Cookie Consent byPrivacyPolicies.comTronculaire et enfant - Eugenol

Tronculaire et enfant

gfgjffghfghffghfghfghfh

15/02/2014 à 20h56

Bjr
a partir de


Avatar2 u3u8yh - Eugenol
riccyman

15/02/2014 à 22h55

3 ans.

http://www.dailymotion.com/video/x11tv69_lily_tech


4a338550 6a5b 47ea b2a7 d3cb675c5076 oni5gh - Eugenol
fistule69

15/02/2014 à 23h07

Tronculer un enfant dés 3 ans !
Quelle honte !


Avatar2 u3u8yh - Eugenol
riccyman

15/02/2014 à 23h29

Merci pour la franche rigolade, fistule ^^


Dentooth

16/02/2014 à 00h07

Je fais des tronculaires systématiques chez les gamins à partir de 5 ans pour les 4 et 5. Avant 5 ans: para apicale. Et franchement les gamins réagissent bcp mieux à la tronculaire qu'aux para apicales en général… les tissus mous doivent être moins innervée que dans le vestibule…

Pourquoi 5 ans? Et bien pcq l'évolution des 6 rend la corticale bien + dense, donc une para apicale ne prend plus, comme chez l'adulte.

Astuce: Penser à faire la tronculaire bien plus basse que chez l'adulte: le foramen est bcp + bas que chez l'adulte. Ca prend presque instantanément.


kssimo

16/02/2014 à 00h11

et quelle est la dose maximale qu'on peut administrer( chez l'enfant et l'adulte)????
(NBR de carpule)


Dentooth

16/02/2014 à 00h11

Sinon y'a aussi la technique ostéocentrale (Quick Sleeper) qui apparemment est super simple chez le gamin: y'a même pas à "forer" la corticale, il suffit d'appuyer. Et y'a pas de risque de morsure par la suite. Bon j'ai eu une formation sur cette technique mais je n'ai pas encore testé. Je dois avouer que c'est un peu flippant à première vue.


Dentooth

16/02/2014 à 00h16

kssimo écrivait:
----------------
> et quelle est la dose maximale qu'on peut administrer( chez l'enfant et
> l'adulte)????
> (NBR de carpule)


Je mets 1/3 de crapule chez l'enfant et ça prend. J'ignore la dose max pouvant être administrée. Mais quand avec 1 crapule ça ne prend pas je reporte le soin. C'est que le site est bien trop inflammatoire ou infecté.

Chez l'adulte si ça ne prend pas avec 2 crapules j'appelle "au secours" ma collègue (dont je suis la collaboratrice) pour qu'elle fasse une ostéocentrale. Mais maintenant que j'ai été formée je m'en chargerai moi même ;-)


Avatar2 u3u8yh - Eugenol
riccyman

16/02/2014 à 00h17

kssimo écrivait:
----------------
> et quelle est la dose maximale qu'on peut administrer( chez l'enfant et
> l'adulte)????
> (NBR de carpule)

la dose toxique doit être assez élevée quand même. un pharmaco répondrait forcément mieux à cette question.

1 carpule, c'est beaucoup mais pas toxique à mon humble avis.

dose toxique imaginée au pifomètre: 4 carpules.


Dentooth

16/02/2014 à 00h18

Dentooth écrivait:
------------------

>
> Je mets 1/3 de crapule chez l'enfant et ça prend. J'ignore la dose max pouvant
> être administrée. Mais quand avec 1 crapule ça ne prend pas je reporte le soin.
> C'est que le site est bien trop inflammatoire ou infecté.
>
> Chez l'adulte si ça ne prend pas avec 2 crapules j'appelle "au secours" ma
> collègue (dont je suis la collaboratrice) pour qu'elle fasse une ostéocentrale.
> Mais maintenant que j'ai été formée je m'en chargerai moi même ;-)


C'est insupportable cette correction automatique! ;-p


Avatar2 u3u8yh - Eugenol
riccyman

16/02/2014 à 00h33

une fois dans ma vie j'ai mis 8 "crapules"^^ en Spix à un mec avant de pouvoir bosser.

j'avoue c'est ... particulier.

3-4 maintenant c'est exceptionnel. c'est toujours sur les potes que ça tombe en plus.

