Cookie Consent byPrivacyPolicies.comtraitement endo réussi - Eugenol

traitement endo réussi

gfgjffghfghffghfghfghfh

04/06/2014 à 22h51

bjr


G-P

04/06/2014 à 23h25

Et c'est reparti...


pointG

05/06/2014 à 01h43

emprunté à un TP Serge Bal endodontique 2007
D'après Laurichesse;la finalité de tout traitement endo est
de conserver sur l'arcade la dent dépulpée dans un état sain et fonctionnel(1986)

Standards de qualité endo ANDEM 1996
signes radios:espace desmodontal inf à 1mm
pas d'image apicale
lamina dura normal
pas de résorption apparente
obturation dense confinée à l'espace endo et
semblant atteindre la jonction cémento dentinaire(à un mm
de l'apex anatomique environ)

signes cliniques:percussion et palpation OK

mobilité physiologique
pas de fistule
dent fonctionnelle
pas d'infection ou de tuméfaction

pas de signes subjectifs d'inconfort


autrement quand je fais un RTE avec lésion apicale visible à la radio je me laisse environ 6 mois pour le contrôle de guérison


Capture d  cran 2015 03 12 12.28 - Eugenol
chicot29

11/06/2014 à 15h05

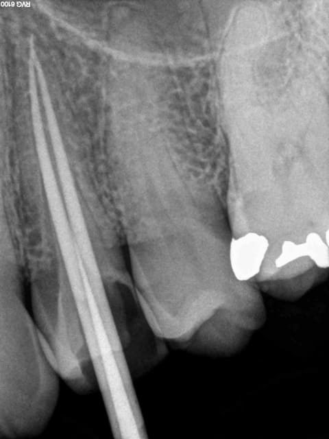
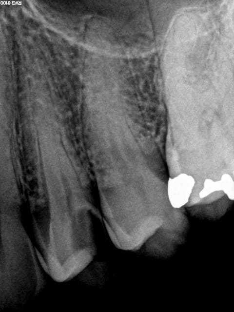
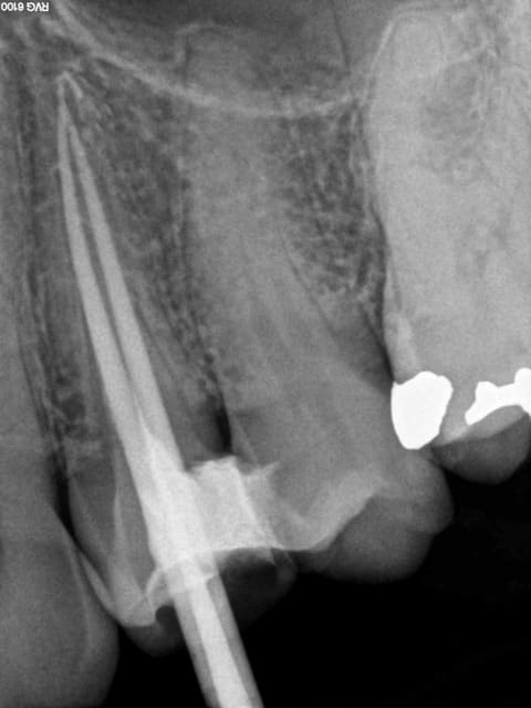
C'est un traitement conforme aux recommandations de la HAS. Celui ci n'est pas conforme : pourquoi ?
Et pourtant obturation à l'apex, thermo-compaction.

R40 hzdq3z - Eugenol
Endo tokzx2 - Eugenol
R41 i64721 - Eugenol
R42 qpnweo - Eugenol
R44 iooua8 - Eugenol
S1 ukev7q - Eugenol

Gaudi parc guell lezard  ntokms - Eugenol
lezard

11/06/2014 à 15h21

Il est au tarif secu ?? Sans digue .

--
« Dieu se rit des hommes qui chérissent les causes dont ils déplorent les effets. » Bossuet.


P2eqdh3csim6s7nb09ktdq3e7ev8 - Eugenol
barbabapat

11/06/2014 à 15h26

chicot29 écrivait:
------------------
> C'est un traitement conforme aux recommandations de la HAS. Celui ci n'est pas
> conforme : pourquoi ?
> Et pourtant obturation à l'apex, thermo-compaction.


