Cookie Consent byPrivacyPolicies.comFacettes - Eugenol
Logo vuaztn - Eugenol
mac

03/05/2014 à 10h37

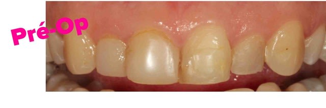
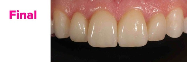
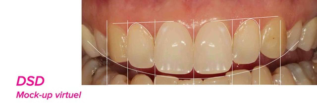
Puisqu'on parlait de facettes et de temporisation, voici un petit cas de facettes en Emax.

Facettes eugenol - Eugenol
Facettes eugenol - Eugenol
Facettes eugenol - Eugenol
Facettes eugenol - Eugenol
Facettes eugenol - Eugenol
Facettes eugenol - Eugenol
Facettes eugenol - Eugenol
Facettes eugenol - Eugenol
Facettes eugenol - Eugenol
Facettes eugenol - Eugenol
Facettes eugenol - Eugenol

S2y2o1v7q53ws4r5wy6ou8czrpom - Eugenol
pxav

03/05/2014 à 12h02

trés didactique, peut etre meme un poil professoral, mais le resultat final est "bof" alors que le wax up et le mock up sont parfait.
Soit temperature de cuisson final trop élevée qui a "gommée" les détails, soit ce n'est pas le meme prothesiste qui a fait le wax up et les emax.
Dernieres remarques,je trouve que la simulation informatique n' apporte rien au résultat final, et un plan plus large pour les photos permettrait une visualisation plus complete, les dents n'etant qu'une partie du visage.
Connaissant ton besoin de perfection, je suis sur que tu vas prendre les critiques de façon constructives.

--
xbk
"Si tous ceux qui croient avoir raison n'avaient pas tort, la vérité ne serait pas loin" Dac Pierre


Logo vuaztn - Eugenol
mac

03/05/2014 à 12h29

Pour ta question sur le prothésiste c'est le même qui a fait le wax-up et les facettes j'ai juste un peu retouché le wax-up moi même, pour les photos du visage je pense que tu comprends aisément pourquoi je ne peux les mettre sur un forum public.


G-P

03/05/2014 à 13h38

Tu utilises quoi comme flash pour tes photos ? Je pense que ça rend mieux en vrai et que ton flash aplatit les détails des dents ...


Android jyzura - Eugenol
Tavéca

03/05/2014 à 13h43

Très académique certe, mais jolie quand même.

Cependant je trouve la teinte peut etre un peut trop jaune et, mais cela dépends du souhait du patient, et le décalage vest. trop marqué entre les centrales et les latérales.

Comment as-tu géré la gencive de laterales?


dr-quenottes

03/05/2014 à 13h56

Bravo! J'aimerais bien savoir en faire autant.
Question bête mais c'est quoi un mock up?
Pourrais-tu m'expliquer comment tu as géré les tissus mous stp?


Logo vuaztn - Eugenol
mac

03/05/2014 à 14h07

G-P écrivait:
-------------
> Tu utilises quoi comme flash pour tes photos ? Je pense que ça rend mieux en
> vrai et que ton flash aplatit les détails des dents ...


Un flash Twin canon


Tavéca écrivait:
----------------
> Très académique certe, mais jolie quand même.
>
> Cependant je trouve la teinte peut etre un peut trop jaune et, mais cela dépends
> du souhait du patient, et le décalage vest. trop marqué entre les centrales et
> les latérales.
>
> Comment as-tu géré la gencive de laterales?


C'est pas jaune du tout, mais c'est vrai que sur la photo que j'ai posté on peut avoir cette impression, je vous poste une photo avant / après de la patiente, c'est pas si jaune que ça.

Pour la gencive une bete gingivectomie.

Facettes eugenol - Eugenol

Logo vuaztn - Eugenol
mac

03/05/2014 à 14h10

dr-quenottes écrivait:
----------------------
> Bravo! J'aimerais bien savoir en faire autant.
> Question bête mais c'est quoi un mock up?

pour faire simple un mock-up c'est un wax up en bouche, ça permet de montrer au patient ce que ça donner.

> Pourrais-tu m'expliquer comment tu as géré les tissus mous stp?

gingivectomie.


Bebe 038 nf8eum - Eugenol
danteyeah

03/05/2014 à 16h19

pxav écrivait:
--------------
> trés didactique, peut etre meme un poil professoral, mais le resultat final est
> "bof" alors que le wax up et le mock up sont parfait.

