Cookie Consent byPrivacyPolicies.comla cata - Eugenol

la cata

n.

10/06/2014 à 23h58

mon plus gros problème à gérer en 15ans est arrivé aujourd'hui

lors d'un contrôle de routine d'une prothèse sur pilotis provisoire à 3mois post op, j'ai constaté une mobilité quasi imperceptible de la prothèse.
en dévissant , catastrophe : 4 implants mobiles sur les 6

debut mars, je pose 6 implants à un patient au maxillaire (en 16 15 13 22 24 26) implants 3I
stab primaire entre 30 et 50 Nm

Je fais l'empreinte et rim dans la foulée
le soir je pose une prothèse résine de 12 dents réalisée en cfao.
suites post op imédiates idéales : aucune douleur, patient confortable.

à 1 Mois et demi, le patient appelle, il trouve que sa prothèse bouge mais n'a aucune douleur;
je balise, je le convoque et dépose la prothèse : surprise c'est le collage des futs titane dans l'intrados de la prothèse qui est défaillant tous les futs sont désolidarisés ;
appel au prothésiste qui les recolle en urgence après avoir créé des rétentions mécaniques

controle des implants : aucune mobilité : ouf (je n'y crois meme pas), je repose la prothèse réparée, parfaitement passive (vissage direct a fond des vis)
contole radio ok

à 2mois controle ok pas de mobilité, patient satisfait, je commence à prendre confiance

aujourd'hui le patient vient détendu, je ne suis pas non plus inquiet,
dommage

j'ai déposé le pilotis et replacé la pat que j'avais réalisé pour la planification du cas

vos commentaires conseils et procédures sont les bienvenus

merci a vous


Photo pluton1b h9n4ea - Eugenol
pluton

11/06/2014 à 00h56

oups...
désolé, mais çà peut arriver...

quelques remarques quand même, ou plutôt des pistes de réflexion

1/ au maxillaire pour une MCI je fais toujours mon possible pour avoir 8 implants et non 6...

2/ tu as eu un premier signe d'alerte: le descellement des piliers prov dans l'intrados: ton patient ne devais pas suivre les recommandations d'une alimentation molle pendant les 3/4 premiers mois...

bilan, amha il a repris de plus belle après la rep et a tout flingué puisqu'il n'y avais plus de "fusible"...

3/ il y a plus efficace en terme de design implantaire que celui adopté par 3i pour assurer une bonne stab primaire...c'est pas les marques offrant ce type d'implant prévu pour les EII et MCI qui manquent actuellement sur le marché...vu que le concept au moins d'EII se développe pour ne pas dire s'impose aujourd'hui pour préserver au maximum l'architecture gingivale et optimiser l'esthétique...

je ne sais pas si 30 à 50Ncm sont de bonnes valeurs pour les 3i, et même si dans la littérature on annonce 35Ncm mini pour envisager une MCI, pour moi c'est pas assez...au minimum l'implant doit bloquer au moteur à 50Ncm et je termine ensuite l'insertion à la clef...donc je dois être facile à 60/70 Ncm pour pas dire encore bien plus avec certains systèmes...

bon courage pour la suite, c'est bien chiant à gérer d'autant plus que tu es bien obligé d'y retourner pour rééquiper ton patient...


G-P

11/06/2014 à 01h13

Assez d'accord avec la remarque de Pluton sur le couple léger pour une MCI, amha, par contre 6 implants au maxillaire c'est sans problème.
N'oublie pas de te faire échanger tes implants par 3i ;)


Photo pluton1b h9n4ea - Eugenol
pluton

11/06/2014 à 02h01

G-P écrivait:
-------------

> amha, par contre 6 implants au maxillaire c'est sans problème.


j'ai pas dit que 6 posait des problèmes...j'ai juste dis que dans la mesure du possible au maxillaire je préférais partir pour une MCI sur une solution à 8 implants...parce que si tu en perds 1 ou 2 tu peux gérer...et si tu en perds plus au pire tu finis avec 4 locators (ou similaire) et une prothèse stabilisée déjà pas mal évidée...et finalement assez proche de ce qui est recherché au niveau confort par le patient...
si tu parts sur 6 et que tu en perds comme ici....bein, c'est la merde...


bf

11/06/2014 à 10h09

si pas d'armature métal , léger flex du bridge qui a tout dézingué

malheureusement il faut y retourner avec une "poutre" métal
bon courage


malaire

11/06/2014 à 12h04

Peut-être aussi un problème d'occlusion: le fait que les piliers provisoires se soient désolidarisé de la résine montre qu'il y a eu surcharge avec des mouvements latéraux.
En plus, un patient qui n'a pas pu manger d'aliments consistants depuis plusieurs années a certainement tendance à y aller franco tout de suite même si on lui a dit d'y aller mollo.
Ce sont les implants postérieurs qui ont chié ou c'est plutôt unilatéral ?

