Cookie Consent byPrivacyPolicies.coméclaircissement d'une dent nécrosée - Eugenol

éclaircissement d'une dent nécrosée

ag

17/04/2014 à 14h19

tableau clinique : patiente 25 ans-13 très foncée par nécrose pulpaire sans carie (choc?occluso?)-aucune atteinte de l'émail
objectif : rattrapage de la teinte
déjà tenté : acide extérieur -sans résultat probant
moyens : pénétration/mutilation jusqu'à la chambre + acide ?
facette mais occluso défavorable(plus de pointe) ?
autre solution ?


doagui

17/04/2014 à 14h32

Eclaircissement interne par perborate de sodium.

Tu ouvres la cavité d'accès, tu retires quelques millimètres de gutta (jusqu'à arriver à 2 bons mm sous le collet), puis tu mets en place un bouchon de CVI ou composite au fond de ta cavité. Tu remplis alors avec ton produit éclaircissant (soit tu achètes des trucs tout faits, c'est pratique mais cher, soit tu achète le perborate en poudre à ton pharmacien, ça coûte rien du tout mais tu dois le mélanger à du sérum physiologique pour le mettre dans ta cavité, y'a pas de dosage précis faut une consistance type sucre mouillé), et tu refermes le tout avec un CVI.

Tu revois le patient 10 jours plus tard, si besoin tu remplaces le produit par une nouvelle préparation, sinon tu nettoies bien.

Dans tous les cas tu ne peux pas mettre de composite définitif de suite car il reste toujours des résidus de produit éclaircissant qui relarguent de l'oxygène et bloquent le collage. Tu nettoies donc bien bien, tu mets un cavit et tu prévois un autre rdv 15 jours plus tard pour faire ton composite d'usage.

Préviens le patient que la teinte n'est pas toujours controlable parfaitement, parfois ça n'éclaircit pas autant que souhaité et parfois au contraire ça éclaircis à mort, plus clair que les autres dents. Dans tous les cas la teinte définitive ne se voit qu'après le compo final, en gros ça se recolore un peu dans les 1ers jours, donc il vaut mieux eclaircir un peu trop que pas assez.


le figou

17/04/2014 à 16h06

précision ,c'est une dent qui n'a jamais été traitée ni en endo ni en resto.j'ai des scrupules pour l'ouvrir uniquement pour la couleur


colza2

17/04/2014 à 16h17

le canal semble calcifié à la rx?


doagui

17/04/2014 à 16h50

Nécrose pulpaire et tu as des scrupules à l'ouvrir ?

L'endo est nécessaire quelle que soit la teinte... Et ça reste moins délabrant qu'une facette.


le figou

17/04/2014 à 16h55

colza2 écrivait:
----------------
> le canal semble calcifié à la rx?

je n'en sais rien j'aurais juste voulu une proposition de traitement autre que classique par la chambre ,technique que je connais.
mutiler cette dent asymptomatique pour arriver dans la chambre mais juste colorée me pose un problème et avant de m'y résoudre j'espère un avis miracle


cy2

17/04/2014 à 17h00

le figou écrivait:
------------------
> colza2 écrivait:
> ----------------
> > le canal semble calcifié à la rx?
>
> je n'en sais rien j'aurais juste voulu une proposition de traitement autre que
> classique par la chambre ,technique que je connais.
> mutiler cette dent asymptomatique pour arriver dans la chambre mais juste
> colorée me pose un problème et avant de m'y résoudre j'espère un avis miracle

bah si la dent est nécrosée je ne vois pas où est le pb de faire l'endo...?? De toute façon tu auras une pêche là dessous un jour, alors...


G-P

17/04/2014 à 17h36

le figou écrivait:
------------------
> colza2 écrivait:
> ----------------
> > le canal semble calcifié à la rx?
>
> je n'en sais rien j'aurais juste voulu une proposition de traitement autre que
> classique par la chambre ,technique que je connais.
> mutiler cette dent asymptomatique pour arriver dans la chambre mais juste
> colorée me pose un problème et avant de m'y résoudre j'espère un avis miracle


Euh ??? nécrose -> endo, pas le choix.
Cette dent est loin d'être asymptomatique ! Elle est fortement colorée et elle est probablement sans réponse au test au froid.

le_figou / ag même personne ? Je comprends plus rien.


Blondie

17/04/2014 à 18h45

De deux choses l'une :

- soit le canal est de volume "normal" à la radio et il semble impensable de ne pas faire de traitement endodontique si la dent est nécrosée, lequel pourra être suivi d'un éclaircissement par voie interne

- soit on se trouve dans le cas d'une discoloration liée à une oblitération canalaire. Si celle-ci n'est pas associée à la présence d'une image apicale il est contre-indiqué d'entreprendre quelque traitement canalaire que ce soit qui serait inutile et risqué. Il ne faut pas non plus faire de réservoir coronaire pour appliquer un produit éclaircissant : oblitération canalaire ne signifie pas que le canal n'existe pas et ce serait courir le risque de provoquer une contamination de l'endodontie ensuite potentiellement difficile à gérer. Dans ce cas là et en dehors de pathologie apicale sous jacente : abstention, éclaircissement localisé par voie externe (résultats très aléatoires) ou facette. Enfin, le test au froid n'est pas discriminait, l'absence de réponse ne signe pas la nécrose pulpaire.

