Cookie Consent byPrivacyPolicies.comSe mettre à l'implanto pour moins de 5000 euros - Eugenol

Se mettre à l'implanto pour moins de 5000 euros

maz

23/04/2014 à 18h14

J'avais l'impression en entendant plein d'avis que pour l'implanto, il faut :
plein de cas pour être rentable (j'avais même entendu une 50 aine par an...)
il faut plein de diplomes pour pouvoir le faire
et autres trucs que je trouvais très décourageants.

J'ai fini par me décider à m'y mettre, et je voulais, étant en mode "faibles capacités pour investir au cabinet en ce moment", ne pas m'y ruiner et être rentable rapidement.

J'ai donc commencé par chercher ce qui est pour moi très important, une bonne formation, mais destiné au débutant : simple, efficace, sans blabla inutile mais avec tout ce qu'il faut dedans pour commencer. J'ai fait ça avec François le Bigot à Focus Implant, c'était top, exactement ce que j'espérais, pas d'opinions tranchées "d'expert" qui préfère une méthode à une autre ou qui vend sa soupe mais au contraire une formation courte pour se lancer tout de suite après : http://focusimplant-unitaire-posterieur.com/
ça m'a couté 800 euros, avec 200 euros d'hotel/train/bouffe
(je compte pas les mojitos ;-) )

Pour le matos, j'ai fait au plus simple, un moteur, CA vert sur ebay, qui marche très bien (pour le moment ;-) )
http://www.ebay.fr/itm/Dental-Implant-Surgery-Motor-Complete-SET-w-20-1-handpiece-X-cube-FDA-Approved-/150925636473?pt=LH_DefaultDomain_0&hash=item2323de7379
Il m'a couté 1200 euros, et 300 euros de douane

Assurance à la MACSF, 600 euros

Pour le système implantaire, j'ai choisit euroteknika. Je voulais éviter les "grands" par conviction qu'ils vivent plus sur un passé et sur une image que sur une vraie différence de leurs produits. J'ai une commerciale top qui est dentiste (mexicaine je crois) et qui sait du coup bien de quoi elle parle, qui m'a prêté du matos, m'a fait essayer le système sans me poser trop de questions. La marque est Française (bien que GACD ...) et est une copie du système de prothèse astra que j'avais pratiqué et bien apprécié.
10 implants achetés 200 euros, mini trousse de chir offerte, j'ai juste rajouté un prolongateur et quelques butées.

J'ai fini par des petits trucs :
sets de tenues et champs stériles, vis de cicat, tubulures moteur et tubulures aspi, poches eau stérile ...

Si on calcule j'ai pas tout à fait tenu l'objectif de 5000 euros, mais la douane m'a pourri, j'avais pas prévu :D

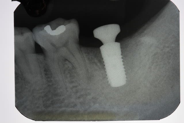
La seule vraie galère pour le moment, avoir posé le premier implant sur une 7 ... Ca s'est présenté comme ça, la patiente était très pressée, il y avait énormément d'os, mais que c'était chiant d'accès dans une petite bouche.

Img 2206 tbw3xx - Eugenol

G-P

24/04/2014 à 00h42

Tant que tout va bien, pas de problème ;)


eusebius

24/04/2014 à 10h07

merci pour ton retour...
c'est tentant,
tu parles de rentabilité:
donc 5000 d'investissement et 600 d'assurance annuelle.....

avec 2 jours de formation, je suppose que tu vas planter en "postérieur", des cas "simple", ne nécessitant aucun autre "savoir" que de passer un foret ?
ou tu as eu le temps d'apprendre autre chose?

parce que, dans mes patients, des cas "simple" , sans comblement, sans "surprise".... que je pourrai tenter de faire,j'en adresse finalement rarement à mon "planteur" de correspondant...

tu espères en poser beaucoup par an ??




Scan10030 ukikhq - Eugenol
vava

24/04/2014 à 12h09

DONC ?, si tu pose 10 implants la première année leur prix de revient et de 560€. Combien tu facture l’implant ?


RépondreCiter
G-P

25/04/2014 à 01h42

Oui très rentable -_-
surtout que tu dois bloquer au moins 3h de fauteuil pour ton implant le temps de tout installer et de nettoyer non ?
560 + allez, 3x 100€ de frais horaire (et je suis gentil), tu pourras te payer un demi-réservoir de gasoil si tu factures ton implant 900€

En dessous de 30 implants par an, à mon avis, faut adresser.
Sauf si c'est pas dans un but financier, mais là c'est autre chose.


