Cookie Consent byPrivacyPolicies.comROG per implant stabilisée avec des barres en titane - Eugenol

ROG per implant stabilisée avec des barres en titane

sinclair

28/05/2014 à 12h35

Salut

comme d'autres je voudrais penser à autre chose qu'à la CCAM et à un jour férié foutu à paramétrer JULIE...

donc voilà un petit cas de ROG

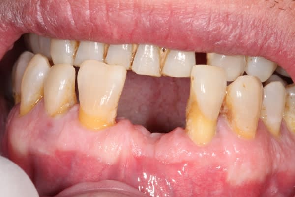
Extraction implantation immédiate mais il y a au moins 7 spires à nue... (photo 1, 2)

dans cette technique un pilier de 2mm de haut est vissé sur l'implant, ce pilier contient un orifice qui permet de transfixer la barre (photo 3,4)

l'espace créé est rempli avec un biomat et le tout est recouvert d'une membrane

pour finir vous avez la 3D post op

3dpreop trkgfm - Eugenol
Barre 2 criirb - Eugenol
Barre 3 zgzig7 - Eugenol
Barre 4 afdjet - Eugenol
Barre 5 bq1ip1 - Eugenol
Barre 6 jdrdiv - Eugenol
3dpostop tkiukd - Eugenol

sinclair

28/05/2014 à 12h38

la suite 6 mois plus tard


photo 3 reconstruction avec le pilier en place

photo 4 vue occlusale de l'implant et de la reconstruction osseuse obtenue

Barre 7 iscey6 - Eugenol
Barre 8 ojw3n6 - Eugenol
Barre 9 qr0l65 - Eugenol
Barre 10 buugb9 - Eugenol

3f3boxni50k58rq7e9ce9ddqrxgk - Eugenol
dentiste57

28/05/2014 à 13h01

cool ! j'aime bien, tu peux donner les réf de cette barre et des implants ?


sagito

28/05/2014 à 13h05

super ,reference pour moi aussi svp


sinclair

28/05/2014 à 13h07

implant: Dentium SuperLine
barre, pilier et vis: Dentium


Android jyzura - Eugenol
Tavéca

28/05/2014 à 13h25

Joli, félicitations.

1 question toutefois:

Le résultat aurait été différent à ton avis sans mainteneur de volume métallique?



S2y2o1v7q53ws4r5wy6ou8czrpom - Eugenol
pxav

28/05/2014 à 13h29

très sympa et surtout reproductible.
merci

--
xbk
"Si tous ceux qui croient avoir raison n'avaient pas tort, la vérité ne serait pas loin" Dac Pierre


sagito

28/05/2014 à 13h53

je pense que c'est plus utile au maintien de la membrane que du biomat non?


sinclair

28/05/2014 à 17h09

Tavéca écrivait:
----------------
> Joli, félicitations.
>
> 1 question toutefois:
>
> Le résultat aurait été différent à ton avis sans mainteneur de volume
> métallique?
>
>
je pense que le résultat serait différent, la barre metallique permet de prévenir l'écrasement du biomat


Capture ddc6bm - Eugenol
sumble

28/05/2014 à 20h42

Merci pour le partage, j'ai un cas qui se rapproche du tien (centrale max + paro). J'attend juillet pour la 3D et voir comment gérer... Très intéressant encore merci.


Icon poker h4nm2d - Eugenol
jeff

28/05/2014 à 20h54

Juste une question : c'est toi qui a fait le cas et tu bosses pour dentium, ou tu as juste repris les photos du site ?

http://www.dentogem.com/node/200

( sans mauvaise intention, ma question, juste parce que cela m'a interpellé de retrouver tes photos sur le site )


albert

28/05/2014 à 21h21

Un cas qui ressemble mais avec un implant qui n'est pas à l'intérieur du boitier osseux mais reconstitution de la paroi vestibulaire après pose d'un implant sur crête mince avec expansion, fissuration de la corticale vestibulaire.
Effondrement tissulaire après extraction et lambeau repositionné coronairement pour essayer de retrouver une papille entre centrale et latérale. La dent de la patiente est recollée.

La technique est bonne pour moi parce que les résultats sont constants en terme de reconstruction horizontale mais pas en verticale.

Img 1513 ri1ukc - Eugenol
Img 1543 jy7ucp - Eugenol
Img 1547 rv3unz - Eugenol
Img 1549 tejxoe - Eugenol
Img 1553 qxi2r1 - Eugenol
Img 1561 bcmzys - Eugenol
Img 1562 jfm5px - Eugenol
Img 1578 ab0za8 - Eugenol
Img 1595 dxbsct - Eugenol

sinclair

28/05/2014 à 22h14

jeff écrivait:
--------------
> Juste une question : c'est toi qui a fait le cas et tu bosses pour dentium, ou
> tu as juste repris les photos du site ?
>
> http://www.dentogem.com/node/200
>
> ( sans mauvaise intention, ma question, juste parce que cela m'a interpellé de
> retrouver tes photos sur le site )

c'est bien moi qui ai fait le cas.(je suis CD)

j'ai d'autre part rédigé le cas clinique qui est sur le site dentogem.com

je fais parti du conseil scientifique de Dentogem


Android jyzura - Eugenol
Tavéca

29/05/2014 à 11h35

albert écrivait:
----------------
> Un cas qui ressemble mais avec un implant qui n'est pas à l'intérieur du boitier
> osseux mais reconstitution de la paroi vestibulaire après pose d'un implant sur
> crête mince avec expansion, fissuration de la corticale vestibulaire.
> Effondrement tissulaire après extraction et lambeau repositionné coronairement
> pour essayer de retrouver une papille entre centrale et latérale. La dent de la
> patiente est recollée.
>
> La technique est bonne pour moi parce que les résultats sont constants en terme
> de reconstruction horizontale mais pas en verticale.