Dès la 2ème je suis saouler. faut perdre son temps à attendre.
En général je file faire un peu ster.

dès le premier échec, sur des molaires qui résistent je vais me mettre à arroser partout autour. il doit y avoir des rameaux issus du lingual ou je ne sais quoi.

L'ostéocentrale, un investissement futur peut être. Un truc de plus à sortir-brancher-débrancher-ranger.


Dentooth

16/02/2014 à 00h47

riccyman écrivait:
------------------

> L'ostéocentrale, un investissement futur peut être. Un truc de plus à
> sortir-brancher-débrancher-ranger.

Alors la pédale est sans fil (nouvelle version). Et le piston peut s'adapter sur ton unit (côté assistante ou sur le tien si il reste une place), il suffit de demander à ton installateur de te bricoler un truc. Il colle le boitier sous l'unit, intègre le fil dans le bras de l'unit. Ni vu ni connu. Mais c'est vrai que c'est un sacré investissement. 4000 euros la bête. Mais ça semble un réel confort.

Pour la pédo j'ai un petit apriori. Ca fait du bruit cette bestiole, c'est quand meme pas mal impressionnant… comment faire passer "le pic de moustique" inaperçu…?


Dentooth

16/02/2014 à 00h53

Quant aux tronculaires qui ne prennent pas au bout de 2 carpules et 20 minutes d'attente, je finis par demander au patient si il ne fume pas trop de shit. Ca m'arrive pas mal de fois d'obtenir une réponse positive 8-P


Avatar2 u3u8yh - Eugenol
riccyman

16/02/2014 à 00h55

une pédale de plus non merci ^^

faudra bientôt se faire installer des pédaliers de gratteux. ^^ haha.

plus de place sur l'unit ^^

et j'ai vraiment peu de situations problématiques niveau sédation de la douleur (pas assez de fumeurs de shit ? ).

Le temps d'installer un annexe de ce type serait presque équivalent au temps nécessaire à obtenir une anesthésie satisfaisante avec la loco-régionale.

P dalier gn4wm4 - Eugenol

fr

16/02/2014 à 10h28

riccyman écrivait:
------------------

> L'ostéocentrale, un investissement futur peut être. Un truc de plus à sortir-brancher-débrancher-ranger.

J'ai bossé dans un cab ou 3 fauteuils ont été equipés. on etait 4 dentistes sur ces 4 fauteuils ...
au final les 3 trucs ont fini dans un placard !!! et pourtant je suis un tetu de chez tetu quand il s'agit de mettre en place un nouveau systeme, j'abandonne pas facilement :
voila mon vecu avec le QS :
- encore un truc en plus .. pedale, fil ...
- je travaille en cassette avec seringue dans la casssette .. bin .. là il faut soit racheter autant de porte carpuleque de plateau ou revenir en arriere niveau hygiene !
-le passage de l'os au forage + bruit les patients n'adoraient pas plus que l'anesthésie classique !
- les palpitations ne sont pas rares et honnetement c'est quand meme flippant d'avoir un tel effet au niveau général.
- l'anesthésie est de bonne qualité mais pas plus qu'une autre technique bien erpouvée.
- si par accident tu te retrouves en dans le ligament ou au contact de la racine .. le patient s'en souvient !
-les effets de l'anesthesies disparaissent brutalement ... le top quand tu es en pleine chir apicale ! ou meme au moment de l'obtu à chaud en endo !
- les suites post op sont beaucoup plus douloureuses ! ( on a fait les premiers test sur un confrere ... il a pas aimé "le reveil"

les avantages : anesthesie prend rapidement
ça fait high tech pour certains patients !

Alors ma conclusion est :
c'est un outil interessant tres loin d'etre adapté a tous les exercices et au prix du truc c'est tres largement abusif ca n'est ni plus ni moins qu'un moteur avec un piston ... bref de toute facon encore une fois les trucs revolutionnaires n'ont pas besoin de pub ( alors que là, qui n'a pas recu d'appel du dr truc ..et en fait c'est la commerciale qui se fait passer pour l'assistante du dr truc qui organise une formation a coté de chez vous !!) et pour moi maintenant quand on me prete pas le truc a essayer qq temps .. c'est NON !
a ce sujet j'attends toujours qu'on me prete plus de 3 jours un moteur reciproc ... je pars assez convaincu mais ma cave et la dechetterie regorge de matos !


