Cookie Consent byPrivacyPolicies.comSoins opposables et réalités économiques comment s'en tirer - Eugenol

Soins opposables et réalités économiques comment s'en tirer ?

mathieu

12/03/2014 à 11h38

chicot29 écrivait:
------------------
> Suite à l'irradiation massive des dents non concernées par le signe d'appel, le
> patient a été admis en observation à l'hôpital clermont-tonnerre de brest. Le
> dentiste quant à lui a été jugé en comparution immédiate au TASS et condamné à 2
> ans d'interdiction d'exercice pour "mise en danger de la vie d'autrui". D'autres
> investigations sont en cours pour rechercher les patients ayant subi des
> éventuelles irradiations iatrogènes.-))


mince j'ai fait des rx de dépistage chez un non BBD, je risque gros.vivement le bbd femme enceinte, pour permettre le dépistage autorisé?


risque t'on aussi la prison lors d'un bbd avec rx sans signes d'appel?


Capture d  cran 2015 03 12 12.28 - Eugenol
chicot29

12/03/2014 à 12h00

Tu rigoles mais je pense qu'il faut l'interpréter comme ca. : sur-traitement si radios de diagnostic prise en dehors du BBD. Je vais bientôt avoir la réponse.


Bagheera tudzjy - Eugenol
bagheerra

12/03/2014 à 13h19

chicot29 écrivait:
------------------
> Tu rigoles mais je pense qu'il faut l'interpréter comme ca. : sur-traitement si
> radios de diagnostic prise en dehors du BBD. Je vais bientôt avoir la réponse.

http://www.has-sante.fr/portail/upload/docs/application/pdf/guide_exam_rx_oct2006_2007_12_07__12_37_35_794.pdf

Risque carieux élevé : ts les 6 mois
modéré : 12 mois
faible : 24 mois


Capture d  cran 2015 03 12 12.28 - Eugenol
chicot29

12/03/2014 à 13h31

Merci, mon petit doigt me dit que je vais en avoir besoin dans un avenir proche.-))


carident

12/03/2014 à 13h49

pgc écrivait:
-------------
> J'admire la façon ingénieuse et pratique que le praticien a adopté sur la 35
> pour résoudre le problème toujours fastidieux des points de contact. Pas une
> minute n'est perdue avec des matrices, des coins ou tout autre dispositif
> souvent un peu ennuyeux et vieillot.
>


Tu confonds tout...

C'est la technique dite du "club sandwich" :

Tu prends un bout de racine résiduelle (de préférence bien délabrée),
tu rajoutes un peu de ciment onctueux foulé au pouce
puis tu poses par dessus ton petit "bridge 1 dent" en résine => pas besoin de le coller aux dents adjacente, car tu vas transvisser à travers un gros screw post de chez black et decker!

Et voilà ton club sandwich (SC79+Z15) est prêt pour une belle radio obligatoire, mais que personne d'autre que toi ne verra...


Capture d  cran 2015 03 12 12.28 - Eugenol
chicot29

12/03/2014 à 13h53

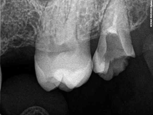
Illustration de la pertinence d'un status sur un risque carieux pourtant faible. Réalisé ce matin sur un nouveau patient. Ras à l'examen endo-buccal.

F1 risque carieux faible lnb2er - Eugenol

Bagheera tudzjy - Eugenol
bagheerra

12/03/2014 à 15h01

Attention, les reco de la HAS recommandent les radios rétroCORONAIRES pour le dépistage des caries, pas les rétro-alvéolaires.


Capture d  cran 2015 03 12 12.28 - Eugenol
chicot29

12/03/2014 à 15h10

Ah ? et ca change quoi ? Il doit me rester quelques films argentiques, mais c'est 1,2 s de temps d'exposition, pas 0,09 s. Si c'est pour une question de dose envoyée bien sur.-))


P2eqdh3csim6s7nb09ktdq3e7ev8 - Eugenol
barbabapat

12/03/2014 à 16h34

Fidélisation ou risquer de passer pour un méchant dentiste avide.