Icon poker h4nm2d - Eugenol
jeff

25/04/2014 à 14h44

Sauf que.. le moteur et le contre angle n'est pas a acheter tous les ans.

Et si l'année derniere, j'ai du en poser une centaine, c'était 12 en 2006, quand j'ai commencé.


Photo pluton1b h9n4ea - Eugenol
pluton

25/04/2014 à 15h37

bein oui, faut bien commencer un jour...et on commence pas en ayant 100 cas d'avance...

maz, tu as bien fait de te lancer
juste une remarque: tu verras un jour que c'est bien plus simple en postérieur de poser des implants coniques que cylindriques...simplement parce que tu gagnes près de 50% de la longueur de l'implant car il s’insère naturellement d'une bonne partie de sa longueur dans le site foré...;-)
du coup çà simplifie pour ne pas dire transforme l'accessibilité...;-)
pas de problème dans la marque que tu as choisi...ils ont çà...sans trop te changer tes instruments (et trousse)...;-)


Logo vuaztn - Eugenol
mac

25/04/2014 à 20h17

merci maz pour ce message sympa.

comme dit pluton faut bien commencer un jour, peut être qu'au début il passera 3 heures pour un implant mais franchement quand tout est bien rodé, un pose d'implant c'est une heure maxi tout compris et c'est vraiment sans stress.

bien sûr si c'est pour en poser 4 par ans ça sert à rien, mais entre 20 et 30 par an faudra m'expliquer pourquoi c'est pas rentable, en tout cas c'est toujours plus rentable que faire des détartrages au tarif sécu, sans compter le coté rentabilité pure c'est bien aussi pour l'image du cabinet.

Bravo maz


HansHelder

25/04/2014 à 21h20

encore un conseil en or de pluton...comme quoi l'expérience...


maz

25/04/2014 à 21h22

eusebius écrivait:
------------------

> avec 2 jours de formation, je suppose que tu vas planter en "postérieur", des
> cas "simple", ne nécessitant aucun autre "savoir" que de passer un foret ?
> ou tu as eu le temps d'apprendre autre chose?

pour apprendre à passer une série de forets, on peut simplement lire le protocole fourni par le fabriquant, ou demander une démo/un essai à un commercial.

le but était d'apprendre le nécessaire pour se lancer, de façon efficace, sans passer des plombes avant de pouvoir penser imaginer se lancer.

La rentabilité est bonne, même la première année, avec seulement 10 implants posés
le premier m'a pris 2H30 (installation/nettoyage compris), dont 15min passées à chercher les tubulures d'aspi stériles ...
Les suivants seront surement dans les 2H
à un poil plus de 1000 euros l'implant, ça passe très bien

bref, on retombe sur ces idées reçues qu'il faut une énorme formation très longue ou qu'il faut en poser beaucoup ...

Et c'est bien entendu sans compter que :
avec le temps on va plus vite
les implants suivants sont achetés (en fonction des quantités) à prix réduit quand la trousse n'a pas besoin d'être offerte
les effets sur l'image du cabinet aux yeux des patients
le fait de se faire plaisir en diversifiant sa pratique et en gérant certains plan de traitements de A à Z


Scan10030 ukikhq - Eugenol
vava

26/04/2014 à 13h08

Ce n’est pas un commercial qui va poser un implant délicat ni t’indiquer la subtilité nécessaire du forage pour un cas spécifique. Fiscalement en achetant pour 2000 € de stock tu vas l’imputer à tes bénéfices. Le matériel d’un certain montant réglé au contant ne sera déductible que sur la part amortissable cette année, pour le reste tu le sort de ta poche, ce sera en partie déductible que les années suivantes. Fait tes comptes et tu verras à partir de combien d’implants tu comment à gagner 1 €. Pour les cas complexe, tu peux les adresser à un exclusif. Si celui-ci a des tarifs plus bas (un exclusif peut réduire de 20 à 30% ses tarif, tout en conservant une marge équivalant à un omnipraticien) que les tien il sera difficile de justifier tes honoraires pour les cas simples. La bonne affaire c’est la boite d’implant à 2000€ pour du matos à stocker et le formateur à 800€ qui l’ont faite.


