Cookie Consent byPrivacyPolicies.com1ere fois que ca m arrive!!!!!! - Eugenol

1ere fois que ca m arrive!!!!!!

Vw campersurfvan bmnk1q - Eugenol
enlaye

24/06/2014 à 21h07

c est de comprimer le ligament pdt 1mn 15

c est le temps pour que le systeme lacunaire de weld soit défoncé

faire une anesthesie intraligamentaire avec la citoject.

MEME si tu l as endormi autrement il faut faire une intraligamentaire pour monter la pression.

donc tu rentres l aiguille ( les plus courtes pour la raideur)
il faut forcer quand tu rentres. tu cherches un endroit ou ca rentre bien .

devant ou derriere comme tu veux mais souvent mesial en haut et distal en bas.

tu injectes 1 goutte ou 2

tu prend un instrument au choix pour exercer une pression sur la racine en continu pdt 1 mn ( spatule.sydesmo,tournevis...)

tu reenfonce l aiguille a fond dans le ligament.quand ca rentre bien ca fait frac et là tu injectes clic clic

voila l extraction est faire a 50%

ça t evitera de gangacer l os surtout le vestibulaire.




Darmon - Eugenol
Latin

24/06/2014 à 21h27

C'est quoi le système lacunaire de weld, et pourquoi créer une telle compression?


Vw campersurfvan bmnk1q - Eugenol
enlaye

24/06/2014 à 21h35

eh oui souvent on injecte trop tot.


Darmon - Eugenol
Latin

24/06/2014 à 21h38

Désolé j'ai effacé par erreur mon message précédent. Mais bon, je vois que tu continues sur le même ton humoristique!


Vw campersurfvan bmnk1q - Eugenol
enlaye

24/06/2014 à 21h39



d' ou le post

"C' EST LA 1 ere FOIS QUE CA M ARRIVE "


Vw campersurfvan bmnk1q - Eugenol
enlaye

24/06/2014 à 21h41

faut le remettre !!!


carident

24/06/2014 à 21h43

enlaye écrivait:
----------------

> il faut forcer quand tu rentres. tu cherches un endroit ou ca rentre bien .
>
> devant ou derriere comme tu veux


C'est un tuto pour un viol? :-)


Plus sérieusement, voila une vidéo à voir (en particulier à 7m15 : "une alvéole propre, prête à être immédiatement implantée...")

http://www.wamkey.com/FR/produit/139-285/concept-WAM-Physics-Forceps-Golden-extraction.0u6balaau6sq9tm3846941t745


Vw campersurfvan bmnk1q - Eugenol
enlaye

24/06/2014 à 21h45

pour LATIN

c est le systeme hydraulique de suspension de la dent .
comme la tour eiffel.




Vw campersurfvan bmnk1q - Eugenol
enlaye

24/06/2014 à 21h55



la cito comme un cric hydraulique .

tu pompes et ca monte


Avatar reduit tuudiu - Eugenol
saitosama

24/06/2014 à 21h56

enlaye écrivait:
----------------
> c est de comprimer le ligament pdt 1mn 15
>
> c est le temps pour que le systeme lacunaire de weld soit défoncé
>
> faire une anesthesie intraligamentaire avec la citoject.
>
> MEME si tu l as endormi autrement il faut faire une intraligamentaire pour
> monter la pression.
>
> donc tu rentres l aiguille ( les plus courtes pour la raideur)
> il faut forcer quand tu rentres. tu cherches un endroit ou ca rentre bien .
>
> devant ou derriere comme tu veux mais souvent mesial en haut et distal en bas.
>
> tu injectes 1 goutte ou 2
>
> tu prend un instrument au choix pour exercer une pression sur la racine en
> continu pdt 1 mn ( spatule.sydesmo,tournevis...)
>
> tu reenfonce l aiguille a fond dans le ligament.quand ca rentre bien ca fait
> frac et là tu injectes clic clic
>
> voila l extraction est faire a 50%
>
> ça t evitera de gangacer l os surtout le vestibulaire.
>
>
>



Je préfère la méthode Hodina, l'arrache couronne c'est encore plus rapide :D

Blague à part j'essaierai, mécaniquement le raisonnement tiens la route.


Vw campersurfvan bmnk1q - Eugenol
enlaye

24/06/2014 à 22h00

si tu te le sents a l arrache pouquoi pas .

c est vite fait aussi


carident

24/06/2014 à 22h07

Extractions rapides et atraumatiques... Alvéoles prête à être réimplantées! C'est pour toi Enlaye...



(30 seconde par dent)


Vw campersurfvan bmnk1q - Eugenol
enlaye

24/06/2014 à 22h15

trop bon merci .vais acheter

mais forceps c est un drole de nom.


Avatar reduit tuudiu - Eugenol
saitosama

24/06/2014 à 23h09

enlaye écrivait:
----------------
> si tu te le sents a l arrache pouquoi pas .
>
> c est vite fait aussi

saitosama écrivait:
-------------------

> Blague à part j'essaierai, mécaniquement le raisonnement tiens la route.


Je parlais de ta méthode hydraulique au citoject hein ;)


Vw campersurfvan bmnk1q - Eugenol
enlaye

25/06/2014 à 01h44

HODINA


finalement comment ça a fini ton affaire ?

je parle de ta "1ere fois...."?