Si on parle d'expertise medicale seule, il y a perte de chance par la non mise en place de la digue qui à elle seule entraine la responsabilité du praticien.


Capture d  cran 2015 03 12 12.28 - Eugenol
chicot29

11/06/2014 à 16h06

+ pas de reconstitution préendo.-)))


Capture d  cran 2015 03 12 12.28 - Eugenol
chicot29

11/06/2014 à 16h09

barbabapat écrivait:
--------------------

> Si on parle d'expertise medicale seule, il y a perte de chance par la non mise
> en place de la digue qui à elle seule entraine la responsabilité du praticien.

La perte de chance c'est d'être obligé de cotiser à la sécu, en effet vu les tarifs imposés aux professionnels de santé il n'est pas possible d'obtenir le top du top avec des tarifs de merde. Mais on peut voir pire que cette endo je pense, là on est déjà dans le très haut du panier.-))))


paradoxe

11/06/2014 à 16h52

chicot29 écrivait:
------------------
> La perte de chance c'est les
> tarifs imposés aux professionnels de santé il n'est pas possible d'obtenir le
> top du top avec des tarifs de merde.

Il est bien ce chicot là.. il faut le garder.


P2eqdh3csim6s7nb09ktdq3e7ev8 - Eugenol
barbabapat

11/06/2014 à 17h02

chicot29 écrivait:
------------------
> barbabapat écrivait:
> --------------------
>
> > Si on parle d'expertise medicale seule, il y a perte de chance par la non mise
> > en place de la digue qui à elle seule entraine la responsabilité du praticien.
>
> La perte de chance c'est d'être obligé de cotiser à la sécu, en effet vu les
> tarifs imposés aux professionnels de santé il n'est pas possible d'obtenir le
> top du top avec des tarifs de merde. Mais on peut voir pire que cette endo je
> pense, là on est déjà dans le très haut du panier.-))))

C'est bien pour cela que je me met au niveau de l'expertise medicale seule.
Après un expert pourra argumenter que la reconstruction préendo n'est pas necessaire pour obtenir une étanchéité de la digue et une stabilité de la digue.

Le traitement est bien réalisé, il est sous payé et en plus on pourrait remettre en cause le rôle de l'obturation préendo en NPC.


Capture d  cran 2015 03 12 12.28 - Eugenol
chicot29

12/06/2014 à 09h54

Ce qui est pratique dans ce pays c'est que tous les actes sont attaquables par un avocat : ici j'ai la tracabilité de sté mais pas de tracabilité sur les matériaux utilisés.-)))
J'aurais du faire avocat.
Au fait quelqu'un peut il m'expliquer pourquoi n'y a t'il pas de codes barre sur le consommable utilisé en dentaire ? Car sans codes barre pas de tracabilité possible.


P2eqdh3csim6s7nb09ktdq3e7ev8 - Eugenol
barbabapat

12/06/2014 à 10h16

Le problèmes c'est que ton code barre doit être liée a une base de donnée qui aujourd'hui est celle du fabricant et que tu dois toi même refaire au niveau de ton informatique.

Tu as enfin des codes sans contact comme pour les moyens de paiement qui permettent de rentrer plus d'informations mais là aussi se pose la question de la base de donnée. Ou on passe par des systèmes comme les QR codes qui revoient sur un lien internet.


Utilisateur banni

12/06/2014 à 13h33

T'as économisé une feuille de caoutchouc et c'est tout à ton honneur.

Y-en a d'autres qui ajoutent 10 cts sur l'inlay-core et 10 cts sur la couronne.


paradoxe

12/06/2014 à 13h42

chicot29 écrivait:
> J'aurais du faire avocat.
Impossible.
Tu es incapable de mentir / trahir / manigancer / surfacturer.
Quand on lit ta prose, on te soupçonne même d'être honnête et philantrope.
La tehon totale quoi.
LOL


Index vakr2r - Eugenol
pgc

12/06/2014 à 13h51

kssimo écrivait:
----------------
> bjr
> une petite queston qui me prend la tete
> apres combien de temps peut on juger que notre traitemnt endodontique a réussi
> ??,
> merci d'avance
>

Après que le patient s'est acquitté de tes honoraires, t'a tendu sa carte vitale et a signé un devis pour la couronne ou l'inlay qui s'en suit.
J'ai bon?