Fallait que ça arrive: j'suis pas d'accord, le Mock-up n'est pas parfait à mon goût ( eh oui c'est une question de goût et donc la perfection n'est pas de ce monde). Pour moi la 21 est un poil trop volumineuse en distal ( crête marginale trop marquée), alors qu'au contraire le boulot final est sublime et totalement à mon goût, et les photos visages enfoncent le clou.....
Pour le côté technique c'est tout aussi maitrisé: on dirait un travail sortit du " Magne/Belzer"....du grand art, merci mac.


Logo vuaztn - Eugenol
mac

03/05/2014 à 16h58

Merci mais la route est encore longue pour arriver à ce niveau, en tout cas ce qui est sûr c'est que la patiente est ravie, mon ortho qui a vu un des enfants de la patiente en consult, m'a appelé pour me dire qu'elle trouvait les facettes très jolies et ben j'étais content pour la journée ;)


G-P

03/05/2014 à 18h12

Ça fait plaisir d'avoir des praticiens français qui essaient de donner le meilleur à leurs patients, même si on se fait cracher à la gueule par les médias et les politiques à longueur de temps.


Blue eye thumb medium dx1i0w - Eugenol
bill

03/05/2014 à 19h02

Résultat final très sympa Mac, je comprends que la patiente soit ravie.
Après c'est sûr que les photos étant prises à des dates différentes, les conditions d'éclairage ne sont pas les mêmes et le rendu différent.

Juste une question : dans ce cas on est quand même loin de la facette "pelliculaire", n'aurait-il pas été préférable de faire une couronne complète, au moins pour les latérales, la taille n'aurait probablement été guère plus importante ?


S2y2o1v7q53ws4r5wy6ou8czrpom - Eugenol
pxav

03/05/2014 à 21h56

danteyeah écrivait:
-------------------
>
>
> Fallait que ça arrive: j'suis pas d'accord, le Mock-up n'est pas parfait à mon
> goût ( eh oui c'est une question de goût et donc la perfection n'est pas de ce
> monde). Pour moi la 21 est un poil trop volumineuse en distal ( crête marginale
> trop marquée), alors qu'au contraire le boulot final est sublime et totalement à
> mon goût, et les photos visages enfoncent le clou.....
> Pour le côté technique c'est tout aussi maitrisé: on dirait un travail sortit du
> " Magne/Belzer"....du grand art, merci mac.

c'est tout l'interet d'eugenol, comparer nos avis, sans penser detenir la verite pour ma part,je suis d'accord sur l'exces distal, mais je trouve les finales, trop " rondes" pour le 1/3 apical, y compris le bombé vestibulaire, de plus j'aime beaucoup la caractérisation du 1/3 crestal des wax up, qui a disparu sur les definitives.
Bien sur c'est beau, et heureusement la patiente est contente ( avant / apres il n'y a pas photo) mais à mon gout, ce n'est pas sublime, meme si je suis conscient que la critique est plus facile que la realisation.


--
xbk
"Si tous ceux qui croient avoir raison n'avaient pas tort, la vérité ne serait pas loin" Dac Pierre


Android jyzura - Eugenol
Tavéca

04/05/2014 à 01h12

mac écrivait:
-------------
> Tavéca écrivait:
> ---------------
> > Comment as-tu géré la gencive de laterales?

Pour la gencive une bete gingivectomie.

Et quel(s) critère(s) te permet(tent) de te porter en faveur d'une gingivectomie ou d'une élongation coronaire?


200106 10150128247663588 709988587 6466236 5598391 n d7mksb - Eugenol
hallboy

04/05/2014 à 01h37

Top Job! c'est la photo avec visage et masque qui permet de vraiment le ressentir. Et puis c'est un job " real life " real payment etcetcetc ;)

felicitations.

NB ( c'est pas taquin;) tu as une formation DSD/pouet pouet design/Esthetique ant dans tes cartons de prevue??? si je te demande si tu peux la faire en Corse ou a Marseille j'exagere??;)


de tote façon je pense qu'il va falloir que je reflechisse a differentes choses notament sur l'organisation du cabinet


Logo vuaztn - Eugenol
mac

04/05/2014 à 09h38

bill écrivait:
--------------

> Juste une question : dans ce cas on est quand même loin de la facette
> "pelliculaire", n'aurait-il pas été préférable de faire une couronne complète,
> au moins pour les latérales, la taille n'aurait probablement été guère plus
> importante ?


