Cookie Consent byPrivacyPolicies.comEndodontiste exclusif salarié? - Eugenol

Endodontiste exclusif salarié?

youn

26/02/2014 à 12h38

Bonjour ,

Certains ici me connaissent, d'autres pas. En tout cas j'aime beaucoup l'endo, je m'y applique et envisage de faire une spé en Angleterre (encore faut-il être accepté). Je compte aller y travailler d'ici Mai. J'aimerais en parallèle faire de l'endo dans un cabinet (de groupe idéalement) les Vendredis, Samedi et Dimanche tout en étant salarié du cabinet.
Pensez-vous que ça puisse intéresser un cabinet de déléguer cette tâche, et si oui quelle salaire demander, envisager?

Pour le moment je me juge bon, mais sans avoir le niveau d'un exclusif (loin de là), mais à raison de 5 à 8 endos par jour (journée de 11h) je pense pouvoir faire de bonnes endos (avec l'équipement adéquat (1 reciproc par endo plus des pathfile gates largo etc...).

Est-ce que je rêve un peu trop?

--
www.dentaltradegroup.com


charles976

26/02/2014 à 13h36


salut l'ami!

travailles tu sous MO? si oui ton cabinet de salariat sera t il equipé?
tu ne pourras pas te balader avec dans ta sacoche.
Tes endos sont sans nul doute de très grande qualité mais n'est il pas quasi indispensable de travailler avec une aide optique pour te permettre de te faire amener des patients en cabinet? ( retrait d'insrtu fracturé, RTE compliqué , 4e canaux etc....)
après je connais une endo exclusif qui a bossé sans pendant des dizaines d'années.

--
charles976


youn

26/02/2014 à 14h03

Pas pour le moment, j'envisage d'apprendre sérieusement.Je bosse avec des loupes chinoises qui font bien le boulot (x2.5 et x 3.5).

Je ne veux pas du travail d'un exclusif Français, retrait d'instruments à gogo etc...Je voudrais faire toutes les endos d'un cabinet de groupe en tant que salarié, mais j'avoue que je ne sais pas si ça peut intéresser un cabinet (dont les praticiens n'aiment pas l'endo) et à quel prix, sachant que je peux travailler seul et le week-end (Vendredi Samedi Dimanche) donc pas trop de perte de temps de fauteuil, et pas forcément d'assistantes, tant qu'il y a assez de matos pour tenir le week-end, je ne tiens pas forcément à faire la sté.

Je ne sais pas ce que ça peut valoir et surtout si l'intérêt existerait, donc s'il y a des avis, je suis preneur.

Le microscope je pense que ça serait trop lourd pour un cabinet qui n'en a pas forcément l'utilité en dehors de ça.

--
www.dentaltradegroup.com


doagui

26/02/2014 à 14h51

Bien sur que c'est possible, c'est pas le plus fréquent mais ça existe. Le souci c'est que les autres praticien risquent de vouloir te refiler aussi les soins et non seulement les endos, à toi de voir si ça te convient...

Concernant le contrat tout est possible, j'ai une connaissance qui avait 100% du chiffre dans sa poche parce qu'il ne faisait que des soins et exclusivement des soins, une autre connaissance avait un salaire fixe à 5000 euros par mois pour un temps plein.

Il faut garder en tete que du coup les autres praticiens ne font plus que des actes rentables pour eux, tu leur fais gagner un temps fou et tu fais exploser leur rentabilité ! Ca doit etre payé un tel confort de travail, dis toi bien que grace à toi il vont soit pouvoir prendre nettement plus de patients soit conserver le meme revenu en réduisant leur temps de présence au boulot...


youn

26/02/2014 à 15h23

Je suis plus intéressé par les 5000€/mois que les 100% sauf si les 100% sont en salaire net.

Mais Ok je vais m'atteler à cette recherche.

Merci doagui, c'est ce que je me disais mais je me demandais si en pratique certains cab accepteraient de le faire? Je me dis qu'il y en a que ça barbe tellement l'endo que ça doit bien les intéresser...

Et moi ça fera bien sur mon dossier pour rentrer en spé un jour.

Edit : Et merci à charles aussi!

--
www.dentaltradegroup.com


youn

26/02/2014 à 16h18

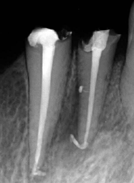
Endo de ce matin :

--
www.dentaltradegroup.com

Endo 3  2  c nes txljrd - Eugenol
Endo 3  3  fin a4y8gs - Eugenol

cy2

26/02/2014 à 16h36

quelle région?


youn

26/02/2014 à 17h10

Et bien vu que j'habiterais à Londres en Mai, pas trop loin en train (donc ou ile de france, ou lille ou etc... pas trop trop loin de l'eurostar quoi.)
C'est aussi pour ça que je vise le week-end (je ferais Vendredi Samedi Dimanche en France et le reste du temps à Londres. Vu que les débuts sont difficiles là bas et que être pris dans une spé pour l'endo aussi, ça me fera allier les deux. Donc ça c'est dans l'idéal.
Je remets celles que j'ai faites hier on sait jamais si quelqu'un est intéressé (mais je venais sur ce post surtout pour avis dans la démarche.

