Cookie Consent byPrivacyPolicies.comQue faire de cette 37 ou 38? - Eugenol

Que faire de cette 37 ou 38?

Abeille lzfkas - Eugenol
domi38

21/03/2014 à 16h57

Bonjour, j'ai un cas à vous soumettre.
Tout inopinément, j'ai fait une panoramique sur un ado de 14 ans avec brossage ---.
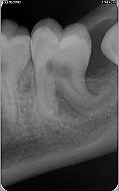
Et voici ce que je trouve sur la 37: une image sombre énorme autour d'une racine plus que courbée.
Après une rétro alvéolaire de complément, la zone sombre semble épargner la racine distale de 37 pour se situer plus sur la 38?!?

Le patient ne présente aucun symptome et la 37 réagit positivement au test au froid.

Scanner? Stomato?

J'attends vos avis et suggestions. Merci

Pano mars 2014 ticvao - Eugenol
Retro 2014 dlzkma - Eugenol

le figou

21/03/2014 à 17h24

domi38 écrivait:
----------------

>
> Scanner? Stomato?
>
les 2


Orezza gazeuse verre litre ocoxey - Eugenol
casa

21/03/2014 à 17h51

Gros sac péricoronaire de la 38 ... scanner : non ,extraction 38 oui , stomato: vaut mieux ...ceci est mon petit avis ....


fgui

21/03/2014 à 18h04

RADIO VOLUMETRIQUE exerèse propre avec avulsion et ana path.
Pour moi fibrome améloblastique ensuite surveillance deux ans mais rien de bien inquietant.


Capture d  cran 2015 03 12 12.28 - Eugenol
chicot29

21/03/2014 à 20h34

domi38 écrivait:
----------------
> Bonjour, j'ai un cas à vous soumettre.
> Tout inopinément, j'ai fait une panoramique sur un ado de 14 ans avec brossage

Tss, une radio sans signe d'appel. Pourquoi ? il va falloir que tu te justifies mon coco.-))


Pouetmaster

21/03/2014 à 23h00

100% avec chicot29 : sans douleurs, tu vas devoir rembourser tes radios inutiles.

P.S : prend pas la peine de lui apprendre à se brosser les dents, ça sert à rien. Comme toute prévention après 14 ans (et même avant).

Sinon extraction de la 8 par un chir et surveillance (sans radio :))


Index vakr2r - Eugenol
pgc

22/03/2014 à 17h28

chicot29 écrivait:
------------------
...
> Tss, une radio sans signe d'appel. Pourquoi ? il va falloir que tu te justifies
> mon coco.-))

chicot29 tu as une centaine de status à rembourser à la sécu? Hmm? Des radios bien utiles, mais pas éligibles au remboursement. Vilain chicot29, si tu ne fais pas les radios, c'est perte de chance pour les patients. Si tu les fais et les proposes au remboursement, c'est escroquerie à la sécu et prestations indues. Solution: tu fais les radios gratuitement et tu seras un gentil chicot qui coûte pas trop cher à la sécu et qui lui rapporte un max. Pays foutu? Pays foutu.
Dans l'ID du mois, Marc Sabek écrit un édito où il explique qu'un de ses amis ortho s'est fait allumer par le CD pour des panos en cours de traitement. Paske les experts ont dit qu'il fallait une pano au début, une à la fin, rien pendant. Sûr que les mêmes experts n'hésiteront pas à allumer l'ortho si un patient développe des rhyzalyses en cours de traitement. Rhyzalyses que l'ortho aurait dépisté s'il avait fait une OPTG en cours de tt. OPTG contestée par les experts...
Pays foutu archi-foutu.

@domi38: Désolé de troller ton post. Comme les copains: kyste de 38, faire l'exérèse par le sto, surveiller la vitalité de 37 si le sto ne la fait pas sauter pour accéder au site (les stomatos ne sont pas à une dent près au contraire des dentistes), laisse tomber le brossage tu vas te fatiguer pour rien c'est ses dents pas les tiennes.

--
Dites nous de quoi vous avez besoin, on vous dira comment vous en passer.


Index vakr2r - Eugenol
pgc

22/03/2014 à 17h32

Et fais endo et CCM sur 15, elle est cariée, c'est chaud pour la pulpe et on est pas là pour tricoter avec des coiffages pulpaires et des compos à 30€.


Avatar hjdsnm - Eugenol
TiGabi

22/03/2014 à 20h08

Un cone-beam me semble indispensable. Un kyste folliculaire depuis la 38 est possible (la lésion semble partir du collet) mais on peut également penser dans cette zone au kyste de furcation vestibulaire.

Seule l'ana-path pourra donner la nature de la lésion.

Pouetmaster écrivait:
---------------------
> P.S : prend pas la peine de lui apprendre à se brosser les dents, ça sert à
> rien. Comme toute prévention après 14 ans (et même avant).

C'est totalement faux.

Si c'est une plaisanterie, ce n'est pas à écrire sur un forum public.


Canin

23/03/2014 à 08h34

La lésion ne semble pas liée à 38.


Vitalité 37 ?

Exérèse de la lésion en emportant au passage les 2 dents, c'est plus sûr.

On pourrait tenter de conserver la 37 en faisant en deux temps et après une première an anapath. A réévaluer avec le scan.

Je préfère la première solution. On a des implants en stock pour plus tard.






--
Canin


Pouetmaster

23/03/2014 à 15h34

TiGabi écrivait:
----------------
>
> Pouetmaster écrivait:
> ---------------------
> > P.S : prend pas la peine de lui apprendre à se brosser les dents, ça sert à
> > rien. Comme toute prévention après 14 ans (et même avant).
>
> C'est totalement faux.
>
> Si c'est une plaisanterie, ce n'est pas à écrire sur un forum public.

Bien sûr que c'est une joke : comme dit plus haut, la sécu ne veut pas de la prévention ou d'examen préventif. Ça reste malheureusement une constatation. Le patient ne veut pas payer (oui, j'ai écrit après avoir expliqué à une mère l'intérêt de fluorer sa fille mais je me suis fais envoyer chier en retour). Reste plus que nous : mais faire de la prévention gratis et des soins de qualité sous honorés, je peux déjà prétendre au RSA et autres avantages sociaux.
Et dires qu'un patient m'a sorti qu'un BON dentiste doit gagner 15 à 20k€/mois, vu que c'est ce que c'est un peu près mon BNC, je dois être vraiment être nul !
Ce pays est plus que vraiment archi-foutu.


Abeille lzfkas - Eugenol
domi38

24/03/2014 à 10h59

Merci à tous. Bon, on va envoyer tout ça chez le stomato qui va bien.

La 37, j'aimerais bien qu'elle puisse rester, mais si un jour il faut lui faire une endo...
La 15, on a déjà enfoncé la pulpe (carie énorme) je le revois pour l'endo la semaine prochaine et j'adresserai en même temps.


fgui

24/03/2014 à 15h36

Aucun intérêt à extraire 37!
Si il y avait une patho inquiétante l'ana path le dirait.et il serait toujours temps de réévaluer.


flicflac

28/03/2014 à 04h52

sur la rétroalvéolaire la lesion semble circonscrite à la couronne dent 38 .... kyste folliculaire.... Il me semble que sur la panoramique une deformation plus semble présente... courbure de la racine dent 37...


flicflac

28/03/2014 à 04h54

pas la courbure des racines mais positionnement de la lésion radio clair moins relié à la racine 37 sur la PA