Cookie Consent byPrivacyPolicies.comCommunication bucco-sinusienne - Eugenol

Communication bucco-sinusienne

dentiste777

30/04/2014 à 14h35

Bonjour,

et bien c'était ma matinée ce matin.
Extraction de 16 et 17, et après les extractions, je me retrouve dans le sinus... A la pano, on voyait que les dents étaient antrales, j'ai pris mes précautions, mais c'est arrivé...
Heurseusement, la membrane sinusienne n'était pas perforée.

J'ai donc fait mes points de suture, ai mis la patiente sous Augmentin, et je lui ai dit de ne pas se moucher.

La patiente a paniqué, je l'ai donc envoyer aux urgences pour la rassurer...

Que puis-je faire de plus? Je suis inquiet, c'est la première fois que ça m'arrive.

Merci


bouboule

30/04/2014 à 14h55

Un beau sinus dans quelques mois!
Pour le reste c'est parfait, on laisse faire dame nature... ça arrive et c'est pas grave du tout!

Ta patiente a probablement paniqué parce qu'elle t'as vu paniquer...
Moralité la prochaine fois on respire un bon coup et on fait son boulot sans stress (au moins en façade)
Si t'as l'air tendu c'est normal que ton patient le soit aussi...
Pourquoi stresser, que peut il arriver dans cette zone?? rien! à part une CBS à refermer et une greffe osseuse si la patiente veut des dents... rien de suffisant pour paniquer


dentiste777

30/04/2014 à 15h17

Merci.

Dois-je l'adresser à un ORL s'il faut refermer la CBS?

Par la suite, il est prévu un complet


Image ik684g - Eugenol
chirphil

30/04/2014 à 15h24

Pas de soucis , si ta membrane sinusienne n'est pas perforée ce n'est pas une CBS ( aucune communication possible entre milieu buccal et cavité du sinus ) .
Pas de risque infectieux particulier , et attendre cicatrisation osseuse comme pour toute autre avulsion .


bouboule

30/04/2014 à 15h25

Si la taille de la CBS dépasse tes compétences oui. Mais souvent ça se referme tout seul!!
Si tu adresses, demandes à voir (orl, stomato, CD qui sait faire) ça démystifiera le truc pour la prochaine fois!


dentiste777

30/04/2014 à 15h28

OK, merci.

Je dois lui extraire encore une 27 qui a l'air antrale également, je pense que je vais l'adresser même si elle a l'air très simple à extraire. Qu'en pensez-vous?


Bagheera tudzjy - Eugenol
bagheerra

30/04/2014 à 16h03

dentiste777 écrivait:
---------------------
> La patiente a paniqué, je l'ai donc envoyer aux urgences pour la rassurer...
>

Ah ben ils vont être contents, aux urgences, et avoir une bonne image des "chirurgiens"-dentistes.


Photo pluton1b h9n4ea - Eugenol
pluton

30/04/2014 à 16h33

si pas de déchirure de la membrane: éponges hémostatiques et sutures, point barre...

remarque: même si déchirure tu peux dans un premier temps faire la même chose...dans ce cas je préfère utiliser une grosse éponge du type bloxang qui est conditionnée en unitaire et stérile...

et pareil pour les recommandations de mouchage...

dans 99% des cas, tout rentre dans l'ordre...


uɹöɾq

30/04/2014 à 16h51

dentiste777 écrivait:
---------------------
>
> La patiente a paniqué, je l'ai donc envoyer aux urgences pour la rassurer...
>


Tu penses qu'ils vont lui faire quoi aux urgences?

Si tu les "envoies aux urgences pour les rassurer", ne nous dis pas ce que tu fais pour faire paniquer tes patients... :-))


dentiste777

30/04/2014 à 17h05

uɹöɾq écrivait:

> Tu penses qu'ils vont lui faire quoi aux urgences?
>
> Si tu les "envoies aux urgences pour les rassurer", ne nous dis pas ce que tu
> fais pour faire paniquer tes patients... :-))

Et bien, à la fac, on n'apprend pas à gérer ce genre de choses en clinique. C'est donc aux facs de se remettre en question. On n'apprend ça que dans les cours, et quand ça nous arrive en pratique, c'est autre chose...


