Cookie Consent byPrivacyPolicies.comimage suspecte - Eugenol

image suspecte

yoye

24/04/2014 à 21h54

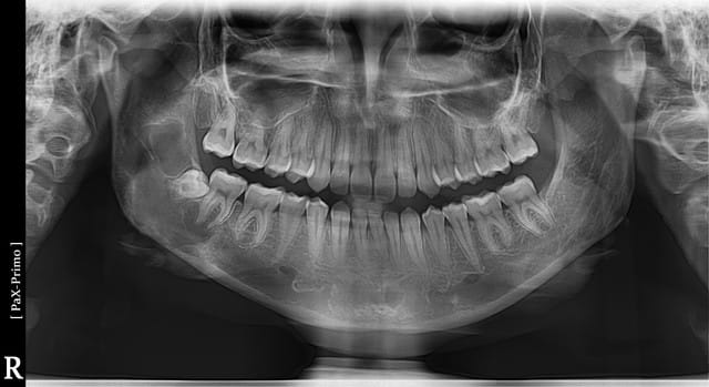
Bonsoir à tous, pourriez vous me dire si vous trouvez vous aussi suspecte cette image au niveau de la 48.
C'est si gros que j'ai un doute.
Merci

Pano 2 vfcavi - Eugenol

Canin

24/04/2014 à 22h37

Vas-y, coupes la mandibule dirons certains.

Sinon la réponse est oui, bien vu, tu as repéré une image suspecte correspondant à une vraie lésion. Reste à déterminer la nature de cette lésion. Difficile sur un otp mais on peut très fortement exclure un kyste dentigère étant donné l'aspect.

Bilan scan au minimum +/- irm en fonction des possibilités locales.

--
Canin


yoye

25/04/2014 à 00h43

Merci Canin.
J'ai bien prescrit un scan en attendant d'adresser.
C'est bizarre la vitalité de la 7 est positive je pensais pas.
Bonne soirée


Photo pluton1b h9n4ea - Eugenol
pluton

25/04/2014 à 01h14

moi, j'attendrais pas pour adresser...le fait d'avoir fait l'ordo pour le scan permettra peut être d'avoir les images au rdv du chir maxillo qui prendra la suite...


flicflac

25/04/2014 à 14h25

diagnostic probable: kyste osseux essential
J'aime moins la zone radio translucide au niveu de la branche montante droite, probablement artefact du au positionnement??


Canin

25/04/2014 à 14h34

yoye écrivait:
--------------
> Merci Canin.
> J'ai bien prescrit un scan en attendant d'adresser.
> C'est bizarre la vitalité de la 7 est positive je pensais pas.
> Bonne soirée
>

C pas étonnant au contraire puisque ce ne pas être associé à une nécrose dentaire, faut chercher autre chose

--
Canin


flicflac

25/04/2014 à 14h49

diagnostic probable: kyste osseux essentiel (pseudokyste)
J'aime moins la zone radio translucide au niveu de la branche montante droite.


flicflac

25/04/2014 à 14h50

.


Images mg2jvu - Eugenol
zorg

26/04/2014 à 16h04

On a qd même la nette impression que çà attaque aussi la basale, il n'y a pas qu'une image derrière et devant la dds, çà occupe à mon avis la totalité de l'angle mandibulaire, avec plusieurs lobes de volumes différents => çà pue l'améloblastome. Le scan en dira plus. Met nous les principales coupes du scan sur le forum quand il sera fait stp.


flicflac

29/04/2014 à 05h01

+1 pour l'améloblastome,