Effectivement on est loin de la facette pelliculaire mais si tu regardes bien le guide de coupe avant je n'ai quasiment pas taillé, les seules endroit ou j'ai touché la dent c'est parce que c'était carié dessous, il me reste encore beaucoup d'émail sur la face vestibulaire, si tu avais fait une couronne périphérique sans Mock-up en particulier je pense que qu'il serait pas rester grand chose de la dent.

quels seraient les avantages pour toi à faire une couronne vs facettes?


Logo vuaztn - Eugenol
mac

04/05/2014 à 09h42

Tavéca écrivait:
----------------

>
> Et quel(s) critère(s) te permet(tent) de te porter en faveur d'une gingivectomie
> ou d'une élongation coronaire?

en fait ça dépend de ton niveau osseux, il faut qu'entre ta future limite prothètique et ton niveau osseux il te reste un espace biologique , pour simplifier à peu près 3mm ( cf Garguilo 62' ) Donc la comme j'avais trop de gencive due à la palatoposition des dents j'ai juste touché à la gencive.


Logo vuaztn - Eugenol
mac

04/05/2014 à 11h22

pxav écrivait:
--------------
, de plus
> j'aime beaucoup la caractérisation du 1/3 crestal des wax up, qui a disparu sur
> les definitives.


c'est de ça dont tu parles? effectivement la photo de face écrase un peu les details de la dent.

Img 4566 huskia - Eugenol

Android jyzura - Eugenol
Tavéca

04/05/2014 à 11h56

mac écrivait:
-------------
en fait ça dépend de ton niveau osseux, il faut qu'entre ta future limite
> prothètique et ton niveau osseux il te reste un espace biologique , pour
> simplifier à peu près 3mm ( cf Garguilo 62' ) Donc la comme j'avais trop de
> gencive due à la palatoposition des dents j'ai juste touché à la gencive.

Alors comment connais-tu la position de ton os en vestibulaire, et/ou la hauteur de ta gingivectomie sans empiéter sur ton espace biologique?


Grueavatar nptrc9 - Eugenol
Le Choixpeau magique

04/05/2014 à 13h16

Je trouve le résultat "top" et pas du tout "bof".


All star lmwyq8 - Eugenol
saint Desmotome

04/05/2014 à 14h44

Perso je trouve que c'est un très beau travail.
J'ai quelques questions:
- quelle emax pour la chape (translucidité)?
- quelle colle ?
Merci.


Logo vuaztn - Eugenol
mac

04/05/2014 à 20h06

Tavéca écrivait:
----------------
> mac écrivait:
> -------------
> en fait ça dépend de ton niveau osseux, il faut qu'entre ta future limite
> > prothètique et ton niveau osseux il te reste un espace biologique , pour
> > simplifier à peu près 3mm ( cf Garguilo 62' ) Donc la comme j'avais trop de
> > gencive due à la palatoposition des dents j'ai juste touché à la gencive.
>
> Alors comment connais-tu la position de ton os en vestibulaire, et/ou la hauteur
> de ta gingivectomie sans empiéter sur ton espace biologique?


Tu fais une anesthesie et avec une sonde paro tu vas au contact osseux et ainsi tu as ta hauteur de gencive au delà du niveau osseux.


Logo vuaztn - Eugenol
mac

04/05/2014 à 20h07

saint Desmotome écrivait:
-------------------------
> Perso je trouve que c'est un très beau travail.
> J'ai quelques questions:
> - quelle emax pour la chape (translucidité)?
> - quelle colle ?
> Merci.


je pense que c'est du LT et la colle du variolink veneer 0 ( tranparent )


S2y2o1v7q53ws4r5wy6ou8czrpom - Eugenol
pxav

04/05/2014 à 21h54

mac écrivait:
-------------
> pxav écrivait:
> --------------
> , de plus
> > j'aime beaucoup la caractérisation du 1/3 crestal des wax up, qui a disparu
> sur
> > les definitives.
>
>
> c'est de ça dont tu parles? effectivement la photo de face écrase un peu les
> details de la dent.

exactement donc résultat parfait mais photo de face "bof", autant pour moi.
--
xbk
"Si tous ceux qui croient avoir raison n'avaient pas tort, la vérité ne serait pas loin" Dac Pierre


Blue eye thumb medium dx1i0w - Eugenol
bill

25/01/2022 à 17h59

Allez encore un petit cas sympa à remonter.
Dommage que mac aussi ait disparu d'eugénol.


--
https://docudent.fr
Tous les documents du cabinet dentaire
& l'aide à la cotation du Reste à Charge 0
________________________________________


12