Cookie Consent byPrivacyPolicies.comimplant tissue level - Eugenol

implant tissue level

Forest iegkoi - Eugenol
jx

09/03/2014 à 16h29

Salut à tous! savez-vous quel système propose des implants 'tissue level" à part straumann trop cher (et implant direct trop bas de gamme)?
Merci


Logo m4n3gc - Eugenol
drmarcus

09/03/2014 à 18h08

jx écrivait:
------------
(et implant direct trop bas de gamme)?

Biohorizon mais tu peux développer pour "trop bas de gamme" implant direct?


--
"La seule chose promise d'avance à l'échec, c'est celle que l'on ne tente pas" Paul Emile VICTOR


RandallF

09/03/2014 à 19h33

Euroteknika...
Mais je ne sais pas ce que ça vaut.


Photo pluton1b h9n4ea - Eugenol
pluton

09/03/2014 à 19h35

pareil que drmarcus...je ne comprends pas ce qui te permet de dire qu'ID est bas de gamme...je pense que tu n'as pas compris pourquoi ils sont moins cher...(moins de commerciaux, vente surtout en ligne par internet, et pas de concours de minijupes lors des congrès...)
y a pas si longtemps, j'avais fait un "test" photo de la finesse de finition de bêtes vis de cicat...celles ID étaient nettement mieux finies que zimmer par ex....

sinon, y a aussi euroteknika avec une connexion "straumann", zimmer avec les swissplus, anthogyr, ACE, megagen, blue sky bio etc....y a du monde, même de toutes petite marques qui font des implants similaires...je pourrais y passer la soirée à te les énumérer...


Photo pluton1b h9n4ea - Eugenol
pluton

09/03/2014 à 22h06

en plus chez ID c'est pas le choix qui manque...fonction de ce que tu poses...cad avec compatibilité de trousse...
si c'est du zimmer ou similaire tu as le screwplus à 130€ht
si c'est du straumann tu as le swichplus totalement compatible avec la trousse straumann et à 115€ht....et, ce qu'aucune marque ne fait, le swichplant qui est à la fois tissue level et bone level...à 145€ht...


Forest iegkoi - Eugenol
jx

10/03/2014 à 00h17

quel recul as tu sur les implants direct?


Photo pluton1b h9n4ea - Eugenol
pluton

10/03/2014 à 00h41

depuis début 2008...

cela dit, les implants développés par Niznick, surtout les gammes Spectra, legacy, replus, reactive, swichplant et très bientôt interactive (qui partagent un "corps commun")...ne sont que des évolutions (au niveau géométrie externe de l'implant et des connexions) des....TSV zimmer

pour l'état de surface, MTX et SBM c'est exactement la même chose seul le nom "commercial" change, de même que les alliages, eux aussi strictement identiques...

le plus fort c'est que Niznick, lorsqu'il a lancé ID (et après avoir vendu Zimmer...) fabriquait encore dans ses usines les TSV pour Zimmer...alors quand tu parles d'implant "bas de gamme" çà me fait vraiment sourire....d'autant que les évolutions ID des implants ont intégrés des concepts d'usinage avec tolérances minimum, le fameux "precision fit" qui est une friction douce des pièces prothétiques dans les implants et qui remplace le "friction fit" des TSV qui n'est qu'un hex de la partie pilier qui est conique et engendre la friction mécanique...

bref, tout le concept implantaire de ces implants repose sur une base scientifique, clinique et ses évolutions qui en découlent, de plus de 30 ans...


Forest iegkoi - Eugenol
jx

10/03/2014 à 01h02

tu as l'air convaincu.. quels sont les défauts alors?


Forest iegkoi - Eugenol
jx

10/03/2014 à 01h07

c'est quand même chié d'oser copier tous les grands systèmes.. rien que ça !
straumann et nobel aussi! ils n'ont pas des brevets ces grands? toutes cette r&d a été volée ? aucune différence? c'est du générique?


