Cookie Consent byPrivacyPolicies.comRemonter la DV - Eugenol
Ylfwcw979cz1jnx9gfqeaxndiuzk - Eugenol
Algi

20/02/2014 à 10h45

http://www.eugenol.com/sujets/401670-posture-et-occlusion?page=1#post_736325

Déjà, pour avoir les bases.

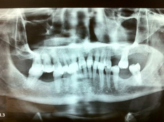
Ce cas:

DV effondrée, mord sur la papille incisive maxillaire, 13 à 23 vestibulées, facettes d'usure au collet de 11/21 en palatin, dents mobiles, etat paro trés dégradé, mobilités moins importantes qu'on pourrait croire mais quand même.

Etat général ok mais lombalgie, dorsalgie, ronfle, respi buccale, dort mal.....

Traitement proposé "ailleurs":
des trucs du genre "faut tout virer" et, plus généralement, "Oh putain je sais pas comment on va gérer tout ça!"

--
On a toujours le choix mais entre quoi et quoi?
Vas-y boulégue et l'avenir te le dira!

Img 4741 nzqgy1 - Eugenol
Img 4796 itvyim - Eugenol
Img 5124 ilp3fd - Eugenol
Img 5126 xvxf6a - Eugenol
Img 5127 h14qpz - Eugenol
Img 5130 p8aulb - Eugenol

Mm goodteeth2 ex0rr1 - Eugenol
Jules

20/02/2014 à 19h00

Effectivement, cas ardu.
J'avoue faire partie de ceux qui se demandent comment gérer...

Je me lance quand même. Trop heureux de voir un sujet clinique.
Et je te remercie de nous faire nous torturer un peu les méninges.

Vestibulo-version des incisives maxillaires avec aspect en éventail typique des parodontites chroniques, confirmé par le niveau osseux uniforme sur la pano et les mobilités évoquées.
Stabilisation paro à obtenir donc.

DV effondrée, particulièrement évident en antérieur : réalisation d'une gouttière occlusale mandibulaire rétablissant une DV validée par le mieux-être ressenti par le patient.
On peut utiliser la technique des cales postérieures en carton dont tu parlais dans le post précédent.
Au passage, je te remercie du "truc" de la palpation des trois faisceaux, j'en use et abuse depuis que je t'ai lu. L'essayer, ça a été l'adopter.

La paro et la DV stabilisées, il sera temps de rentrer les incisives maxillaires par de l'ortho, puis de passer en définitif la DV rectifiée, après une phase de temporisation sous provisoires et une réévaluation pour valider.

En attendant avec impatience tes corrections ou ta prochaine piste de réflexion.


Mm goodteeth2 ex0rr1 - Eugenol
Jules

20/02/2014 à 19h02

Doublon...


Avatar2 u3u8yh - Eugenol
riccyman

20/02/2014 à 19h20

je virerai les 4 incisives sup pour commencer.


Avatar2 u3u8yh - Eugenol
riccyman

20/02/2014 à 19h21

peut être même les 8 ....... Edit : non quand même pas


Ylfwcw979cz1jnx9gfqeaxndiuzk - Eugenol
Algi

20/02/2014 à 20h42

Donc oui on a remonté la dv et non je n'ai viré aucune incisive....

Novembre 2013:

04/11/13: empreintes et realisation d'une maquette resine en bas pour determiner ma dv.

19/11/13, 2 choses ce jour là:
A/ pose de deux "machins" en resine composite pour caler.
resine zirkhon zahn usinée ou composite fibré (lui je sais plus)

Les deux "machins" sont placés "par dessus" ses dents du bas du coup c'est un peu mastoc et peu esthetique mais 1/ c'est amovible 2/facile à remplacer si ca casse ou s'il en perd un.
Au debut il a fait tenir avec du fixodent dans les intrados des "coiffes" piliers.

B/ le gros morceau: en plus de sa perte de dv il respire par la bouche, ronfle et serre les dents on va donc lui faire porter un activateur de soulet et besombes EPK ("de marseille")et lui donner des exercices de respiration et de détente à faire 3 fois 5 minutes la journée.
En sus, avant, pendant et après j'ai bossé avec le protocole mis au point avec Isaïe en 2010.

Le but est de commencer l'ortho au moins au niveau des incisives, les secteurs lateraux je ne pense pas qu'ils soient mobilisables du fait des gouttieres cales.

