Cookie Consent byPrivacyPolicies.comLesion dermato - Eugenol

Lesion dermato

qbriance

25/03/2014 à 22h43

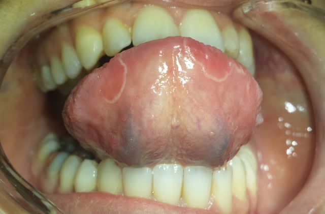
Bonjour, je vous présente le cas d'une patiente du jour:
Patiente de 27 ans, pas de problème de santé, pas de médicament, pas de tabac, présente depuis hier une lésion au niveau de la langue. Ne se décolle pas au grattage, léger picotement ressenti.
Je ne suis pas très bon en dermato donc je suis preneur de vos avis et recommandations pour ma patiente.
Merci!

2014 03 25 13.39 - Eugenol
2014 03 25 13.39 - Eugenol

ClubMed

25/03/2014 à 22h46

Langue géographique
Rien à faire


qbriance

26/03/2014 à 23h53

Réponse rapide et effciace^^


Images jm2g2g - Eugenol
dr_0le

27/03/2014 à 00h02

langue géographique aussi.. pour éviter l'apparition de lésion, limiter aliments acides au max..
sinon pas de traitement particulier..


DrPoivre

07/04/2014 à 00h04

Langue géographique oui et macroglossie j'ai l'impression.

Y'a t-il apparition de douleurs lors des repas ? (brûlures ?)
Si pas de douleurs, rien à faire (notamment au niveau "esthétique"), la langue géographique est quasiment considérée comme une variation physiologique.