Photo pluton1b h9n4ea - Eugenol
pluton

10/03/2014 à 02h39

quels sont les défauts?
pour être franc, à ce jour il manquait une connexion plus conique...mais l'interactive sort bientôt...
et les commandes en grosses quantités permettent moins d'avoir des remises quantitatives/aux autres...c'est la rançon du prix au plus juste tout le temps...

copier les grands systèmes???
heu...Niznick est l'inventeur de l'hex interne (hex "zimmer"), le co-inventeur de l'octogone interne (Straumann et zimmer avec le swissplus), etc...c'est impressionnant le nombre de brevets à son actif...ce mec est un génie de la mécanique...et on peut plutôt dire que ce sont les autres qui l'ont copié...

quand aux autres connexions, il les a améliorées sur ses implants tout en les maintenant compatibles avec les originaux (par ex, les trilobes "Nobel" sont en double trilobes étagés chez ID pour diminuer le risque de fracture du col et c'est du TA6V et non du Ti grade4...)...quand à la connexion de l'interactive, elle est compatible avec celle du Nobel Active mais là aussi améliorée pour éviter d'avoir à faire des radios de vérification du bon positionnement de la pièce prothétique

va lire sur leur site internet...tout y est expliqué...(en anglais...oui, bien souvent...)

toujours pas convaincu?

faut savoir aussi qu'un bon nombre de brevets utilisés...sont tombés dans le domaine public depuis un bon moment...


Olieve

10/03/2014 à 09h27

Je rejoins Pluton sur tout ce qui a été dit au sujet d'ID, c'est pas du tout du low-cost.

Je leur trouve quand même un défaut : le packaging et le porte-implant. C'est le désavantage d'un système où l'implant est fourni avec un pilier définitif déjà monté. Mais ça a d'autres avantages... Je commence à m'y habituer, je posais auparavant du Replace Nobel avant et on ne pouvait faire plus simple de ce côté là.


Pepsi tmi4vp - Eugenol
cartman

10/03/2014 à 11h13

en quoi c'est un problème d'avoir un porte implant? Merci


Olieve

10/03/2014 à 11h34

Tout les systèmes ont un porte-implant. Certains sont mieux conçu que d'autres.

Nobel : tu ouvres l'emballage, seule la connexion de l'implant est accessible (pas de risque de toucher le corps de l'implant) , tu emboites le porte-implant et tu poses. Reste juste à visser un pilier ou une vis de cicatrisation.

Chez ID : c'est plus complexe, le pilier est déjà fixé sur l'implant dans l'emballage. Ce pilier est rehaussé d'une pièce qui sert à venir fixer le porte-implant. Après la pose, il faut dévisser le pilier, recouper cette pièce avec un disque, et enfin revisser le pilier ou une vis de cicatrisation.


Pepsi tmi4vp - Eugenol
cartman

10/03/2014 à 11h59

merci.


Logo m4n3gc - Eugenol
drmarcus

10/03/2014 à 12h19

pluton écrivait:
----------------
> quels sont les défauts?
> pour être franc, à ce jour il manquait une connexion plus conique...mais

Merci à Pluton de m'avoir fait tester ces systèmes. Je ne vois pas le coté low cost (hormis l'économie de santé que cela a procuré).

Les défauts ou plutôt les améliorations qui pourrait être apportées sont:
Un packaging permettant de disposer d'un flacon stérile
Un repérage couleur des berceaux car une fois tous ouvert sur la table un débutant peut douter.

Quant à la connexion ........c'est un système vissé; plébiscité par nombreux consensus.
La conicité ne manque pas dans ces conditions.

