Cookie Consent byPrivacyPolicies.comdouleur... - Eugenol

douleur...

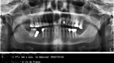
Image jlndxt - Eugenol
boni

15/04/2014 à 19h07

bonjour à tous ,
cette patiente a de petites douleurs au niveau de 45-46
l'implant n'est pas posé en situation idéal .. certes
est ce que vient de là ?
le niveau osseux a changé entre les 2 panos
Qu'en pensez vous ?

Pano 1 wqes2b - Eugenol
Pano mai 2012 bw6pw4 - Eugenol

eusebius

15/04/2014 à 19h09

hello,

je dirai qu'E----h doit être contente de voir son nom sur un site, même pro :-))

faut peut être masquer le nom des patientes ??


Image jlndxt - Eugenol
boni

15/04/2014 à 19h12

correction faite desolée , c'etait ma 1 ere fois !!!


roger chicot

15/04/2014 à 19h51

Encore un planteur qui ferai mieux d'appendre à planter !
Implant à déposer et à refaire dans un meilleur axe, mais maintenant, 'faut un bon planteur...
C'est évident que ça doit la gêner !

La réponse est en plus dans ta question, l'image osseuse devrait te guider, en mésial sur le pano n°2...

Alors, pourquoi un post ? Pour t'entendre dire : non, c'est la 45 , refait l'endo, et patati patata !
A part si c'est toi qui a fait cette cagade...



RépondreCiter
Avatar transparent iqadnc - Eugenol
adhoc

15/04/2014 à 19h59

>Implant à déposer et à refaire dans un meilleur axe,<

lequel, roger? (je ne fais pas d'implanto mais ca me semblait pas si bete, pour eviter aussi la lacune osseuse en mésial, je voyais plutot un reveil de cette lésion osseuse ou alors un implant trop pres de la 7, mais pas un probleme d'axe)


Scan10030 ukikhq - Eugenol
vava

15/04/2014 à 20h59

roger chicot écrivait:
----------------------
maintenant, 'faut un
> bon planteur...

je te suggère de passer à la tisane


cônemorse

15/04/2014 à 23h05

T'es toujours aussi drôle Roger... Très sincèrement, l'axe ne me gêne pas particulièrement; poser plus en mésial aurait été bien plus compliqué compte tenu de la résorption osseuse, mais bon, tout le monde ne sait pas planter les clous à la mode à la mode...

Plus sérieusement, il me semble qu'un bridge implanto-dentoporté ait été fait (je suis sur mon téléphone, ce n'est pas très net...).
Les contraintes ne sont pas absorbées de la même manière au niveau de l'implant et de la dent. Ça peut être une piste.
Qu'en est-il de l'hygiène au niveau de l'inter?
Depuis combien de temps le bridge est- il en place?
Quid de l'occlusion?
Quelle était ta largeur d'os au départ?
L'os était-il très dense? N'y a t'il pas eu un petit échauffement de l'os au forage ou à la pose?


Img 0812 mvp6i0 - Eugenol
jeamba

16/04/2014 à 00h42

Bonsoir Boni,
On ne voit pas bien sur tes pano. Peux tu nous poster des radio rétro alvéolaires, on verra peut être un peu mieux. Moi pour le moment je n'explique pas l'origine des douleurs.L'axe seul n'explique pas la douleur. Quand l'implant a été posé? et la prothèse? As tu des signes cliniques sur les dents collatérales?


G-P

16/04/2014 à 01h17

Rétro, test percussion implant et 45 ;)


Humator t9r5wy - Eugenol
humator

16/04/2014 à 16h06

le roger? tout ce qui est debectable sur ce forum, à gerber.....
bref, pour revenir à la question, je dirais: la 7 en souffrance parla proximité du clou. difficile d'ameliorer la situation avec l'implant

--
N.Hum


120 81 mdkvjo - Eugenol
Monaco

17/04/2014 à 03h41

Problème paro en relation avec l'hygiène rendue délicate au niveau de l'inter.
+ checker aussi la répartition des forces dent / implant ..


Mario ycg44a - Eugenol
Mario180

17/04/2014 à 15h12

humator écrivait:
-----------------
> le roger? tout ce qui est debectable sur ce forum, à gerber.....


+1


4a338550 6a5b 47ea b2a7 d3cb675c5076 oni5gh - Eugenol
fistule69

17/04/2014 à 23h14

Distance implant-dent : 1,5 mm mini
Ou est le problème ?
De nombreux implants sont distalés lors de la pose
C'est sur qu'il y a le pire du mieux, mais bon ! C'est posé.
Revoir l'occlusion, la paro ...


Grueavatar nptrc9 - Eugenol
Le Choixpeau magique

18/04/2014 à 02h03

Sans doute implant trop gros par rapport à l'os dispo, non ?