Cookie Consent byPrivacyPolicies.comReconstitutions pré-endo et CCAM - Eugenol

Reconstitutions pré-endo et CCAM

Images jm2g2g - Eugenol
dr_0le

27/03/2014 à 20h09

Le Choixpeau magique écrivait:
------------------------------
> dr_0le écrivait:
> ----------------
> > je parle de l'acte de recréer la paroi avant digue.. pas de toute la
> préparation
> > avant =)
>
> Ah oui, c'est comme une endo en fait, le travail c'est juste de prendre le cône
> enduit de ciment et de l'enfoncer dans le canal, pas besoin de facturer ça !
>
> > temps de prise du cvi.. 1.30 a mon avis avant de mettre la digue =)
>
> Encore un petit effort et on va arriver au vrai temps de prise d'un CVI !

sigh...

franchement de plus en plus difficile de s'exprimer sur eugenol.. chacun est convaincu d'être un champion..
tu crois sérieusement que je vais rentrer dans le débat du temps de prise du cvi..

mon idée initiale est que cette petite liberté que nous offrira la ccam ne suffira pas à faire passer la pilule..

je ne pense pas qu'avec ce genre de réponse les gens ait envie de poster ici.. d'ailleurs ya plus aucun cas clinique et rarement de topic qui ne dérive pas sur la ccam / mutuelle / syndicat..


Logo qw3xdt - Eugenol
ĐĐS

27/03/2014 à 20h11

dr_0le écrivait:
----------------
> non mais arrêtez.. une reconstitution pré endo n'a pour but que de permettre la
> pose de la digue..
> c'est un pâté de cvi sculpté a la spatule vite fait.. de toute façon il sera
> déposé après l'endo en grande partie pour la reconstitution prothétique..
> pas la peine de s’arrêter sur l'expression 1 minutes ou 13 secondes..
> ce que je veux dire c'est qu'il ne demande que très peu de travail...
> je ne conçois pas de facturer ce travail de façon isolé.
>
> et pour le traitement endo en lui même, réalisé au recirpoc, sous digue, 45 mn
> pour une molaire, obturation calibrée. je pense être dans les clous chicot =)


Si tu estimes que ton travail ne vaut pas plus que 90€ pour tes 45 minutes de travail, libre à toi...



--
Normal is not something to aspire to, it's something to get away from...


sagito

27/03/2014 à 20h14

petite question hors sujet,est ce que la pression exercée par clamp ne fait pas "eclater" la reconstitution pré endo?
et quel cvi utilisez vous ?merci


Images jm2g2g - Eugenol
dr_0le

27/03/2014 à 20h20

ĐĐS écrivait:
-------------
> dr_0le écrivait:
> ----------------
> > non mais arrêtez.. une reconstitution pré endo n'a pour but que de permettre
> la
> > pose de la digue..
> > c'est un pâté de cvi sculpté a la spatule vite fait.. de toute façon il sera
> > déposé après l'endo en grande partie pour la reconstitution prothétique..
> > pas la peine de s’arrêter sur l'expression 1 minutes ou 13 secondes..
> > ce que je veux dire c'est qu'il ne demande que très peu de travail...
> > je ne conçois pas de facturer ce travail de façon isolé.
> >
> > et pour le traitement endo en lui même, réalisé au recirpoc, sous digue, 45 mn
> > pour une molaire, obturation calibrée. je pense être dans les clous chicot =)
>
>
> Si tu estimes que ton travail ne vaut pas plus que 90€ pour tes 45 minutes de
> travail, libre à toi...
>
>
>
> --
> Normal is not something to aspire to, it's something to get away from...

comme tous les soins opposables.. c'est fait à perte..
part of the game ..
ton post de départ est intéressant.. mais je pense que ca sera a terme utilisé contre nous comme cela a été dit dans le fil de discussion...

si la reconstitution n'est pas trop fine, en général ça tient bien sous le clamp..