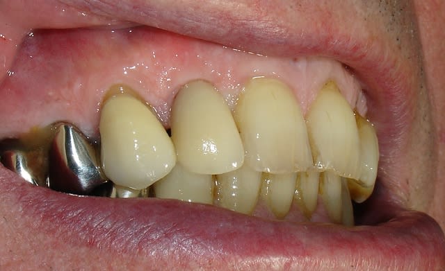
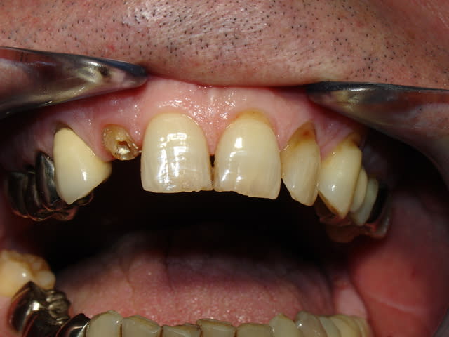
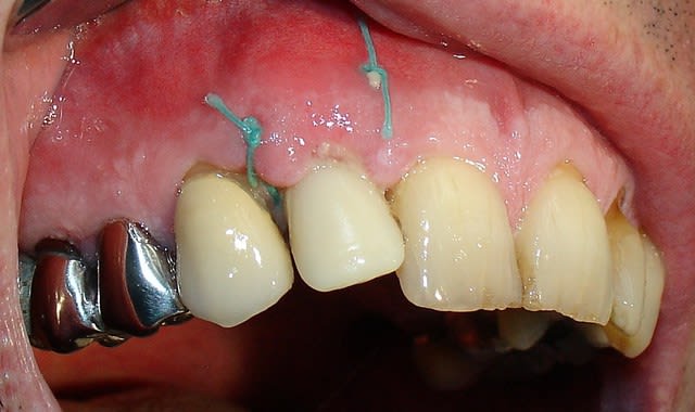
Après bientôt 200 implants posés 0% de perte, et concernant la prothèse je n'ai racheté aucun faux moignon même provisoire (depuis le 01/12/12).

Quelques images de l'année dernière

--
"La seule chose promise d'avance à l'échec, c'est celle que l'on ne tente pas" Paul Emile VICTOR

Imp thgybm - Eugenol
Vue vest gfv3yx - Eugenol
A 8 jours  jfxlgy - Eugenol
Modele l3gxhy - Eugenol
Avant chir z4plhj - Eugenol
Couronne en place mfxepr - Eugenol

Photo pluton1b h9n4ea - Eugenol
pluton

10/03/2014 à 13h04

Pour ceux qui pestent sur le fait d'avoir le porte implant/Fm monté et sur le conditionnement, c'est qu'ils n'ont pas compris toutes les subtilités de ce conditionnement...faudrait que je fasse une démo de toutes les options de préhensions offertes, çà serait plus rapide que les mots...

options encore décuplées avec le nouveau porte implant des interactive et legacy4 (même si c'est pas parfait encore pour la tenue du clip....info remontée en haut lieu...)

par contre oui, il faudrait sur le container interne un report de la référence de l'implant (qui donne type/diamètre/taille...)
je n'ai pas ce problème car j'ai une assistante en non stérile qui m'ouvre au fur et à mesure les containers...

le conditionnement offre par contre un avantage considérable: un stock de 25 implants c'est dans une boite de moins de 10cm de côté....et non une étagère complète!!!


Mario ycg44a - Eugenol
Mario180

10/03/2014 à 22h18

Autre petit défaut du packaging, parfois le bouchon indique le diamètre de l'implant, parfois c'est la connexion. Du coup, si c'est le diamètre de la connexion, on ne peut pas différencier facilement 2 implants de 3.7 et 4.2 par exemple lors d'une chir.

Certes, c'est un détail, mais ça a failli m'occasionner une erreur.

Plus positif : pour ceux qui ne veulent pas utiliser un pilier standard, le legacy 2 est à 130E HT avec un porte implant simple et sa vis, pour un implant identique au legacy 3.

Sinon, pour le tissue level, j'ai utilisé pas mal de screwplus (voir des monoblocs screwdirect).
Je suis pas fana du corps de l'implant (il faut forer vraiment pile poil), mais on retrouve la possibilité de gérer les empreintes avec des clips plastiques comme sur straumann et la même sécurité du tissue level.


