Cookie Consent byPrivacyPolicies.comje préfère ne pas la soigner pour l'instant... - Eugenol

je préfère ne pas la soigner pour l'instant...

machu

13/02/2014 à 10h35

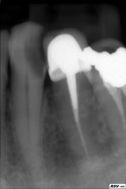
Tout est dit, par la patiente qui vient pour une endo 33 ce matin, après devis. La dent est peu symptomatique et elle ne veut pas mettre une couronne (car 215€ en charge) et elle ne veut pas non plus mettre une provisoire (payante pour le coup) en attendant 6-7 mois pour changer de mutuelle (soi-disant).

Elle préfère ne pas faire l'endo, car je ne peux pas lui assurer le parfait état de la face vestibulaire de la 33 (en hauteur et en largeur bien évidemment) après l'endo. Je l'ai prévenue du risque de pulpite, elle sait mais elle verra quand elle sera au pied du mur...

J'avais prévu de la faire son endo à perte sous digue, mais bon, si elle préfère annuler (et 1h de perdue pour bibi)

33 cfty5f - Eugenol

RépondreCiter
Capture d  cran 2015 03 12 12.28 - Eugenol
chicot29

13/02/2014 à 10h41

Laisser mijoter, avec un peu de chance nécrose a-symptomatique, carie de la racine extrac implant reste à charge fois 9.)))))))))


dent2669

13/02/2014 à 11h08

chicot29 écrivait:
------------------
> Laisser mijoter, avec un peu de chance nécrose a-symptomatique, carie de la
> racine extrac implant reste à charge fois 9.)))))))))

C'est exactement ça... mais après c'est bien sûr de notre faute si on se gave comme des cochons...

Il y a un an, le soin de cette carie lui aurait coûté 28.92€ entièrement pris en charge par la sécu et sa mutuelle...

Mais c'est de notre faute...

PS : chez moi ces patients, lorsqu'ils reviennent avec une pulpite, je leur dis que je les avais averti, que je ne peux les recevoir que dans trois jours... donc soit ils ont mal et comprennent qu'ils ont tout intérêt à faire ce que je leur recommande, soit ils vont voir ailleurs en urgence (et bon débarras !)


RépondreCiter
cy2

13/02/2014 à 11h11

sinon faut signer un protocole machin chose pour que le reste à charge soit bien moindre pour la patiente...?!

Ok je sors... ;)


145 kssowa - Eugenol
Chicot30

13/02/2014 à 11h12

Et bien tant pis pour elle... elle est informée c'est l'essentiel, un patient ne t'en voudras jamais s'il est informé.

--
"C'est parce que la vitesse de la lumière est supérieure à celle du son que certains paraissent brillants avant d'avoir l'air cons."


machu

13/02/2014 à 11h23

j'avoue attendre la pulpite avec impatience... Je l'ai également prévenue que quand elle aurait mal je ne pourrais pas forcement la prendre dans la minute (plutôt 48h après:)

Elle comprend mon problème (elle est gentille) mais elle a un souci esthétique quoi


Marine cross pagqaa - Eugenol
whiteteeth

13/02/2014 à 11h24

J'en ai dans le même genre où j'ai fait l'endo et le devis pour couronner car pas d'autres alternatives possibles. Ils prennent rdv, ils manquent leur rdv et reviennent un an après en me disant :
Je viens faire la couronne, et là extraction et devis implant... mais pas de rdv...

C'est râlant de voir une belle endo partir en extraction.


RépondreCiter
dent2669

13/02/2014 à 12h11

Par contre le jour où sa tv tombe en panne, je te parie que dans l'heure elle est chez darty pour en acheter une autre !!


4a338550 6a5b 47ea b2a7 d3cb675c5076 oni5gh - Eugenol
fistule69

13/02/2014 à 13h47

J'ai pas ce genre de problème car je réalise l'endo qu'après signature du devis et acompte.
Certains font le forcing, mais non !
Pas de bras - pas de chocolat !
Pas de couronne - pas d'endo !
Pour les bouches pourris, c'est top, un gros devis, un petit tour et puis s'en vont !


Index vakr2r - Eugenol
pgc

14/02/2014 à 02h22

C'est dommage. La 34 est en train de se mésialer et de s'engager dans la 33. Pour le coup faire de l'esthétique dans ces conditions ça ne va pas être facile. Mais bon, si elle ne veut pas, tu vas pas la forcer. Ce sont ses dents, pas les tiennes.