Logo qw3xdt - Eugenol
ĐĐS

27/03/2014 à 20h21

dr_0le écrivait:
----------------
> Le Choixpeau magique écrivait:
> ------------------------------
> > dr_0le écrivait:
> > ----------------
> > > je parle de l'acte de recréer la paroi avant digue.. pas de toute la
> > préparation
> > > avant =)
> >
> > Ah oui, c'est comme une endo en fait, le travail c'est juste de prendre le
> cône
> > enduit de ciment et de l'enfoncer dans le canal, pas besoin de facturer ça !
> >
> > > temps de prise du cvi.. 1.30 a mon avis avant de mettre la digue =)
> >
> > Encore un petit effort et on va arriver au vrai temps de prise d'un CVI !
>
> sigh...
>
> franchement de plus en plus difficile de s'exprimer sur eugenol.. chacun est
> convaincu d'être un champion..
> tu crois sérieusement que je vais rentrer dans le débat du temps de prise du
> cvi..
>
> mon idée initiale est que cette petite liberté que nous offrira la ccam ne
> suffira pas à faire passer la pilule..
>
> je ne pense pas qu'avec ce genre de réponse les gens ait envie de poster ici..
> d'ailleurs ya plus aucun cas clinique et rarement de topic qui ne dérive pas sur
> la ccam / mutuelle / syndicat..
>

Le but de mon Topic était juste de transmettre une info pour permettre à ceux qui estiment ne être correctement rémunérés pour leur endo de l'être enfin. Rien d'autre...

--
Normal is not something to aspire to, it's something to get away from...


Capture d  cran 2015 03 12 12.28 - Eugenol
chicot29

27/03/2014 à 20h33

Ceux qui estiment être correctement rémunérés pour une endo n'en ont rien à battre de ta reconstitution pré-endo et encore moins à battre de la digue. C'est le résultat de ce système de santé collectiviste qui pense pouvoir avoir de la qualité à un tarif de merde. Et qui a en plus le culot de parler de"données actuelles de la science" de recommandations de la HAS et gnagnagna........

Au vu de ce qu'on croise habituellement dans la bouche des français à 90 %, C'est raté.


Images jm2g2g - Eugenol
dr_0le

27/03/2014 à 20h37

Malheureusement dds je rejoins chicot..
Les soins sont fait à perte..
L'idée de départ est bonne.. Pouvoir facturer plus sur une endo..
Mais tu vas le faire 3 fois.. Et après les patients iront voir le voisin chez qui c'est gratuit...
Les patients s'en foutent de savoir si le cône est a lapex ou pas..
Pour eux c'est gratuits et pis c'est tout...

Le hn est la pour essayer de vivre mieux.


Capture d  cran 2015 03 12 12.28 - Eugenol
chicot29

27/03/2014 à 20h42

En plus meme pas de petite arthrite de temps en temps les obturations (quand il y en a) étant entre 5 et 10 mm de l'apex. Les emmerdes c'est pour plus tard et le patient ne sait meme plus qui est responsable de sa nuit blanche.-))


Gregory H

27/03/2014 à 22h51

dr_0le écrivait:
----------------

>
> mon idée initiale est que cette petite liberté que nous offrira la ccam ne
> suffira pas à faire passer la pilule..
>


Apparemment, il y a discordance entre ton idée et ce que tu as écrit.


Grueavatar nptrc9 - Eugenol
Le Choixpeau magique

27/03/2014 à 22h57

dr_0le écrivait:
----------------
> franchement de plus en plus difficile de s'exprimer sur eugenol.. chacun est
> convaincu d'être un champion..

Je me demande qui est le champion, c'est toi qui viens nous dire que tu fais tes reconstitutions en 13 secondes.


> je ne pense pas qu'avec ce genre de réponse les gens ait envie de poster ici..

Attends faudrait pas retourner les choses, un confrère nous amène cette info qui semble intéressante qui indique qu'on pourrait facturer les reconstitutions pré-endos.

TOI, tu viens critiquer en disant que c'est n'importe quoi, que ça prend 13 secondes et qu'on ne va pas facturer pour ça. Si tu étais inconnu on pourrait même penser que c'est un troll... Ne viens pas te plaindre que tes provocations entraînent des réactions !

> d'ailleurs ya plus aucun cas clinique et rarement de topic qui ne dérive pas sur
> la ccam / mutuelle / syndicat..