Photo pluton1b h9n4ea - Eugenol
pluton

10/03/2014 à 22h38

Mario180 écrivait:
------------------
> Autre petit défaut du packaging, parfois le bouchon indique le diamètre de
> l'implant, parfois c'est la connexion. Du coup, si c'est le diamètre de la
> connexion, on ne peut pas différencier facilement 2 implants de 3.7 et 4.2 par
> exemple lors d'une chir.
>
> Certes, c'est un détail, mais ça a failli m'occasionner une erreur.

alors Mario, je te corrige:
la couleur du bouchon indique de diamètre de la plateforme prothétique
puis tu as d'inscrit la référence de l'implant
par ex:
bouchon vert (plateforme prothétique 3.5mm
85 37 10 = legacy3 (85) diamètre 3.7 (37) longueur 10 (10)

autre exemple:
bouchon rouge (plateforme 4.5mm)
804708 = legacy1 (80) diamètre 4.7 (47) longueur 8mm (08)

>
> Plus positif : pour ceux qui ne veulent pas utiliser un pilier standard, le
> legacy 2 est à 130E HT avec un porte implant simple et sa vis, pour un implant
> identique au legacy 3.

faux, le legacy2 est plus conique à l'apex et cylindrique dans la portion coronaire, plus agressif au niveau des spires et plus autotaraudant avec les 3 lames de coupes longues (au lieu de 2 plus courtes)...dans la lignée des dernières productions d'ID (legacy2, legacy4, swichplant...et interactive...)
>
> Sinon, pour le tissue level, j'ai utilisé pas mal de screwplus (voir des
> monoblocs screwdirect).
> Je suis pas fana du corps de l'implant (il faut forer vraiment pile poil), mais
> on retrouve la possibilité de gérer les empreintes avec des clips plastiques
> comme sur straumann et la même sécurité du tissue level.

là je comprends pas pour le forage, j'utilise régulièrement des legacy1, j'ai posé une grosse centaine de screwplant qui ont aussi le même corps....jamais eu de problème avec ce design d'implant...


Forest iegkoi - Eugenol
jx

11/03/2014 à 09h41

Mais peut-on trouver une hauteur de col transgingival comme chez straumann: 2.8 et 1.8 ? et un col gingival très évasé pour un implant plus étroit?


Photo pluton1b h9n4ea - Eugenol
pluton

11/03/2014 à 11h11

si tu veux pouvoir gérer à ta guise la hauteur transgingivale, alors prend le swichplant... que tu peux poser de crestal à transgingival sans te poser de questions...il suffit juste d'adapter ta profondeur de forage de (+2mm si tu veux être crestal)
sur cet implant tu as les plateformes standard et larges comme tu le désires...


Forest iegkoi - Eugenol
jx

12/03/2014 à 03h38

Donc en gros Niznik a inventé les implants TSV, AdVent et SwissPlus puis a revendu sa société (et donc sa R et D) à ce qui aujourd'hui encore porte le nom de Zimmer... Jusque là tout va bien… Zimmer a dû payer cher, mais après tout ça vaut le coup, y'a du boulot derrière et une clientèle fidélisée qui lui fait confiance…
Il a dû empocher un paquet d'argent avec cette vente…

Et malgré ça, il ose leur faire de la concurrence déloyale en lançant la vente parallèle des mêmes implants (Ah pardon le nom a changé, c'est plus SwissPlus c'est SwichPlus !!) et moins chers?
Il est pas gentil gentil ce mec…

Donc si je suis ton principe, tu poses de l'AlphaBio à la place du Nobel Active puisque la situation est comparable?


