Cookie Consent byPrivacyPolicies.comPlan de traitement global - Eugenol

Plan de traitement global

nino 85

04/03/2014 à 21h33

Bonsoir à tous, en ces périodes de discussion syndicale assez fatigante à la longue,
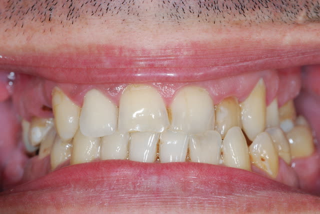
je voudrais votre avis pour un nouveau patient, mutuelle très correcte... Il est vraiment motivé, voulant du globale, et pas d'amovible car jeune, oui je précise d'emblée car il y'a du boulot! Pas d'ortho envisageable je pense. Gros fumeur voulant arrêter, sinon ras a/n santé.
Prévu dans l'ordre:
- détartrage, reprise des soins "classiques", compos ect...

-extraction de 27, 14, 46 avec curetage des kystes qui vont avec. Résection apicale sur 12, si je ne peux enlever la richmond et obturation à rétro;
Pour le 46, je pencherai pour un améloblastome??? Donc direction stomato.

Comme vous pouvez voir gros gros soucis d'occlusion, avec aucun problème cependant aux ATMs... Je prévois du faire des PAP provisoires en surélevant la DVO pour pouvoir placer des dents. Mon problème est que je serai en inocclusion devant.. Comment garder des contacts selon vous en antérieur? Des simples compos tiendront ils? je ne pense pas que les facettes soient une solution.
Idem pour l'articulé croisé à gauche, qu'en pensez vous? Je pensais le garder, car à part avec l'ortho je ne vois pas comment y remédier.
Dans le détail:
- bridge 12-13-14-15-16pour retrouver les courbes
- couronne 26
- bridge 45-47 ou implant 46 ( à priori non vu le tabac)
- implants en 46 47
Bien sur le tout avec des bridges provisoires pendant quelques mois pour tester les courbes.
Merci d'avance pour vos conseils!

Face droite at7uan - Eugenol
Face sourire 2 jev95x - Eugenol
Oim ant rieure oykvtx - Eugenol
Vue palatine cjpqz6 - Eugenol
Face gaucge marhif - Eugenol
Face lat rale droite qjdyfm - Eugenol
Pano euz3r7 - Eugenol
Face sourire ndbd9f - Eugenol

levm

04/03/2014 à 22h46

Le tabac n'est pas une contre-indication à l implantologie


alex33

04/03/2014 à 22h53

levm écrivait:
--------------
> Le tabac n'est pas une contre-indication à l implantologie

Oui je sais, j'aurais du preciser mais 1,5 a 2 paquets/ jour c'est une contre indication relative mais niet pour moi.


colza2

04/03/2014 à 22h54

c'est pas bridge 35-37 ou implant 36 , plutôt
sinon côté droit y'aura trop de prothèse en même temps :-))


alex33

04/03/2014 à 23h03

colza2 écrivait:
----------------
> c'est pas bridge 35-37 ou implant 36 , plutôt
> sinon côté droit y'aura trop de prothèse en même temps :-))

oui bien vu!:)


Eraser

04/03/2014 à 23h44

Pourquoi prendre la 12 dans le bridge? je la prendrai pas en ce qui me concerne, je la recouronne a part si je retraite car le pronostic a long terme est pas super ou alors tu attends 2 ans apres ta resection?. Et puis je pense pas que ça ajoute quoi que ce soit a la solidité, la canine suffit.


1309531 ours brun n5iukf - Eugenol
seespan

05/03/2014 à 02h11

Un petit traitement ODF même a minima améliorer bien la donne.

Pas besoin de faire un traitement global mais voir pour corriger le crosse bite antérieur ça simplifirer déjà bien l'esthétique.
Idem en postérieur pour le cross bite

--
หมอจัดฟัน


youn

05/03/2014 à 02h34

Pour moi ce serait ODF direct. Trop chaud à gérer sans (certains ici auraient surement géré, mais ce qui satisfera le plus le patient c'est l'ODF d'après moi surtout pour l'inversé d'occlusion.)

C'est qui l'auteur du sujet? Alex ou nino?

Pour le bridge sect 1 je séparerais au max sauf si mobilité : bridge 13-14-15 couronne 16 pour la courbe. En bas implant 46 47.