Avatar hjdsnm - Eugenol
TiGabi

16/02/2014 à 14h13

J'utilise exclusivement le QuickSleeper depuis 2 ans au cabinet : je n'ai plus touché une seule seringue. Je serai incapable de m'en passer.

- Pour le confort :
* La présentation "en stylo" est moins anxiogène pour le patient qu'une seringue.
* La vitesse d'injection contrôlée électroniquement permet de diminuer au maximum la sensation désagréable de pression.
* Il n'y a pas d'engourdissement des tissus mous.
* Il n'y a qu'un seul point d'injection donc une seule piqûre.
* Je soigne exclusivement des enfants : la "tachycardie" me semble anecdotique.
* Le bruit est faible. Lors de la mise en rotation, il suffit de dire "Le stylo va vibrer un instant" : je n'ai jamais eu de perte de coopération suite à une rotation.

- Pour l'efficacité de l'anesthésie :
* Fiable : c'est la technique la plus reproductible que je connaisse. Il n'y a pas d'aspect aléatoire lié à la diffusion non contrôlée de l’anesthésiant dans les tissus mous.
* Très efficace : même sur des pulpites de molaires mandibulaires.
* Travail sectoriel.

- Le prix :
* Economie de carpules : j'utilise une seule carpule dans 95% des cas.
* Le coût de l'appareil est dérisoire comparé au gain en rapidité/efficacité et amorti sur plusieurs années.
* L'appareil est garantie 2 ans. Le SAV est impeccable (appareil de prêt reçu dans les 24h en cas de panne). DentalHiTech est une société très à l'écoute, réactive et sympathique.

Je précise que je n'ai aucun lien avec cette société.

C'est un appareil qui nécessite une courbe d'apprentissage sur 1-2 mois. Il doit être utilisé en permanence, pas seulement pour certains cas. Passé ce cap, ce n'est que du bonheur.

Je travaille aussi à l’hôpital : quand je dois faire une anesthésie avec une seringue classique, j'ai l'impression d'être au moyen-âge.


mot de passe : eugenol


fr

16/02/2014 à 14h39

toutes mes felicitations TiGabi , ca me confirme encore une fois que la pedodontie est une discipline qui merite d'etre reconnue comme une specialité.
Tu ne soignes que des enfants ? penses tu pouvoir faire vivre un cabinet qui ne ferait que de la pedodontie au tarif secu dans une zone difficile ou les enfants et surtout les parents sont un peu moins compliants que cette charmante demoiselle sur la video? et tout cela sans avoir une activité hospitaliere à coté ?

petite question ? le container a carpule du quicksleeper sur la video est sterile ? comment penser que les microfelures visibles à l'oeil nu ( donc je n'imagine pas au microscope) ne sont pas remplies de debris bacteriens et autres virus ?

quand tu dit economique ??? car une seule carpule ? quel est le surcout lié aux aiguilles par rapport a des aiguilles avec 30% de remise en VPC ? quel est egalement le surcout lié à l'achat d'une vingtaine de container a carpules pour remplir les vingts plateaux néceesaires quand on travaille en plateaux preparés ?


Avatar hjdsnm - Eugenol
TiGabi

16/02/2014 à 15h08

fr écrivait:
------------
> Tu ne soignes que des enfants ? penses tu pouvoir faire vivre un cabinet qui ne
> ferait que de la pedodontie au tarif secu dans une zone difficile ou les enfants
> et surtout les parents sont un peu moins compliants que cette charmante
> demoiselle sur la video?

Oui, c'est ce que je fais. Je travaille avec environ un quart de patients titulaires de la CMU. Le HN représente 26% de mon CA. Mon CA est celui d'un cabinet moyen d'omnipratique. Par contre, je sais que je n'aurai du mal à dépasser ce CA de cabinet moyen, même en fin de carrière. Mon activité hospitalière est secondaire et est moins rémunératrice que le cabinet.

> petite question ? le container a carpule du quicksleeper sur la video est
> sterile ?

