Cookie Consent byPrivacyPolicies.comPerte osseuse importante sur dents unitaires: quelles - Eugenol

Perte osseuse importante sur dents unitaires: quelles solutions

Logo vuaztn - Eugenol
mac

25/02/2014 à 18h39

Cette patiente vient me voir pour trouver une solution pour sa 15, que proposez vous?


--
mac

http://focusimplant-unitaire-posterieur.com/

http://focusimplant-unitaire-posterieur.com/FLB-Formation-Plaquette.pdf

Eugenol - Eugenol
Eugenol - Eugenol
Eugenol - Eugenol
Eugenol - Eugenol
Eugenol - Eugenol

Capture d  cran 2013 02 02   21.02 - Eugenol
gouj-euros

25/02/2014 à 19h55

ATCD? mobilité? sondage?......DC16 à mon avis mais pourquoi pas déposer , retraiter pour reconstruire de l'os et re-évaluer dans qqs mois...pas grand chose a perdre, on peut etre parfois surpris et on peut avoir assaini et légèrement reconstruit au passage un futur probable site implantaire
La 3D peut etre intéressante d'emblée ici pour établir les chances d'une possibilité de guérison (j'ai peine a y croire m'enfin)


Logo vuaztn - Eugenol
mac

25/02/2014 à 21h35

la dent a eu une résection apicale à l'ancienne il y a quelques années, est mobile, plus d'os en vestibulaire : No way!



--
mac

http://focusimplant-unitaire-posterieur.com/

http://focusimplant-unitaire-posterieur.com/FLB-Formation-Plaquette.pdf


Capture d  cran 2013 02 02   21.02 - Eugenol
gouj-euros

25/02/2014 à 23h48

Je n'ai pas fait gaffe que le post était en "implanto" je comprend mieux. Je ne voyais pas trop l'espoir qu'on pouvait avoir pour cette dent, j'y ai pourtant donné du mien ;-)
Aucune maitrise de l'implanto je laisse les cadors d'eugenol te répondre


Logo vuaztn - Eugenol
mac

26/02/2014 à 19h03

Bon j'ai extrait la dent et maintenant y a un gros trou.


--
mac

http://focusimplant-unitaire-posterieur.com/

http://focusimplant-unitaire-posterieur.com/FLB-Formation-Plaquette.pdf

Img 3472 m6qobf - Eugenol
Img 3473 xs5juw - Eugenol

G-P

26/02/2014 à 19h15

Gratter + laisser cicatriser pour récupérer de la gencive attachée, ROG, implant à 6 mois ?


CoCr

26/02/2014 à 19h57

Au moins 8 semaines de cicatrisation, puis pose implant (avec ostéotome si hauteur sous-sinusienne insuffisante ?)
+ ROG + greffe de conjonctif à prévoir .

Attention de plus on observe des signes de tensions occlusales (abrasions, érosions cervicales ) .
Une gouttière de protection serait peut-être à prévoir ?


Image r6habu - Eugenol
Thomas Crown

26/02/2014 à 20h54

Ben la tu nettoies tout jusqu à retrouver un spongieux propre et qui saigne, lambeau, implant, granules et membrane sur toute la partie vestib, voir 2 vis pour tenir tout ça, et tu finis avec un conjonctif " enroulé" ou plutôt translaté de palatin en vestib.. J.ai jamais fait , mais j'ai hâte.

Mais sur le principe, tu as ici une lésion osseuse chronique, clairement lié à une occlusion défavorable en oim et latéralité , cette prémolaire était condamné des la pose de la métal.

Pas de contre indic infectieuse clair la dessus, si on attend la cicat, y' aura plus rien à récupérer comme tissu os ou GA..

La seule contre indic à la pose immédiate dans un cas pareil? Infection non maitrisé, pas le cas ici..


Mais je dis peut être une grosse c......


Avatar ow44t3 - Eugenol
Chicot

26/02/2014 à 22h35

Thomas Crown écrivait:
----------------------

> Mais je dis peut être une grosse c......

mais non......

Ici le chalenge c'est: stabiliser l'implant, puis greffer ou ROG comme tu veux et refermer étanche en priant pour que la GA pousse toute seul et que les collets soit alignés

Trop de miracle à la fois= trop de risque

exo, fermeture des tissus mous à 8 semaine et ensuite on peut jouer à greffer ou ROG et pose de l'implant à 5 mois si greffe autogène, 6 à 9 mois si ROG avec de la poudre machin

tiens moi aussi je vais mettre un coup de pub !! On apprend tout ça ici:

http://www.convergences-cliniques.fr


--
;O)


Img 0812 mvp6i0 - Eugenol
jeamba

27/02/2014 à 01h04

Je me permets de proposer une solution fiable, écologique, biologique et économique, une solution séduisante à laquelle on ne pense jamais. Elle a été proposée et développée par Maurice SALAMA .
Un traitement orthodontique sectoriel(de 11 à 17)de quelques mois(5 ou 6) de recul de la 14 à la place de la 15. Un recul qui va apporter avec la 14 tout le capital osseux et gingival, et qui va laisser un espace clean à la place de la 14. Je pense qu'entre proposer une reconstruction chirurgicale compliquée, fastidieuse et à résultat incertain, et un recul ortho sectoriel, le patient aura vite fait son choix.Qu'en pensez vous? Pluton?