--
www.dentaltradegroup.com


nino 85

05/03/2014 à 08h44

youn écrivait:
--------------
> Pour moi ce serait ODF direct. Trop chaud à gérer sans (certains ici auraient
> surement géré, mais ce qui satisfera le plus le patient c'est l'ODF d'après moi
> surtout pour l'inversé d'occlusion.)
>
> C'est qui l'auteur du sujet? Alex ou nino?



Pour l'odF je suis tout à fait d'accord avec vous, mais à priori le patient n'est pas chaud. Je vais qd même lui en reparler...
Et pour l'amloblastome vous etes d'accord?


Bebe 038 nf8eum - Eugenol
danteyeah

05/03/2014 à 08h52

ODF +1: ça permettra au patient d'avoir le temps de se sevrer puisque tu le dit motivé. Puis réhabilitation postérieur implantaire.
Il n'y a pas de perte de DV. Il y a une égression importante de la 16 (moindre pour 15-14) avec un risque paro important en distal de la 16, donc esthétiquement le problème n'est pas blanc (tu fais une proposition de bridge 17 à 12, pour rétablir une courbe....), mais rose ( il faut ingresser 16- 15, implanter 14)
L'occlusion est potentiellement délétère actuellement, si tu choisis une réhabilitation esthétique sans harmoniser au préalable les axes de tes dents supports tu va accentuer le risque paro et fragiliser tes supports prothétiques .


nino 85

05/03/2014 à 09h17

danteyeah écrivait:
-------------------
> ODF +1: ça permettra au patient d'avoir le temps de se sevrer puisque tu le dit
> motivé. Puis réhabilitation postérieur implantaire.
> Il n'y a pas de perte de DV. Il y a une égression importante de la 16 (moindre
> pour 15-14) avec un risque paro important en distal de la 16, donc
> esthétiquement le problème n'est pas blanc (tu fais une proposition de bridge 17
> à 12, pour rétablir une courbe....), mais rose ( il faut ingresser 16- 15,
> implanter 14)
> L'occlusion est potentiellement délétère actuellement, si tu choisis une
> réhabilitation esthétique sans harmoniser au préalable les axes de tes dents
> supports tu va accentuer le risque paro et fragiliser tes supports prothétiques
> .

Petite question à seespan ou à un ortho de passage, combien de temps pour retrouver une occlusion ad hoc des secteurs 2 -4, et pour ingresser 16, 14 et 15.
Je suis encore une fois d'accord avec vous, il faudrait de l'ortho, mais la je pense qu'il va falloir s'en passer.


Humator t9r5wy - Eugenol
humator

05/03/2014 à 10h17

quelques réflexions:
1 c'est le bordel total, et quand c'est le bordel total, il vaut mieux éviter les compromis, donc sans odf préprothétique,..........danger.
2 tu parles de surélever la dvo pour mettre des dents en postérieur, mais tu dis qu'il n'a pas de pathologies articulaires. Donc, je ne suis pas sur qu'augmenter la dvo soit une bonne idée: le problème, c'est l'egression des dents sans antagonistes qui fait que tu n'as pas de place. Solution? encore une fois la piste odf se précise, sinon, élongation coronaire...
3 ton patient est, tu dis, motivé. Attention sur ce genre de personne, à la santé à la dérive: jeune, dents en vrac, tabagisme déraisonné. Il se dit motivé, mais refuse l'odf. C'est à toi de bien lui faire comprendre que sa bouche est le résultât de 20 ans de décadence, et que reformater tout ça, et bien c'est du gros œuvre: pour l'odf, donne lui une image: on ne construit pas solide sans fondations, et bien l'odf, c'est cette fondation.
Soit il est cortiqué, et il comprendra/acceptera. Dans le cas contraire, en cas de compromis, il ne comprendrait pas si par malheur ça foire, et te ferait bien chier!

--
N.Hum


Avatar eklrxs - Eugenol
TheDentalist

05/03/2014 à 13h39

Hum a raison : s'engager dans une réhabilitation dans un contexte occlusal pareil est trop risqué! Or le patient est jeune et tout le monde souhaite un résultat à long terme.
On est absolument pas sûr que son OIM ne soit pas une position mandibulaire adaptative (pour éviter une interférence au niveau de la 48 (47?) et de la 16 par exemple). Il faudrait, je pense, le déprogrammer (orthèse, Jig...) et monter ses modèles en RC. Et on peut avoir des surprises...A mon avis, c'est ingérable sans ODF.

Ensuite, il y a l'aspect coopération/motivation du patient : un type d'une trentaine d'année avec un état dentaire comme ça me fait penser qu'il y a des facteurs de risque à maitriser avant de se lancer à coter des actes : risque carieux? hygiène? tabac? respect des RDV?...
Plus il y a de facteurs de risque en présence, moins ton pronostic sera bon. Il sera encore pire si tu fais des compromis thérapeutiques.