Photo pluton1b h9n4ea - Eugenol
pluton

12/03/2014 à 08h49

c'est encore plus malin que çà...
Niznick a vendu la société à Zimmer, mais Zimmer ne voulait pas toutes ses usines, donc la vente portait sur le nom et non sur la totalité des unités de productions...je pense que c'est pour çà qu'il n'y a pas eu de clause lui interdisant de fabriquer d'autres implants...d'autant que Zimmer était son premier client pour la fabrication des TSV!!!
la suite on connait: il a donc utilisé SES brevets (mais tombés dans le domaine publique) tout en continuant de développer le produit (minispires au col...inexistantes chez Zimmer, par ex...) et ID est né, reposant sur 2 grands concepts: le packaging "all in one" (tout dans le container) et la vente en direct de l'usine via le net...d'où le nom Implant Direct...

concurrence déloyale...si on veut, il a surtout été bien plus malin...après tout l'histoire est aussi vraie dans d'autres domaines...(Bill Gates avec windows qui a copié ce qui se faisait chez la marque à la pomme...)

poser de l'alphabio à la place du Nobel Active??? t'es fou, il vient de sortir l'InterActive avec connexion compatible...mais là encore améliorée!!! (pas besoin de faire de radio pour vérifier l'assise des pièces prothétiques!!!) le tout pour 192€TTC l'implant avec vis de couv + bague allonge (vis de cicat basse) et un porte implant/transfert/pilier titane définitif révolutionnaire...
je viens (hier) de poser mon premier InterActive, cet implant (sans être une révolution dans le domaine, bien d'autres systèmes sont comparables) est merveilleux!!! (séquence chir de forage identique aux autres produits avec des forets très lisibles, ultra perforants et endurants, aisance de mise en place le rendant accessible même aux débutants, qualité de finition, etc...)
j'ai fait un post sur le sujet ("en avant première: l'interactive) tu peux y voir les photos de la chir
cet implant va vraiment être une grosse réussite en termes de vente en Europe (très friante des connexions coniques) et bien des fabricants vont sérieusement ramer pour suivre...


Olieve

12/03/2014 à 08h54

jx écrivait:
------------
> Donc en gros Niznik a inventé les implants TSV, AdVent et SwissPlus puis a
> revendu sa société (et donc sa R et D) à ce qui aujourd'hui encore porte le nom
> de Zimmer... Jusque là tout va bien… Zimmer a dû payer cher, mais après tout ça
> vaut le coup, y'a du boulot derrière et une clientèle fidélisée qui lui fait
> confiance…
> Il a dû empocher un paquet d'argent avec cette vente…
>
> Et malgré ça, il ose leur faire de la concurrence déloyale en lançant la vente
> parallèle des mêmes implants (Ah pardon le nom a changé, c'est plus SwissPlus
> c'est SwichPlus !!) et moins chers?
> Il est pas gentil gentil ce mec…
>
> Donc si je suis ton principe, tu poses de l'AlphaBio à la place du Nobel Active
> puisque la situation est comparable?

Non pas de l'Alphabio ... De l'Interactive!! :-)

Il n'y a pas de concurrence déloyale : des brevets se terminent et le design des connexions devient libre de droits. C'est les majors de l'implanto les méchants : continuer a vendre a des prix exorbitants des produits dont la RD est amortie depuis bien longtemps. Au fait chez Nobel, la RD ça se résume à quoi actuellement ? Chercher de nouvelles techniques commerciales? De nouveaux brevets à racheter ?


Forest iegkoi - Eugenol
jx

12/03/2014 à 09h08

je parlais d'alpha bio car nobel leur a racheté le brevet du Nobel Active…
Merci pour ces précisions les gars.. Même si je suis toujours stressé d'utiliser unsystème qui n'es as un "gros" officiellement… Donc en gros maintenant Zimmer n'a pas innové depuis? Il continue à vendre les implants de Niznik tels quels?


Photo pluton1b h9n4ea - Eugenol
pluton

12/03/2014 à 10h50

zimmer a un peu évolué dernièrement:

microgrooves (spires horizontales au col), idée piquée à MIS mais pas si bête car on les retrouve sur d'autres implants (et même l'InterActive)

le trabécular métal, pour faire un genre de remake des endopore sybron...mais là je reste méfiant car la bague de métal poreux a obligé une grosse réduction de l'âme de l'implant donc quid de la solidité?...et puis en cas de périimplantite çà va être du sport!!!