Cookie Consent byPrivacyPolicies.cominteractive - Eugenol

interactive

Amibien

11/06/2014 à 18h23

Pluton, tu en penses quoi ? pas trop d'ennuis avec la connexion conique ?

http://site.implantdirect.com/interactive


Photo pluton1b h9n4ea - Eugenol
pluton

11/06/2014 à 18h32

cet implant est une merveille!!!

connexion au top, pièces prothétiques aussi, facilité de pose incroyable...
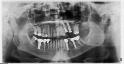
tien, ce matin, extraction de 24/25, curetage méticuleux, forage, comblement du gap, pose des 2 implants qui se sont bloqués à 50Ncm au CA sur les 3 ou 4 mm apicaux, pose des vis de cicat, sutures...35min....tranquille...

désolé, la pano est un poil déformée (la patiente à du bouger...)

Pano  2  hbmbgk - Eugenol

Photo pluton1b h9n4ea - Eugenol
pluton

11/06/2014 à 18h40

vidéo bientôt montée pour le cas précédent...

un autre cas EII MCI sur 11/21...mais en photos (j'ai aussi la vidéo, faut que je la passe sur youtube)

1 t869zn - Eugenol
2 v0ltek - Eugenol
3 rz5ncz - Eugenol
4 k166af - Eugenol
5 gkyzlc - Eugenol
6 fb5vql - Eugenol
7 h4oidg - Eugenol
8 q7vqsz - Eugenol
9 lxiqek - Eugenol
10 x3icur - Eugenol
11 sesulr - Eugenol
15 tsavm7 - Eugenol
17 rcd7v0 - Eugenol
19 vzirgi - Eugenol
23 gy4ot5 - Eugenol
24 gnhyk0 - Eugenol
27 xb8gd5 - Eugenol
32 lelywv - Eugenol
36 qq6o4s - Eugenol
38 ovoosl - Eugenol

Amibien

11/06/2014 à 18h44

pluton écrivait:
----------------
> cet implant est une merveille!!!
>
> connexion au top, pièces prothétiques aussi, facilité de pose incroyable...
> tien, ce matin, extraction de 24/25, curetage méticuleux, forage, comblement du
> gap, pose des 2 implants qui se sont bloqués à 50Ncm au CA sur les 3 ou 4 mm
> apicaux, pose des vis de cicat, sutures...35min....tranquille...
>
> désolé, la pano est un poil déformée (la patiente à du bouger...)
*******************************

deux questions:

ils reprennent le stock de legacy 3 ?

les piliers angulés tu peux les fixer dessus ?


dr.demolay

11/06/2014 à 19h03

je confirme au top, même facilité que les autres legacy. pas de différence.
salut patrick en passant ;)

c est pas une connexion conique!


Photo pluton1b h9n4ea - Eugenol
pluton

11/06/2014 à 19h12

Si conique à 12° comme le Nobel Active...

oui, ils peuvent te reprendre ton stock de legacy3, tout comme les pièces prothétiques non utilisées (blister intact) bien sûr...

tu gardes ta trousse par contre, tu n'auras qu'a acheter les instruments d'insertion pour CA et pour la clef à cliquet (les longs)
donc: hex tool pour CA en 2.3mm et 2.7mm (2 plateformes prothétiques 2.3 rouge/violet et 2.7 jaune) et hex tool long en 2.3 et 2.7mm pour la clef


Amibien

11/06/2014 à 19h17

merci, tu es le meilleur... (:-))


Amibien

11/06/2014 à 19h17

dr.demolay écrivait:
--------------------
> je confirme au top, même facilité que les autres legacy. pas de différence.
> salut patrick en passant ;)
>
> c est pas une connexion conique!
**********************************


Hello , beau gosse, comment vas-tu ?


Photo pluton1b h9n4ea - Eugenol
pluton

11/06/2014 à 19h40

perso, j'ai totalement switché sur l'interactive

tu auras en plus 2 bonus:
la partie colorée du pilier est clipsée...plus besoin de disque carbo...en plus pour l'empreinte çà permet une empreinte fermée clipée quasi aussi précise qu'une à ciel ouvert...

autre bonus: tes vis ne tomberont plus...il y a de nouveau le filetage dans le moignon (bein oui qui dit conique dit plus de friction...et donc filetage dans la pièce prothétique au cas où...pour les instruments de désinsertions à visser, comme feu le TRLT2 zimmer)
par contre chaque plateforme prothétique à son propre diamètre de vis...donc 2 différentes...