P2eqdh3csim6s7nb09ktdq3e7ev8 - Eugenol
barbabapat

12/06/2014 à 15h13

neb écrivait:
-------------
> T'as économisé une feuille de caoutchouc et c'est tout à ton honneur.
>
> Y-en a d'autres qui ajoutent 10 cts sur l'inlay-core et 10 cts sur la couronne.

http://www.lequotidiendumedecin.fr/actualite/exercice/le-recours-amiable-prefere-la-voie-judiciaire

Le probléme, c'est pas la digue, c'est la perte de chance qu'elle induit et ce pour pas mal d'actes. Et en contentieux à l'amiable, c'est fatal.

Là où la reconstruction pré endo, n'est utilisable qu'en endo, peut être injustifiée et posera la question de l'eventuelle surfacturation de l'acte, la pose de la digue est bcp plus interessante.

Si le patient la refuse, c'est lui qui est responsable de la perte de chance, elle n'est pas utilisable que pour l'endo mais aussi pour l'ensemble des soins et un expert ne viendra pas justifier sa non utilisation.

Là dessus, les negociateurs ont été au dessous de tout.


Utilisateur banni

12/06/2014 à 15h52

Tu devrais partir en vacances avec yobi, vous raisonnez de la même façon.


Index vakr2r - Eugenol
pgc

12/06/2014 à 16h26

barbabapat écrivait:
--------------------
> ...
> elle n'est pas utilisable que pour l'endo mais aussi pour l'ensemble des soins
> et un expert ne viendra pas justifier sa non utilisation.
>...

Waou. On peut donc réfuter 75% (ou 90?) des actes de dentisterie simples. C'est chaud!

Plus sérieusement: on posera la digue pour de petits soins quand on sera payés pour. En attendant, on ne peut pas avoir le caviar pour le prix des oeufs de lump. La dentisterie est payée au lance-pierre, pour le peu qu'on nous donne je trouve que déjà on fait des miracles. Pour ceux qui trouvent que l'état bucco-dentaire de nos concitoyens est déplorable:
- c'est vrai dans certains cas
- les Français ne prennent pas soin de leurs dents et ne sont pas incités à le faire. Les Français sont des crados qui utilisent une BAD/personne/an
- ça été bien pire. D'accord, il n'y a pas de quoi être fiers. Mais on ne reverra plus les pano qu'on voyait jusque dans les années 90. Compte tenu du contexte je pense pouvoir dire qu'on a fait des progrès, avec, ou sans digue.


Index vakr2r - Eugenol
pgc

12/06/2014 à 16h28

Quand je fais 8 ou 10 apports de composite sur une cavité occlusale qui m'est payée 17 €, je trouve que de mon côté le contrat est rempli. Celui qui me fera chier parce que je n'ai pas posé la digue pour cet acte, je l'attends de pied ferme.


P2eqdh3csim6s7nb09ktdq3e7ev8 - Eugenol
barbabapat

12/06/2014 à 19h22

pgc écrivait:
-------------
> barbabapat écrivait:
> --------------------
> > ...
> > elle n'est pas utilisable que pour l'endo mais aussi pour l'ensemble des soins
> > et un expert ne viendra pas justifier sa non utilisation.
> >...
>
> Waou. On peut donc réfuter 75% (ou 90?) des actes de dentisterie simples. C'est
> chaud!
>
> Plus sérieusement: on posera la digue pour de petits soins quand on sera payés
> pour. En attendant, on ne peut pas avoir le caviar pour le prix des oeufs de
> lump. La dentisterie est payée au lance-pierre, pour le peu qu'on nous donne je
> trouve que déjà on fait des miracles. Pour ceux qui trouvent que l'état
> bucco-dentaire de nos concitoyens est déplorable:
> - c'est vrai dans certains cas
> - les Français ne prennent pas soin de leurs dents et ne sont pas incités à le
> faire. Les Français sont des crados qui utilisent une BAD/personne/an
> - ça été bien pire. D'accord, il n'y a pas de quoi être fiers. Mais on ne
> reverra plus les pano qu'on voyait jusque dans les années 90. Compte tenu du
> contexte je pense pouvoir dire qu'on a fait des progrès, avec, ou sans digue.