Très joli et très instructif car les papilles c'est toujours difficile.


seb06

29/05/2014 à 19h49

Superbe!!!
Est ce que cela est transposable à d autre systeme implantaire ?


albert

29/05/2014 à 21h19

La bague qui reçoit la vis supérieure de la barre et qui est vissée sur l'implant est spécifique à l'implant. Donc non universel.


sinclair

29/05/2014 à 21h59

très beau cas Albert

j'ai un cas similaire qui cicatrise et puisque que l'on parlait de recouvrement gingival, voilà un cas où j'espère un résultat sympa... en tout cas c'est prometteur

1 et 2 pré op
3 6 semaines après extraction
4,5,6 intervention avec pilier et barre titane
7 3 semaines post chir à la dépose des points

Sassier ahis2r - Eugenol
Sassier 1 kgytgh - Eugenol
Sassier 3 p0w82b - Eugenol
Sassier 4 x6vmqw - Eugenol
Sassier 5 zpxwo9 - Eugenol
Sassier2 npsjok - Eugenol
Sassier 6 kwboq7 - Eugenol

Icon poker h4nm2d - Eugenol
jeff

29/05/2014 à 22h07

seb06 écrivait:
---------------
> Superbe!!!
> Est ce que cela est transposable à d autre systeme implantaire ?


Je me pose la question par rapport à euroteknika. En utilisant un pilier plural de 2mm, avec la vis qui va dessus, je pense que l'on doit pouvoir faire la même chose. La vis sera peut être trop haute, avec risque d'exposition, par contre.


sinclair

29/05/2014 à 22h11

Concernant la compatibilité de ces pièces

Ces piliers ne sont pas indexés et ils ont un cone de 11degre qui est le même que ASTRA Lillac
De fait il doit y avoir certains implants Eutoteknika compatible


Icon poker h4nm2d - Eugenol
jeff

07/06/2014 à 13h39

pilier commandé, puisque tu me dis que compatible astra.

Toujours satisfait de tes cas avec ostéon ?


Photo pluton1b h9n4ea - Eugenol
pluton

07/06/2014 à 16h10

jeff écrivait:
--------------
> pilier commandé, puisque tu me dis que compatible astra.

oui mais avec plateforme lila!!! plus grosse que la plateforme océan qui est maintenant généralisée sur la gamme Eurotek...

çà veut dire que tu ne pourras donc pas les visser sur tes Naturactis!!!

enfin , je dis çà, je dis rien...tu as peut être encore en en stock des implants de chez eux utilisant la plateforme lila...


Icon poker h4nm2d - Eugenol
jeff

09/06/2014 à 12h39

arf !

j'ai eu un doute, puis en voyant les vis de cica dentogem, j'ai vraiment trouvé la vis tres fine, comme les euroteknika.

on verra bien, j'en ouvrirai un, et sinon, j'espere pouvoir faire un retour et un avoir .


Blason dql7mj - Eugenol
growler

09/06/2014 à 15h08

n'ouvre même pas, comme le précise pluton ce n'est pas compatible avec le pas de la vis de la gamme ocean (naturall +, naturactis...) mais uniquement gamme connexion Lilas

Mais on demanderait bien à Dentogem de faire fabriquer la même chose pour la connexion ocean ?


Photo pluton1b h9n4ea - Eugenol
pluton

09/06/2014 à 16h17

growler écrivait:
-----------------
> n'ouvre même pas, comme le précise pluton ce n'est pas compatible avec le pas de
> la vis de la gamme ocean (naturall +, naturactis...) mais uniquement gamme
> connexion Lilas
>
> Mais on demanderait bien à Dentogem de faire fabriquer la même chose pour la
> connexion ocean ?

oui, çà serait cool....;-)

et puis en même temps les vis de cicat spécifiques dissymétriques pour incisive, prémo et molaires...çà serait top...;-)


sinclair

09/06/2014 à 17h09

growler écrivait:
-----------------
> n'ouvre même pas, comme le précise pluton ce n'est pas compatible avec le pas de
> la vis de la gamme ocean (naturall +, naturactis...) mais uniquement gamme
> connexion Lilas
>
> Mais on demanderait bien à Dentogem de faire fabriquer la même chose pour la
> connexion ocean ?

Le plus simple est de poser dans certains cas un Astra Lilac ou encore mieux un DENTIUM SuperLine


12