--
On a toujours le choix mais entre quoi et quoi?
Vas-y boulégue et l'avenir te le dira!

Img 4788 ffy4bp - Eugenol
Img 4792 v5arrx - Eugenol
Img 4794 bthn2i - Eugenol
Img 4796 ytx1yh - Eugenol
Img 4798 uzx6jw - Eugenol

Ylfwcw979cz1jnx9gfqeaxndiuzk - Eugenol
Algi

20/02/2014 à 20h58

Les étapes maquettes et les photos avant après.


Pour savoir la suite il va falloir attendre, je fais des empreintes pour voir l'avancement (ou plutôt le recul) des ses incisives d'ici un ou 2 mois.

Je l'ai vu hier: les incisives reculent, ne sont plus mobiles alors qu'on a fait "que" deux detartrages/lithorities et 2 seances de laser. Plus on a viré les amalgames, refait des compos et traité les caries.

Et c'est tout.... ou presque car aussi il se brosse 2 fois par jour avec brosse meridol + brossettes butler + H202 goménolée.

Il dort mieux, son mal au dos va mieux, IL va mieux et IL est super content (et MOI donc!!!!!!!)

Pour parler "dents" et paro: poche plus de 10mm sur la 16 en mesial, prevu extraction un de ces 4.
"Un de ces 4" car dent asymptomatique et fonctionnelle, pas d'atteinte de l'attache et de l'os de la 15 en distal, donc pas d’urgence si on surveille.

Plan de traitement à court terme:

1/ implants avec dents resine pour caler definitivement à la dv essayée seraient interressant mais me paraisssent peu compatibles avec l'expansion que j'espere obtenir avec le soulet et besombes EPK

2/ On attend X mois pour voir comment evolue l'ortho.
Si les molaires mandibulaires m'écoutent elles egresseront et sinon on fera soit des coiffes soit des onlays.

Plus long terme:

une fois la DV et les fonctions respiration et deglutition rétablies
en bas implants pour les secteurs edentés

en haut, soit il conserve ses dents et on attend quelques années soit on virera les anterieures et on fera des implants aussi.

nb: noter l'apaisement du visage et son allongemeny, les cernes aussi vont mieux mais les caches les cachent...
--
On a toujours le choix mais entre quoi et quoi?
Vas-y boulégue et l'avenir te le dira!

Img 5132 gjjbpd - Eugenol
Img 5134 q5eycf - Eugenol
Img 5136 d6yqgm - Eugenol
Img 5138 qnc8p9 - Eugenol
Img 5139 orqnns - Eugenol

Ylfwcw979cz1jnx9gfqeaxndiuzk - Eugenol
Algi

20/02/2014 à 21h04

ps: pour le haut.... j'attend de voir comment se positionnent les anterieures pour réévaluer mes hauteurs coronaires au niveau des molaires.
Soit un plan correct est maintenu soit il faudra aussi recouvrir les posterieures.

pps: concernant l'expansion, il est pas impossible que le haut s'ouvre, restera à s'occuper du bas + tard si les cales empechent l'expansion mais.... wait & see.

--
On a toujours le choix mais entre quoi et quoi?
Vas-y boulégue et l'avenir te le dira!


Avatar2 u3u8yh - Eugenol
riccyman

20/02/2014 à 21h08

ok, tu vires aucunes incisives mais pour la béance antérieure tu la gères comment ?

l'ortho avec le rapport couronne/racine, ça parait un peu hasardeux, non ?


Ylfwcw979cz1jnx9gfqeaxndiuzk - Eugenol
Algi

20/02/2014 à 21h20

Relis tout et sois patient.....

Le "comment", tout y est, relis bien:
les activateurs de soulet et besombes EPK, voilà l'outil.

On y rajoute une pincée de lois de planas et on attend la remodelisation par modification de respiration et deglutition.

Voilà ce dont je vais me servir.

Pour ce qui est de "soit patient";

Quand à savoir "quand" on sera arrivé moi je sais pas, très humblement je tente des "trucs" et j'attend de voir comment le patient va réagir.
Et je suis pas inquiet (ni lui dont je salue ici la confiance).

Pour l'instant, bingo, il va mieux et cela suffit à mon bonheur (ça et partager avec vous).

--
On a toujours le choix mais entre quoi et quoi?
Vas-y boulégue et l'avenir te le dira!


Ylfwcw979cz1jnx9gfqeaxndiuzk - Eugenol
Algi

20/02/2014 à 21h25

Les activateurs epk.... c'est quoi?