Je pense me faire un "book" en plus (où je mettrais tout, réussi comme raté.)

Toutes mes endos d'hier (elles sont dans un autre sujet aussi)

--
www.dentaltradegroup.com

Endo 1  1   preop f9tl26 - Eugenol
Endo 1  2  fin oyre3e - Eugenol
Endo 2 g96boc - Eugenol
Endo 8 l0w3t1 - Eugenol

youn

26/02/2014 à 22h26

Fini ce soir...tard.

Bon les autres (demain et ensuite) je me les garderais. Mais si quelqu'un a un avis sur la question je prends, surtout sur la façon de démarcher? Juste ABCdents?

Edit 27/02/14 : J'en mets d'autres sans up. Si quelqu'un passe et que ça l'intéresse

--
www.dentaltradegroup.com

Endo 4  1  lime cass e preop ewbdub - Eugenol
Endo 4  2  lime cass e lime pass e apsetj - Eugenol
Endo 4  3  lime cass e racine obtur e xfgnty - Eugenol
Endo 4  4  ime cass e fin nbax19 - Eugenol
Endo 5 flyu2z - Eugenol
Endo 6 exvsl8 - Eugenol
Endo 9  1  preop gepaja - Eugenol
Endo 9  2  fin fsapdn - Eugenol
Endo 10  1  preop lwflbk - Eugenol
Endo 10  2  fin xxakkc - Eugenol

John gp55mb - Eugenol
Faivre-rampant

26/02/2014 à 22h51

Tu utilise quoi comme matériels actuellement ?


Sarté

26/02/2014 à 23h30

Je pense ça largement viable. Si je n'aimais pas l'endo, je te proposerais de venir faire les miennes. Pas de rétrocession et fourniture du matos par le cab, c'est honnête. Le titulaire il se retrouve en mode taille crayon, rentable...


Capture d  cran 2015 03 12 12.28 - Eugenol
chicot29

26/02/2014 à 23h44

Euh, toutes les dents ne sont pas à dévitaliser. ca m'arrive meme de passer une journée de temps en temps sans endo. Donc le coup du "cadeau la rétrocession" moyen, a moins qu'il ne fasse la pedo et les soins aussi. Tu regroupes la prothèse 1 ou 2 journées par semaine et le reste du temps tu vas jouer au golf.))))))


youn

26/02/2014 à 23h55

chicot29 écrivait:
------------------
> Euh, toutes les dents ne sont pas à dévitaliser. ca m'arrive meme de passer une
> journée de temps en temps sans endo. Donc le coup du "cadeau la rétrocession"
> moyen, a moins qu'il ne fasse la pedo et les soins aussi. Tu regroupes la
> prothèse 1 ou 2 journées par semaine et le reste du temps tu vas jouer au
> golf.))))))

Ben je me disais justement que pour un cabinet de groupe : 3-4 praticiens, justement le volume serait suffisant pour 3 jours d'endos, et mon salaire plus que supportable...
--
www.dentaltradegroup.com


youn

27/02/2014 à 00h04

Faivre-rampant écrivait:
------------------------
> Tu utilise quoi comme matériels actuellement ?

Alors : Gates de plusieurs tailles + largo pour l'ouverture.

Reciproc + pathfiles pour l'alésage.

Mac spadden + cône calibré (sauf dans la racine où j'avais la lime pétée, j'ai mis un cône pas conique (0.20 et 0% + un cône cqlibré en cône secondaire) et j'ai alésé à la main, la dent faisait 28mm... J'ai mis 2h20 quand même)

Localisateur d'apex + radio cône en place systématique.

Hypo + EDTA bien sûr (en abondance)

Rien de trop farfelu.

Pour sortir les limes cassées j'ai un insert satelec endo, mais là elle était trop loin et dans la courbure (j'ai oublié la pré-op je la met demain).

En tous cas merci à tous, vous me rassurez, il doit y avoir moyen de trouver.

--
www.dentaltradegroup.com


Capture d  cran 2013 02 02   21.02 - Eugenol
gouj-euros

27/02/2014 à 00h12

quel matériel? .....pas d'angulateur en tt cas


youn

27/02/2014 à 00h18

gouj-euros écrivait:
--------------------
> quel matériel? .....pas d'angulateur en tt cas

effectivement. Ca me saoule d'enlever le cadre pour les radios, là je décroche 3 ou 4 "piques" et j'appui sur le capteur. Je trouve ça plus rapide et plus propre.
--
www.dentaltradegroup.com


Thom75

27/02/2014 à 17h58

Tu obtures à quoi pour avoir autant de puffs? Par contre ça a l’air efficace sur les canaux accessoires.


youn

27/02/2014 à 18h21

Zizine Zial pour le ciment. pas de desmodontites (très très rares). Les canaux accessoires c'est l'EDTA qu'il faut remercier, et au Mac Spadden je reste un bon moment (5-6 secondes) à 3 mm de l'apex à 30000 tours, et parfois en plus je condense verticalement jusqu'à 4-5 mm de l'apex et je remets un coup de Mac Spadden.