Images jm2g2g - Eugenol
dr_0le

27/02/2014 à 09h07

Tout simplement prothèse conjointe:
Tu grattes le composite sur 16 pour te faire n taquet suffisant, tu fais réaliser au labo un petit "bridge" avec attelle collée palatine sur 14, et taquet zircone sur 16... Esthétique parfaite, et rapidité du traitement..


G-P

27/02/2014 à 09h37

Après la solution la plus ortho, la plus rapide, j'ai la solution la moins chère si vous voulez : ne rien faire.


Logo vuaztn - Eugenol
mac

28/02/2014 à 07h54

G-P écrivait:
-------------
> Gratter + laisser cicatriser pour récupérer de la gencive attachée, ROG, implant
> à 6 mois ?


oui mais j'ai pas choisi cette solution, quelle type de ROG tu ferais?

--
mac


Logo vuaztn - Eugenol
mac

28/02/2014 à 07h56

CoCr écrivait:
--------------
> Au moins 8 semaines de cicatrisation, puis pose implant (avec ostéotome si
> hauteur sous-sinusienne insuffisante ?)
> + ROG + greffe de conjonctif à prévoir .
>

pose d'implant ça risque d'être chaud vu le volume osseux restant. Quel type de ROG ferais tu.


> Attention de plus on observe des signes de tensions occlusales (abrasions,
> érosions cervicales ) .
> Une gouttière de protection serait peut-être à prévoir ?


la patiente a un peu plus de 60 ans, rien de choquant pour moi.


--
mac


Logo vuaztn - Eugenol
mac

28/02/2014 à 07h57

Thomas Crown écrivait:
----------------------
> Ben la tu nettoies tout jusqu à retrouver un spongieux propre et qui saigne,
> lambeau, implant, granules et membrane sur toute la partie vestib, voir 2 vis
> pour tenir tout ça, et tu finis avec un conjonctif " enroulé" ou plutôt
> translaté de palatin en vestib.. J.ai jamais fait , mais j'ai hâte.
>


comme l'a dit chicot ça fait un peu beaucoup ;)


--
mac


Logo vuaztn - Eugenol
mac

28/02/2014 à 07h59

jeamba écrivait:
----------------
> Je me permets de proposer une solution fiable, écologique, biologique et
> économique, une solution séduisante à laquelle on ne pense jamais. Elle a été
> proposée et développée par Maurice SALAMA .
> Un traitement orthodontique sectoriel(de 11 à 17)de quelques mois(5 ou 6) de
> recul de la 14 à la place de la 15. Un recul qui va apporter avec la 14 tout le
> capital osseux et gingival, et qui va laisser un espace clean à la place de la
> 14. Je pense qu'entre proposer une reconstruction chirurgicale compliquée,
> fastidieuse et à résultat incertain, et un recul ortho sectoriel, le patient
> aura vite fait son choix.Qu'en pensez vous? Pluton?


Franchement je suis pas sur que le patient aura vite fait son choix, le problème c'est de trouver un ortho qui sache le faire, tu as des cas à nous montrer jeamba?

--
mac


Logo vuaztn - Eugenol
mac

28/02/2014 à 08h00

dr_0le écrivait:
----------------
> Tout simplement prothèse conjointe:
> Tu grattes le composite sur 16 pour te faire n taquet suffisant, tu fais
> réaliser au labo un petit "bridge" avec attelle collée palatine sur 14, et
> taquet zircone sur 16... Esthétique parfaite, et rapidité du traitement..


c'est que j'avais proposé à la patiente mais dans la version bridge classique elle n'a pas voulu.

--
mac


Logo vuaztn - Eugenol
mac

28/02/2014 à 08h07

J'ai décidé de réaliser un lambeau déplacé latéralement associé à un conjonctif enfoui le jour de l'extraction afin d'avoir des tissus mous de meilleure qualité pour la greffe, ci joint les photos à 6 semaines.

--
mac

http://focusimplant-unitaire-posterieur.com/

http://focusimplant-unitaire-posterieur.com/FLB-Formation-Plaquette.pdf

Eugenol - Eugenol
Eugenol - Eugenol
Eugenol - Eugenol

Img 0812 mvp6i0 - Eugenol
jeamba

28/02/2014 à 10h23

Je n'ai pas personnellement des cas à montrer mais reculer une dent avec tout son parodonte n'est un secret pour personne et c'est le même principe que la traction orthodontique rapide ou lente en fonction si on veut tracter la racine seule ou avec son attache.
Moi je fais de l'otho en omnipratique et reculer des dents suite à des extractions j'en fait sans aucune difficulté et il n'y a pas besoin de connaissances spéciales ou un ortho "sur spécialisé" pour faire çà.
Je ne suis pas du tout sûr que si tu proposes à ton patient à choisir entre ce traitement lourd, long, à résultat incertain et mettre quelques brackets sans aucune chirurgie, qu'il hésite. Je ne critique pas cette démarche mais mon avis personnel je trouve que c'est démesuré comme traitement. Je pense que tu dois attendre quelques mois la maturité de ta greffe et ensuite ou faire une greffe osseuse ou une ROG et encore une nouvelle attente et ainsi de suite non?


