du premier tiers du canal.

Personnellement j'obtiens l'amorçage des canaux les plus fins avec une sonde de cathétérisme en iso 06 (Lime C-pilot VDW) lubrifiée au Glyde.
Je poursuis en 10 et 15 puis passe en rotatif (Mtwo iso 10)
Le Glyde favorise grandement le travail de cathétérisme.


op

13/02/2014 à 15h33

essayez les pathfiles
une merveille


alex33

13/02/2014 à 15h52

op écrivait:
------------
> essayez les pathfiles
> une merveille

Confirmation. Pathfile +reciproc 25 = mv2 en 5 minutes en general


pontdemail

13/02/2014 à 23h36

A pluton: que valent ces instruments ultrasoniques en terme de puissance vu le prix.... cela se rapproche t'il du satelec au niveau puissance ou est ce que cela ne fait que chatouiller la dent?

Et ceci qu'est ce que ca vaut quelqu'un a dejà essayé?
http://www.ebay.com/itm/Dental-Ultrasonic-Scaler-Denjoy-Dental-Equipment-Free-shipping-EMS-Style-/141186570069?pt=LH_DefaultDomain_0&hash=item20df601755


Photo pluton1b h9n4ea - Eugenol
pluton

14/02/2014 à 00h35

sincèrement, j'ai un générateur EMS intégré sur mon fauteuil...

j'ai des PAM EMS et des chinoises de diverses productions...
et bien je peux te dire que je n'ai jamais vu de différences de performances entre les PAM...tout au plus certaines avaient une finition un peu plus "rustique"...

comme toute PAM ultrasonique, elles finissent par perdre (par usure j'imagine...) de leur puissance...mais là non plus, pas de différence de longévité notable...sauf sur un poste: le prix, je viens d'en acheter une (pas encore reçue...mais çà fait 2 jours...)comme celle que j'ai mise en exemple pour remplacer une EMS en fin de vie...25€ à peine, livraison inclue...quand une EMS coûte plus de 500€...autrement dit, je peux m'en acheter 20 pour le prix d'une...çà calme non?

pour la partie générateur, quand on voit ce qu'il y a sur une platine comme électronique, je ne me fais pas vraiment de soucis sur la capacité des chinois à produire une parfaite imitation...

bref, vu le prix, tu peux foncer...tu ne peux qu'être agréablement surpris...

et c'est pareil pour les lampes...regarde pour moins de 22€...ce genre de lampes led, j'en avais déjà 2 depuis 3 ans, une est tombée, vu le prix j'ai même pas réfléchi, j'en ai repris 2...

http://www.ebay.com/itm/Dental-10W-Wireless-Cordless-LED-Curing-Light-Lamp-2000mw-4-colors-/230761534598?pt=LH_DefaultDomain_0&hash=item35ba759486

détail qui tue: mon associée c'est acheté une lampe similaire, mais de grande marque à plus de 1000€ avec testeur sur l'embase...
par curiosité j'ai comparé le rendement de ma vieille lampe chinoise de 3 ans avec la sienne toute neuve...et bien devine laquelle "match" le testeur le plus vite....;-))


ceel

14/02/2014 à 09h29

je trouve que la fraise ln à petite vitesse ( sur contre angle endo). c'est une fraise boule long fut. tu travail sans eau, donc tu peux vraiment voir ce que tu fais. évidemment avec aide optique c'est mieux


pontdemail

14/02/2014 à 13h59

Ok merci pluton je vais tenté de toute facon a ce prix là on risque pas grand chose....


Capture d  cran 2015 03 12 12.28 - Eugenol
chicot29

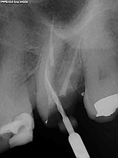
21/02/2014 à 01h05

Celui là m'a fait chier. je l'ai trouvé juste avant de prendre l'empreinte de mon ic-coiffe ( Têtu + plus de visibilité due à une cavité d'accès améliorée lol!) Spécial dédicace pour les pulpolithes qui ne m'ont pas facilité la tache.
L'orifice de ce petit enfoiré était juste à coté du canal palatin.

R4 zuy0w1 - Eugenol
R3 osgdrx - Eugenol
R2 gmzh9b - Eugenol
R1 ivtvsi - Eugenol

Capture d  cran 2015 03 12 12.28 - Eugenol
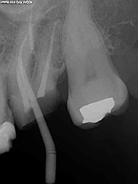
chicot29

21/02/2014 à 01h10

On voit mieux ici cone en place.

R5 w6kfnh - Eugenol

Utilisateur banni

22/02/2014 à 10h58

C'est super, ça baigne et tout et tout, super.


Capture d  cran 2015 03 12 12.28 - Eugenol
chicot29

22/02/2014 à 12h01

Oui, la solution de l'onlay ceram a été proposée elle était moins chère en plus, mais bizarrement n'a pas été retenue. L'éclairage des remboursements a été décisive.
Ce pays est foutu.


Capture d  cran 2015 03 12 12.28 - Eugenol
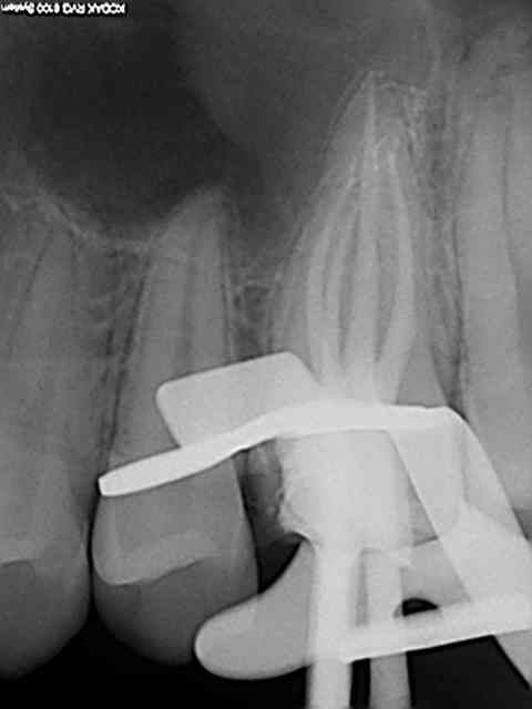
chicot29

27/02/2014 à 18h03

MV2 à coté du canal palatin.

Mv2 mafrdc - Eugenol

Capture d  cran 2015 03 12 12.28 - Eugenol
chicot29

13/03/2014 à 17h35

45mn, pas de cathétérisme manuel, sx, s1, r25, endo activator, monocones scellés ( ciment : tubuli seal, sybro endo), pas de lentulo, pour 80 euros minimum syndical hein macho ?

R1 apychy - Eugenol

12