Cookie Consent byPrivacyPolicies.comInstrument cassé - Eugenol

Instrument cassé

dacodak

24/04/2014 à 11h54

Bonjour à tous,

Le patient a 29 ans, je remarque une dyschromie sur une 41 totalement asymptomatique, radio et je trouve une lésion apicale.
Je décide donc de faire l'endo. La chambre était relativement basse, j'ouvre et je commence à aléser avec une lime 10. Et elle casse...
Que faire dans ce cas ?
J'ai mis de l'Edetat en attendant, je suis terrifiée d'expliquer la situation au patient.
Je dois recevoir des limes ultrasonores, mais si ça ne marche pas, je ne sais pas quoi faire.

Merci pour vos conseils.


sohal

24/04/2014 à 12h26

bonjour,

une radio nous permettrais d'évaluer la situation.

A+
Sohal


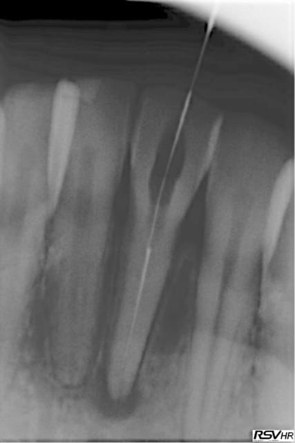
dacodak

24/04/2014 à 12h48

Il me semblait bien que j'avais oublié qq chose...

Radio msvndw - Eugenol

JUAN

24/04/2014 à 13h37

salut à toi et bienvenue au club, moi j'ai fracturé un protaper jaune hier soir dans le canal distal d'une 46 où j'avais préparé les 2/3 coronaires au gates 4 et inondé de glyde... bref quand ça veut pas...
pour ton cas, je pense qu'il faut essayer avec tes limes endosonores de passer à coté (avec un peu de bol tu as un canal en 8... fréquent que les incisives en bas)
Sinon je préviendrai ma RCP et j'adresse à un endo exclusif qui devrait pas trop galérer à sortir cette lime. courage chaque problème une solution.


youn

24/04/2014 à 13h46

Salut à toi,

Déjà il faut expliquer au patient qu'il y'a un instrument qui a cassé et que ça arrive. C'est impératif et il faut porter ses c******s un petit peu dans la vie.

Ensuite c'est une lime 10 (fine et a priori qui n'a pas été trop vissée puisque manuelle) cassée haut dans un canal, donc tu passes gates 3 à l'entrée du canal, puis gates 2 sur 1 ou 2mm puis le un jusqu'à voir distinctement l'instrument. Après ça tu acchètes un insert endo droit (non diamanté hein!) et tu te mets aux alentours de 30%-50% de la puissance de ton unit et tu vas au contact de l'instrument, mais sans appuyer (tu risques d'enfoncer la lime plus loin. Normalement après peu de temps (5-10 minutes surement) ça devrait sortir. Ne pas s'énerver, jamais en endo!

Si au bout d'un certain temps rien du tout, tu prends une lime 8 C+ de dentsply (c'est ce que je préfère), que tu précourbes, tu mets une tonne de glyde et tu picores autour de l'instrument (qui va te donner la sensation d'une butée) et cherche un endroit où tu "plantes" (sensation de planter) et la tu progresse en 1/4 de tours en appuyant un peu mais pas trop.

Par contre comment tu as cassé une lime dix dans un tel cannal est un mystère. Les limes 8 et 10 je les jette à chaque endo, apès avoir servi c'est trop fragile.

Enfin mets plus de glyde (EDTA) dans tes endos, ça peu servir, en sachant qu'il faut un certain temps pour qu'il agisse (10-15 minutes) dans les canaux calcifiés.

Pas de panique y'a rien d'irrémédiable encore. Si tu le sens pas, envoie chez l'endodontiste le plus proche.





--
www.dentaltradegroup.com


Darmon - Eugenol
Latin

24/04/2014 à 15h05

Vous faites une déclaration à votre RCP à chaque casse d'instrument? Informer le patient et le noter dans le dossier oui, mais la déclaration à la RCP au moment de l'accident est-elle nécessaire pour la faire jouer a posteriori si ça devient nécessaire?


Darmon - Eugenol
Latin

24/04/2014 à 15h13

dacodak écrivait:
-----------------
> je suis terrifiée d'expliquer la situation au
> patient

Le conseil que je peux te donner c'est de ne jamais attendre pour annoncer ce genre d'aléa. Si tu ne lui dis pas tout de suite ça te rajoute le stress d'avoir encore à lui annoncer, alors que si c'est fait tout de suite ça fait toujours ça d'économisé.

Si tu l'annonces a posteriori, tu vas dire quoi à ton patient? : "Je vous l'avoue j'ai pété un instrument dans votre dent mais je n'ai pas osé vous le dire tout de suite". Ce n'est pas top comme situation. Donc passe pour cette fois, mais ne recommence pas, ça va aller.


eusebius

24/04/2014 à 15h22

et puis pour la prochaine, tu auras des limes US pour t'aider :-)

j'espère pour toi qu'elles ne viennent pas de Chine sinon, tu peux les attendre longtemps...


mieux vaut le dire pendant la séance, expliquer que cela arrive et dire que tu vas mettre tout en œuvre pour finir la dent


dacodak

24/04/2014 à 16h03

Un immense merci pour tous vos conseils.


eusebius

24/04/2014 à 17h08

sinon, avec les limes US, comme dit précédemment, vas y mollo mollo, pour ne pas pousser ton instrument et pour ne pas casser la lime US


RépondreCiter
Gaudi parc guell lezard  ntokms - Eugenol
lezard

24/04/2014 à 20h28

Dans la mesure où il n'y a pas de courbure tu peux essayer de sortir la lime cassée avec le kit endo rescue de chez komet, je l'ai déjà essayé avec succès, mais ça coûte un bras.

Et je bosse pas pour komet, je les trouve d'ailleurs bien chers.

http://www.kometdental.de/Endo-Rescue.6385.0.html?L=3