Cookie Consent byPrivacyPolicies.comCombien d'implants pour remplacer 22,23,24,25 et 26? - Eugenol

Combien d'implants pour remplacer 22,23,24,25 et 26?

87 ujotte - Eugenol
Spatouille

24/03/2014 à 18h20

oui fonction de groupe obligatoire sous peine de voir vos ceram et dent résine casser (perte de proprioception)


Android jyzura - Eugenol
Tavéca

24/03/2014 à 18h45

Spatouille écrivait:
--------------------
> oui fonction de groupe obligatoire sous peine de voir vos ceram et dent résine
> casser (perte de proprioception)

Oui, bien sûr pour la protection de la céramique, mais ma question sous-entendait plus une réflexion sur les forces implant-os et leurs caractère délétère ou non.


Logo vuaztn - Eugenol
mac

24/03/2014 à 19h59

Tavéca écrivait:
----------------
>
>
> Qui a déjà perdu un implant a cause d'une surcharge occlusale ?
>

des études ont étés réalisées chez le chien avec des couronnes sur implant en surocclusion, de memoire il n'y avait eu aucune perte d'implant.


Scan10030 ukikhq - Eugenol
vava

24/03/2014 à 20h25

encore une étude à la NOA!!!!


alex33

24/03/2014 à 20h36

vava écrivait:
--------------
> encore une étude à la NOA!!!!

Il me srmblait qu'il y avait plus de risque de craterisation sur les 3 premiers mm de col, mais ce ne sont que des souvenirs. En tout cas, une grosse surcharge,😆😆de plus en lateralite', ca doit pas etre top pour le pilier...


moi22

24/03/2014 à 20h56

je dirais 23 25 26 cela te permettrai de gérer l'esthétique au niveau des papilles pour la 22 23 24 beaucoup plus facilement. Avec la bosse canine qui te permettra de mettre un bon implant long et large.


Logo vuaztn - Eugenol
mac

24/03/2014 à 21h16

vava écrivait:
--------------
> encore une étude à la NOA!!!!


clap clap clap


87 ujotte - Eugenol
Spatouille

25/03/2014 à 06h39

Tavéca écrivait:
----------------
> Spatouille écrivait:
> --------------------
> > oui fonction de groupe obligatoire sous peine de voir vos ceram et dent résine
> > casser (perte de proprioception)
>
> Oui, bien sûr pour la protection de la céramique, mais ma question
> sous-entendait plus une réflexion sur les forces implant-os et leurs caractère
> délétère ou non.

pas seulement de la céramique, le cosmétique résine y passera aussi !

mais je pense qu'un implant canin (donc unitaire) avec restitution de la fonction canine parfaitement ostéo intégré ne "souffrira pas" au niveau de l'interface os/implant, c'est autre chose qui servira de rupteur, la vis, le pilier ou le col ...

maintenant c'est rare comme situation et si plusieurs implants c'est différent ...


Logocolornotext kiwlk1 - Eugenol
Clio

25/03/2014 à 09h45

Tavéca écrivait:
----------------


> Qui a déjà perdu un implant a cause d'une surcharge occlusale ?

T'es sérieux là???


Logocolornotext kiwlk1 - Eugenol
Clio

25/03/2014 à 10h58

Il semble que l’essentiel des problèmes
rencontrés lors de la phase d’ostéointégration
soit d’ordre biologique (8). Par
contre à moyen et long terme, ce sont les
facteurs de surcharge occlusale qui
seront les causes principales de complications
(5, 11, 14).
8. Duyck J, Ronold HJ, Van Oosterwyck
H, Naert I, Vander Sloten J,
Ellingsen JE. The influence of static
and dynamic loading on marginal
bone reactions around osseointegrated
implants : an animal
experimental study. Clin Oral
Implants Res. 2001;12(3):207-218
5. Curtis DA, Sharma A, Finzen FC, Kao
RT. Occlusal considerations for
implant restorations in the partially
edentulous patient. J Calif Dent
Assoc. 2000;28(10):771-779.
11. Hoshow SJ, Brunski JB, Cochran
GVB. Mechanical loading of
Brånemark implants affects interfacial
bone modeling and remodeling.
Int J Oral Maxillofac Implants. 1994;
14. Kim Y, Oh TJ, Misch CE, Wang HL.
Occlusal considerations on implant
therapy : clinical guidelines with
biomecanical rationale. Clin Oral
Implants Res. 2005 ;16(1):26-35.

et il y en a pein pein d'autres....


Android jyzura - Eugenol
Tavéca

25/03/2014 à 13h36

J'ai seulement pris la plus récente mais je prendrai le temps plus tard de discuter de ce sujet car c'est très intéressant et réellement je pense qu'ici on a un paradigme issu de la transposition du modèle naturel.
je ne discute pas ici des forces sur la connectique et la cosmétique mais juste de la la capacité de la lésion os-implant a supporter des charges importantes et donc a concevoir nos reconstruction avec une approche différente des connaissances de l'occlusion en denture naturelle


Regarde la conclusion de l'étude la plus récente que tu as cité.