ça arrive ... c'est con quand ça nous tombe dessus.


n.

11/06/2014 à 14h28

bonjour merci pour vos remarques
concernant la marque des implants 3i est une des marques les plus anciennes
beaucoup de oublis et cas cliniques sur la mci
concernant le design , les implants coniques ont une très bonne Stab primaire
( très souvent entre 50 et 60 Nm ), il me semble avoir entendu Frédéric chiche préciser que le torque idéal se situait plutôt vers 35 Nm pour éviter une compression trop forte de l'os
c était une conf sur la MCI

Concernant le décollement des piliers je pense qu'il résulte plutôt d'un phénomène de percolation avec la salive , je pense que la perte de la rigidité de la prothèse et les micro mouvements que les implants ont du subir ( au pire moment 1mois post op) ont initié la perte d'intégration .
Toutefois avant de reposer la prothèse réparée, j'ai vérifié que les implants étaient Stables

Quel protocole adopteriez vous dans ce cas
dépose de imp et repose simultanée si possible ou au contraire différée ?


Photo pluton1b h9n4ea - Eugenol
pluton

11/06/2014 à 15h26

n. écrivait:
------------
> bonjour merci pour vos remarques
> concernant la marque des implants 3i est une des marques les plus anciennes
> beaucoup de oublis et cas cliniques sur la mci

comme beaucoup....
> concernant le design , les implants coniques ont une très bonne Stab primaire
> ( très souvent entre 50 et 60 Nm ), il me semble avoir entendu Frédéric chiche
> préciser que le torque idéal se situait plutôt vers 35 Nm pour éviter une
> compression trop forte de l'os
> c était une conf sur la MCI

Ncm...et pas Nm....50Nm c'est à peu près la moitié du couple d'un moteur de citadine...;-)...c'est beaucoup trop...

le problème, c'est que l'incidence du couple de serrage sur l'os est aussi design implantaire dépendant...et donc que cette valeur "cible" des publis à 35Ncm est une erreur car c'est un non sens mécanique...
50Ncm sur certains implants c'est trop, et sur d'autres c'est ridicule...un interactive ID en 4.3mm de diamètre encaisse sans broncher et sans aucune incidence osseuse un couple de serrage de 126Ncm....voir plus (mais là faut déposer le porte implant et se reprendre dans le col...) et en 3mm de diamètre 96Ncm...(en plus c'est prévu avec une pièce sur le porte implant qui cède à ces valeurs)
>
> Concernant le décollement des piliers je pense qu'il résulte plutôt d'un
> phénomène de percolation avec la salive , je pense que la perte de la rigidité
> de la prothèse et les micro mouvements que les implants ont du subir ( au pire
> moment 1mois post op) ont initié la perte d'intégration .
> Toutefois avant de reposer la prothèse réparée, j'ai vérifié que les implants
> étaient Stables

pas convaincu du tout par çà....

>
> Quel protocole adopteriez vous dans ce cas
> dépose de imp et repose simultanée si possible ou au contraire différée ?

perso je ferais en différé de 6/8 semaines...mais bon on a pas d'images donc difficile de dire...


n.

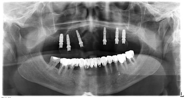
11/06/2014 à 17h59

ci joint les panos du cas
j'envoie une ou 2 photos de la proth
des que j'ai 5 min

Pilo 01 qu2ktm - Eugenol
Pilo2 qjmjii - Eugenol

G-P

11/06/2014 à 18h44

C'est lesquels que tu as perdu ?


n.

11/06/2014 à 20h48

De 16 a 23
je trouvais les axes et la répartition êtes forcés plutôt bonne
j suis dépité


G-P

11/06/2014 à 23h49

La paro en bas est comment ?
J'aurais viré quelques dents avant de poser des implants, cette bouche ne m'a pas l'air très saine...


Scan10030 ukikhq - Eugenol
vava

12/06/2014 à 10h36

G-P écrivait:
-------------
> La paro en bas est comment ?
> J'aurais viré quelques dents avant de poser des implants, cette bouche ne m'a
> pas l'air très saine...

Ca va être compliqué d’expliquer à cette dame que certaines racines supportant son bridge sont foutues mais qu’une solution de mci pourra lui éviter de rester sans dents.


G-P

12/06/2014 à 14h57

vava écrivait:
--------------

> Ca va être compliqué d’expliquer à cette dame que certaines racines supportant
> son bridge sont foutues mais qu’une solution de mci pourra lui éviter de rester
> sans dents.

C'est clair que ça va être compliqué là...


