Cookie Consent byPrivacyPolicies.comEt si c'était votre mère ?? !!! ou même vous ! - Eugenol

Et si c'était votre mère ?? !!! ou même vous !

dent2669

05/03/2014 à 11h29

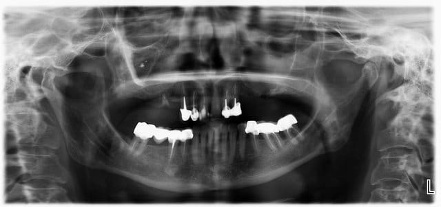
1°)_Bridge antérieur 13/23 avec fraisages et attachements + stellite posterieur

2°)_Extraction + 6 implants + mise en charge immédiate + Branemark

3°)_Bridge anterieur 13/23 + sinus lifts droit et gauche + 3 implants de chaque coté


Patiente 58 ans. En bonne santé (physique et financière). Son souhait : quelque chose qui dure et sur lequel elle ne reviendra pas...

A vos avis !!

C2 v6ulte - Eugenol
C4 t1qmdq - Eugenol
C1 fg7psi - Eugenol
C3 hwfo3j - Eugenol

Pierre-E

05/03/2014 à 12h02

all-on-six.


Aiguille cyboyt - Eugenol
fatboy

05/03/2014 à 12h13

Reprise des trt endo de 13 a 23,+Emax, sinus lift bilaterales, 3 ou 4 implants de chaque cotes.
Plan de traitement assez facile, le plus penible a gerer c'est le provisoire post, le top c'est des mini implants avec des provisoires, sinon un partiel mais c'est galere pendant les cicatrisations ou rien du tout...


youn

05/03/2014 à 12h32

Moi j'aime pas l'apex de la 12... Préviens là quand même que ça peut ne pas durer si longtemps que ça pour cette dent. (idem 22)

--
www.dentaltradegroup.com


dent2669

05/03/2014 à 12h53

youn écrivait:
--------------
> Moi j'aime pas l'apex de la 12... Préviens là quand même que ça peut ne pas
> durer si longtemps que ça pour cette dent. (idem 22)
>
> --
> www.dentaltradegroup.com

Là est tout le problème... quel est l'avenir de ces dents antérieures ??
Est-ce que ça vaut le coup de les garder ? est-ce qu'on a 90% de chance que dans 5 ans la moitié soient à extraire...


Marque a3 orange fyvhyq - Eugenol
Marc Apap

05/03/2014 à 12h57

3 sans hésiter (je ne vois pas grand chose sur la pano, trop petite sur mon écran)
Ca n'interdit pas de refaire des implants en antérieur si c'est un jour nécessaire.
Les gens ne sont pas maso : ils préfèrent en général garder leur dents. Vous verrez, à leur âge...


dent2669

05/03/2014 à 13h16

Je rajoute un paramètre...

Il faut, si on choisi la solution double sinus-lift, faire "vider" le sinus droit avant.

Au scanner, il est complètement obstrué certainement à cause du bout de pâte ou autre que l'on peut apercevoir sur la pano.

C'est juste que lors de la présentation des plans de traitements à la patiente, ça complique encore un peu cette option !!


youn

05/03/2014 à 13h33

Marc Apap écrivait:
-------------------
> 3 sans hésiter (je ne vois pas grand chose sur la pano, trop petite sur mon
> écran)
> Ca n'interdit pas de refaire des implants en antérieur si c'est un jour
> nécessaire.
> Les gens ne sont pas maso : ils préfèrent en général garder leur dents. Vous
> verrez, à leur âge...

Je suis d'accord, mais je dis juste qu'une patiente qui veut "ne pas revenir dessus" vaut mieux la prévenir avant, qu'elle ne te prenne pas pour un tocard. Mais sur le Plan de ttt complètement d'accord : 3.

--
www.dentaltradegroup.com


3f3boxni50k58rq7e9ce9ddqrxgk - Eugenol
dentiste57

05/03/2014 à 14h00

dent2669 écrivait:
------------------
> 1°)_Bridge antérieur 13/23 avec fraisages et attachements + stellite posterieur
>
> 2°)_Extraction + 6 implants + mise en charge immédiate + Branemark
>
> 3°)_Bridge anterieur 13/23 + sinus lifts droit et gauche + 3 implants de chaque
> coté
>
>
> Patiente 58 ans. En bonne santé (physique et financière). Son souhait : quelque
> chose qui dure et sur lequel elle ne reviendra pas...
>
> A vos avis !!

58 ans...les antagonistes en place...8 implants sinon 4 et locators


3f3boxni50k58rq7e9ce9ddqrxgk - Eugenol
dentiste57

05/03/2014 à 14h03

sinon, solution 3 mais pas de concessions sur le nombre de prothèses et sur le plan occusal à revoir. et surtout pose des implants "all on six - ready" comme les TV...

je veux dire par là qu tu dois déjà anticiper sur le futur et l'évolution de son traitement.