Grueavatar nptrc9 - Eugenol
Le Choixpeau magique

11/06/2014 à 19h40

pluton écrivait:
----------------
> Si conique à 12° comme le Nobel Active...

Déjà que le Nobel Active a un cone avec un angle ouvert et pas très profond, il l'ont encore rendu moins profond.

Quid de l'étanchéité ?


Logo m4n3gc - Eugenol
drmarcus

11/06/2014 à 19h50

Voilà ce que l'on arrive à faire mais ce fut limite!

--
"La seule chose promise d'avance à l'échec, c'est celle que l'on ne tente pas" Paul Emile VICTOR

Interactive dx8dv8 - Eugenol

Photo pluton1b h9n4ea - Eugenol
pluton

11/06/2014 à 20h10

Le Choixpeau magique écrivait:
------------------------------
> pluton écrivait:
> ----------------
> > Si conique à 12° comme le Nobel Active...
>
> Déjà que le Nobel Active a un cone avec un angle ouvert et pas très profond, il
> l'ont encore rendu moins profond.
>
> Quid de l'étanchéité ?

la profondeur du cône et son angle n'ont rien à voir avec l'étanchéité...mais alors absolument rien...le gap possible oui (mais entre un cône à 11° type Astra ou 12° Nobel les différences sont vraiment tenues...) mais l'étanchéité non...
une étanchéité tu peux l'obtenir sur un seul petit micron si tout est parfaitement emboité, par contre tu peux mettre 1 km de connexion si c'est usiné comme de la merde çà sera pas étanche
de même si tu as une connexion qui n'est pas franche, si c'est pas parfaitement emboité, tu peux avoir la meilleure du monde tu sera encore moins étanche qu'une connexion à plat...


Logo m4n3gc - Eugenol
drmarcus

11/06/2014 à 20h31

Le Choixpeau magique écrivait:
------------------------------

>
> Déjà que le Nobel Active a un cone avec un angle ouvert et pas très profond, il
> l'ont encore rendu moins profond.

Ok mais je le montre lors des simply smart days. La surface guide est plus longue. La connectique a un petit plus technique qui fait toute la différence! Il existe un auto guidage que vous pouvez visualiser sur les videos du site d'implant direct. Ce "plus" permet un centrage du cône qui évite l'effet d'arc-boutement.


> Quid de l'étanchéité ?
Du fait du placement grandement facilité si étancheité il y a elle n'est forcément pas pire que pour les autres systèmes du même style.

--
"La seule chose promise d'avance à l'échec, c'est celle que l'on ne tente pas" Paul Emile VICTOR


dr.demolay

11/06/2014 à 20h54

oui désolé je pensais au legacy4 pour la connexion, oui conique mais sans rotation... sinon la contacte théorique des cones morses ne peut exister dans la réalité. toujours une trépied en microscopie donc Seul l'usinage est important.

ça me ferait du bien de te voir Patrick!!! peut être venir ou un congres commun?


Grueavatar nptrc9 - Eugenol
Le Choixpeau magique

11/06/2014 à 21h50

pluton écrivait:
----------------
> la profondeur du cône et son angle n'ont rien à voir avec l'étanchéité...mais
> alors absolument rien...le gap possible oui

Quelle différence fais-tu entre "gap" et étanchéité ? Si il y a un espace ce n'est pas étanche, si ?

Tu es en train de nous dire que Bicon et Zimmer c'est la même chose parce qu'on s'en fout de l'angle et de la profondeur ?


Amibien

11/06/2014 à 23h08

Pour l'étanchéité j'ai un truc que j'utilise depuis des lunes, je noie le pas de vis implantaire d'isobétadine à 10 % avant de visser le pilier... ça fait un film vraiment collant qui est stable dans le temps et les bactéries n'aiment pas...


Photo pluton1b h9n4ea - Eugenol
pluton

11/06/2014 à 23h21

Le Choixpeau magique écrivait:
------------------------------

> Quelle différence fais-tu entre "gap" et étanchéité ? Si il y a un espace ce
> n'est pas étanche, si ?

s'il y a un espace, ce n'est pas étanche quel que soit la conicité
en théorie la probabilité d'avoir un espace réduit, voir pas d'espace, avec une connexion conique est plus importante qu'avec un connexion classique, et ce surtout en dynamique cad lors de la mastication...et c'est là qu'est le "nerf de la guerre" car gap limité = effet pompage limité
n'empêche, même avec un très très bon usinage, dans la réalité une pièce prothétique ne porte qu'en 3 points dans la connexion implantaire