De l'ortho adulte (et enfants) sans bagues... c'est quoi?

La coherence cardiaque c'est quoi?


On s'est lancé dans des formations d'ortho fonctionnelle avec quelques copains.

Si ça vous tente de savoir envoyez moi un mp.

Le mec avec la tête de con qui porte un activateur c'est moi....



--
On a toujours le choix mais entre quoi et quoi?
Vas-y boulégue et l'avenir te le dira!

Img 5148 qr6wyg - Eugenol
Img 5150 gatzdv - Eugenol

Avatar2 u3u8yh - Eugenol
riccyman

20/02/2014 à 21h33

Merci Algi


pontdemail

20/02/2014 à 21h47

Jules écrivait:
---------------
> Effectivement, cas ardu.
> J'avoue faire partie de ceux qui se demandent comment gérer...
>
> Je me lance quand même. Trop heureux de voir un sujet clinique.
> Et je te remercie de nous faire nous torturer un peu les méninges.
>
> Vestibulo-version des incisives maxillaires avec aspect en éventail typique des
> parodontites chroniques, confirmé par le niveau osseux uniforme sur la pano et
> les mobilités évoquées.
> Stabilisation paro à obtenir donc.
>
> DV effondrée, particulièrement évident en antérieur : réalisation d'une
> gouttière occlusale mandibulaire rétablissant une DV validée par le mieux-être
> ressenti par le patient.
> On peut utiliser la technique des cales postérieures en carton dont tu parlais
> dans le post précédent.
> Au passage, je te remercie du "truc" de la palpation des trois faisceaux, j'en
> use et abuse depuis que je t'ai lu. L'essayer, ça a été l'adopter.
>
> La paro et la DV stabilisées, il sera temps de rentrer les incisives maxillaires
> par de l'ortho, puis de passer en définitif la DV rectifiée, après une phase de
> temporisation sous provisoires et une réévaluation pour valider.
>
> En attendant avec impatience tes corrections ou ta prochaine piste de réflexion.

Hello, c'est quoi ce "truc" de la palpation des 3 faisceaux?


Ylfwcw979cz1jnx9gfqeaxndiuzk - Eugenol
Algi

20/02/2014 à 22h31

Les trois faisceaux c'est le lien dans le premier message, faut suivre un peu!

--
On a toujours le choix mais entre quoi et quoi?
Vas-y boulégue et l'avenir te le dira!


Bebe 038 nf8eum - Eugenol
danteyeah

21/02/2014 à 02h17

Algi écrivait:
--------------

> 2/ On attend X mois pour voir comment evolue l'ortho.
> Si les molaires mandibulaires m'écoutent elles egresseront et sinon on fera soit
> des coiffes soit des inlays.


Je ne sais pas si il est souhaitable de rechercher une égression des molaires mandibulaires, la paro étant déjà limite comme ça ailleurs, mais surtout je ne vois pas comment elles vont égresser avec leur cale en place? Pourrais tu m'éclairer.

Ah sinon algi, demande à tes gamins d'arrêter de faire mumuse avec ton apn, ou à la rigueur qu'ils le règle sur AF :-)


120 81 mdkvjo - Eugenol
Monaco

21/02/2014 à 05h07

danteyeah écrivait:
-------------------
> Algi écrivait:
> --------------
>
> > 2/ On attend X mois pour voir comment evolue l'ortho.
> > Si les molaires mandibulaires m'écoutent elles egresseront et sinon on fera
> soit
> > des coiffes soit des inlays.
>
>
> Je ne sais pas si il est souhaitable de rechercher une égression des molaires
> mandibulaires, la paro étant déjà limite comme ça ailleurs, mais surtout je ne
> vois pas comment elles vont égresser avec leur cale en place? Pourrais tu
> m'éclairer.
>
> Ah sinon algi, demande à tes gamins d'arrêter de faire mumuse avec ton apn, ou à
> la rigueur qu'ils le règle sur AF :-)


Pareil, comment elles égressent avec les cales ?


Ylfwcw979cz1jnx9gfqeaxndiuzk - Eugenol
Algi

21/02/2014 à 15h11

Ce cas est complexe. D'abitude, ceux à qui je propose une levée de supra ont des dents du fond sur lesquelles on peut jongler entre cales et inoclusions.

Ici il a fallu mettre des priorités et le plus urgent était de trouver une DV et de sauver de 13 à 23. Même temporairement. De sortir ce patient de cette situation invivable posturalement aussi.

