Cookie Consent byPrivacyPolicies.comRTE - Eugenol

RTE

Capture d  cran 2015 03 12 12.28 - Eugenol
chicot29

15/03/2014 à 11h46

Cas quasi systématique avant de gagner sa vie dans ce pays de m.... endo à reprendre.

Séquence R25,S1,R25, S, R25, S1........ Apex.Bilan : 3 s1 à la poubelle (dé-vrillage de la pointe) 30 euros à la poubelle + 1 R25 (16 euros). Ca coute plus cher que l'aumone NGAP.
Ce pays est foutu.

R2 scmsq3 - Eugenol
R3 b5v0bp - Eugenol
R1 kr3qjd - Eugenol

Smile beach jgh0a1 - Eugenol
Céramik

15/03/2014 à 17h03

chicot29 écrivait:
------------------
> Cas quasi systématique avant de gagner sa vie dans ce pays de m.... endo à
> reprendre.
>
> Séquence R25,S1,R25, S, R25, S1........ Apex.Bilan : 3 s1 à la poubelle
> (dé-vrillage de la pointe) 30 euros à la poubelle + 1 R25 (16 euros). Ca coute
> plus cher que l'aumone NGAP.
> Ce pays est foutu.


C'est pas le pays qui est fichu, ce sont les dents du patient...

--
Céramik


Capture d  cran 2015 03 12 12.28 - Eugenol
chicot29

15/03/2014 à 21h03

Penses tu, les couronnes oui mais pas les racines. la petite peche sur 25 va se résorber.


Colombe2 ftf2ju - Eugenol
jean-baptiste

16/03/2014 à 00h46

ok on est d'accord sur l'indigence des tarifs de notre endo....

assez récemment converti au reciproc alors que j’étais très heureux avec mon tri auto + mini morita,
(et tu m'as beaucoup influencé pour ce choix chicot, ayant suivi tes posts et étant friand des tes "tests" de séquence instrumentale...)
je n'ai d'ailleurs aucun regret depuis tant la réciprocité me simplifie la vie endocanalaire, rte y compris , même si c'est plus cher en conso,

je me demande, quand même, là, dans ce cas précis, pourquoi tu n'a pas cherché ta perméabilité autrement qu'en zigouillant 3 sx, au prix que çà coute ?

ou alors j'ai pas tout bien compris ...

allez, hauts les cœurs, on s'en sortira quand même!
et au passage merci pour tous les conseils



Capture d  cran 2015 03 12 12.28 - Eugenol
chicot29

16/03/2014 à 12h34

J'ai bien quelques limes, mais la dernière fois que je m'en suis servi ca a pété direct.


Colombe2 ftf2ju - Eugenol
jean-baptiste

16/03/2014 à 15h25

D'acc...
Je me sers du sx "comme tu dis en picorant" aussi pour les entrees recalcitrantes, un peu comme un instrument manuel monté sur manche, mais jamais pensé à faire pareil en intracanalaire (peur de buter et casser...)
pourquoi n'invente-t-on pas un "pathfile reciproc? deposons un brevet si c'est pas en cours!!
tchao bon dimanche


Capture d  cran 2015 03 12 12.28 - Eugenol
chicot29

16/03/2014 à 15h37

Tu geres le couple sur l'entran pour ne pas forcer. Je le met à 2 il s'arrete tout seul. Réciproc et récapitulation au sx qui descend plus bas, on peut l'amener assez loin surtout après avoir ouvert les entrées au largo numero 3 monté sur ca double bague verte. Le but étant d'élargir les 2 tiers coronaires pour faciliter le passage du S1 monté sur endo master.
Le sx mesurant 19 mm il est tout a fait adapté à la recherche des canaux surtout sur un moteur sans fil aussi ergonomique et peu encombrant que l'entran.


Colombe2 ftf2ju - Eugenol
jean-baptiste

16/03/2014 à 20h17

je faisais pareil mais avec le tri auto mini réglé à un couple assez bas!

çà fait le désespoir de mon assistante qui ne comprend pas pourquoi il m'a fallu un autre moteur endo alors que j'en étais manifestement content, et qui comprend encore moins que j'en sorte deux maintenant (tri auto mini sans fil + mini root zx pour les entrées,le mv2 et détermination lt, suivi du reciproc gold qui confirme la lt et fait le gros du job de mise forme finition apicale)

quand tu rajoutes le tub digue, les fouloirs de verticale à chaud, le bl alpha puis le bl beta pour remontee gutta gauche,le sequenceur endo (simplifié certes) çà fait du matos sur le champ instrumental, elle a du mal à ne pas y voir une lubie de plus, mais j'insiste, j'insiste (dur car mes assoc "font pas pareil et avec moins")

"sans compter que parfois sur une mono c'est plié en 5 minutes d'instrumentation et que après vous "glandez" avec l'endoactivator..."

mais je m'en fiche çà me facilite la vie et me rend l'endo moins casse-pied, plus detendue quoi, dejà que c'est mal retribué...

bref je vais essayer de me passer du cath manuel en cas de "recalcitrance", çà me fera toujours une etape en moins
tchao et à plus tard!


youn

16/03/2014 à 21h07


L'endoactivator est une arnaque sans nom. Achète un insert endo (long et fin) et passe le sans spray dans tes canaux pleins d'hypo (en gros à 30% de la puissance), tu seras beaucoup plus efficace, et surtout 10 fois moins cher.