Le mieux serait donc de poster une photo et une radio.

PS : je ne comprends pas bien ces tentatives avec l'acide...


WeCriGo

17/04/2014 à 23h05

Euh....
Dent nécrosé et tu as des scrupules a la dévitaliser ?
Quand il y a une carie tu as des scrupules a la soigner ?


003 penrd2 - Eugenol
Cingulum

17/04/2014 à 23h14

tu as fait un test de vitalité ?...
Elle peut être, suite à un choc, colorée mais vivante.
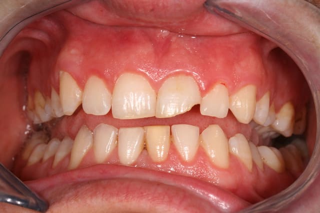
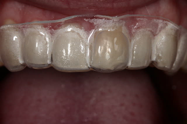
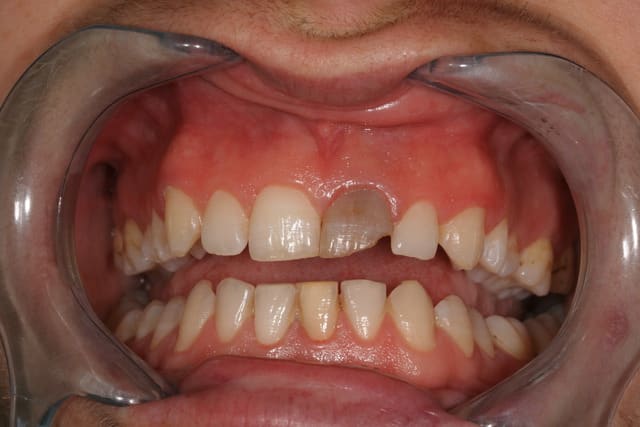
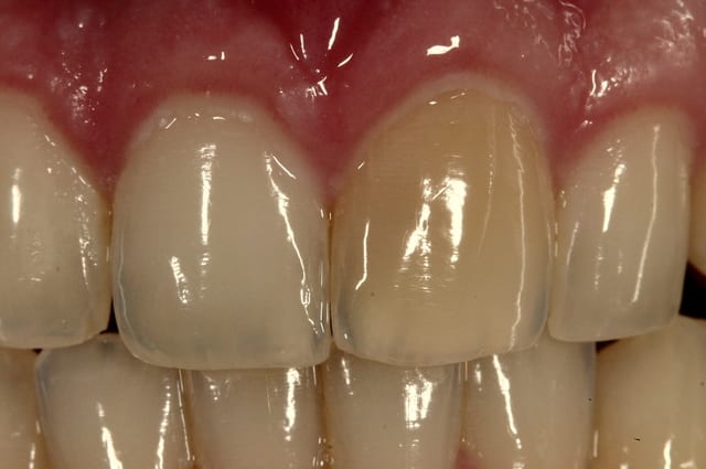
Tu peux faire une gouttière unitaire et utiliser du peroxyde de carbamide à 15% (et pas acid) en port nocturne.
Exemple d'un cas.

--
Dr Cingulum
-----Ancien interné----
----Attaché à l'apex----
http://www.clinic-all.fr/ formation par passion

Img 9016 vmveq2 - Eugenol
Img 9020 hbsntd - Eugenol
Img 9022 fnap0p - Eugenol
Img 9132 emw9hu - Eugenol

Npyu

03/06/2015 à 15h50

Bonjour,

J'ai tenté un éclaicissemnt sur dent nécrosé sur une patiente, j'ai suivi le protocole opératoir, cad dépose gutta quelques millimetre sous le collet, j'ai bouché avec un CVI puis pose de perborate de sodium consistance sucre mouillé, puis un coton et enfin le soin.

C'est la que cela me pose probleme, j ai bouché le trou avec un cvi, il n'a pas tenu (car ne colle pas vraiement sur le coton), j'ai recommencé et il est retombé... je décide de le boucher avec un composite masi cela n'a pas tenu également.

Suis je le seul à avoir ce problème? je met bien le soin en sous occlusion pourtant...


fgui

03/06/2015 à 16h33

PERBORATE ET EAU dans la cavité d’accès fermée au composite toujours

Vrac 328 xzjtiv - Eugenol
Vrac 530 wglo6r - Eugenol

Npyu

03/06/2015 à 16h40

Avec un morceau de coton sec ou mouillé?
c est la faible quantité de paroi qui me donne un echec de collage, car avec le coton (je n'en met pas beaucoup en plus) il ne me reste que environ 1mm pour mettre mon compo


fgui

03/06/2015 à 17h04

pas de h2o2 pas de coton


lachmar

03/06/2015 à 17h10



j'ai fait des blachiments internes avec succès dans le passé
eau oxygénée à 10vol + source de chaleur)

deux observations :
-ca récidive assez vite
-dans un certain nombre de cas résorptions externes

alors je ne fais plus (même si c'est spectaculaire)