Cookie Consent byPrivacyPolicies.comPetit cas d'éclaircissement réussi et composite raté - Eugenol

Petit cas d'éclaircissement réussi et composite raté

Pubg2 rjl8jc - Eugenol
vincent63

30/04/2014 à 12h58

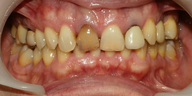
Lâchez vous sur les conseils améliorer ma pratique du composite antérieur, je suis preneur ! en regardant les photos ce matin ... grosse déception ! J'aurais du prendre un peu plus de temps pour le compo, un petit wax up m'a manqué, le montage laisse à désirer ... pas mal de regret au final.

Si vous avez des conseils de formations très pratique sur un ou deux jours avec de nombreux TP, partagez ! Je suis preneur !

--
J'occluse donc je suis

Avt cr la8nlh - Eugenol
Zpres cr rq9k06 - Eugenol
Avt cr dtudqq - Eugenol

Android jyzura - Eugenol
Tavéca

30/04/2014 à 13h10

Moi je trouve ton compo largement acceptable, c'est la forme qui va pas, pas besoins de formation ici. Polis mieux ton angle distal en arrondis et polis le bord libre.
En fait recherche une symétrie avec la 21


Marque a3 orange fyvhyq - Eugenol
Marc Apap

30/04/2014 à 14h24

Je ne suis pas d'accord avec ça : ce n'est pas la forme qui est ratée, (un peu mais c'est facile à rectifier), mais surtout le rendu. Il faut utiliser un compo opaque (dentine) et seulement un tout petit peu de translucide par dessus (émail). Ici, tout est trop translucide donc ça tranche avec l'opacité de la dent.


dent2669

30/04/2014 à 14h26

Si tout le monde bossait aussi bien tout le temps...

Selon un récent sondage effectué par la CNSD, 98.2% des praticiens auraient fait un bel inlay-core et une belle CCM avec un beau liseré noir au collet !!!
Le tout encadré par un protocole santéclair parce qu'on avait peur que le patient aille voir le voisin pour savoir si ce n'était pas moins cher ailleurs !


Grueavatar nptrc9 - Eugenol
Le Choixpeau magique

30/04/2014 à 15h04

Le résultat est très bien vus les moyens employés, amha c'était un cas d'éclaircissement + facette/couronne, pas de compo direct.


Mm goodteeth2 ex0rr1 - Eugenol
Jules

30/04/2014 à 17h25

+1 avec Taveca pour la forme.

Le deuxième aspect, c'est la différence de translucidité. La reconstitution l'est particulièrement, et la dent naturelle quasiment pas.
Tu as utilisé le même composite, même teinte en mésial de la 21 non ?

Edit : déjà dit par Marc...


chipoundine

30/04/2014 à 23h42

Si tu as une teinte A2 et une grosse perte de substance, in le faut pas hésiter à partir 2 teintes en dessous avec des composites "BODY".

Avec le composite "BODY" tu doit recreer la dentine perdue, et ne pas hésiter à mettre en premier un coeur chaud en A4, puis A3 , puis A2.

Enfin tu ne fais uniquement la dernière couche avec ton compo classique.

Pour les patients jeunes avec bords translucide tu termine avec du Compo "émail"

En gros tu refais la dent comme la nature l'a faite....

Un filtre polarisant monté sur ton appareil te permet de connaitre la teinte de la dentine.
tue le trouveras ici : www.polareyes.com

Si tu deviens un grand malade du compo du peux te faire tes propres teintier avec tes propres compos en faisant différent mix : Ex A4B/ A2B/ Email.....sur styleitaliano.org, perso je n'ai pas pris le temps de les faire, mais le concept à l'air génial.

Sinon bravo beau boulot tout de même. Continue dans cette voie !

Ps : n'oublie pas la digue, et surtout fais payer ce type d'actes au juste prix sinon tu ne t'en sortira pas financièrement. La dentisterie adhésive est chronophage.


Darmon - Eugenol
Latin

01/05/2014 à 00h28

chipoundine écrivait:
---------------------
> Ps : n'oublie pas la digue, et surtout fais payer ce type d'actes au juste prix
> sinon tu ne t'en sortira pas financièrement. La dentisterie adhésive est
> chronophage.

Heureusement que tu as mis ce post scriptum. Cétait ça ou PS: et n'oublie pas de mettre la clé sous la porte en partant.


Bebe 038 nf8eum - Eugenol
danteyeah

01/05/2014 à 05h17

Latin écrivait:
---------------
> chipoundine écrivait:
> ---------------------
> > Ps : n'oublie pas la digue, et surtout fais payer ce type d'actes au juste
> prix
> > sinon tu ne t'en sortira pas financièrement. La dentisterie adhésive est
> > chronophage.
>
> Heureusement que tu as mis ce post scriptum. Cétait ça ou PS: et n'oublie pas de
> mettre la clé sous la porte en partant.

Tiens pour une fois c'est pas chicot29 qui a dégainé le premier! Il y aura toujours un "pognon conscient" pour nous rappeler l'hérésie de notre nomenclature.....c'est vrai, mais ce n'est pas le sujet du fil comme d'habitude.

