Cookie Consent byPrivacyPolicies.comle curetage me paraissait ok et voila ce que j’obtiens... - Eugenol

le curetage me paraissait ok et voila ce que j’obtiens...

pâtesaubeurre

03/04/2014 à 20h24

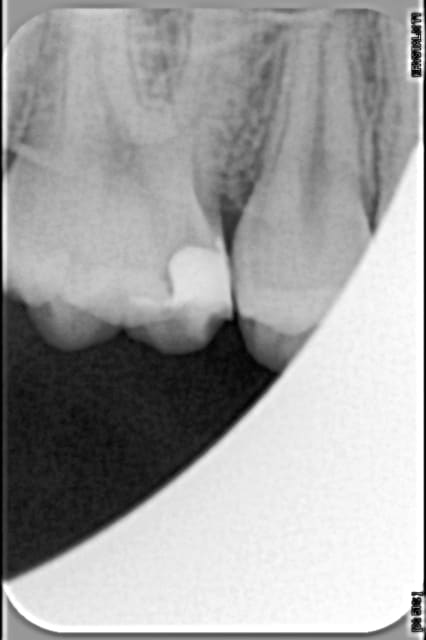
Petit patient de 10 ans, je curete sa carie en mésial de 16, la cavité m'a l'air impec, je passe la curette manuelle pour bien être sûr, je passe la sonde et tout est dur, la sonde crisse sur la dentine, je fais mon compo bien au sec (sans digue, ok mais au sec quand même)
Je suis dans une période de remise en question (où travailler? avec qui? comment? bla bla bla) et je cherche à savoir ce que je vaux vraiment, donc je fais un cliché après avoir fait mon compo pour voir si je bosse bien et j'obtiens la radio ci dessous.
Mon ego en prend un coup! Moi qui croyait avoir bien fait, j'obtiens un gros liseré radioclair sous mon compo, pourtant :
- je pense que mon curetage était vraiment correct (couleur, dureté de la dentine)
- il n'y avait pas de résidu d'adhésif au fond de la cavité après sa polymérisation
- je pense avoir bien foulé mon compo jusqu’au fond de la cavité
- le compo n'était pas décollé
Bref, je ne vois pas pourquoi j'ai eu ça

Je vais sûrement me faire rouler dessus par certains qui diront "retourne à la fac, cureter une carie c'est la base" mais je préfère ça à continuer à avoir des liserés comme ça!

vos avis??

O c09ad0060211bac3 0 hsejhs - Eugenol

doagui

03/04/2014 à 20h57

A priori ton raisonnement est bon, je veux dire que tu te poses les bonnes questions au moins et tu es dans une démarche de qualité donc tu n'as aucune honte à avoir !!! Y'a qu'en osant montrer ses erreurs qu'on s'améliore à mon avis.

Là pour le coup je t'auras dit que c'était un joint d'adhésif un peu épais, mais si tu es sur d'avoir bien soufflé pour éliminer les excès je ne sais pas trop quoi te dire...

Dans le doute souffle vraiment bien (même exagérément) le prochain compo que tu feras et fais une radio pour comparer. Au moins tu seras sûr que c'est pas ça et tu pourras rayer cette cause potentielle de ta liste =).


jeff13

03/04/2014 à 21h22

Bah c'est pas juste ta marque d'adhesif qui n'est pas radio opaque?


X ray 03 medium zvq18j - Eugenol
cyber_quenottes

03/04/2014 à 21h27

c'est pas juste un artefact radiologique appelé "effet de halo" ?

--
--------------------------------------------------
paiement d'astreinte 75 € <= signé + applicable
supplément dimanche 30 € <= signé + applicable

=> où sont les contrôleurs ?
=> quelles sanctions ?
=> Que fait le syndicat signataire ?


Mario ycg44a - Eugenol
Mario180

03/04/2014 à 21h32

Je te souhaite que ça reste l'échec le plus cuisant de ta carrière ;)


Capture ddc6bm - Eugenol
sumble

03/04/2014 à 22h30

Comme les autres, pas de soucis.

Dans cette situation, je préfère L'Equia (avec le Coat obligatoirement!). Rapidité de réalisation, pas besoin de digue, et tous les avantages du CVI pour une restauration à long terme.

Puisque tu cherches à faire mieux, tu as raison de penser à la digue. Depuis que je m'y suis mis, c'est confort, tranquillité et gain de temps (oui, gain de temps).


jeff13

03/04/2014 à 22h33

A quoi sert le coat dans l'equia?