>
> Tu es en train de nous dire que Bicon et Zimmer c'est la même chose parce qu'on
> s'en fout de l'angle et de la profondeur ?

oui, un peu...demande à drmarcus ce qui se passe lorsque tu mets un leone neuf avec un cap neuf impacté dessus au lave vaisselle...bein quand tu retires le cap (c'est pourtant censé être étanche avec un vrai cône morse...) y a plein de flotte dedans...
donc: on en revient au début...pour avoir une bonne étanchéité...il faut avant tout un excellent usinage et rien d'autre, la longueur du cône sera surtout là pour limiter le gap et garantir la stabilité de la pièce prothétique lors de la fonction pour limiter l'effet de pompage...point.

le reste, désolé, c'est de "l'enculage de mouche"...


Photo pluton1b h9n4ea - Eugenol
pluton

12/06/2014 à 01h03

si vous pensez que tous les systèmes se valent au niveau agrément chirurgical...

allez les vidéos

.be


.be


Amibien

12/06/2014 à 13h50

Purée, tu prends des risques énormes en fourrant ton bio oss puis en vissant les implants dans la masse de bio oss, de un, et sans membraner l'interface pilier implant, de deux...
Je suis peut-être vieux jeu mais c'est, à mon avis, dangereux d'un point de vue bactériologique.


Photo pluton1b h9n4ea - Eugenol
pluton

12/06/2014 à 13h55

c'est pas la première fois que je fais çà...;-)
et çà me donne plutôt de bons résultats
après tout...le périoste n'est-il pas la meilleure membrane?

par contre il faut veiller à avoir une bonne étanchéité au niveau des sutures...


Amibien

12/06/2014 à 14h12

Il n'y a pas que les bactéries de la poche parodontale, il y a celles dormantes au niveau des anciennes lésions kystiques et celles qui voyagent par le sang. J'ai aussi mordu à l'hameçon jusqu'au jour où... Je ne te raconte pas... (:-((


ceel

12/06/2014 à 18h39

je compte changer de marque d'implants d'ici à quelques mois. la lecture de beaucoup de posts , je tenterais bien implant direct. l'interactive m'interesse, mais je me demande si je ne vais pas plutôt partir sur le legacy 3.
le fait de pouvoir démonter simplement et de ne pas mettre de ciment dans l'espace biologique me rassure.

j'ai l'impression qu' après une mode pour les connexions coniques, on a le droit à un retour du vissé. qu'en pensez-vous ?


Amibien

13/06/2014 à 13h11

Le legacy 3 est génial, cependant je ne le garde que pour les cas où je veux un pilier un rien plus long que celui de l'interactive, bienvenue au club.


Amibien

18/06/2014 à 20h09

Mercredi prochain je devrai poser mes dix premiers interactive... Pluton je te fais une confiance aveugle !

Il reste à voir si je ne vais pas me mélanger les pinceaux, ils m'envoient une trousse interactive complète neuve en cadeau, ça va faire chauffer mon dernier neurone...

Une question, le transfert clipsé il tient bien dans l'impregum, il se déclipse facilement au retrait de l'empreinte ? Et le pilier il se décoince facilement ?


Logo m4n3gc - Eugenol
drmarcus

18/06/2014 à 20h31

Amibien écrivait:
-----------------
> Mercredi prochain je devrai poser mes dix premiers interactive... Pluton je te
> fais une confiance aveugle !

Moi je ne regrette pas de l'avoir fait

>
> Il reste à voir si je ne vais pas me mélanger les pinceaux, ils m'envoient une
> trousse interactive complète neuve en cadeau, ça va faire chauffer mon dernier
> neurone...

Si tu as la trousse aucun risque. Perso j'ai fait un mélange donc ....

>
> Une question, le transfert clipsé il tient bien dans l'impregum, il se déclipse
> facilement au retrait de l'empreinte ? Et le pilier il se décoince facilement ?

Le clip du transfert se declipse si tu n'es pas dans l'axe quand tu forces sur l'implant à la mise en place. Je commence avec ensuite je le retire et je me replace directement dans le FM. Dans l'empreinte je ne sais pas (hormis en théorie comme toi) trop tot et mes mci sont autrement ;-))

Quant au fm il faut être dans l'axe comme tout système. Sinon comme pour les legacy3 si tu le retire après une mise "très serrée" c'est juste un peu plus résistant, normal quoi.

Amuses toi bien! car c'est ce que je ressent avec :-))


--
"La seule chose promise d'avance à l'échec, c'est celle que l'on ne tente pas" Paul Emile VICTOR


12