Cookie Consent byPrivacyPolicies.comBridge collé 21 - Eugenol
Capture d  cran 2013 02 02   21.02 - Eugenol
gouj-euros

12/05/2014 à 00h25

Bonsoir à tous, pour changer des habituelles discussions sur la CCAM, les nouveaux devis et autres réjouissances je vous propose ce petit cas clinique...
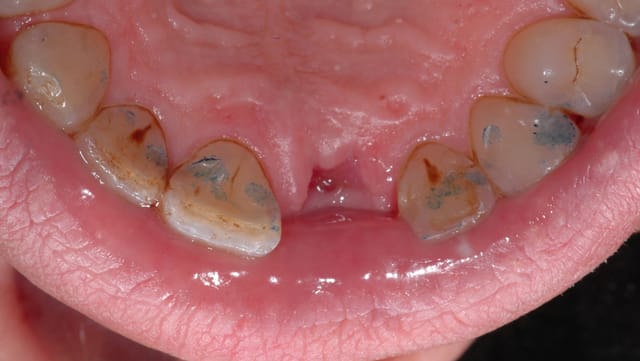
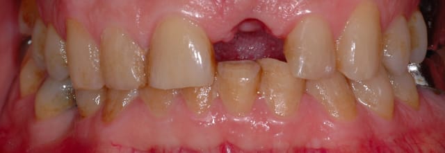
patient d'une 40aine d'années, valve cardiaque, antécédents d'endocardite infectieuse il y a deux mois qui se présente a ma consultation avec une 21 fracturée...
Je lui propose donc un bridge collé sur 21 avec une ailette sur la 11.....ma question: quelles matériaux utiliseriez vous pour ce cas?
J'étais parti à la base sur un classique bridge avec préparation métal collé au Superbond mais la faible hauteur disponible et la petite perte papillaire au niveau mésial de 11 me font craindre de voir par transparence le métal. Je me demandais donc si partir sur une restauration tout céram etait trop risqué ? Les seuls cas que je trouve sont des case reports sans aucun réel recul clinique....alors je me tourne vers vous. CCAM-ement votre merci

Capture d  cran 2014 05 11   22.27 - Eugenol
Capture d  cran 2014 05 11   22.27 - Eugenol

Avatar eugenol pe0ymx - Eugenol
nicklebenou

12/05/2014 à 00h32

gouj-euros écrivait:
--------------------
> Bonsoir à tous, pour changer des habituelles discussions sur la CCAM, les
> nouveaux devis et autres réjouissances je vous propose ce petit cas clinique...
> patient d'une 40aine d'années, valve cardiaque, antécédents d'endocardite
> infectieuse il y a deux mois qui se présente a ma consultation avec une 21
> fracturée...
> Je lui propose donc un bridge collé sur 21 avec une ailette sur la 11.....ma
> question: quelles matériaux utiliseriez vous pour ce cas?
> J'étais parti à la base sur un classique bridge avec préparation métal collé au
> Superbond mais la faible hauteur disponible et la petite perte papillaire au
> niveau mésial de 11 me font craindre de voir par transparence le métal. Je me
> demandais donc si partir sur une restauration tout céram etait trop risqué ? Les
> seuls cas que je trouve sont des case reports sans aucun réel recul
> clinique....alors je me tourne vers vous. CCAM-ement votre merci
Salut à toi. Pour moi je ne.proposerai pas bridge collé. Trop de.contraintes en.occlusal je pense que ça risque de se décoller ou de casser.


Capture d  cran 2013 02 02   21.02 - Eugenol
gouj-euros

12/05/2014 à 00h36

donc pour toi stellite 1 dent? quelle expérience à tu des bridges collés? (je précise que je n'en ai aucune)...la plupart des études que j'ai pu lire montre des taux de succès plutot favorables


zazamouk

12/05/2014 à 02h14

N'oublie pas de la faire et le coter avant le 1er juin!

En CCAM le bridge collé n'existe plus...


Je n'ai pas une grande expérience, mais j'ai du en faire 2 ou 3 en Emax pour des latérales.
Dont un qui tient depuis 3/4 ans, qui avait été fait en "attente" d'implant!


Avatar eugenol pe0ymx - Eugenol
nicklebenou

12/05/2014 à 02h31

Je je dis juste qu une des.contre indications du bridge collé est la contrainte occlusale et vu le peu de hauteur dont on dispose ici il.me.semble très difficile de pouvoir le faire tenir plus de quelques mois. Cela ne peut être qu une solution transitoire.
Ce n est que mon avis. Mais que ceux qui font plus de bridges collés que moi donnent leur avis


Avatar eugenol pe0ymx - Eugenol
nicklebenou

12/05/2014 à 02h34

J ai déjà eu fait qq bridges collés en début de carrière mais je suis plutôt spécialisé en endo. Les seuls échecs que j ai eu étaient dans des cas où l occlusion était défavorable ce qui me.semble être le cas ici..
Donc j ai repris les indications s et contre indications avant d en refaire. Depuis je n ai eu aucun souci sur ceux que j ai fait. Mais comme dit précédemment je ne suis pas un crack de ma prothèse. C est juste que je ne le ferai pas là.


Capture d  cran 2013 02 02   21.02 - Eugenol
gouj-euros

12/05/2014 à 02h36

quels types d'echecs? bridges avec 1 ou 2 ailettes? avec ou sans préparation? Car les études montrent une supériorité nette des bridges cantilever avec preparation


Olieve

12/05/2014 à 09h09

Je suppose aussi que le patient devait avoir un diasteme ( forme de la papille, largeur mésio-distale). Faire un bridge colle impliquerait donc une 21 beaucoup plus large que la 11. Une contre indication de plus.


S2y2o1v7q53ws4r5wy6ou8czrpom - Eugenol
pxav

12/05/2014 à 09h19

Olieve écrivait:
----------------
> Je suppose aussi que le patient devait avoir un diasteme ( forme de la papille,
> largeur mésio-distale). Faire un bridge colle impliquerait donc une 21 beaucoup
> plus large que la 11. Une contre indication de plus.
>

Le cas ne me semble pas non plus indiqué pour un bridge collé, surtout en emax, un implant me semble plus indiqué, ça ne résoudra pas le bruxisme mais sera plus sur.

--
xbk
"Si tous ceux qui croient avoir raison n'avaient pas tort, la vérité ne serait pas loin" Dac Pierre


RépondreCiter
Capture d  cran 2013 02 02   21.02 - Eugenol
gouj-euros

12/05/2014 à 09h44

pxav: valve cardiaque, endocardite infectieuse il y a un mois.....veuillez passez par la case prison

la photo est trompeuse il n'y avait pas de diasteme à la base