Marque a3 orange fyvhyq - Eugenol
Marc Apap

05/03/2014 à 14h04

Putain, je suis content de n'avoir ni carie, ni parodontopathie. Parce qu'avec les fous du bistouri et du foret qui fréquentent ce forum, ça me ferait peur de choisir un dentiste au hasard.


3f3boxni50k58rq7e9ce9ddqrxgk - Eugenol
dentiste57

05/03/2014 à 14h11

j'aime aussi fatal-bistouri...

http://www.dailymotion.com/video/x1c42h_fatal-bistouri-fous-ton-calot_fun


dent2669

05/03/2014 à 15h25

Ah parce que niveau bistouri, une intervention dans le sinus droit par ORL + deux sinus lifts + pose de trois ou 4 implants de chaque coté le tout dispersé sur un an voir plus c'est moins pire que l'extraction et la pose de 6 implants puis bridge en une seule intervention ???


Je ne dis pas que c'est ce qu'il faut faire absolument mais je me mets à la place de la patiente... j'hésite...

Et si j'ai soumis ce cas, c'est que je ne sais pas vraiment de quel coté guider ma patiente. Pour l'instant, je lui ai proposé les 2 solutions, planning et devis à l'appuis sans savoir réellement ce qui serait de mieux et de plus "définitif" pour elle.


dent2669

05/03/2014 à 15h25

Ah parce que niveau bistouri, une intervention dans le sinus droit par ORL + deux sinus lifts + pose de trois ou 4 implants de chaque coté le tout dispersé sur un an voir plus c'est moins pire que l'extraction et la pose de 6 implants puis bridge en une seule intervention ???


Je ne dis pas que c'est ce qu'il faut faire absolument mais je me mets à la place de la patiente... j'hésite...

Et si j'ai soumis ce cas, c'est que je ne sais pas vraiment de quel coté guider ma patiente. Pour l'instant, je lui ai proposé les 2 solutions, planning et devis à l'appuis sans savoir réellement ce qui serait de mieux et de plus "définitif" pour elle.


WeCriGo

05/03/2014 à 15h30

Solution 3 sans hésiter.


F e01w igu3rl - Eugenol
roumette

05/03/2014 à 15h55

3... mais mon avis ne compte pour rien.


Image r6habu - Eugenol
Thomas Crown

05/03/2014 à 16h53

roumette écrivait:
------------------
> 3... mais mon avis ne compte pour rien.

Pourquoi ? C'est toi la patiente?

La question à 15k€, pourquoi elle a perdu ses dents? Ça commence un peu en bas aussi non, la paro sur molaires ?
Occlusion ?


Index vakr2r - Eugenol
pgc

05/03/2014 à 18h05

Solution 3 est bien. Je ne vois pas pourquoi les 6 antérieures solidarisées ne dureraient pas au moins 10 ans si les secteurs postérieurs sont restaurés par des implants. Et si c'est pas 10 ans, ce sera 15.
On peut proposer des solutions durables, ça parait difficile de proposer des solutions "à vie".
Si la dame décide de vivre jusqu'à 100 ans on ne peut pas tout prévoir.


Index vakr2r - Eugenol
pgc

05/03/2014 à 18h07

dent2669 écrivait:
------------------
...
> Et si j'ai soumis ce cas, c'est que je ne sais pas vraiment de quel coté guider
> ma patiente. Pour l'instant, je lui ai proposé les 2 solutions, planning et
> devis à l'appuis sans savoir réellement ce qui serait de mieux et de plus
> "définitif" pour elle.

Propose une solution dans laquelle tu as confiance. Si tu as un gros doute sur la durée des antérieures, il vaut peut-être mieux que tu ne t'engages pas.


Smile beach jgh0a1 - Eugenol
Céramik

05/03/2014 à 18h07

Manque bcp d'info pour proposer un plan global
58 ans et condition dentaire très limite...

Retro du bas : les bridges tiennent car pas d'antagoniste ?
Scan sinus
Photo sourire, occlusion, etc

Bref au moins 10 façons de faire...

--
Céramik


Zombring 57

05/03/2014 à 19h09

Perso j'aurais proposé les 3 mêmes solutions, elles me semblent toutes assez pérennes pour être proposées

La patiente évalue par rapport aux paramètres:
-coût (l'implanto n'est pas encore démocratisée...)
-temps au fauteuil (si elle traîne les pieds à chaque fois ou annule 1 rv sur 2: sol 1

Ne veut pas de machin en bouche sol 2 ou 3

Préfère conserver ses dents antérieurs? "pourquoi on les enlève, j'ai pas mal, etc...)sol 1 ou 2

Les remarques qu'elle peut te faire t'orientent, non?
Entre "ouah, on peut faire repousser de l'os, dingue! " et "oh, je pourrai jamais supporter ça!" , ça donne des indications...