Capture d  cran 2015 03 12 12.28 - Eugenol
chicot29

16/03/2014 à 22h36

youn écrivait:
--------------
>
> L'endoactivator est une arnaque sans nom. Achète un insert endo (long et fin) et
> passe le sans spray dans tes canaux pleins d'hypo (en gros à 30% de la
> puissance), tu seras beaucoup plus efficace, et surtout 10 fois moins cher.

Oui, et surtout tu attends qu'il casse pour le changer c'est encore moins cher.-))
Entre les limes ultrasons qui cassent, le dakin qui bousille tous les autres systèmes (rinse endo, saf, minimaster) l'endo activator reste celui ou tu n'as pas d'emmerdes.
je n'ai pas essayé encore le laser erbium yag pour la désinfection canalaire qui donne parait il d'excellents résultats.-))


Capture d  cran 2015 03 12 12.28 - Eugenol
chicot29

09/04/2014 à 00h36

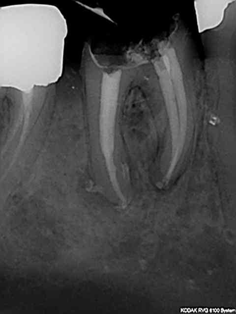
Une de plus. Terminée en down pack + thermo compaction. Tenon à réaliser dans la racine mésiale, j'y vais un peu fort des fois.-))

R1 zom2hl - Eugenol
R3 dgmb50 - Eugenol
R2 mb8sbp - Eugenol

Index vakr2r - Eugenol
pgc

09/04/2014 à 01h01

Chouette endo. Jolis petis puffs sur les canaux accessoires de la racine distale. Elle a eu un peu chaud dans la courbure inter radiculaire mais peste, il faut ce qu'il faut:).


Capture d  cran 2015 03 12 12.28 - Eugenol
chicot29

03/04/2017 à 15h04

J'en ai marre de nuire à l'image de la profession. -)


--
En cas d'échec des négociations conventionnelles, seriez-vous prêt à suivre la promotion d'un déconventionnement massif de la profession par les syndicats représentatifs ? OUI - NON
Participez, anonymement, sur https://goo.gl/forms/nAO0htnsVmxotjYm1

Capture d écran 2017 04 03 15.01 - Eugenol

digueverte

03/04/2017 à 15h25

bonjour chicot ,
beau travail mais j aurai une petite question après avoir regardé un bon nombre de tes cas. Pourquoi tu ne mets pas un peu de digue liquide ou du cavit pour rendre ta digue parfaitement étanche? cela prend 1 min comme dans ce cas en mèsial.

bonne journée à vous


Capture d  cran 2015 03 12 12.28 - Eugenol
chicot29

03/04/2017 à 16h01

Parce que il n'y a pas de salive à passer. -)


--
En cas d'échec des négociations conventionnelles, seriez-vous prêt à suivre la promotion d'un déconventionnement massif de la profession par les syndicats représentatifs ? OUI - NON
Participez, anonymement, sur https://goo.gl/forms/nAO0htnsVmxotjYm1


Yado

03/04/2017 à 18h03

jean-baptiste écrivait:
-----------------------
> pourquoi n'invente-t-on pas un "pathfile reciproc? deposons un brevet si c'est
> pas en cours!!


Il est sorti mais 3 ans plus tard :)

http://www.vdw-dental.com/en/products/detail/r-pilottm/


Capture d  cran 2015 03 12 12.28 - Eugenol
chicot29

10/04/2017 à 19h27

J'y étais presque . quelques difficultés avec mon localisateur cependant ....et pour cause. -)



--
En cas d'échec des négociations conventionnelles, seriez-vous prêt à suivre la promotion d'un déconventionnement massif de la profession par les syndicats représentatifs ? OUI - NON
Participez, anonymement, sur https://goo.gl/forms/nAO0htnsVmxotjYm1

Capture d écran 2017 04 10 17.20 - Eugenol

mr smith

10/04/2017 à 21h34


saloperie de clamps ;o))))

--
De l'influence de Marizol sur mon comportement .


Capture d  cran 2015 03 12 12.28 - Eugenol
chicot29

10/04/2017 à 23h02

Il y avait un petit quelque chose au début. Qui s'est aggravé par la suite. -)

Elle était blette la dent. Endo faite il y a un mois. -)
--
En cas d'échec des négociations conventionnelles, seriez-vous prêt à suivre la promotion d'un déconventionnement massif de la profession par les syndicats représentatifs ? OUI - NON
Participez, anonymement, sur https://goo.gl/forms/nAO0htnsVmxotjYm1