Logo vuaztn - Eugenol
mac

28/02/2014 à 14h00

jeamba écrivait:
----------------
> Je n'ai pas personnellement des cas à montrer mais reculer une dent avec tout
> son parodonte n'est un secret pour personne et c'est le même principe que la
> traction orthodontique rapide ou lente en fonction si on veut tracter la racine
> seule ou avec son attache.
> Moi je fais de l'otho en omnipratique et reculer des dents suite à des
> extractions j'en fait sans aucune difficulté et il n'y a pas besoin de
> connaissances spéciales ou un ortho "sur spécialisé" pour faire çà.
> Je ne suis pas du tout sûr que si tu proposes à ton patient à choisir entre ce
> traitement lourd, long, à résultat incertain et mettre quelques brackets sans
> aucune chirurgie, qu'il hésite. Je ne critique pas cette démarche mais mon avis
> personnel je trouve que c'est démesuré comme traitement. Je pense que tu dois
> attendre quelques mois la maturité de ta greffe et ensuite ou faire une greffe
> osseuse ou une ROG et encore une nouvelle attente et ainsi de suite non?

moi je me méfie des traitements classiques qui ne sont un secret pour personne mais dont personne n'a un cas à montrer.

j'ai proposé à la patiente 2 solutions, bridge ou implant, elle a choisi en toute connaissance de cause.

--
mac


Img 0812 mvp6i0 - Eugenol
jeamba

28/02/2014 à 17h47

Parfait Monsieur. Vous nous montrerez la suite.


Logo vuaztn - Eugenol
mac

13/03/2014 à 21h45

Bon ben voilà j'ai réalisé une ROG avec une membrane PTFE armé titane.

bien sûr les photos sont dans le désordre encore une fois ;)

--
mac

http://focusimplant-unitaire-posterieur.com/

http://focusimplant-unitaire-posterieur.com/FLB-Formation-Plaquette.pdf

11 cjyq8w - Eugenol
5 kakrgc - Eugenol
6 sgzxzm - Eugenol
8 u7bmtk - Eugenol
3 wnaqxe - Eugenol
2 op080r - Eugenol
1 wokk7x - Eugenol
4 fznadp - Eugenol
12 fgeclf - Eugenol
7 jofwcu - Eugenol
10 hkqvhy - Eugenol
9 dfn4iu - Eugenol

billabong

13/03/2014 à 22h32

Ce post ressemble bcp à GI dans son état d'esprit.


Logo vuaztn - Eugenol
mac

14/03/2014 à 08h07

billabong écrivait:
-------------------
> Ce post ressemble bcp à GI dans son état d'esprit.


peux tu préciser, je ne suis pas sûr de bien comprendre?


Logo vuaztn - Eugenol
mac

26/09/2014 à 19h22

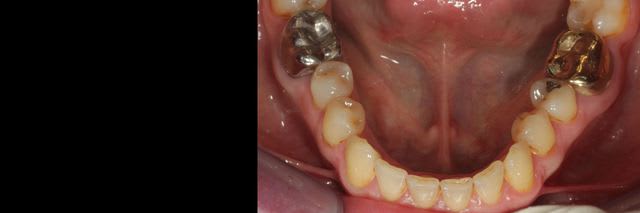
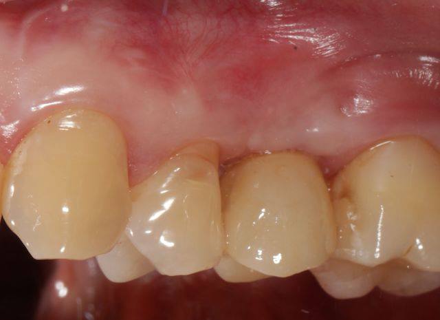
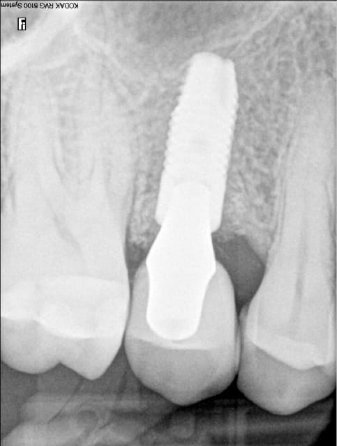
Et finalement: la dent, l'implant est pas parfaitement posé mais le résultat global est satisfaisant.

10421542 10152732044498909 3450579943795459665 n bi4j20 - Eugenol
Theend rmsox3 - Eugenol

12