Cookie Consent byPrivacyPolicies.comCAT suite traumatisme 11 - Eugenol

CAT suite traumatisme 11

Ulysse 31 nono le petit robot tjdbmb - Eugenol
ptitrobot

02/06/2014 à 18h10

Bonjour à tous,

- Enfant de 6 et demi ans,
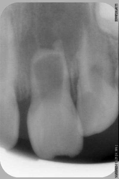
- Choc suite chute en vélo il y a environ 6 mois
- A consulté un confrère qui a conseillé d'attendre et surveillance, mais pas de contrôle car changement de région.
- Visiblement ce qui a alerté les patients c'est la position de la dent ..
- Percussion négative mais pas (?) ou peu de réaction aux tests thermiques
- radios en pièce jointe

CAT ?

Merci et bonne journée

046 cbih4y - Eugenol
048 y2twto - Eugenol
051 zklqgv - Eugenol
052 bsg9vt - Eugenol
001 w69eaq - Eugenol
002 ojenib - Eugenol
003 x8xg4e - Eugenol

Darmon - Eugenol
Latin

02/06/2014 à 20h38

Si aujourd'hui la dent est en malposition c'est sans doute à cause de l'interposition de la lèvre inférieure. Le centre de résistance de la 21 étant positionné plus coronairement, la 21 offre moins de résistance à la version corono-vestibulaire que la 11, d'où l'asymétrie avec 11.

Ma proposition pour la CAT :

Objectif immédiat :
- Déterminer par cone beam l'intégrité des parois radiculaires (Y-a-t-il une communication endo paro ou non?)
- Essayer de conserver ce qui reste de la racine par un ttt CaOH ou obturation radiculaire à la biodentine ou au MTA blanc?


Les objectifs à court/moyen terme :
- stopper ce qui est vraisemblablement une résorption inflammatoire (faut pas trainer!)
- maintenir l'espace de la 21 (par la 21!)
- maintenir de l'os pour plus tard.

Les objectifs à moyen/long terme, au choix :
- Implant en 21
- Fermeture d'espace et implant plus en postérieur (étape ortho plus complexe, mais évolution sur le long terme meilleure si l'implant n'est pas en 21 mais en 24 par exemple)
- Soyons fous, si la nécessité d'extraction de prémolaires se présentait, pourquoi pas tenter une auto-transplantation? Les résultats semblent meilleurs avec des prémolaires immatures.


Darmon - Eugenol
Latin

02/06/2014 à 21h09

Je me permets de remettre les photos de ptitrobot, on les voit mieux comme ça!

001 xvkj3c - Eugenol
002 mxwfsy - Eugenol
003 lwyhnz - Eugenol
046 v9perv - Eugenol
048 zlre7n - Eugenol
051 iw5zlu - Eugenol
052 szdpyy - Eugenol

Ulysse 31 nono le petit robot tjdbmb - Eugenol
ptitrobot

02/06/2014 à 21h23

Latin écrivait:
---------------
> Je me permets de remettre les photos de ptitrobot, on les voit mieux comme ça!

Merci !!!

Mais pourquoi ça marche mieux avec toi !! ?


Darmon - Eugenol
Latin

02/06/2014 à 22h15

J'ai formaté les photos en JPG, c'est peut-être pour ça...

Édit : tu vois ça marche!


Darmon - Eugenol
Latin

03/06/2014 à 10h49

J´ai oublié : Clairement ici l'abstention n'est pas une option valable. Ne rien faire c'est condamner la dent à court/moyen terme et des problèmes esthétiques et occlusaux à gérer en plus.
Lever le problème d'interposition de la lèvre inférieure pourrait diminuer les contraintes sur cette dent.
Il y a aussi un problème d'articulé inversé à droite, non?


Image odged8 - Eugenol
ploc

13/06/2014 à 01h55

http://www.eugenol.com/sujets/207109-help-sos-a-pedo-implanto-et-xxx-de-bon-conseil?page=1

un lien qui peut répondre en partie a ta question
sachant que c'est du palliatif ponctuel et qu'a terme ce sera implant ds nos données actuelles de la science(prévenir les parents)
mais sais t'on jamais...regeneration pulpaire?