Cookie Consent byPrivacyPolicies.comimage très inquiétante angle mandibulaire - Eugenol

image très inquiétante angle mandibulaire

biscut16

04/04/2014 à 14h59

A l'aide!!!
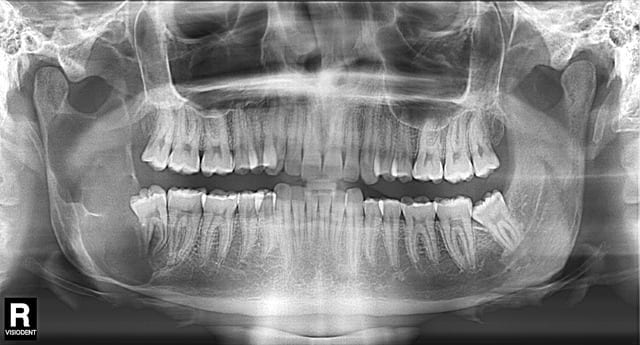
Je reçois ce patient en urgence, il consulte pour un abcès de la dent de sagesse 48, mais très vite je m'apercois que les signes sont bizarres: aucune douleur dentaire dans le secteur même 48, la voussure remonte très haut le long de la branche mandibulaire et elle n'est pas vraiment fluctuante comme dans un abcès. il présente un trismus associé. Le patient est très jeune (19 ans) et je le connais. (bien sûr!)
Je fais une pano pour voir et là l'horreur! a priori le nerf mandibulaire est récliné tout en bas de la mandibule et il ne semble subsister que les corticales osseuses!!!!
J'ai envoyé la pano à un orl hospitalier , j'attends son avis...
Qu'en pensez vous? Quel pronostic? Merci de votre aide

Pano uigner - Eugenol

Images oecc9d ijdijh - Eugenol
Akrobat

04/04/2014 à 15h07

ça me fait penser a un ameloblastome. en tout cas si tu pouvais nous tenir au courant, ce serait intéressant pour nous tous (meme si je suis bien certain que tu te serais bien passé
de ce "cas interessant")


South park   craig te7bfk - Eugenol
CRAIG

04/04/2014 à 15h13

Cela ressemble en effet à un améloblastome mais dans ce cas là c'est plutôt maxillo et non ORL il me semble...


alex33

04/04/2014 à 15h15

Akrobat écrivait:
-----------------
> ça me fait penser a un ameloblastome. en tout cas si tu pouvais nous tenir au
> courant, ce serait intéressant pour nous tous (meme si je suis bien certain que
> tu te serais bien passé
> de ce "cas interessant")
Idem. un cone beam s'impose.


biscut16

04/04/2014 à 15h15

qu'est ce que vous pensez d'un kératokyste??? a priori ca serait plus en accord avec son âge et la localisation


Photo pluton1b h9n4ea - Eugenol
pluton

04/04/2014 à 15h18

+1...améloblastome très certainement...
à adresser au maxillo rapidement....


Le Rosbif

04/04/2014 à 17h36

biscut16 écrivait:
------------------
> qu'est ce que vous pensez d'un kératokyste??? a priori ca serait plus en accord
> avec son âge et la localisation

When it looks like "bubbles" and it goes into the ramus, it's probably an ameloblastoma, as said above.


Canin

04/04/2014 à 19h45

Faire bilan scan + irm.

Si ameloblastome resection mandibulaire suivie de greffe.

Si keratokyste tenter le traitement conservateur par exérèse "simple" + eventuelle greffe + purée. Conservation du nerf alvéolaire.

Je penche + pour kerato. Le kyste dentigère ne semble plausible car image pas typique.

--
Canin


Canin

04/04/2014 à 20h20

--
Canin


fgui

04/04/2014 à 22h14

ET POURQUOI GRANULOME CENTRAL à CELLULES GEANTES lié à un pb de parathormone.........
le seul service à rendre à ce patient: bon service de maxilo habitué au reconstruction osseuse et possédant bien la tq de greffe de péroné.