RépondreCiter
maz

26/04/2014 à 13h27

Je dois avouer que je comprends pas tout ce que tu dis

grosso modo pour les 10 premiers implants achetés, je peux faire 14000 euros (j'ai eu 2 implants offerts)

l'investissement est dans 6000 euros en comptant large

le nombre d'heures dans les 20 Heures

Ca fait dans les 400 euros de l'heure

je veux bien qu'on complique les choses avec des histoires de trucs qui vont s'amortir (les 1200 euros du moteur, ça va pas chercher bien loin non plus) mais faut vraiment pousser pour dire que c'est pas rentable.

pour mon correspondant, pas de soucis, il est plus cher que moi ;-)


Scan10030 ukikhq - Eugenol
vava

26/04/2014 à 13h53

Pour l’instant tu as posé 1 implant pour plus de 2 journées de travail, dépensé 5000€ et tu as 1800€ de plus sur ton BIC.


RépondreCiter
Marine cross pagqaa - Eugenol
whiteteeth

26/04/2014 à 14h11

J'ai rapidement lu ce que tu avait écrit Maz, je te conseille d'acheter un 2ème Contre angle bague verte et avec led c'est mieux au cas ou ton premier contre angle chute sur une partie non stérile (sol) ou te lâche.
Ensuite, chacun a sa capacité d'apprentissage, moi je suis plutôt lent, avant de me lancer j'ai fait pas mal de théorie (attestation, D.U.) et pas mal d'assistanat d'un implanto quasi exclusif.


maz

26/04/2014 à 14h37

vava écrivait:
--------------
> Pour l’instant tu as posé 1 implant pour plus de 2 journées de travail, dépensé
> 5000€ et tu as 1800€ de plus sur ton BIC.

tout a fait, et pareil quand je me suis installé, j'ai bossé 8 ans et j'avais un prêt de 40000 euros à rembourser et pas encore rentré le moindre euro...

désolé, mais il y a des raisonnements que j'ai du mal à comprendre.


maz

26/04/2014 à 14h43

whiteteeth écrivait:
--------------------
> J'ai rapidement lu ce que tu avait écrit Maz, je te conseille d'acheter un 2ème
> Contre angle bague verte et avec led c'est mieux au cas ou ton premier contre
> angle chute sur une partie non stérile (sol) ou te lâche.
> Ensuite, chacun a sa capacité d'apprentissage, moi je suis plutôt lent, avant de
> me lancer j'ai fait pas mal de théorie (attestation, D.U.) et pas mal
> d'assistanat d'un implanto quasi exclusif.

en fait je me disait que je prendrais rapidement, si l'implanto se développe bien pour moi, un second kit moteur/cordon/CA, à 1200 euros, c'est pas trop cher payé pour être quasi sur de pas être en panne le jour de la pose.

c'est clair que la capacité d'apprentissage peut être différente, mais aussi la capacité ou l'envie de ce lancer... moi j'ai trainé des années pour me décider, parce que mon implanto est super bon et que ça se passe parfaitement bien avec la quasi totalité des patients. Par contre pour être sur de fonçer, j'avais deux patients qui avaient déjà accepté un implant avant de faire la formation et d'acheter le matériel. Du coup pas le choix, faut se lancer vite :D


Photo pluton1b h9n4ea - Eugenol
pluton

26/04/2014 à 15h04

maz écrivait:
-------------

> en fait je me disait que je prendrais rapidement, si l'implanto se développe
> bien pour moi, un second kit moteur/cordon/CA, à 1200 euros, c'est pas trop cher
> payé pour être quasi sur de pas être en panne le jour de la pose.

non, économise tes sous...;-)
juste un CA de bonne facture pas forcément haut de gamme(un impulsion Anthogyr par ex)...un moteur çà tombe quand même pas en panne tous les 4 matins...
et tu économises pour te payer, lorsque tu auras développé ton activité, un moteur haut de gamme, voir un combiné moteur/piezzo comme l'implantcenter satelec et tu remiseras ton premier moteur en moteur de secours...
plus tu développes l'implanto, plus les cas deviendront complexes...et donc il faut adapter son équipement en conséquence...ce qui te paraît inutile aujourd'hui deviendra nécessaire pour ne pas dire indispensable plus tard...;-)


bouboule

26/04/2014 à 15h28

C'est fou comme on oubli vite!

Qui ici a commencé en commandant pour 50 implants poussé par une foule de patients à genoux attendant que Dr Superimplanto vole à leur secours???