C'est un container plastique de SleeperOne que je n'utilise plus du tout car effectivement supportant mal les stérilisations. J'utilise désormais uniquement des containers métalliques.

> quand tu dit economique ??? car une seule carpule ? quel est le surcout lié aux
> aiguilles par rapport a des aiguilles avec 30% de remise en VPC ?

Les aiguilles DHT sont à 166 euros les 10 boîtes de 100, soit 1000 aiguilles. Megadental vend 1000 aiguilles pour 153 euros.
La différence de prix est minime, même avec une remise.
Il est tout à fait possible d'utiliser des aiguilles "Megadental" sur un QuickSleeper : mais je trouve que le "biseau-bistouri" des aiguilles DHT est un vrai plus.

> egalement le surcout lié à l'achat d'une vingtaine de container a carpules pour
> remplir les vingts plateaux néceesaires quand on travaille en plateaux preparés
> ?

Les containers sont extrêmement chers : 138 euros pièce. S'il t'en faut 20, c'est effectivement un surcoût énorme.


fr

16/02/2014 à 15h32


> Les containers sont extrêmement chers : 138 euros pièce. S'il t'en faut 20,
> c'est effectivement un surcoût énorme.

c'est effectivement un veritable surcout, les seringues 100% en inox sont remise deduite 2 fois moins chers...

et je ne suis meme pas sur que les containers soient en INOX !!!


Avatar2 u3u8yh - Eugenol
riccyman

16/02/2014 à 15h43

Tigabi, merci pour le partage et ton avis.

j'ai frissoné de voir la petite secouer la tête pour dire non. t'as pas peur de péter ton aiguille...


Avatar hjdsnm - Eugenol
TiGabi

16/02/2014 à 15h56

riccyman écrivait:
------------------
> j'ai frissoné de voir la petite secouer la tête pour dire non. t'as pas peur de
> péter ton aiguille...

Une fois l'aiguille plantée, je maintiens le QuickSleeper légèrement appuyé contre l'os : pendant l'injection, l'enfant peut bouger dans tous les sens sans que cela pose de problème.

Comme ici :


4a338550 6a5b 47ea b2a7 d3cb675c5076 oni5gh - Eugenol
fistule69

16/02/2014 à 16h01

On peut l'attacher ?
J'aime bien les menottes aussi !


Capture ddc6bm - Eugenol
sumble

16/02/2014 à 17h05

Jamais fais de tronculaire chez l'enfant. Avant para + intralig. Depuis que je suis passé au QS, quel confort!
QS, la courbe d'apprentissage peut être très longue. 3 mois dans mon cas, pour être vraiment à l'aise.

Petit témoignage perso concernant la pédo.
La pédo, je détestai ça. Je pense que la raison de mon malaise avec les gosses doit avoir son origine dans mon enfance. Le fait d'être confronter à mes responsabilités et mon devoir de les soigner m'a un peu changé. Une fois rentrer "dans leur monde", c'est facile. Avec QS et digue, c'est palier de franchi en qualité, confort et plaisir de travail.
En ce moment, j'ai une petite pas encore 5 ans. 12 caries (toutes les molaires et les 4 ant sup). C'est pas plaisant quand à la 2ème séance de soins (les 4 ant), la gamine fait sa sieste? Je regrette l'oubli des photos pour le partager avec vous.


Pierre-E

16/02/2014 à 21h52

une troncuquoi ????


Enfant = QS4, point barre.

Aiguille verte, courte, rigide, anesthésie délicate de la papille et après on rentre dans le septum osseux en forçant un chouilla, en s'appuyant d el'autre côté : je dis au gamin "je vais un petit peu serrer ta mâchoire pour qu'elle reste bien droite" et hop.

Succès 100%.

Encore hier, 53 D + pulpes sur 54 et 55 en 45 minutes (oui, faut que le gamin puisse ouvrir 45 minutes.....)


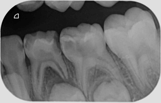
Bagheera tudzjy - Eugenol
bagheerra

17/02/2014 à 10h39

Ca m'intéresse, ça.
Dans le cas de la radio ci-jointe, penses-tu pouvoir faire les 3 soins avec un point d'injection ? En interradiculaire de la 74 ?

Camille jertgm - Eugenol

12