ClubMed

05/04/2014 à 13h07

améloblastome polikystique hélas

tumeurs brunes dans les syndromes parathyrodiens ne sont pas dans cette localisation et les limites ne sont pas aussi nettes de même que la densité


biscut16

05/04/2014 à 16h04

Je l'ai adressé a bordeaux au centre François Xavier Michelet (dépend de Pellerin) a un professeur spécialise dans les lésions cancéreuses et autres donc j'imagine aussi dans la reconstruction. Qu'en pensez vous? Il a rendez vous dans une dizaine de jour.


Sans titre tztxfv - Eugenol
Monet

05/04/2014 à 16h09

Moi, je ferai 2 ou 3 séances sur 48 avec alésage, hypochlorite et CaOH.



ClubMed

05/04/2014 à 18h16

Ne rien faire de toute façon c'est chirurgie large et greffe vascularisée de fibula
Après prothèse sur implant si tu ne faits pas d implants fait les poser dans le même temps chirurgical 😃


RookMoot

05/04/2014 à 20h08

Monet écrivait:
---------------
> Moi, je ferai 2 ou 3 séances sur 48 avec alésage, hypochlorite et CaOH.
>

Euh, rassure moi, t'as oublié le smiley ?


Sans titre tztxfv - Eugenol
Monet

05/04/2014 à 21h44

t'as raison ;o)

Plus sérieusement, c'est vraiment ce genre d'images qui justifie la prise systématique d'une panoramique chez tous mes nouveaux patients, pour réaliser un diagnostic le plus précoce possible.

J'espère que l'on connaîtra l'évolution de ce cas impressionnant.


Canin

05/04/2014 à 23h09

ClubMed écrivait:
-----------------
> améloblastome polikystique hélas
>
> tumeurs brunes dans les syndromes parathyrodiens ne sont pas dans cette
> localisation et les limites ne sont pas aussi nettes de même que la densité

Les gars arrêtez de fumer. On a uniquement une panoramique sous les yeux. Si les choses étaient si simples et tranchées ça serait trop facile.

Tumeur brune c'est quand même peu fréquent. Voyons d'abord les choses les plus courantes.

--
Canin


Kyll

05/04/2014 à 23h37

Kyste essentiel.


ClubMed

06/04/2014 à 02h16

Canin écrivait:
---------------
> ClubMed écrivait:
> -----------------
> > améloblastome polikystique hélas
> >
> > tumeurs brunes dans les syndromes parathyrodiens ne sont pas dans cette
> > localisation et les limites ne sont pas aussi nettes de même que la densité
>
> Les gars arrêtez de fumer. On a uniquement une panoramique sous les yeux. Si les
> choses étaient si simples et tranchées ça serait trop facile.
>
> Tumeur brune c'est quand même peu fréquent. Voyons d'abord les choses les plus
> courantes.
>
> --
> Canin

Le diagnostique d'ameloblastome peut être évoqué sur un simple pano comme beaucoup d'autre lésions
Les examens complémentaires d' hier deviennent aujourd'hui grâce au progrès de l'imagerie et des connaissances des diag de certitudes
Par exemple une écho Doppler de thyroïde avec une vitesse > 50 cm/s dans l'artère thyroïdienne sup signe un adénocarcinome avec une prédiction > a l'anapathologie sur biopsie
Bonne soirée


Canin

06/04/2014 à 11h28


>
> Le diagnostique d'ameloblastome peut être évoqué sur un simple pano comme
> beaucoup d'autre lésions
> Les examens complémentaires d' hier deviennent aujourd'hui grâce au progrès de
> l'imagerie et des connaissances des diag de certitudes
> Par exemple une écho Doppler de thyroïde avec une vitesse > 50 cm/s dans
> l'artère thyroïdienne sup signe un adénocarcinome avec une prédiction > a
> l'anapathologie sur biopsie
> Bonne soirée

Contrairement au titre de la discussion, je ne trouve pas cette image particulièrement inquiétante même si elle est impressionnante par son étendue.

