Cookie Consent byPrivacyPolicies.comvos avis pour un cas clinique, pas palpitant mais je me pose - Eugenol

vos avis pour un cas clinique, pas palpitant mais je me pose des questions...

Smirnoff

11/04/2014 à 17h27

... et je revois ce patient demain matin donc il est temps de prendre une décision.
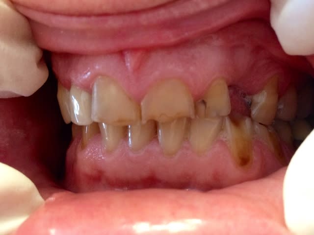
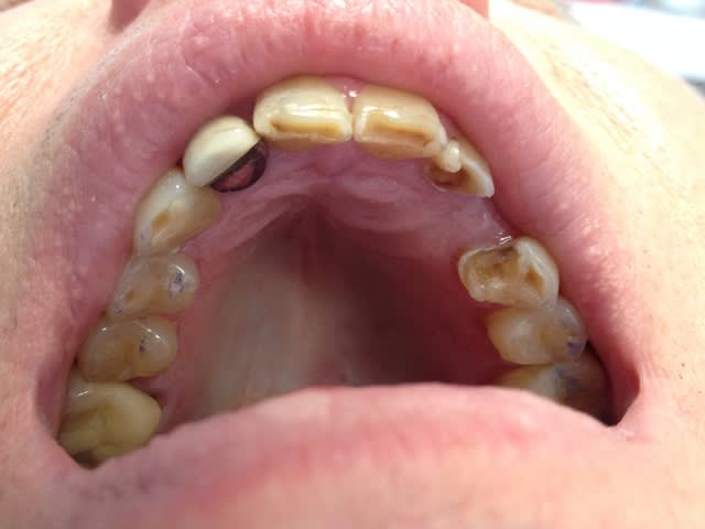
Ce monsieur que j'ai vu pour la première fois la semaine dernière vient pour remplacer la 23, il a eu précédemment un bridge collé qui lui a donné satisfaction pendant 15 ans. Il est tombé une fois il y a quelques années.
il aimerait améliorer l'esthétique des dents antérieures.
il ne se rend pas compte de son bruxisme et pense que les usures de ses dents sont liées au bridge collé.
ma question : que feriez vous ?
Bridge collé, bridge conventionnel, autre ? dévitalisation des piliers ou pas ?
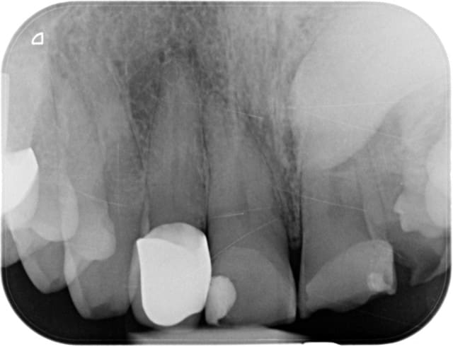
Je vois bien qu'il y a des images sous 16 et racine M de 36, mais 12 ?
merci d'avance pour les avis.
smirnoff (jeune omniprat.)

Photo 1 rzwzjw - Eugenol
Photo 2 mf4c3b - Eugenol
Photo 5 fivafm - Eugenol
Photo 3 zxcskg - Eugenol
Photo 4 zcjaso - Eugenol

Index vakr2r - Eugenol
pgc

11/04/2014 à 18h06

Pas si simple.
Il est quand même salement bruxiste.


G-P

11/04/2014 à 22h28

Une réhabilitation globale


Image001 e0kg9q - Eugenol
clemsdent

11/04/2014 à 23h46

12 TEST AU FROID


Smirnoff

11/04/2014 à 23h52

Et bien merci !
D'un coup tout devient limpide :-)
La nuit porte conseil y paraît...
Sinon pour la 12, test au froid oui mais elle est couronnée et en plus j'ai l'impression que les pulpes sont bien rétractées du fait de son bruxisme... Ce qui fait que je me demandais si c'était une bonne idée de faire un bridge 22-24 sur dents vivantes. Ou juste 22 ?


Darmon - Eugenol
Latin

12/04/2014 à 00h14

Tu tractes la 13 (edit : 23), ça lui fera une dent toute neuve!


yup

12/04/2014 à 01h37

12 test au froid? sur une couronne?
test à la percussion + palpation, bien que ne LIPOE est pour moi objectivable à la radio...

sinon, je me demandais concenant l'usure;
c'est bien que du bruxisme+ brossage trauma ou bien il y a eu de l'erosion acide? (croqueur de quart de citron, RGO? TCA?)

aucune idée our la 13 : je sais pas jusqu'à quel age c'est tractable, mais si oui c'est clairement la meilleure solution...
Bridge collé aura pas une perenité ineressante...

on dirait qu'il y a une peche sur 35 e , je reviens à a canine incluse: test au froid sur 22 au cas ou...