Vincent t'es dans le vrai en respectant le gradient thérapeutique, et quitte à perdre du temps et des sous à faire du composite (même si tu as pu facturer l'éclaircissement, et ainsi limiter les pertes), prends du temps pour expliquer ton traitement et éduquer ton patient, le rendre conscient de l'impact de l'esthétique dans son sourire (y'a encore du travail). Ainsi tu fera de ton patient un porte parole de la qualité et du sérieux de ton cab.

Pour la formation, j'ai l'impression que t'en a pas besoin. Il y a dans ton travail un mauvais choix des opacités (voir réflexion de Marc et la juste remarque de chipoudine). l'histoire de la clé palatine en silicone tirée du wax-up peu aider au début, mais avec le temps j'avoue ne plus en faire ou si peu. Il y a aussi un problème de volume: bord libre un poil long, angle distal trop aiguë (élargissant la dent), léger manque en vestibulo-distal sur l'arête distale. Choix des opalescents trop ambre : c'est bien visible en distale.
Pourtant le résultat final est très correct, et la meilleure formation sera de t'entrainer encore et encore et surtout d'iconographier ton travail pour voir et comprendre erreurs et améliorations.
Le plus important peut être est de bien étudier la photo pré-op pour assimiler la morpho et les caractérisations des dents adjacentes.

Pour ton cas une intégration esthétique parfaite nécessiterait une extension à toutes les imperfections visibles, et l'utilisation de restauration céramique capable de masquer les dyschromies est inévitable.
Dans ce contexte le composite est un très bon outil de communication et de sensibilisation du patient à l'esthétique de son sourire, mais reste toutefois provisoire.


Pubg2 rjl8jc - Eugenol
vincent63

05/05/2014 à 01h12

Merci à tous pour vos nombreuses réponses, détaillées. En vrac, quelques réponses : j'ai travaillé avec un composite simple : du gc gradia antérieur a2 car je n'ai pas beaucoup de demande esthétique dans le patelin ou je suis ... ou peut etre est ce que je n'y suis pas attentif et ne propose pas assez souvent à mes patients ces thérapeutiques (surement).

Je vais quand même me forcer un peu lors du prochain cas et prendre des teintes dentine et email pour optimiser le rendu.

En effet la dentisterie adhésive est chronophage ! Mon épouse a explosé de rire en voyant vos réponses sur la rémun&ration ... tout à fait dans les inquiétudes conjugales du moment ... je prépare un topic sur comment ne pas mettre la clef sous la porte car en ce moment ... c'est bof ... mais c'est un autre sujet. 250 € "all included" pour 30 minutes, puis 3 fois 10 minutes et 45 minutes pour le compo final ... on est un peu limite mais mon problème est de faire le pas entre travail plaisir et travail rentable ! je me dit que quand je serais bon ... je serais forcement plus "rentable".

Pour les facettes ... pas encore formé, mais effectivement vu la perte de substance une fois le composite palatin complètement déposé ce pourrait être la prochaine étape.



--
J'occluse donc je suis


youn

05/05/2014 à 04h13

250€ pour 1h45? T'as perdu de l'oseille je pense du coup ou en tous cas t'as gagné de quoi t'acheter un sandwich. Honnetement tant que tu te fais plaisir...

La forme tu peux la retoucher à la fraise, la teinte moins. Pour progresser t'as de très bons conseils, et garde des dents que tu a extraites pour t'entraîner, et fais un tour sur styleitaliano, ou sur leur groupe facebook, tu verras c'est très inspirant...Et y'a un sacré niveau (ne serait-ce que dans la façon dont certains posent la digue tu vois que ça déconne pas)!

Sur ce je te souhaite bien du plaisir à faire ce genre de choses, c'est vraiment passionnant quand on commence à se plonger là dedans!


PS. S'il y'en a qui savent ce que c'est que l'espèce de film blanc qu'il mettent sur les dents proximales quand ils isolent la dent sur laquelle ils vont travailler (sur style italiano, le groupe fb) ça m'intéresse fortement!
--
www.dentaltradegroup.com


boxdistal

05/05/2014 à 08h37

youn écrivait:
--------------

> PS. S'il y'en a qui savent ce que c'est que l'espèce de film blanc qu'il mettent
> sur les dents proximales quand ils isolent la dent sur laquelle ils vont
> travailler (sur style italiano, le groupe fb) ça m'intéresse fortement!
> --
> www.dentaltradegroup.com




Tu dois surement parler des films de teflon, qu'on trouve à Castorama ou autre au rayon plomberie.


--
"araignée du gratin, machin"


youn

05/05/2014 à 15h59

Je parle de ça :

--
www.dentaltradegroup.com

10271203 10201812546820315 8745008777112913722 o wnm6gy - Eugenol

boxdistal

05/05/2014 à 17h00


c'est bien ça teflon.
--
"araignée du gratin, machin"


Pubg2 rjl8jc - Eugenol
vincent63

05/05/2014 à 17h02

téflon pour isoler

bien utile d'en avoir une bobine pour mettre dans les puits de cr / implant vissée.

--
J'occluse donc je suis


youn

05/05/2014 à 19h21


Merci, super! J'avais jamais vu ça ailleurs que sur style italiano. Vous avez des références, un type de produit, parce que j'ai l'impression qu'il y en a plein de différents...
--
www.dentaltradegroup.com


pontdemail

06/05/2014 à 01h00

@vincent63: quel produit d'éclaircissement a tu utilisé?