Certains sont prêts à couper une mandibule sur la base d'une simple pano. Je trouve cette démarche un peu dangereuse. Alors qu'en même temps les cmf et orl essaient de trouver des moyens d'être moins delabrant dans les chir carcino pour préserver les fonctions et notamment l'arc mandibulaire.

Moi je donne une chance à ce gamin de garder sa mandibule. Donc attendons peut être la suite avant d'aller trop loin dans la discussion.

J'ai vu des cas similaires et avec des lésions plus étendues où le patient a toujours sa mandibule et sa sensibilité labio mentonnière


--
Canin


Pure msn be1nue - Eugenol
drilleur

06/04/2014 à 20h58

Canin écrivait:
---------------
>
> >

> Certains sont prêts à couper une mandibule sur la base d'une simple pano. Je
> trouve cette démarche un peu dangereuse. Alors qu'en même temps les cmf et orl
> essaient de trouver des moyens d'être moins delabrant dans les chir carcino pour
> préserver les fonctions et notamment l'arc mandibulaire.
>
> Moi je donne une chance à ce gamin de garder sa mandibule. Donc attendons peut
> être la suite avant d'aller trop loin dans la discussion.
>
> J'ai vu des cas similaires et avec des lésions plus étendues où le patient a
> toujours sa mandibule et sa sensibilité labio mentonnière
>

L'améloblastome, en fait, c’est souvent le même tableau et la même image radiologique que le kyste dentigère ou le kératocyste, et c’est l’histologie qui tranchera.

Le traitement privilégié est la résection suffisante de l’os avec le kyste dès que le diagnostic est posé. En effet la simple énucléation occasionne 75 % de récidive. et radiothérapie si on retrouve des cellules tumorales lors de l'anapat des contours de la pièce.


biscut16

16/04/2014 à 23h46

Bon alors je reviens vers vous avec des nouvelles fraiches!
Mon patient a rencontré ce jour le Pr Majoufre Lefèbvre, chirurgien Maxillo faciale à Bordeaux et comme le dit Canin plus haut ça ne l'a pas du tout inquiété! elle en voit tous les jours!!! (a priori c'est bien un améloblastome)
Elle propose l'avulsion de 48 avec un curetage du kyste puis de remonter a travers le kyste et d'effectuer un curetage par l'intérieur, tout ça en ambulatoire sur une journée. il y aura bien sur une biopsie pour évacuer tous risques cancéreux.
Je suis un peu perplexe! On se retrouve avec un os "creux"?? quid du risque de fracture?? du risque de récidive?? D'autant plus que le patient présente un trismus sévère, comment vont-ils procéder pour accéder au site?
Je suis soulagée mais un peu perplexe et vous qu'en pensez vous?
bonne soirée.


Smirnoff

17/04/2014 à 11h54

Comme promis voila le cas dont je te parlais. Evidemment ça fait un peu peur et si pour ton patient la reconstruction peut être évitée ce sera surement beaucoup mieux pour la suite.
Dans ce cas ci, avec cette atteinte du rebord basilaire il n'y avait pas trop le choix je suppose.

Screenshot 2014 04 16 22 25 56 pws9su - Eugenol

zazamouk

17/04/2014 à 12h36

Smirnoff écrivait:
------------------
> Comme promis voila le cas dont je te parlais. Evidemment ça fait un peu peur et
> si pour ton patient la reconstruction peut être évitée ce sera surement beaucoup
> mieux pour la suite.
> Dans ce cas ci, avec cette atteinte du rebord basilaire il n'y avait pas trop le
> choix je suppose.


Wow... impressionnant :((

Il y avait des signes cliniques ou découverte suite à une pano de "routine" ?(sans signe d'appel pour rejoindre le post de chicot29 sur son contrôles sécu de radio!)


biscut16

17/04/2014 à 12h57

en effet c'est très impressionnant!!! a priori c'est vrai que chez mon patient la vacuité semble moins importante! bon j'espère en tous cas que sa prise en charge sera bonne et qu'on évitera une telle reconstruction! merci


12