Capture ddc6bm - Eugenol
sumble

03/04/2014 à 22h40

L'Equia a besoin de temps pour atteindre sa maturation (plusieurs mois, il me semble). Le Coat évite le contamination hydrique pendant cette phase, indispensable si on cherche une restauration long terme.


Image001 e0kg9q - Eugenol
clemsdent

03/04/2014 à 23h32

change de filtre, ou modifie les niveau de gris de ta radio,
c'est un artefact des radios numériques que je vois souvent à la limite blanc-noir.

je doute qu'on puisse juger de l'excavation complète avec une retroalvéolaire (à part de ne vraiment rien enlever


et personnellement j'ai enlevé les excavateurs de mes tiroirs...


Dsc01433 2 qnf68y - Eugenol
Ramasoft

04/04/2014 à 01h01

On a aussi ce genre d'image avec le Filtek Silorane à cause de ses deux adhésifs à utiliser qui donnent un joint très épais.
C'est une des raisons qui me l'ont fait abandonner.


hlnewc

04/04/2014 à 01h18

C'est probablement juste l'image radio mais c'est vrai que c'est pas toujours évident.

Un moyen pour être vraiment sur qu'il ne reste pas de carie, c'est de passer un excavateur pour vérifier. Parfois on a des surprises.
Mais il faut une vraiment bonne curette avec une petite tête: la mieux et peut être la seule c'est Hu-Friedy EXC 17H
Extrêmement efficace et précise, il ne faut pas hésiter à appuyer (bien l'avoir en main quand même). Avec cette curette il est tout a fait possible d'enlever toute la carie dentinaire sans utiliser de fraise.

Je l'utilise également lorsque je suis proche de la pulpe, ça permet un travail vraiment précis on sent mieux qu'avec une fraise si la dentine est molle ou dure.
Lorsqu'on hésite à enlever plus avec la fraise car on craint de tomber dans la pulpe mais qu'on a l'impression que c'est pas tout à fait propre, la curette permet d'enlever ce qui reste sans problème et les rares fois ou je tombe dans la pulpe c'est qu'il n'y avait pas moyen de faire autrement.


X ray 03 medium zvq18j - Eugenol
cyber_quenottes

04/04/2014 à 09h45

de plus curetée ou pas, la dentine n'a sans doute plus le même degré de minéralisation au fond de la cavité

et donc moins de radio-opacité

alors entre le halo et ca, l'essentiel c'est ta conscience pro

--
--------------------------------------------------
paiement d'astreinte 75 € <= signé + applicable
supplément dimanche 30 € <= signé + applicable

=> où sont les contrôleurs ?
=> quelles sanctions ?
=> Que fait le syndicat signataire ?


belette

04/04/2014 à 10h25

+1 pour l'excavateur.

Instrument LM dental également très très bien.(http://www.lm-dental.com/sites/lminstruments.com/files/materials/lm_catalogue_2013_en_0.pdf)

^ ... ^
Ô"""Ô
= o =
°°°°°


Smirnoff

04/04/2014 à 12h20

Tient ça me rappelle qq chose !
Me suis trouvé dans la même situation hier. Et c'est pas la première fois que je suis déçu en voyant une radio d'un de mes compo tout récent alors que franchement je me donne du mal et je fais attention au curetage.
Je ne sais pas ce que c'est. Mordençage sur dentine ? Couche hybride ? Faudrait voir si ça évolue avec le temps.
J'ai aussi régulièrement des problèmes de sensibilités post op.
Bref c'est chiant ...
J'aimerais bien aussi trouver un bon adhésif de préférence qui s'applique sur dentine bien sèche car je trouve difficile d'obtenir une dentine légèrement humide. Les entre-deux c'est toujours embêtant.
Et puis un truc fiable qui limite les sensibilités.
Des conseils ?


belette

04/04/2014 à 14h09

ben justement, pour éviter les sensibilités faut "pas trop " sécher...

--
^ ... ^
Ô"""Ô
= o =
°°°°°


Marque a3 orange fyvhyq - Eugenol
Marc Apap

04/04/2014 à 14h15

Smirnoff, tu n'as qu'à prendre un M&R 3. Mais c'est long et plus chiant que les autres.


Grueavatar nptrc9 - Eugenol
Le Choixpeau magique

04/04/2014 à 14h24

Salut, si comme tu le dis tu as bien soufflé sur ton adhésif avant de la polymériser, alors contrairement aux autres je pense que ta carie est mal curetée.