Patient qui vient car son plombage sur 28 est tombé.

Faut il repondre à la demande de la patiente en faisant un sc17 en optimisant la nomenclature voir un sc33 puis une couronne alors qu'il y a une jolie féllure qui explique la fuite de la restauration précédente.

ou passer pour un voleur en proposant un implant pour remplacer 26 et faire l'extraction de 28 qui ne demande que cela.

réponse plus tard en voyant si la patiente revient.

R1c zzorbg - Eugenol

carident

12/03/2014 à 20h22

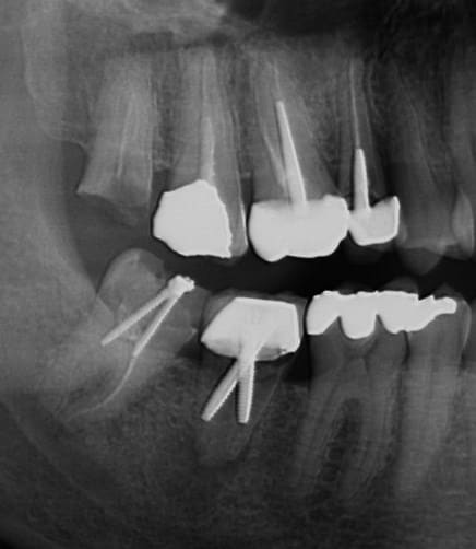
Et le prix de la plus grosse vis est décerné à...
CRUCIFER!


Pourquoi s'embêter à dévitaliser, alors qu'avec une bonne grosse vis dans chaque canal, tu peux à la fois obturer et restaurer ta dent...

60 minutes une endo molaire et 30 minutes pour la reconstituer? Que nenni, 5 minutes suffises! Les tarifs sécu sont encore largement surévalués... :-)

Screenshot085 wnij5o - Eugenol

fr

12/03/2014 à 22h24

barbabapat écrivait:
--------------------
> Fidélisation ou risquer de passer pour un méchant dentiste avide.
>
> Patient qui vient car son plombage sur 28 est tombé.
>
> Faut il repondre à la demande de la patiente en faisant un sc17 en optimisant la
> nomenclature voir un sc33 puis une couronne alors qu'il y a une jolie féllure
> qui explique la fuite de la restauration précédente.
>
> ou passer pour un voleur en proposant un implant pour remplacer 26 et faire
> l'extraction de 28 qui ne demande que cela.
>
> réponse plus tard en voyant si la patiente revient.

EX-CROC !


Darmon - Eugenol
Latin

13/03/2014 à 02h25

chicot29 écrivait:
------------------
> Illustration de la pertinence d'un status sur un risque carieux pourtant faible.
> Réalisé ce matin sur un nouveau patient. Ras à l'examen endo-buccal.

Tu ne vas quand même pas lui faire des soins conservateurs??? On vaut mieux que ça quand-même. Ne casse pas la baraque de tes confrères! Attends un peu pour assurer ta fidélisation.

Blague à part, je connais un praticien qui travaillait dans une zône à démographie immobile, il a un jour préféré déménager car il avait soigné toutes les caries de son coin... et ne voyait pas arriver suffisamment de patients avec autre choses que des soins conservateurs... Pas prévoyant le type!


youn

13/03/2014 à 02h28

J'arrive pas à comprendre comment ces gens ont toujours des patients... Moi quand j'ai une endo qui foire sous une couronne (rare quand même vu que je bosse depuis deux ans, ça m'est arrivé une ou deux fois sous retraitement) le patient fait la gueule et je refais gracieusement. Comment font-ils, leur bidule ça doit tenir maximum 2 mois avant une infection... On dit que les réputations sont plus dures à monter qu'à descendre, mais faut croire que non.

--
www.dentaltradegroup.com


eusebius

13/03/2014 à 08h13

C est tout un art..... De mentir comme un arracheur de dents :-)





=


Blondie

13/03/2014 à 08h13

Youn, les patients font la gueule parce que tu leur expliques qu'il y a échec justement. Ce genre de mec, c'est un peu de birodogyl et c'est reparti pour un tour. Ensuite pour peu qu'il y ait une fistule c'est même plus symptomatique, c'est gagné pour eux ("vous avez un aphte"). J'en ai vu des patients sous antibio de manière récurrente ou avec un "bouton" depuis des années...