Image saznoz - Eugenol
Hodina

25/06/2014 à 02h03

Oh, désolé, je croyais avoir poste la fin rapide de l histoire.
Lors de la réimplantation de la dent, le patient a eu sur le coup une douleur.....
ATB, antalgique et maison.
Le tout après avoir fait l endo ex vivo, la couronne provisoire en sous occlusion et une contention....composite comme j ai pu.
Le lendemain, appel
Douleur toute la nuit.
Il m a maudit....
La dent a été avulsé.
Bon, j y croyais pas trop quand même; 1 ère fois comme tu dis, sur patient diabétique a 20 clopes par jour.........
C était pas gagné d avance, même pour toi, je pense.
Évidemment, entre temps, il a appelé sa sœur ou belle sœur je sais plus, qui est assistante dentaire dans un cabinet parisien.
Ils lui ont dit que j étais fou.
Il a appelé son diabète....idem
Glycémie montée a 2,5.... Jamais arrivé avant...
Je sentais monté un peu le côté vindicatif,
J ai vite réglé l affaire.
Lui expliquant ce que je crois réellement, que mon diag de départ, l idée que je pouvais conserver sa dent était faux, que si la dent est venu comme ca, c est que c était déjà cuit, mais qu on a tout tenté.
On verra pour la suite, ce qu il y a a faire.
En tout cas, merci a tous, même à ceux qui se sont foutus de moi, de leur commentaire, car tout cela permet de me faire une idée de mes erreurs....a ne pas recommencer.
J'ai i investi et essayé 2 fois les Sam.
C est vraiment top.
Et je fais payer le démontage des couronnes 45 euros maintenant, sans culpabilité...
Si il y en a un qui râle je lui sort cette brève, histoire de le calmer.
Moi, et tout cas, ça m a bien calmé.
J'ai i gardé la dent en trophé( ;D)
Et ceci m aura permis de savoir quoi tenter en cas de dent perdue......qui peut être ne le sera en fin de compte pas, Grace a toi.
Merci


Vw campersurfvan bmnk1q - Eugenol
enlaye

25/06/2014 à 02h13

avec le diabete rien n est pareil et c est valable pour tout .

tu n y es pour rien ( mis a part l arrache...)

il ne fallait meme pas essayer de la soigner .

mefie toi de certaines maladies : il est interdit de devitaliser.

style cardiopaties valvulaires etc


Image saznoz - Eugenol
Hodina

25/06/2014 à 10h59

Oui bien sur, je sais...
Mais comme il n était pas prévu que je me retrouve avec la quenotte de monsieur entre le pouce et l index, j ai juste tenté.....sans trop y croire, mais sait on jamais, des fois, la bonne etoile......


Vw campersurfvan bmnk1q - Eugenol
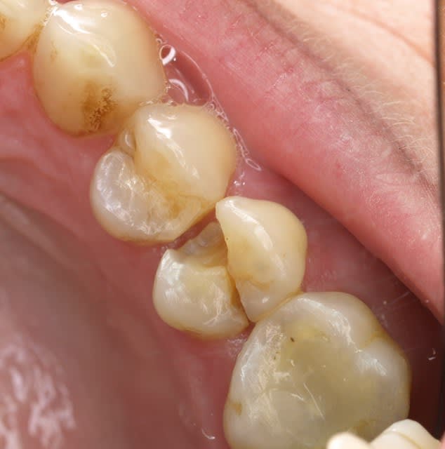
enlaye

25/06/2014 à 13h03

celle là ,elle est bien fendue ;

je me la ferais bien

P6247472 iww67p - Eugenol

Vw campersurfvan bmnk1q - Eugenol
enlaye

25/06/2014 à 13h26

a tous les coups elle est fendue jusqu a l'os.

compliquer a gerer l esthetique avec des limites profondes:

pb paro , empreintes,limite plus haute etc etc ...

pourquoi pas dans ce cas faire extraction reimplantation pour amener la limite dans l espace biologique ?

hummm je le sens bien ce coup .


Orezza gazeuse verre litre ocoxey - Eugenol
casa

25/06/2014 à 13h28

heeu c'est à dire : tu l'extrais , tu la répares , tu la remets ? ou tu l'extrais , tu fais une sorte l’allongement coronaire en la réimplantant . On aimerait connaitre le cheminement de ton raisonnement . maintenant tout dépend de sa fracture .... mais c'est vrai que ces PM sont traîtresses !


Vw campersurfvan bmnk1q - Eugenol
enlaye

25/06/2014 à 13h38

oui c est ça .mieux qu une elongation : pour eviter l aspect d une dent plus longue que les autres .

et puis tu sais je n aime pas les le fils de retraction et tout et tout .
c'st beaucoup plus beau une empreinte nature


Orezza gazeuse verre litre ocoxey - Eugenol
casa

25/06/2014 à 13h50

tu m'as devancé , c'est bien ce qu'il me semblait ....


Vw campersurfvan bmnk1q - Eugenol
enlaye

25/06/2014 à 13h53

de toute façon faut y mettre une ceram .

si la dent est bien taillée et que surtout tu ne mets pas de prov : c est la meilleur facon de faire de l esthetique


Vw campersurfvan bmnk1q - Eugenol
enlaye

25/06/2014 à 14h01


le secret dans ce cas :

pas de provisoire


1...91011...