Cookie Consent byPrivacyPolicies.comidentification implant - Eugenol

identification implant

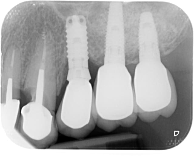
rvb

14/04/2014 à 11h28

c'est celui en 24 que je n'ai pas réussi à identifier.
la couronne est mobile,ce n'est pas le premier dévissage,
couronne scellée.

hypothèse tbr?

Tbr rlhcjp - Eugenol

fgui

14/04/2014 à 14h23

TBR OCT-IN OU CLASSIC


Photo pluton1b h9n4ea - Eugenol
pluton

14/04/2014 à 15h17

TBR sans aucun doute...


rvb

14/04/2014 à 16h46

merci


Scan10030 ukikhq - Eugenol
vava

14/04/2014 à 18h50

et toujour une cratérisation chez TBR


Logocolornotext kiwlk1 - Eugenol
Clio

14/04/2014 à 22h01

C'est sans doute le même que celui là ;-)

Img 2250  1  relzhu - Eugenol
Img 2254  1  vsjujo - Eugenol
Img 2853 wnsdw2 - Eugenol
Img 2854 gfjpw6 - Eugenol

Scan10030 ukikhq - Eugenol
vava

14/04/2014 à 22h59

avec la blague en zirconri!!!