--
www.dentaltradegroup.com


youn

27/02/2014 à 20h41

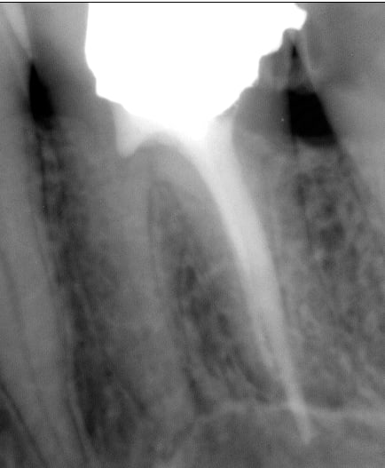
Celle de ce soir :

Par contre j'ai souvent des douleurs importantes lors de l'alésage sur les dents de ce type : longues à racines fines. Je ne comprends pas malgré l'intrapulpaire, les patients ont parfois super mal. SI quelqu'un sait ce qui peut être en cause?

--
www.dentaltradegroup.com

Endo 11  1  preop iisxij - Eugenol
Endo 11  2  fin r8k5a2 - Eugenol

alex33

27/02/2014 à 20h59

youn écrivait:
--------------
> Celle de ce soir :
>
> Par contre si j'ai souvent des douleurs importantes lors de l'alésage sur les
> dents de ce type : longues à racines fines. Je ne comprends pas malgré
> l'intrapulpaire, les patients ont parfois super mal. SI quelqu'un sait ce qui
> peut être en cause?
>
> --
> www.dentaltradegroup.com

Belle endo Youn! Qu'en est il des commandes de ton site? On approche des minima?







youn

27/02/2014 à 21h27

alex33 écrivait:
----------------

>
> Belle endo Youn! Qu'en est il des commandes de ton site? On approche des minima?

Non on n'y est pas...Donc on va voir avec les usines si elles veulent quand même livrer... On a une vingtaine de commandes, sur une centaine d'inscrits... On s'attendait à mieux. Les gens dans notre profession sont un peu frileux, et je peux comprendre. On verra ce que les usines nous répondent, et j'espère qu'on aura une vague de commandes d'ici samedi minuit. De toute façon moi ça ne me change pas ma vie, je continue mon boulot, je faisais ça pour aider. Mais ça craint un peu vu le travail qu'on a mis dedans. Enfin bref, on verra bien ce qui se passe. Soit les usines acceptent cette première commande "échantillons" et on livre, soit non et on rembourse tout le monde.

En tous les cas merci de ton soutien!

--
www.dentaltradegroup.com


dentatronche

28/02/2014 à 02h24

belles endo, tu n'as rien à envier à un exclusif. D'ailleurs si tu te consacres 11 h par jour à l'endo dimanche compris... tu es un super exclusif :)


youn

28/02/2014 à 11h59

dentatronche écrivait:
----------------------
> belles endo, tu n'as rien à envier à un exclusif. D'ailleurs si tu te consacres
> 11 h par jour à l'endo dimanche compris... tu es un super exclusif :)

Merci! C'est gentil, mais non, je suis loin de leur niveau, tu n'imagines même pas les brutes que c'est. Ils gèrent les instruments cassés les endos à rétro (etc...) comme personne. J'ai une énorme marge de progression, là c'est des cas simples, endos ou retraitement, avec un peu d'application tout le monde fait pareil.

Je me dis que l'apport de la 3D (cône beam) doit être bien sympa quand même pour les architectures étranges. Le microscope ça doit être sympa aussi!

Enfin bref, merci.

--
www.dentaltradegroup.com


pontdemail

28/02/2014 à 12h35

Quelle est la concentration de ton EDTA et comment l'utilises tu et en quelle quantité? J'utilise du 8% environ 4cc par canal + endoactivator et j'ai rarement des canaux secondaires comme toi... c'est peut être aussi l'utilisation du mac spadden je ne reste que quelques secondes (2, 3 secondes).Tu utilises comment ton ciment? Sur le cône ou lentulé dans le canal avant obturation?


youn

28/02/2014 à 13h17

Une toute petite quantité sur le cône de gutta (sur le tiers apical) et il est plutôt dense quand je le prépare (pas super liquide quoi).

L'EDTA c'est du glyde.
Je gratte bien au reciproc (toutes les paroies), je vérifie que j'ai un bon tug-back, et je prends un Mac Spadden plutôt gros (noir souvent) sur lequel je mets un stop (pour aller à 3-4mm de l'apex). Je ne coupe que très raremen le cône à l'entrée du canal, je me mets à 30000 tours, j'attends que mon Mac spadden soit "aspiré" puis remonte tout seul un peu (donc la gutta est bien envoyée vers le bas) et seulement là je descends à jusqu'à mon stop et je reste 3-4 secondes puis je remonte lentement.

C'est la technique qui pour moi donne les meilleurs résultats (j'ai cherché un moment).

Jamais de lentulo pour moi, c'est de la triche.

Je passe aussi en gros 2-3 seringues d'hypo par canal de 5mL à 5%.
--
www.dentaltradegroup.com


12