Cookie Consent byPrivacyPolicies.comje suis passé au Miris - Eugenol

je suis passé au Miris

alex22

28/02/2014 à 18h20

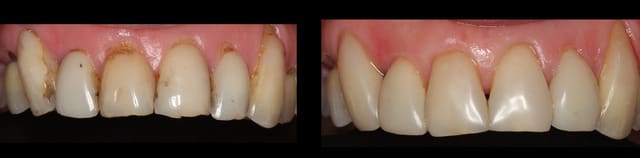
Avant j'étais enamel plus HRi, maintenant je suis passé au Miris : super compo mais plus technique je trouve en stratification, je me retrouve souvent avec trop de translucidité.
Je préfère sa texture, son polissage est Top
Pour l'instant j'ai S2 S3 et WR NR, je couvre presque toutes les indications en antérieur

j'ai fait 6 facettes en direct, c'est chaud à faire au fauteuil (2 heures plus 30 min de polissage)mais la patiente est contente malgré quelques lignes de transition un peu foirées!!

Compo3 nyuroa - Eugenol

Images jm2g2g - Eugenol
dr_0le

28/02/2014 à 18h24

c'est joli. tu fais ça sous digue?
avec quoi applique tu ton compo?


.. mais irréalisable en France malheureusement sauf une fois par mois pour se faire plaisir..

toujours le même problème de cotation et de coût horaire de cab =)


alex22

28/02/2014 à 19h33

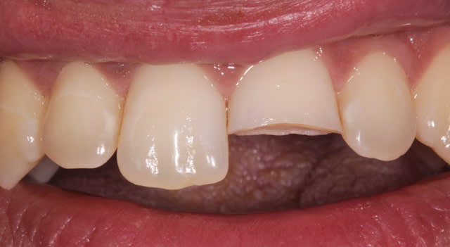
je suis juxta à cause des récessions, j'ai mis des cordonnets
spatule classique en métal, le Miris ne s'affale pas comme une bouse donc on peut facilement le sculpter même avec une spatule lambda (contrairement à l'enamel)

J'ai facturé 800 euros (au lieu de 4400 avec les facettes)
je pense que c'est honnête
je bosse en france (profonde même)


Marque a3 orange fyvhyq - Eugenol
Marc Apap

28/02/2014 à 19h39

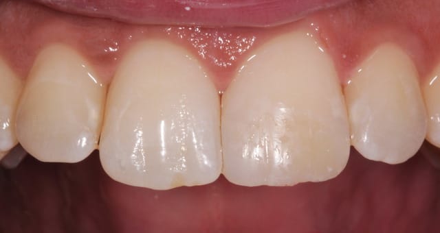
Il faut mettre moins de teinte émail que l'épaisseur réelle de l'émail dentaire. Sinon, on a un aspect trop gris translucide. Le Miris est un peu dur à étaler sans faire de bulles, mais il est très facile d'avoir un excellent rendu esthétique avec lui.


alex22

28/02/2014 à 19h43

remarque très juste!!!!
on le voit sur les cas suivants
il faut que je corrige

Compo jd1xqg - Eugenol
Compo2 jjp3on - Eugenol

Egy194 ietbqd - Eugenol
tristanavi

28/02/2014 à 20h40

voici un cas mixte;dentine Miris et HRi pour l 'émail (plus opalescent) .nb ;la 11 est un peu deshydratée et la 21 sera polie dans une seconde séance.Cela dit j'utilise de + en + le genial antérieur de GC qui est top.

Img 1917 vlfheo - Eugenol
Img 1920 iyjtun - Eugenol

Android jyzura - Eugenol
Tavéca

28/02/2014 à 21h27

Joli les gars!


G-P

28/02/2014 à 23h23

Des photos du résultat à 1 an et plus ?


Bebe 038 nf8eum - Eugenol
danteyeah

28/02/2014 à 23h29

alex22 écrivait:
----------------
> remarque très juste!!!!
> on le voit sur les cas suivants
> il faut que je corrige

Si je peux me permettre une remarque Alex, je dirais que le problème est plus lié à l.état de surface de ton composite ultra polie (en fait trop lisse), qui ne permet pas à la lumière d'interagir comme pour la dent naturelle adjacente.
Passe une fraise flame rouge dans les zones plus creuse, ne polie pas avec une pointe ou une cupule après, mais avec des brossettes poils de chèvre et les pâtes diamantées du kit Shinny par exemple, et ton compo deviendra plus lumineux et naturel.

Autre question: Était-ce le choix du patient (1er cas) de conserver une anatomie et un alignement chaotique, pourquoi ne pas être passé par un wax-up/mock-up pour lui proposer un alignement plus harmonieux, quitté à dépenser 100 ou 200€ de prothésiste en plus?


Bebe 038 nf8eum - Eugenol
danteyeah

28/02/2014 à 23h33

G-P écrivait:
-------------
> Des photos du résultat à 1 an et plus ?

J'en ai déjà posté quelques unes sur le Nonol avec du Gaenial, ou Enhamel HFO, et franchement ça vieilli pas trop mal, au pire un coup de polissage/brillantage et c'est repartit comme au premier jour.
Le vrai souci c'est plutôt la solidité du composite dans des cas de para fonction, là c'est plus chaud à gérer.


alex22

01/03/2014 à 01h05

J'ai un guide antérieur pourri en bout à bout : je ne me fais pas trop d'illusion sur l'avenir de cette reconstitution qui va se fissurer comme la précédente sans doute.
C'est un vrai cas de parafonction, je préfère qu'elle éclate mes compos plutôt que les facettes en céram...
Merci pour le shinny car j'avais vu cela dans un article mais oublié le nom.
Je lui ai offert une phillips sonic et entre deux scéances elle a complètement défoncé l'aspect brillant obtenu avec le polissage mécanique
Par contre elle adore cette brosse!!!