Cookie Consent byPrivacyPolicies.comimage radio opaque - Eugenol

image radio opaque

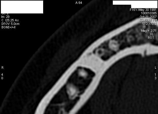
DessansN.

05/06/2014 à 11h31

bonjour,
auriez-vous une idée de ce que c'est et quelle conduite à tenir?
pas de signe clinique, découvert a la radio.


Pour ma part, je pensais à un cémentome...cat?

merci pour vos réponses

Capture d  cran 2014 06 05   09.28 - Eugenol

Images mg2jvu - Eugenol
zorg

05/06/2014 à 13h43

A priori, vu la densité, une traversée d'os cortical. Rien de spécial à faire. Exemple en pièce jointe. Refaire une radio dans 1 an pour le principe.

Corticale2 gt3604 - Eugenol
Corticale1 tfvxho - Eugenol

DessansN.

06/06/2014 à 18h58

donc je surveille...

merci de la reponse.