Aucun expert refusera la pose de la digue même pour un acte ou il ne serait pas totalement nécessaire. Par contre l'obturation pré endo peut elle ne pas être justifiée techniquement.

Non, on peut faire les actes d'oc et d'endo sans digue. Par contre on ne pourra invoquer l'aléa thérapeutique. Et comme un assureur raisonne en coût de litige, il préférera une mauvaise médiation à un procès plus cher si il ne peut invoquer l'aléa thérapeutique.


Kon nx3ojp - Eugenol
Kon

12/06/2014 à 19h33

quand on se fait chier à faire 8/10 apports de composite c'est là que la question de la digue apparait comme primordiale je dirai.
Histoire d'être cohérent avec l'effort fourni


Index vakr2r - Eugenol
pgc

12/06/2014 à 22h14

barbabapat écrivait:
--------------------
>
> Non, on peut faire les actes d'oc et d'endo sans digue. Par contre on ne pourra
> invoquer l'aléa thérapeutique. Et comme un assureur raisonne en coût de litige,
> il préférera une mauvaise médiation à un procès plus cher si il ne peut invoquer
> l'aléa thérapeutique.

Je t'en ficherai, moi, de l'alea thérapeutique pour 17 €.


Index vakr2r - Eugenol
pgc

12/06/2014 à 22h17

Kon écrivait:
-------------
> quand on se fait chier à faire 8/10 apports de composite c'est là que la
> question de la digue apparait comme primordiale je dirai.
> Histoire d'être cohérent avec l'effort fourni

Ce n'est pas faux.
Je songe à utiliser des grosses cartouches de compo et un bon vieux fouloir au lieu de mes petites compules de fourmi et mes petites spatules d'horloger.
De toute façon, pour le patient, c'est blanc ou c'est noir. Nos petites manies de dentistes obsessionnels ne les fascinent pas.


P2eqdh3csim6s7nb09ktdq3e7ev8 - Eugenol
barbabapat

13/06/2014 à 01h33

pgc écrivait:
-------------
> barbabapat écrivait:
> --------------------
> >
> > Non, on peut faire les actes d'oc et d'endo sans digue. Par contre on ne
> pourra
> > invoquer l'aléa thérapeutique. Et comme un assureur raisonne en coût de
> litige,
> > il préférera une mauvaise médiation à un procès plus cher si il ne peut
> invoquer
> > l'aléa thérapeutique.
>
> Je t'en ficherai, moi, de l'alea thérapeutique pour 17 €.

L'aléa thérapeutique, c'est que c'est pas ta faute donc pas à ta rcp de payer. Le problème, c'est que la digue est un point important pour juger ce point et entraîner au final un règlement à l'amiable.

C'est pour cela que j'aurai préféré le NPC sur la digue plutôt que sur la reconstruction pré endo. C'est un acte que l'on pourrait faire payer alors bcp plus souvent et qui si il est refusé par le patient alors préserve notre responsabilité en impliquant la responsabilité du patient.

On se fait niquer aujourd'hui avec la digue. Et au final on le paye dans nos cotisations de rcp car cela engage notre responsabilité et nous permet pas de bénéficier du régime protecteur de l'aléa thérapeutique ou il n'y a pas de responsable.


Utilisateur banni

13/06/2014 à 09h38

Les patients qui refusent la digue sont légion. Peut être un tous les trois ans. Et encore je pense que c'est moins que ça. Faudra surtout pas oublier de faire une loi pour ça.

On en profitera pour parler également des nombreux patients qui ne veulent pas ouvrir la bouche. et de ceux qui ne montent pas à l'étage à cause du vertige.

J'espère que yobi n'a pas déjà réservé ses vacances.


12