J'ai eu aussi le problème pendant longtemps, et c'est tout à ton honneur de prendre des radios pour contrôler ton travail, tu n'as pas fini de te prendre la tête mais il n'y a que comme ça qu'on progresse.

Le crissement de la sonde et autres appréciations visuelles sont connues pour ne pas être fiables, tu viens d'en faire la douloureuse expérience, c'est souvent encore plus flagrant sur les dents lactéales.

Il n'y a qu'une solution si tu veux être sûr d'avoir tout retiré, c'est d'utiliser un révélateur de caries (par exemple Snoop de Pulpdent). C'est très efficace à un seul bémol : ça a tendance à donner de faux positifs quand tu es trop près de la pulpe. Donc si il te reste une petite zone colorée en regard de la pulpe ce n'est pas grave (pulpe ou carie on s'en fout), mais toute la périphérie doit être immaculée.

Si tu veux vraiment être 100% sûr que le problème ne vient pas de ton adhésif, tu peux utiliser l'un des rares adhésifs radio-opaques en la personne de l'Optibond FL de Kerr, en plus un des meilleurs du marché pour les restaurations directes.


Grueavatar nptrc9 - Eugenol
Le Choixpeau magique

04/04/2014 à 14h27

Smirnoff écrivait:
------------------
> J'ai aussi régulièrement des problèmes de sensibilités post op.
> Bref c'est chiant ...
> J'aimerais bien aussi trouver un bon adhésif de préférence qui s'applique sur
> dentine bien sèche car je trouve difficile d'obtenir une dentine légèrement
> humide. Les entre-deux c'est toujours embêtant.
> Et puis un truc fiable qui limite les sensibilités.
> Des conseils ?

Soit tu utilises un adhésif avec mordançage qui supporte bien la dentine pas trop humide comme Scotchbond universal (mais ce n'est pas non plus une raison pour sécher comme un malade !), soit tu passes carrément à du uniquement auto mordançant comme Optibond XTR de Kerr ou Surpass d'apex dental (à commander sur leur site internet).


Smirnoff

04/04/2014 à 14h52

Merci pour les conseils Belette, Marc et Choipeau, je pense aussi qu'il y a un pb de curetage. Et je vais essayer de réduire mon séchage. Avant j'avais du scotchbond effectivement et je séchais bcp. La ou je suis actuellement l'adhésif ne fonctionne pas du tout avec séchage excessif donc j'ai essayé de changer mes procédures mais c'est pas très satisfaisant.
Le problème c'est que je prends conscience qu'il y a bcp de choses à changer et pas seulement avec les compo et du coup c'est un peu décourageant... Mais bon avec de la bonne volonté et de la patience ça devrait finir par marcher. Valable aussi pour celui qui a posté la radio ici. :-)


Marque a3 orange fyvhyq - Eugenol
Marc Apap

04/04/2014 à 15h03

Pates au beurre, tu devrais commencer par dire le nom de tes produits et notamment celui de l'adhésif
Après, je trouve qu'il vaut mieux avoir fait comme tu l'as fait que trop cureté au risque de s'approcher de la pulpe. Ce qui a été fait est plutôt bien, faut se méfier des interprétations hatives


RépondreCiter
Prehome gif anime lfnqnl - Eugenol
fredledragon

05/04/2014 à 00h18

franchement il me semble qu'il y a un filtre de netteté sur tadio, essaie de l'enlever pour voir!
Ensuite quand la dentine crie franchement c'est propre, il faut se méfier par contre des sondes usées et des curettes usées. Essaie ton excavateur sur ton ongle, si ça n'enlève rien c'est que tu dois aiguiser , sinon c'est comme un couteau qui coupe plus: tu crois que la viande est dur :o)

A ce propos j'ai acheté la pierre à aiguisé spécialement prévu pour les excavateurs, je n'ai pas regretté, ils sont tous redevenu comme au premier jour!

J'ai parfois ce genre d'image sur des caries larges et profondes à marche rapide, et je ne sais jamais si c'est moi qui ai eu peur d'aller trop loin où si c'est une dentine déminéralisée partiellement, mais quand même dur. par contre je suis sur de mon "collage" car je mets IRM + CVI par dessus.
Mais c'est vrai que ça fait moche sur la radio!


pâtesaubeurre

05/04/2014 à 01h26

merci pour toutes ces réponses!

@jeff13 : j'ai vérifié si mon adhésif était radio opaque en faisant un cliché d'un peu d'adhésif polymérisé sur la protection du capteur radio, et il n'est pas du tout radio opaque, ce qui est une 1e hypothèse concernant la radioclarté sous mon compo! mais je pense avoir vraiment bien séché après l'avoir appliqué

@cyber_quenottes : l'artefact radio pourquoi pas, il faudrait que je fasse des radios sous mes amalgames pour voir si j'ai la même chose alors

@mario180 : oui moi aussi!