Fais super gaffe : tu marches sur des oeufs...


--
www.thedentalist.fr


1309531 ours brun n5iukf - Eugenol
seespan

05/03/2014 à 14h44

nino 85 écrivait:
-----------------

> Petite question à seespan ou à un ortho de passage, combien de temps pour
> retrouver une occlusion ad hoc des secteurs 2 -4, et pour ingresser 16, 14 et
> 15.

Je pense que c'est jouable en un ans, mais j'en annoncerait deux au patient car :

- ça te permet de tester ça détermination
- ça varie suivant les patients ( tant a des chez qui ça bouge vite et d'autre ou ça bouge moins vite)
- Il faut voir exactement quel type de mouvement est nécessaire.


> Je suis encore une fois d'accord avec vous, il faudrait de l'ortho, mais la je
> pense qu'il va falloir s'en passer.

Si c'est qu'un problème esthétique vois pour un combo minivisse pour l'ingression et un traitement type invisalign. Ou tout autre solution esthétique.

Si le patient est vraiment décider a avoir quelque chose d'esthétique et qui tienne dans le temps pas vraiment de moyen d'y couper.


--
หมอจัดฟัน


Gregory H

05/03/2014 à 16h21

Commence par le commencement: devis, acompte.


alex33

05/03/2014 à 16h40

Gregory H écrivait:
-------------------
> Commence par le commencement: devis, acompte.
je suis d'accord, mais pour faire un devis, il faut savoir quoi mettre dedans:)


Gregory H

05/03/2014 à 16h43

Y a un moyen rapide de le savoir: tu fais un devis pour les empreintes et l'étude de cas clinique.
Ca évite de perdre du temps. ;-)


1980 husqvarna 390 automatic 2 kl7m5v - Eugenol
Cyanolit

05/03/2014 à 16h50

Désolé, je vois mal la radio sur mon téléphone, mais si tu envisages un améloblastome en 46, avant de faire le moindre devis je patienterai jusqu'à l'anapath.

Car du coups, la solution implantaire secteur 4 serait compromise.


1309531 ours brun n5iukf - Eugenol
seespan

05/03/2014 à 16h52

Gregory H écrivait:
-------------------
> Y a un moyen rapide de le savoir: tu fais un devis pour les empreintes et
> l'étude de cas clinique.
> Ca évite de perdre du temps. ;-)

Sur un cas comme ça c'est parfaitement justifier.

Ca permet aussi de vérifier la motivation du patient.

C'est la notion de quotient dentaire (j'invente pas c'est un terme anglais).

En gros plus la bouche est dégueulasse, plus les soins a faire son important et plus tu a besoins que le patient soit motivé pour mener le plan de traitement au bout (hygiène, finance, désagrément). Le problème c'est que généralement plus c'est moche au départ plus le quotient dentaire du patient est faible

Autant au U.S, un patient peut arriver dans cet état par faute de moyen, mais en France ça n'est que rarement le cas.
Donc vérifier qu'il est vraiment motivé, le devis pour l'étude de cas (HN je suppose) c'est une bonne première étape.
--
หมอจัดฟัน


Gregory H

05/03/2014 à 16h58

seespan écrivait:
-----------------

> En gros plus la bouche est dégueulasse, plus les soins a faire son important et
> plus tu a besoins que le patient soit motivé pour mener le plan de traitement au
> bout (hygiène, finance, désagrément).


C'est bien pour cela qu'il faut lui mentir sur l'importance des soins, et le "fidéliser".

Surtout ne faire aucun devis au début.

Attendre que le patient "prenne confiance".

Puis faire une dent à la fois, tous les 6 mois, pendant 20 ans.


C'est bien expliqué ici:
http://www.eugenol.com/sujets/404561-petite-histoire-vraie-de-voiture


Capture d  cran 2015 03 12 12.28 - Eugenol
chicot29

05/03/2014 à 21h28

T'exagères je dirais 2 par 2 pendant 10 ans.-)) Pour l'ODF ca va tomber à l'eau il a plus de 16 ans.-))
Arrêtez un peu avec vos plans de tt de science fiction, on est en France , un % de chances de score d'écolo à la présidentielle d'aller au bout d'un traitement global (avant meme de l'avoir commencé il va s'arreter au stade du devis éclairé ou pas), par contre 2 par 2 en fidélisant.......
Merde, c'est qui qui a éteint la lumière ?-))