On accepte de faire des extracs à 33 euros, des endos à 50 des détartrages de 30 min pour 28 balles le tout sur un fauteuil à 30000 (d'ailleurs si on suit le raisonnement ambiant comment on fait, le fauteuil on l'achète pas??)
Mais par contre attention mesdames et Messieurs pour l'implanto, la chir la vrai celle des gros durs qui savent là attention 5000 euros de matos pour se faire plaisir surtout pas....

La première année j'ai du en poser 15 et sisisi j'ai gagné un peu d'argent (moins que sur de la prothèse et alors suis pas mort!) la deuxième 30 la troisième 50 et ainsi de suite cette année probablement pas loin de 100.

Et fichtre j'ai même acheté un piezzo pour les sinus!!! ben au bout de 3 sinus et 6 implants le trucs est payé. Peut être pas super lucratif mais par contre on devient capable de quasiment tout gérer et ça fini par se savoir et ça attire du monde qui en parle à son tour etc etc etc...

La qualité de la formation c'est plus discutable mais y a un truc de sûr, gérer une 30 aine de cas vaut bien plus à mon sens qu'un DU tout pourri ou pendant 2 ans on bouffe de la biblio sans toucher un bistouri...

Amuses toi bien! Bon plantage de clous!


20cents

26/04/2014 à 15h34

Je pense que tu as fait le bon choix de te lancer parce que ce projet a été longuement mûri. Il ne faut pas se leurrer. Beaucoup d'entre nous ont anticipé leur capacité à un moment donné dans leur carrière dans une spécialisation choisie, tout simplement parce que les patients nous soumettent de plus en plus de pression sur les propositions de traitements. Et il faut être dans le tempo, sinon c'est frustrant. Ces mêmes traitements novateurs pour lesquels les formations universitaires (donc la capacité) ne suivent pas assez vite par rapport à la demande de praticiens ou sont encore trop obscures et inaccessibles.

En clair tu t'est lancé un peu border line. Rectifie le tir avec la RCP Implanto ok, avec la gestion de cas simples pour l'instant (donc peu de poses), et surtout reste dans le circuit des formations continues type modules (exemple attestation) où tu apprends patiemment, où tu peux présenter tes cas, et ainsi justifier de ton implication constante dans cette activité. Tu apprendra beaucoup avec un parrain aussi. Pour ce qui est de la rentabilité, oublie pour l'instant.
Mais ce n'est pas le propos puisque tu offres un service supplémentaire et nouveau au patient. Vise plutôt pour compenser, à acheter au juste prix les matériels et matériaux, à augmenter efficacement ton activité prothèse et donc le CA, bénéfice... et à améliorer ta marge globale.


Scan10030 ukikhq - Eugenol
vava

26/04/2014 à 16h25

maz écrivait:
-------------
> désolé, mais il y a des raisonnements que j'ai du mal à comprendre.

http://www.eugenol.com/sujets/403537-arreter-l-implanto-en-omnipratique


RépondreCiter
ptitjeune

26/04/2014 à 22h09

Vava tu serais pas implanto exclusif , t'as peur qu'on te pique ton gagne pain?


Photo pluton1b h9n4ea - Eugenol
pluton

26/04/2014 à 22h33

c'est exactement la réflexion que je me faisais...;-)

et bien souvent j'ai l'impression que vava vadrouille sur nonol quand il n'a plus rien à se mettre sous le foret...;-)


dentatronche

26/04/2014 à 23h09

moi aussi je me suis équipé, j'ai investi plus que toi.

J'ai pris un moteur NSK surgic pro avec 2 contre angles NSK pour 4000 euros
et 20 implants Mis avec 1 trousse chir et 1 trousse de prothèse pour 4000 aussi.

C'est sur que ça fait 8000 mais les implants passent en frais et le moteur est amortissable...


Scan10030 ukikhq - Eugenol
vava

27/04/2014 à 12h11

Une chtite formation de compta ne serai pas superflue !!!


RépondreCiter
3f3boxni50k58rq7e9ce9ddqrxgk - Eugenol
dentiste57

27/04/2014 à 13h18

maz écrivait:

>
> Assurance à la MACSF, 600 euros
>

houawww!!! Impressionnant de se faire arnaquer comme ça !

non seulement la macsf reverse du pognon à la cnsd via l'APER mais en plus ils te demandent un tarif de cotisation de fou..

quittes ce truc, je paye même pas le tiers en faisant en plus des traitements sur le sinus et greffe...


12...