Occlusal considerations in implant therapy: clinical guidelines with biomechanical rationale.
Kim Y1, Oh TJ, Misch CE, Wang HL.
Author information
Abstract
Due to lack of the periodontal ligament, osseointegrated implants, unlike natural teeth, react biomechanically in a different fashion to occlusal force. It is therefore believed that dental implants may be more prone to occlusal overloading, which is often regarded as one of the potential causes for peri-implant bone loss and failure of the implant/implant prosthesis. Overloading factors that may negatively influence on implant longevity include large cantilevers, parafunctions, improper occlusal designs, and premature contacts. Hence, it is important to control implant occlusion within physiologic limit and thus provide optimal implant load to ensure a long-term implant success. The purposes of this paper are to discuss the importance of implant occlusion for implant longevity and to provide clinical guidelines of optimal implant occlusion and possible solutions managing complications related to implant occlusion.!!!!!!!!!!!It must be emphasized that currently there is no evidence-based, implant-specific concept of occlusion. Future studies in this area are needed to clarify the relationship between occlusion and implant success.!!!!!!!


Android jyzura - Eugenol
Tavéca

25/03/2014 à 13h42

Clio écrivait:
--------------
> Tavéca écrivait:
> ----------------
>
>
> > Qui a déjà perdu un implant a cause d'une surcharge occlusale ?
>
> T'es sérieux là???


Bien sûr et je le redemande encore, Qui a déjà perdu un implant a cause d'une surcharge occlusale ? je parle bien de perte d'ostèointégration, cratérisation voir fracture osseuse peri-implantaire...

Moi jamais.

L'étude que tu montre n'a aucune force quand bien même les auteurs serait de très bons clinicien, elle n'a pas valeur de preuve c'est juste de la théorie fondé sur le sens clinique et axée surtout connectique, ancienne en plus. Problème que je ne remet pas en question par contre.


Android jyzura - Eugenol
Tavéca

25/03/2014 à 13h48

moi22 écrivait:
---------------
> je dirais 23 25 26 cela te permettrai de gérer l'esthétique au niveau des
> papilles pour la 22 23 24 beaucoup plus facilement. Avec la bosse canine qui te
> permettra de mettre un bon implant long et large.

Gérer la canine en implanto est pour moi en general plutot délicat. L'os est souvent manquant et la solution du pontique permet de mieux gérer l'esthétique.

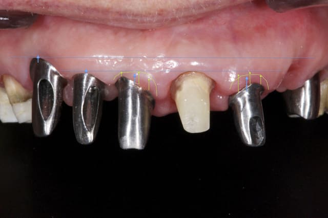
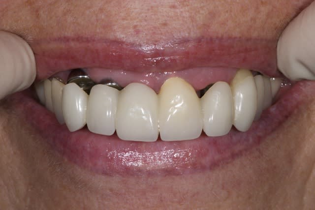
Ici, après avoir posé l'implant en 13 j'ai preferé ne pas poser en 23 et faire un bridge pour des raisons esthetiques

2 qczjzw - Eugenol
1 d3w1cn - Eugenol

Logocolornotext kiwlk1 - Eugenol
Clio

25/03/2014 à 14h20

Qu'il n'y ait pas "un concept spécifique de l'occlusion implantaire " clairement établi de nos jours OK
Que les "charges pouvant être supportées par les implants" puissent être supérieures à celles supportées par les dents re ok
Qu'une surcharge occlusale ne puisse pas entrainer des pb au niveau de la jonction os/implant alors là pas d'accord du tout .
Le fait que tu n'en ai pas eu n'est pas non plus un élément de preuve...
et quand aux points d'exclamations après " Future studies in this area are needed to clarify ..." !!!pour démontrer la force de tes propos,
tu seras certainement d'accord avec moi pour dire que cette phrase est la conclusion de la plupart des articles non? ;-)


Android jyzura - Eugenol
Tavéca

25/03/2014 à 14h48

Clio écrivait:
--------------
> Qu'une surcharge occlusale ne puisse pas entrainer des pb au niveau de la
> jonction os/implant alors là pas d'accord du tout .

C'est ça qui est intéressant, j'ai rien inventé, j'avais vu une conf vraiment intéressante du
Pr Anselm WISKOTT responsable de la division de prothèse fixe et biomatériaux à Genève.
Il avait montré qu'a sa connaissance il n'avait jamais vu une perte d'implant liée au forces occlusales. Etonnamment cette conf esces conclusions sont passés assez inaperçues.
Pour ma part j'ai réfléchit, dans ma tête;) un peu, et j'avoue que je trouve cela pas faux.

> Le fait que tu n'en ai pas eu n'est pas non plus un élément de preuve...

Oui, j'en suis conscient c'est pour ça que je pose la question et que j'ouvre la discussion sur ce point.

> et quand aux points d'exclamations après " Future studies in this area are
> needed to clarify ..." !!!pour démontrer la force de tes propos,

Les points d'exclamations n'étaient pas là pour appuyer mes propos mais pour encadrer le texte. c'était maladroit de ma part et ambigüe , j'en convient. j'aurais dû mettre un autre symbole.
Te vexe pas comme ça petit scarabé.

> tu seras certainement d'accord avec moi pour dire que cette phrase est la
> conclusion de la plupart des articles non? ;-)

C'est vrai!!!! ;)


12