Amibien

12/06/2014 à 15h11

n. écrivait:
------------
> mon plus gros problème à gérer en 15ans est arrivé aujourd'hui
>
> lors d'un contrôle de routine d'une prothèse sur pilotis provisoire à 3mois post
> op, j'ai constaté une mobilité quasi imperceptible de la prothèse.
> en dévissant , catastrophe : 4 implants mobiles sur les 6
***********************************************************




Les statistiques sont fermes, six implants maxillaires pour 12 dents c'est SOIXANTE % d'échecs

Il faut minimum 8 et dix ou douze c'est encore mieux.

Chez moi pour une ZA maxillaire de 18(28) à 13(23) c'est 5 implants pas moins, alors tes six malheureux implants pour un total !!!! ...


Amibien

12/06/2014 à 15h16

n. écrivait:
------------
il me semble avoir entendu Frédéric chiche
> préciser que le torque idéal se situait plutôt vers 35 Nm pour éviter une
> compression trop forte de l'os
> c était une conf sur la MCI

*****************************************************


J'en connais un qui pose à 200 Nm, alors les vues sur la compression supposée de l'os, il faut la revoir...


Photo pluton1b h9n4ea - Eugenol
pluton

12/06/2014 à 16h03

Amibien écrivait:
-----------------

> J'en connais un qui pose à 200 Nm, alors les vues sur la compression supposée de
> l'os, il faut la revoir...

Ncm Amibien, pas Nm...à 200Nm il doit avoir les bras d'Hulk et aura explosé et l'implant et la clef à cliquet...;-))

et puis je le répète, l'incidence osseuse est design implantaire dépendante...çà ne pose pas de problèmes pour des ID prévus pour, mais tu ne peux pas faire la même chose avec un Nobel replace par ex ni avec un 3i...


Amibien

12/06/2014 à 16h10

pluton écrivait:
----------------
> Amibien écrivait:
> -----------------
>
> > J'en connais un qui pose à 200 Nm, alors les vues sur la compression supposée
> de
> > l'os, il faut la revoir...
>
> Ncm Amibien, pas Nm...à 200Nm il doit avoir les bras d'Hulk et aura explosé et
> l'implant et la clef à cliquet...;-))
>
> et puis je le répète, l'incidence osseuse est design implantaire dépendante...çà
> ne pose pas de problèmes pour des ID prévus pour, mais tu ne peux pas faire la
> même chose avec un Nobel replace par ex ni avec un 3i...
********************************************************


Que nenni, il a une clé spéciale et pose ses implants à la mandibule à plus de 200 Nm...


laurent 02

12/06/2014 à 16h30

Pas 200 Nm mais 200 Ncm , c'est ce que pluton veux dire!
200 Nm = 200 KG posé sur une barre d'un mètre de long ça fait un peu beaucoup sur la mandibule, même avec une clef 'spéciale'


Photo pluton1b h9n4ea - Eugenol
pluton

12/06/2014 à 17h12

laurent 02 écrivait:
--------------------
> Pas 200 Nm mais 200 Ncm , c'est ce que pluton veux dire!
> 200 Nm = 200 KG posé sur une barre d'un mètre de long ça fait un peu beaucoup
> sur la mandibule, même avec une clef 'spéciale'

voilà....;-)

200Nm c'est le couple d'un moteur de voiture et çà m'étonnerait qu'il visse ses implants avec un moteur de voiture branché sur le CA....;-)


n.

12/06/2014 à 19h38

G-P écrivait:
-------------
> La paro en bas est comment ?
> J'aurais viré quelques dents avant de poser des implants, cette bouche ne m'a
> pas l'air très saine..

cliniquement gencive épaisse, mate , aucun saignement au sondage, pas de douleur
courbes fonctionnelles correctes (il y a mieux, mais c'est acceptable )
le bridge a 35 ans je pense qu'il peut encore durer

rapport bénéfice risque : si je refait le bas : nombreux rte à prevoir risque de perdre des dents, difficile de maitriser les couts avec ses incertitudes
benefice nul puisqu'aucune fonction n'est altérée.

je maintien mon choix


n.