6szjws718sv1jksw54v4mpj3a6cu - Eugenol
vulpi

12/04/2014 à 10h32

non concordance entre les faces dentaires en diduction et propulsion et les pertes de tissus qui sont plus importantes, érosion probable.


6szjws718sv1jksw54v4mpj3a6cu - Eugenol
vulpi

12/04/2014 à 10h35

sur tes photo difficile à apprécier.


Image001 e0kg9q - Eugenol
clemsdent

12/04/2014 à 10h56

Smirnoff écrivait:
------------------
> Et bien merci !
> D'un coup tout devient limpide :-)
> La nuit porte conseil y paraît...
> Sinon pour la 12, test au froid oui mais elle est couronnée et en plus j'ai
> l'impression que les pulpes sont bien rétractées du fait de son bruxisme... Ce
> qui fait que je me demandais si c'était une bonne idée de faire un bridge 22-24
> sur dents vivantes. Ou juste 22 ?


Test au froid sur la 12 face palatine bien sur!
Sinon on se retrouve souvent faces à ces images radioclaires symétriques (concavité osseuses), d'ailleurs on dirait que de l'autre côté....

Justement la rétraction pulpaire serait pour moi une indication de couronnes sur dents vivantes.

c'est étonnant que le bridge collé ne se soit pas plus décollé ces dernières années, avec ce bruxisme.
Et que la 12 n'ai pas souffert d'avantage aussi (niveau paro).
Donc effectivement, il s'agit peut-être plus d'une erosion?

Dans tous les cas, si je faisais un bridge, je prendrais la 11 (si bruxisme fort, l'a faiblesse 12 une fois taillé pourrait se traduire par une fracture)
Mais je demanderais avis ortho quand-même pour la 23 incluse.

Peut être que le bridge collé tiendrait 10 ans de plus??



Image r6habu - Eugenol
Thomas Crown

12/04/2014 à 11h05

Pas simple.. Conjonction de plusieurs facteurs négatifs pour 23.
Perso: empreintes d.etude , ORC et montage.
D'instinct, je le sens pas de refaire juste 2attelles pour 23, l'email n'est pas celui d.il y a 15 ans..
Et vu le compo mésial 22, c.est une prép périphérique qui se profile ici.
A priori, il faudra couronner 22 pour le rempla de 23, et pourquoi pas avec attelle collé 24?
À analyser sur ton montage.
Pour 12, y.a pas à tortiller du c.. Les gars, il y a une lésion apical. Tu passes à travers, et tu endo. Emax ds 4 mois.
Enfin sur 33, c.est sur que c.est chimique ça. S.il arrête de sucer les citrons par les 2 bouts, tu peux envisager une joulie facette.
Et en dessert , gouttière de protection obligatoire pour Monsieur.
Un café , l'addition, une fiche.


Smirnoff

12/04/2014 à 21h12

Merci ++ pour les réponses.. Pour ceux que ça intéresse, la suite. :
Érosion :
Effectivement ça fait un peu érosion et je lui avais posé la question des agrumes ou autre. Rien...
Sinon il bruxe pas mal c'est sur, il fait des mouvements de grande amplitude en propulsion et en diduction gauche. Ça patine pas mal. Ce qui a du faire claquer l'email au collet de 33 et 34.
Si ce n'était que de l'érosion il aurait le même pb à droite non?

12 : RAS à la percu, aucun symptôme. Mais sur la radio l'image est quand même assez nette. Je vais percer je pense et j'espère que je n'aurais pas trop de mal à trouver le canal.

Je pars sur mon idée de bridge conventionnel pour l'instant sur dents vivantes.
Je réfléchi encore à inclure la 21.
J'ai taillé 22 sans anesthésie et il a pas bronché (?) et par contre j'ai du anesthésier 24 sensible au collet uniquement. Je vais voir comment se comportent les dents sous provisoires et si nécessaire je dévitaliserais.
11 et 21 réagissent pas au test au froid. Mais je pense qu'elles sont vivantes quand même.
Voilà c'est pas très organisé tout ça, j'avoue...
Je vais me plonger dans les articles sur les réhabilitations globales chez les bruxomanes.
Parce que je crois bien qu'il faudrait remonter un peu la DVO et la je manque d'expérience.