Quel ressenti as-tu eu sur l'explication des solutions?

Par contre, être clair tout de suite sur le "ne plus rien faire d'autre après" La garantie à vie en santé n'existe pas, peux-tu la lui garantir sa santé générale?




carident

05/03/2014 à 23h08

Je pencherais pour la solution 3, ou 1, mais certainement pas pour la 2...

Certaines des dents antérieures me paraissent courtes (la 22 en particulier): serait-il possible de les mesurer avec le logiciel?
Sinon, je ne vois pas pourquoi il ne serait pas possible de les garder avec un traitement canalaire bien réalisé + IC + couronnes solidarisées.


Ylfwcw979cz1jnx9gfqeaxndiuzk - Eugenol
Algi

05/03/2014 à 23h38

Paro pas bonne. Quid des dents du bas et de l'occlusion?

Elle a les moyens, paro, réhabilitation oclusale, coiffes provisoires, rte.

Une ppa en haut en attendant évaluation antérieures et oclusion.

Bref perso je prendrai mon temps, ce qui exclue la mci.

Elle veut du durable, implants sous amovible, 4 a 6 mois de nourrice et mise en charge. À l'ancienne qui a fait ses preuves.

Si c'était ma mère: sinus, et on vise 4 implants de chaque côté en haut avec coiffes unitaires dessus. Ppa en attendant.
Les antérieures on attend et on voit sous provisoire le temps de la nourrice implants posts.
Ensuite si antérieures perdues: extraction implants et complet stabilisé sur implants post.
+ on reprend tout le bas et on chiade l'occlusion.

--
On a toujours le choix mais entre quoi et quoi?
Vas-y boulégue et l'avenir te le dira!


levm

06/03/2014 à 10h00

dent2669 écrivait:
------------------
> 1°)_Bridge antérieur 13/23 avec fraisages et attachements + stellite posterieur
>
> 2°)_Extraction + 6 implants + mise en charge immédiate + Branemark
>
> 3°)_Bridge anterieur 13/23 + sinus lifts droit et gauche + 3 implants de chaque
> coté
>
>
> Patiente 58 ans. En bonne santé (physique et financière). Son souhait : quelque
> chose qui dure et sur lequel elle ne reviendra pas...
>
> A vos avis !!

1 ) ok
3) le Top.

2) je trouve ça violent de lui enlever tout un bloc maxillaire qui ne présente qu'une perte osseuse modérée et sans infection.

Je pense que tu devrais commencer par les sinus en premier lieu .
Ca te laisse le temps de faire les endos et de mettre tout sous provisoire le bloc antérieur avec une PAP provisoire).
tu fais un guide chir a l'aide de ta PAP et tu poses les implants .
On sera a 6 et 9 mois après le début de traitement , ça te laisse le temps de réévaluer.
Puis bridge antérieur + 6 implants postérieurs.
Quoiqu'il advienne sur le bloc antérieur tu pourras les remplacer .
Et mécaniquement , je trouve ça plus stable qu'un traitement avec des extensions .


dent2669

06/03/2014 à 11h54

levm écrivait:
--------------
> dent2669 écrivait:
> ------------------
> > 1°)_Bridge antérieur 13/23 avec fraisages et attachements + stellite
> posterieur
> >
> > 2°)_Extraction + 6 implants + mise en charge immédiate + Branemark
> >
> > 3°)_Bridge anterieur 13/23 + sinus lifts droit et gauche + 3 implants de
> chaque
> > coté
> >
> >
> > Patiente 58 ans. En bonne santé (physique et financière). Son souhait :
> quelque
> > chose qui dure et sur lequel elle ne reviendra pas...
> >
> > A vos avis !!
>
> 1 ) ok
> 3) le Top.
>
> 2) je trouve ça violent de lui enlever tout un bloc maxillaire qui ne présente
> qu'une perte osseuse modérée et sans infection.
>
> Je pense que tu devrais commencer par les sinus en premier lieu .
> Ca te laisse le temps de faire les endos et de mettre tout sous provisoire le
> bloc antérieur avec une PAP provisoire).
> tu fais un guide chir a l'aide de ta PAP et tu poses les implants .
> On sera a 6 et 9 mois après le début de traitement , ça te laisse le temps de
> réévaluer.
> Puis bridge antérieur + 6 implants postérieurs.
> Quoiqu'il advienne sur le bloc antérieur tu pourras les remplacer .
> Et mécaniquement , je trouve ça plus stable qu'un traitement avec des extensions
> .


Plus j'y pense moi aussi plus j'ai envie de la pousser vers cette solution. Je n'aurai finalement même pas dû évoquer le all-on-six... car même si financièrement elle est à l'aise, on a une différence significative de prix entre les 2 solutions... De même qu'en temps de réalisation et en nombre d'intervention !!

Je la revois mercredi prochain, je fais 2 ou 3 photos et vous tiens au courant


12