Cookie Consent byPrivacyPolicies.comUn spe endodontie, SVP - Eugenol

Un spe endodontie, SVP

Avatar2 u3u8yh - Eugenol
riccyman

02/06/2014 à 15h35

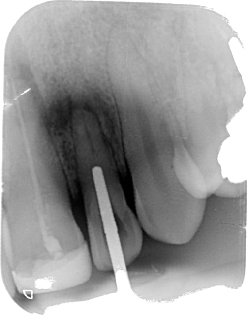
Patient sans ATCD.

Dent nécrosée depuis de nombreuses années. granulome étendu. 11 a retraiter aussi. puis résection apicale à envisager.

Ouverture camérale tendue. J'ai pris sur moi d'y aller.

Ça partait bien et puis le dernier coup de fraise flamme a fait la perfo.

Y a t il quelqu'un qui pense qu'il aurait réussi à choper la chambre à coup sûr ?

J'adresse ou j'insiste ?

Sc1 g5fs8h - Eugenol
Sc2 kirsc1 - Eugenol
Sc3 cdgn10 - Eugenol
Sc4 zae7jg - Eugenol
Sc5 dbvqip - Eugenol

Avatar eugenol pe0ymx - Eugenol
nicklebenou

02/06/2014 à 16h22

riccyman écrivait:
------------------
> Patient sans ATCD.
>
> Dent nécrosée depuis de nombreuses années. granulome étendue. 11 a retraiter
> aussi. puis résection apicale à envisager.
>
> Ouverture camérale tendue. J'ai pris sur moi d'y aller.
>
> Ça partait bien et puis le dernier coup de fraise flamme a fait la perfo.
>
> Y a t il quelqu'un qui pense qu'il aurait réussi à choper la chambre a coup sûr
> ?
>
> J'adresse ou j'insiste ?
>
Salut à toi: traitement difficile si pas d'aide optique (voir microscope je n'y serai pas allé) même avec limes 06 de cathé et 3 tonnes d'edta traitement compliqué. Je serai toi j'adresserai.
Bon courage


PopHip

02/06/2014 à 16h23

le problème ca va être la suite: racine courte et maintenant fragilisée par une fraise trop grosse...


Jack 2 wm3tqs - Eugenol
trepo

02/06/2014 à 16h40

En même temps avec la CCAM, tu peux dégager la 22, et deglinguer la 23 pour bridger ... Merki. Allez je sors.


Avatar2 u3u8yh - Eugenol
riccyman

02/06/2014 à 17h31

Un endo dans la région des pays de la loire qui pourrait faire ce traitement et obturer la perfo ?


Avatar2 u3u8yh - Eugenol
riccyman

02/06/2014 à 17h46

PopHip écrivait:
----------------
> le problème ca va être la suite: racine courte et maintenant fragilisée par une
> fraise trop grosse...

Pas plus grosse qu'un tenon...


Avatar eugenol pe0ymx - Eugenol
nicklebenou

02/06/2014 à 17h58

désolé moi je suis dans le sud je peux pas t'aider


le figou

02/06/2014 à 19h54

riccyman écrivait:
------------------
> Patient sans ATCD.
>
> Dent nécrosée depuis de nombreuses années. granulome étendu. 11 a retraiter
> aussi. puis résection apicale à envisager.
>
> Ouverture camérale tendue. J'ai pris sur moi d'y aller.
>
> Ça partait bien et puis le dernier coup de fraise flamme a fait la perfo.
>
> Y a t il quelqu'un qui pense qu'il aurait réussi à choper la chambre à coup sûr
> ?
>
> J'adresse ou j'insiste ?

bon cas pour la réflexion et le choix du traitement classique versus endo à rétro sachant que dans ce cas le complément chir est probable.ça ne répond pas à ta question mais perso je n'aurais pas tenté la voie naturelle parce que au plus ça va au plus j'ai peur de faire de l'endo.


ti

02/06/2014 à 20h30

Salut,

2 petites remarques.
Il aurait été mieux d'avoir un conebeam petit champ pour voir le canal.
Deuxièmement il fallait te poser la question avant à savoir suis je capable avec mes moyens de réaliser ce traitement au mieux pour mon patient ?
Maintenant la perforation complique les chances de conservation de la dent sur l'arcade au vue de sa petite taille (rapport couronne/racine)
Bon courage et la prochaine fois n'y va pas et adresse de suite.


WeCriGo

03/06/2014 à 03h00

Je ne me lancerais pas dans une chir endo, vu la longueur très faible déjà de la racine, il ne te restera pas un rapport couronne/racine suffisant pour conserver la dent par la suite.

Personnellement, je procéderais comme suit :

1 - Reintervenir VITE car plus la perfo est ancienne plus les chances diminuent
2 - Ne pas te lancer sans au minimum loupe x2.8
3 - Recupéré le canal qui certes est bas, mais bien visible à la RA
4 - Faire ta mise en forme
5 - Soit tu est sous microscope et tu obture la perfo au MTA, mais en omniprat, avec une perfo aussi apical et inaccessible pour des cas ou le davier est si proche, je suis plutôt partisant de l'irrigation +++ et d'obturer totalement le système endocanalaire à la biodentine (tu met un stop sur tes fouloirs et tu met 6 gouttes de liquide à la place de 5). Tu préviens le patient que c'est la derniere chance de la dent (un sauvetage), qu'il n'y a plus de réintervention possible, mais les résultats sont impressionnant en procédant ainsi