Capture d  cran 2015 03 12 12.28 - Eugenol
chicot29

13/03/2014 à 09h26

Latin écrivait:
---------------
> chicot29 écrivait:
> ------------------
> > Illustration de la pertinence d'un status sur un risque carieux pourtant
> faible.
> > Réalisé ce matin sur un nouveau patient. Ras à l'examen endo-buccal.
>
> Tu ne vas quand même pas lui faire des soins conservateurs??? On vaut mieux que
> ça quand-même. Ne casse pas la baraque de tes confrères! Attends un peu pour
> assurer ta fidélisation.
>
> Blague à part, je connais un praticien qui travaillait dans une zône à
> démographie immobile, il a un jour préféré déménager car il avait soigné toutes
> les caries de son coin... et ne voyait pas arriver suffisamment de patients avec
> autre choses que des soins conservateurs... Pas prévoyant le type!

C'est sur qu'à volume constant en procédant de la sorte tu es mort. Quand tu "fidélises" par contre tu t'assures une rente jusqu'à la retraite.


fr

13/03/2014 à 13h34

youn écrivait:
--------------
> J'arrive pas à comprendre comment ces gens ont toujours des patients... Moi
> quand j'ai une endo qui foire sous une couronne (rare quand même vu que je bosse
> depuis deux ans, ça m'est arrivé une ou deux fois sous retraitement) le patient
> fait la gueule et je refais gracieusement. Comment font-ils, leur bidule ça doit
> tenir maximum 2 mois avant une infection... On dit que les réputations sont plus
> dures à monter qu'à descendre, mais faut croire que non.
>
> --

C'est facile je t'explique :
lors de mes rempla et collab j'ai eu 2 experiences qui sortaient du lot :

- le gars qui fait 1 bridge complet par semaine ... l'assistante calait selon remboursement de mutuelle + petite combines genre assimilation avec stellite , un peu d'especes sur le reste à charge ... bref tout ça avec en tout et pour tout : 1rdv pour les endos à droite, 1 pour la gauche, 1 rdv pour les reconsitutions à tenons 1 pour taille emp et 1 ou 2 pour livraison ... avec des temps de redv qui laissent reveurs ! ... Enfin tout patient qui bénficiait d'une endo repart avec la trousse de secours ( ordo atb si ça gonfle et ordo stomato pour resccetion si ca passe pas !)

- 2 e experience : madame a la caisse, depuis 30 ans le terrain a été preparé : une dévitalisation , il y a forcément un abces un jour et une couronne ça se decolle , c'est normal .... le patient avale d'autant mieux la couleuvre que on les prend toujours en urgence ( 5/6 personnes en salle d'attente ... mais on va vous prendre ! ( sauf si c'est gonflé c'est madame qui fait l'ordo !! et si c'est une couronne décollée ... le patient est pas encore assis dans le fauteuil que l'assisttante mélange d'oxy phosphate ... tout ça facturé comme un 3 faces et puis un p'tit det eventuellement .. pourquoi les patients se plaindraient ? en plus tout ça avec le tiers payant ...

de mon coté j'ai eu 2 patients qui m'ont fait un scandale car j'ai osé leur demandé 23 € non remboursable pour resceller une couronne qui venait d'etre faite chez un confrere et une autre fois 50€ non remboursable pour un bridge au superbond !

Finalement c'est bien eux qui ont raison !


Capture d  cran 2015 03 12 12.28 - Eugenol
chicot29

13/03/2014 à 13h41

Oui, faire de la merde c'est pas grave , pourvu qu'elle soit remboursée.
Ce pays est foutu.


John gp55mb - Eugenol
Faivre-rampant

13/03/2014 à 14h39

C'est triste de voir de telles situations...
Il faudrait vraiment avoir le droit aux dépassements sur le detartrage et sur les soins.


12