Ce n'est pas un topic qui dérive vers la CCAM, c'est un topic sur un élément de la CCAM, si ça ne t'intéresse pas rien ne t'oblige de participer à ce sujet en particulier.
>


Blondie

27/03/2014 à 23h01

sagito écrivait:
----------------
> petite question hors sujet,est ce que la pression exercée par clamp ne fait pas
> "eclater" la reconstitution pré endo?
> et quel cvi utilisez vous ?merci

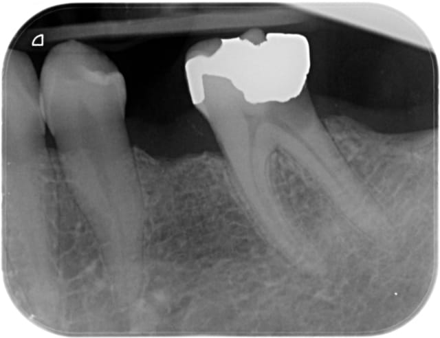
80% du temps, du fuji 2LC (photopolymérisable, avec conditionneur) avec une automatrice (photo 4).

Parfois quand je n'arrive pas à matricer parce que limite trop basse un compo fluide remonté à la main avec mise en place de fil de rétraction dans le sulcus (radios 5 et 6) Mais cela n'est possible que pour un délabrement réduit, une paroi max.

Quand je dépose une couronne/inlay core et que la dent est "à plat", un provisoire (isomoulage) scellé en définitif (fuji plus) après protection au cavit des entrées canalaires. Y a plus qu'à repasser au travers, ça tient très très bien (photos 1,2,3)


Photo 1 y5dazm - Eugenol
Photo 3 czgggv - Eugenol
Photo 2 i3fzgi - Eugenol
Inconnu x 20140224 113757 x2appqv9l04 3 ng50yh - Eugenol
Photo 2 xbqiov - Eugenol
Inconnu x 20140214 143301 xaja5x15olgf 3 ntldbb - Eugenol

mathieu

27/03/2014 à 23h14

intéressant ce post


antoine1986

28/03/2014 à 19h49

Bonjour,
intéressant l'idée de la provisoire scellé au fuji!
Mets tu ta provisoire en sous occlusion pour qu'elle puisse tenir sans parois?


Gregory H

28/03/2014 à 20h25

Si la dent est vraiment à ras, la prov scellée au Fuji peut gicler en cours de traitement, clampez la dent distale (si elle existe) plutôt dans ces cas.


Blondie

28/03/2014 à 20h40

La provisoire scellée en définitif, je l'ai utilisée la première fois sur une 47 sur laquelle je n'arrivais ni à faire ma reconstitution ni à clamper. La dent était à ras après dépose de l'inlay core. Depuis je le fais souvent et je n'ai eu qu'une fois un soucis de descellement (à la fin de la deuxième séance de retraitement soit presque 3 heures..). À mon grand étonnement ça tient très bien. D'autant plus si on choisit un crampon qui ne s'appuie pas sur la zone de collage. Je ne mets pas spécialement en suis occlusion.


Blondie

28/03/2014 à 20h40

La provisoire scellée en définitif, je l'ai utilisée la première fois sur une 47 sur laquelle je n'arrivais ni à faire ma reconstitution ni à clamper. La dent était à ras après dépose de l'inlay core. Depuis je le fais souvent et je n'ai eu qu'une fois un soucis de descellement (à la fin de la deuxième séance de retraitement soit presque 3 heures..). À mon grand étonnement ça tient très bien. D'autant plus si on choisit un crampon qui ne s'appuie pas sur la zone de collage. Je ne mets pas spécialement en suis occlusion.


Capture d  cran 2015 03 12 12.28 - Eugenol
chicot29

28/03/2014 à 23h39

Blondie écrivait:
Depuis je le fais souvent et je n'ai
> eu qu'une fois un soucis de descellement (à la fin de la deuxième séance de
> retraitement soit presque 3 heures..).

Et là la réflexion du patient qui tue : je n'ai jamais autant chié la bouche ouverte chez le dentiste. -))
J'ai eu cette réflexion l'autre jour au bout d'une demi-heure de digue en place.


youn

29/03/2014 à 00h10

Mets une cale de l'autre côté. Ca soulage beaucoup de gens pour les traitements longs. Sans ça c'est vrai que ça fait mal à la machoire, crampe et compagnies, sans parler de la luxation irréductible.

--
www.dentaltradegroup.com


Capture d  cran 2015 03 12 12.28 - Eugenol
chicot29

29/03/2014 à 12h16

Bien sur, un parachute sur la cale ?-)) Chez moi ca dure une heure max au de là c'est qu'il y a un souci. pour avoir testé personnellement 1h ( en 2 fois) pour une endo sur 16 c'est largement supportable à la limite de faire une sieste.-))


12