Photo pluton1b h9n4ea - Eugenol
pluton

30/04/2014 à 18h07

y a pas comme un problème???
à la fac on t'apprend çà dans les cours et tu ne sais pas gérer en clinique?
à la fac tu n'as pas eu de tp de sutures?
je ne vois pas la difficulté de mettre une éponge hémostatique dans une alvéole...donc...

=> réviser ses cours est une bonne idée...non?

c'est quand même un peu fort de mettre çà sur le dos des facs...


Index vakr2r - Eugenol
pgc

30/04/2014 à 18h48

dentiste777 écrivait:
---------------------
> ..
> La patiente a paniqué, je l'ai donc envoyer aux urgences pour la rassurer...
> ...

Ca n'a pas dû la rassurer beaucoup!
Pauvre patiente. Des heures d'attente dans un couloir, des radios inutiles, un RV chez un ORL dans 6 semaines (quand ce sera cicatrisé) et retour à la maison avec une ordonnance pour du paracétamol.
Tu n'as pas dû te retrouver souvent aux urgences.
En tous cas pour l'extraction de 27 la voilà bien mise en condition.


Index vakr2r - Eugenol
pgc

30/04/2014 à 18h52

uɹöɾq écrivait:
..
> Si tu les "envoies aux urgences pour les rassurer", ne nous dis pas ce que tu
> fais pour faire paniquer tes patients... :-))

Quand je veux faire paniquer un patient, j'allume une bougie parfumée, je lui masse le front avec de l'huile de jojoba et je lui passe un CD avec des chants d'oiseaux
Ca les fait partir en panique direct.

Blague à part si la membrane n'est pas perforée il n'y a pas de CBS alors restons calmes et buvons frais.


Images mg2jvu - Eugenol
zorg

01/05/2014 à 01h48

les urgences pour rassurer c'est pas un bon plan. Pour une CBS la première question à se poser c'est si le sinus est infecté ou pas. Si pas, tout va bien, au pis il faudra faire un lambeau de fermeture et tout rentrera dans l'ordre. Si il l'est, là çà se complique car si les merdouilles au dessus s'évacuent par là, çà ne se fermera jamais sans faire en même temps une méatotomie (au bloc par ton orl préféré)+ un premier lambeau qui en général merde, suivi d'un second quand le sinus ne coule plus, et qui lui fonctionne comme dans le cas d'un sinus sain. Conclusion dans tous les cas mettre sous AB tant que çà n'est pas refermé pour éviter de se retrouver dans le second cas.


G-P

01/05/2014 à 13h20

Ça m'est arrivé sur une 16 y'a deux semaines, mais moi comme je fais pas les choses à moitié j'ai perforé la membrane :)))
Bon, j'ai une excuse, la dent était bien ankylosée.

Éponge collagène, sutures, recommandations et tout roule. Faut surtout pas stresser !


bahia

01/05/2014 à 23h49

Bonsoir
Juste pour la petite histoire, il y a quelques années j'ai extrait une racine de 27 ankylosée, enfin ... Après un bon moment j'ai mobilisée la dite racine et pffff ....le TEmps de prendre un davier à racine en main, plus de racine... Radio : la belle s'était fait la malle sous la membrane sinusienne à l'aplomb de la 26. Grr.. Le patient forcément voisin du dessus, moi un peu embêtée, appel à un contact orl qui me conseille scanner à 4 Semaines pour vérifier etat du sinus ( infection, kyste...). Donc plein d'excuses pour désagrément, mise sous antibio, contrôle à 8 jours et contact rcp en cas de suites (caldwell Luc sous ag...). Suites ras à 8 jours . Puis patient revient à 15 jours avec sa racine qui avait fait chemin inverse, finalement bien contente de ne pas avoir suturer sachant que je n'avais pas de signe de CBS. Simple témoignage pour constater que la nature est bien faite !!