@sumble : pourquoi pas l'Equia, je suis en collab donc pas trop le choix du matos... mais sur la durée? dans 10 ans est ce que le cvi sera encore là?
sinon je mets la digue mais uniquement en endo ou pour les compos quand je n'arrive vraiment pas à garder au sec. Dans un cas comme ce petit patient c'est compliqué de poser la digue, la couronne n'a pas une hauteur clinique très importante. Et quand il y a un point de contact en jeu je trouve que c'est encore plus compliqué.

@clemsdent : oui effectivement, en modifiant les filtres sur la radio on peut faire disparaître la radioclarté, je l'avais bien remarqué mais je me posais quand même la question de savoir pourquoi il était là avec certains filtres!

@hlnewc : j'utilise aussi des excavateurs quand j'ai fini mon curetage pour être sûr

@Smirnoff : bienvenu au club! et sinon tu dis qu'il y a beaucoup de choses à changer dans ta pratique, je suis sorti il y a 3 ans (je suppose que tu es tout frais toi aussi) et je pense qu'il faut remettre en cause petit à petit le peu qu'on sait, lire, se renseigner, poser des questions et avancer!

@choixpeau magique : je ne connais pas Snoop de Pulpdent et j'ai bien envie de demander à l'assistante d'en commander un flacon

@marc apap : tu as raison je n'ai pas dit ce que j'utilise. l'adhésif c'est xenov de dentsply (automordançant) et le compo c'est céram x de dentsply aussi (ici : http://www.dentsply.fr/fr/nos-solutions/product/XENO-V/ et ici : http://www.dentsply.fr/fr/nos-solutions/product/ceram-x-mono-plus/ )

@fredledragon : la sonde crissait franchement comme tu dis, d'où mon interrogation à la vue de la radio! je ne savais même pas qu'il existait un aiguiseur à excavateur, je vais chercher, moi je jetais les excavateurs usés!
par contre j'ai pas compris pour ton irm+cvi, tu fais ça à la place du compo? définitivement? ou tu remplaces par un compo ensuite? je vois pas trop là!


Marque a3 orange fyvhyq - Eugenol
Marc Apap

05/04/2014 à 02h35

La chose la plus importante à faire, surtout avec un automordançant, c'est de bien FROTTER la dentine avec l'applicateur garni d'adhésif, et pas juste badigeonner les parois de la cavité.


Capture ddc6bm - Eugenol
sumble

05/04/2014 à 13h10

pâtesaubeurre écrivait:
-----------------------
> merci pour toutes ces réponses!
> (...)
>
> @sumble : pourquoi pas l'Equia, je suis en collab donc pas trop le choix du
> matos... mais sur la durée? dans 10 ans est ce que le cvi sera encore là?
> sinon je mets la digue mais uniquement en endo ou pour les compos quand je
> n'arrive vraiment pas à garder au sec. Dans un cas comme ce petit patient c'est
> compliqué de poser la digue, la couronne n'a pas une hauteur clinique très
> importante. Et quand il y a un point de contact en jeu je trouve que c'est
> encore plus compliqué.
> (...)

Equia, je n'ai pas suffisamment de recul pour te donner mon retour d'expérience. D'après GC, on est sur du 10-15 ans (GC est un fabricant suffisamment sérieux pour le croire). La condition étant de respecter les indications (cl I, II et V) et le protocole (notamment contamination hydrique pendant la prise et coat).


Prehome gif anime lfnqnl - Eugenol
fredledragon

05/04/2014 à 16h41


> @fredledragon : la sonde crissait franchement comme tu dis, d'où mon
> interrogation à la vue de la radio! je ne savais même pas qu'il existait un
> aiguiseur à excavateur, je vais chercher, moi je jetais les excavateurs usés!
> par contre j'ai pas compris pour ton irm+cvi, tu fais ça à la place du compo?
> définitivement? ou tu remplaces par un compo ensuite? je vois pas trop là!

la pierre spécifique :http://shop.hu-friedy.de/product_info.php?info=p4166_Pierre-d--aff-tage-Arkansas--5.html
il faut aussi de l'huile d'affutage.

Pour le reste ce sont plutôt des cas chez des jeunes, limite pulpo, donc zoe puis fuji9, et plus tard si le fuji s'abime je recouvre avec un composite.


12