12/06/2014 à 19h59

pluton écrivait:

> Ncm...et pas Nm....50Nm c'est à peu près la moitié du couple d'un moteur de
> citadine...;-)...c'est beaucoup trop...
>
> le problème, c'est que l'incidence du couple de serrage sur l'os est aussi
> design implantaire dépendant...et donc que cette valeur "cible" des publis à
> 35Ncm est une erreur car c'est un non sens mécanique...
> 50Ncm sur certains implants c'est trop, et sur d'autres c'est ridicule...un
> interactive ID en 4.3mm de diamètre encaisse sans broncher et sans aucune
> incidence osseuse un couple de serrage de 126Ncm....voir plus (mais là faut
> déposer le porte implant et se reprendre dans le col...) et en 3mm de diamètre
> 96Ncm...(en plus c'est prévu avec une pièce sur le porte implant qui cède à ces
> valeurs)
> >

Nm / N.cm effectivement tout à fait ridicule de ma part, merci d'avoir corrigé

àpropos de 3I : remettre en question le système c'est facile, mais reconnait que peu de marques peuvent afficher un tel recul clinique, je perchiste a penser que c'est un bon système
je l'ai mal maitrisé cette fois
à la mandibule , avec taraudage préalable le couple moyen avec lequel je visse un Implant de 5x11 se situe à 70 N.cm
au maxillaire serrer à 200 N.cm comme l'indique amibien ça doit pas être si fréquent que ça
un implant de 3,25 je le place assez facilement au moteur donc couple maximal de 50 N.cm
au delà on risque de déformer l'hexagone interne
le design des implants coniques a évolué ces dernières années, les spires sont plus marquées


n.

12/06/2014 à 20h07

Amibien écrivait:
-----------------
> n. écrivait:
> ------------
> > mon plus gros problème à gérer en 15ans est arrivé aujourd'hui
> >
> > lors d'un contrôle de routine d'une prothèse sur pilotis provisoire à 3mois
> post
> > op, j'ai constaté une mobilité quasi imperceptible de la prothèse.
> > en dévissant , catastrophe : 4 implants mobiles sur les 6
> ***********************************************************
>
>
>
>
> Les statistiques sont fermes, six implants maxillaires pour 12 dents c'est
> SOIXANTE % d'échecs
>
> Il faut minimum 8 et dix ou douze c'est encore mieux.
>
> Chez moi pour une ZA maxillaire de 18(28) à 13(23) c'est 5 implants pas moins,
> alors tes six malheureux implants pour un total !!!! ...
>

je confesse que j'ai cédé à la mode peut être, je pense que c'est fiable sur 6 implants ostéointégrés sans problème,
je dois reconnaitre que 6implants en MCI , c'est sans filet, Si un implant déconne, le déséquilibre des forces précipite le sort des autres très rapidement,
j'avais en tete la phrase "all on four, none on three" c'est peu être aussi valable pour 6 Implants

on apprend de ses échecs, pour le coup c'est une belle leçon




n.

12/06/2014 à 20h18

puisqu'il faut avancer :

mais interrogations sont les suivantes

en 13 et 23 la mobilité est quasi nulle, la quantité d'os initiale pas énorme (d'ou le choix d'implants de 3,25, n'est il pas judicieux de reposer tout de suite des implant de 4mm + membrane et bioos en cas de fenestration, plutôt que de différer et de se retrouver avec une résorption plus grande encore

en 15 implant de 5 mm

en 16 ca bouge pas mal pense qu'il faudra attendre , la crete est large on doit pouvoir placer un implant de 6 mm (j'étudie la possibilité de placer un implant en 14 à la place du 15 pour éviter proximités des implants


Vos avis sont les bienvenus
merci pour vos remarques


Photo pluton1b h9n4ea - Eugenol
pluton

12/06/2014 à 21h13

n. écrivait:
------------

> àpropos de 3I : remettre en question le système c'est facile, mais reconnait
> que peu de marques peuvent afficher un tel recul clinique, je perchiste a penser
> que c'est un bon système
> je l'ai mal maitrisé cette fois

je ne remets pas en question le système, je te dis juste qu'il existe aujourd'hui des systèmes qui sont plus appropriés pour les MCI, avec des implants prévus et développés pour...

oui il y a des sociétés qui ont un bon recul, 3i, straumann, nobel, zimmer....à propos de zimmer, avant çà s'appelait sulzer medical, et à l'origine çà s'appelait paragon, paragon qui a développé le screwvent et le tappered screwvent...
le mec qui à fait çà, c'est Niznick...et qui est à l'origine d'Implant Direct, la société dans laquelle il a continué de faire évoluer son produit pour être en phase avec les nouveaux protocoles alors que chez 3i j'ai pas vu beaucoup de nouveautés ces dernières années mis à part leur nouvel état de surface à rugosité variable...

bon, c'est une petite parenthèse juste pour dire qu'il n'y a pas que 3i et que tu peux aussi trouver qualité et sérieux ailleurs si tu as des besoins spécifiques pour certaines chir...
y a pas d'ID d'ailleurs, les naturactis eurotek sont vraiment bien aussi, et c'est aussi un exemple (je parle en connaissance de cause puisque se sont des implants que je pose)
d'autres systèmes sont aussi possibles et adaptés


12