Ensuite du fait qu'il lui manque beaucoup de posterieures j'ai opté pour ces cales.

Effectivement il est peu probable qu'on assiste à une égression molaire ici.

Donc je m'occupe des anterieures.

Si on arrive à une oclusion sur les anterieures je reflechirai alors à comment caler derriere tout en laissant des dents en inoclusion afin de leur donner la possibilité de se placer verticalement.

Et du coup j'aurai sans doute à opter pour implants mandib et dents resine à la bonne dv (à condition d'avoir de quoi se caler en face).

Oilou les petits loups.

Je suis presentement en congés et reviendrai le 3 mars, en cas d'urgence appelez le conseil de l'ordre ou consultez le journal du jour.

--
On a toujours le choix mais entre quoi et quoi?
Vas-y boulégue et l'avenir te le dira!


Darmon - Eugenol
Latin

29/10/2014 à 01h34

Hello Algi,

Tu en es où avec ce cas complexe?

Ca marche l'activateur? Tu lui as corrigé sa classe 2 en propulsion? Il ne ronfle plus du coup? Ou alors c'est un cas chir ortho? Elle dit quoi la télé de profil sur les voies aériennes et le repositionnement sagittal et vertical (ou plutôt rotation postérieure plus que variation verticale) de la mandibule?

Bref, on veut la suite!!!


cy2

30/10/2014 à 11h41

Algi écrivait:
--------------
> ps: pour le haut.... j'attend de voir comment se positionnent les anterieures
> pour réévaluer mes hauteurs coronaires au niveau des molaires.
> Soit un plan correct est maintenu soit il faudra aussi recouvrir les
> posterieures.
>
> pps: concernant l'expansion, il est pas impossible que le haut s'ouvre, restera
> à s'occuper du bas + tard si les cales empechent l'expansion mais.... wait &
> see.
>
> --
> On a toujours le choix mais entre quoi et quoi?
> Vas-y boulégue et l'avenir te le dira!


C'est là où tu te trompes pour ce traitement : ce sont les incisives inf qui ont egressé!! cf plan occlusal de Ricketts...
P.S. : il y a quand une perte de DV (mais moins grande)


Ylfwcw979cz1jnx9gfqeaxndiuzk - Eugenol
Algi

30/10/2014 à 20h38

Pour les plus: DV bien acceptée, les antérieures en eventail se sont rangées, on lui pose implants en 36/46 sous peu afin de remplacer les postérieures mandibulaires.

Pour les moins: antérieures haut et bas restent bien mobiles et on a du extraire la 16.

Je le vois semaine prochaine, j'essaie de pas oublier photos.

--
On a toujours le choix mais entre quoi et quoi?
Vas-y boulégue et l'avenir te le dira!


Ylfwcw979cz1jnx9gfqeaxndiuzk - Eugenol
Algi

30/10/2014 à 20h42

Cy2: certes y'a aussi une egression des anterieures sup mais pas si évidente car si on place un plan de fox en alu c'est presque bon.

De toutes façons l'activateur et les cales vont favoriser un repositionnement correct de tout ça.

Si la paro s'en était pas mélée ce serait top ;0)

--
On a toujours le choix mais entre quoi et quoi?
Vas-y boulégue et l'avenir te le dira!


Vw campersurfvan bmnk1q - Eugenol
enlaye

31/10/2014 à 00h39

Algi tu es un Bricoteur


Ylfwcw979cz1jnx9gfqeaxndiuzk - Eugenol
Algi

31/10/2014 à 08h49

Merci du compliment.

--
On a toujours le choix mais entre quoi et quoi?
Vas-y boulégue et l'avenir te le dira!


Vw campersurfvan bmnk1q - Eugenol
enlaye

31/10/2014 à 09h02

tu ne connais pas le Dr Bricot fondateur des ces ttt ?


Ylfwcw979cz1jnx9gfqeaxndiuzk - Eugenol
Algi

31/10/2014 à 19h53

"Bricoleur"... avais pas noté la majuscule.... Tellement de fôtes sur ce forum que les clins d'œil à notre belle syntaxe passent a la trappe....

Bricot donc...

Je le connais pas directement mais je connais son existence et ai été "informé" par des confrères qui le connaissent.

--
On a toujours le choix mais entre quoi et quoi?
Vas-y boulégue et l'avenir te le dira!


12