VladE

10/12/2014 à 21h36

Je viens d'en faire une belle tiens.... Première fois mais je l'ai pas ratée.

27 sur patiente de 65 ans dernière dent au maxillaire, extraite avant de refaire la PAC. Sinus proxident, Très ankylosée et table osseuse fine, fine, fine.... Malgré les précautions (séparation et tout), fracture de la table osseuse externe, plutôt haut, et belle CBS au passage.

Le plus dur a été de finir l'extraction de la racine palatine sans rien casser d'autre pour pouvoir suturer proprement. Ce que j'ai fini par réussir.


J'ai suturé bord à bord, amoxicilline, solupred 3 jours et antidouleurs, conseils post op... J'ai gardé mon assurance de façade pendant tout le soin mais une fois la patiente partie, j'étais au bord du malaise vagal.

Quelles sont les conséquences en vue de la réal de la PAC ? une fois suturé ça fait un gros decrochage sur la crête...


Images mg2jvu - Eugenol
zorg

14/12/2014 à 19h33

boh, du moment que çà reste fermé pas bien grave. Éventuelles douleurs sous la PAC quand elle aura des pathologies orl, mais bon suffit de prévenir.


Image r6habu - Eugenol
Thomas Crown

14/12/2014 à 19h38

Bon alors on arrête de braquer les 27 avant les complets, et on attend que ça bouge tout seul..


Img 0812 mvp6i0 - Eugenol
jeamba

16/12/2014 à 23h17

Je vous trouve bien optimiste mes amis. Qui vous a dit que les CBS se ferment toutes seules systématiquement?


Avatar reduit tuudiu - Eugenol
saitosama

17/12/2014 à 12h00

jeamba écrivait:
----------------
> Je vous trouve bien optimiste mes amis. Qui vous a dit que les CBS se ferment
> toutes seules systématiquement?

Le cas présenté n'étant pas une CBS, si c'est propre et suturé pas trop de risque. A priori.


Hollande portrait nu x0motm - Eugenol
DocteurCuir

02/03/2016 à 20h01

Je me permet de remonter le fil car j'en ai fait une belle; j'ai réussi à enlever les racines mesio vest et disto vest de cette 16, mais en fesant une belle communication.
Je suis resté zen, mais n'est pas osé aller chercher la palatine, de peur de l'envoyer dans le sinus.
J'ai mis des éponges et fais un point en croix pour refermer et l'ai prévenu, plus amox solupred sterimar lamaline.

Que faire à court terme, il part dans 2 mois vivre en chine ...

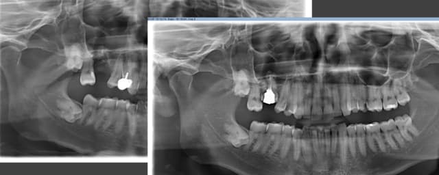
Pano kzict8 - Eugenol

Blocperso talon jer3sl - Eugenol
mrquentin

10/03/2016 à 01h55

tu adresses pour extraire la racine palatine. Si il y a une petite communication, leve un lambeau et suture en berge à berge. Si la communication est égale ou supérieur à 5mm, il faudra tracter la boule de bichat.


aterman

17/03/2016 à 21h04

Patient qui vient apres 2 tentatives de fermeture de CBS par son chirdent.
1 avec membrane et une rhermanplastie.
Je le sentais pas bien.... Surtout qu il cumule, ancien narco, hepatite B et C... Que du bonheur.
Je tire un beau lambeau et referme aussi hermetiquement que possible.
Sutures matelassier etc...
Et ca a pas rate, a la depose la CBS est toujours la et le patient en colere...
On a demande un cbct pour controler l etat du meat au niveau cavite nasale pour esperer que le probleme vient de la...


Blocperso talon jer3sl - Eugenol
mrquentin

18/03/2016 à 01h00

C'est quoi une rhermanplastie? J'ai cherché sur le net, j'ai pas trouvé...?


12