Cookie Consent byPrivacyPolicies.com1ere fois que ca m arrive!!!!!! - Eugenol

1ere fois que ca m arrive!!!!!!

Photo thumb 45 lnhuvp - Eugenol
wakrap

29/06/2014 à 12h59

Tu as vu, sur un autre fil tout neuf, il semblerait qu'un honorable gentilhomme en perde son latin.
Je te trouvais tendu, à la réflexion je me suis trompé. Il semble que nos éminents confrères le soient encore plus, jusqu'aux appels aux modos. Pour les milieux autorisés, pas de doute, l'inventivité, l'oeil qui brille est une plaie qui sème le doute, cachons là, ignorons là, et si elle se fait trop voyante, dénigrons là du haut de nos publications. Ce n'est pas parce qu'elle est le fruit de personnes douteuses, ou parce qu'elle nuit à des cobaye; c'est, à voir leurs poils du cul si lisses, si défrisés, qu'elle est une perversion de notre exercice, une perversion de l'harmonie consensuelle scientifique si chère à l'HAS, aux Ordres sans soutanes mais avec clochettes tintantes.
Bon, pas le temps de continuer, y a plus important, c'est en direct là, suis occupé.



Edit :là c'est Hinarere qui passe, candidate 7. Cette fille est exceptionnelle.


Edit 2 ; elle a gagné, une ADM, je vous dis.

7 hinarere taputu y5ygqp - Eugenol
6767152 10344943 cl4iby - Eugenol

Vw campersurfvan bmnk1q - Eugenol
enlaye

01/07/2014 à 04h41


Suite a la demande de HODINA:

j ai retrouvé un autre cas d'extraction réimplantation .

extraction 2004
controle 2006

je peux convoquer la patiente pour radio si vous voulez voir 2014. ce qui est sur ç est que les dents sont tjs en bouche.

d'ailleur il faudrait que je le fasse car j avais scellé les 2 coiffes solidarisées au temp-bond.Je n avais pas pu les enlever par la suite.erreur.

2004 eic2ap - Eugenol
2006 beu3qo - Eugenol

Orezza gazeuse verre litre ocoxey - Eugenol
casa

01/07/2014 à 10h25

Impressionnant ! mais faut que tu la tournes ta radio , sinon les spécialistes des 7 erreurs vont te tomber dessus ! j'exige la radio de 2014, pour valider le miracle !


Image saznoz - Eugenol
Hodina

01/07/2014 à 10h29

C est vrai que c est bluffant.
Cela remet en question un sacre nombre de postulat.
Sur un autre post, ce serait avulsion et cas clinique implanto, ce que j aurais compris.


Darmon - Eugenol
Latin

01/07/2014 à 11h24

Dans ce as tu as retiré les deux ou une seule, l'autre servant de contention après réimplantation?


carident

01/07/2014 à 11h41

Hodina écrivait:
----------------

> Cela remet en question un sacre nombre de postulat.

ça ne remet rien en cause. La régénération du desmodonte est déjà connue.
Sinon les traitement orthodontique ne marcherait pas et les dents ne pourraient pas non plus "pousser"...
On nous a toujours dit à la fac que plus vite on réimplante une dent, mieux c'est... et de préserver au mieux le ligament.

http://www.sop.asso.fr/admin/documents/ros/ROS0000217/2063.pdf


> Sur un autre post, ce serait avulsion et cas clinique implanto, ce que j aurais
> compris.

Perso, je n'aurais pas compris. Et c'est pourquoi je préfère de loin la démarche d'Enlaye qui est conservatrice, à celle d'un implanto qui retire une dent juste parce qu'elle bouge un peu ou présente une lésion péri apicale importante...

On aurait pu aussi voir (et on en a déjà vu sur eugenol ou dans notre exercice quotidien) sur un autre post un retraitement canalaire orthograde de ces deux dents, et une guérison tout aussi spectaculaire, avec en outre l'avantage de ne pas faire perdre d'os au niveau cervicale, comme c'est le cas lors de l'extraction/réimplantation (la régénération desmodontale entrant forcément en concurence avec la régénération épithéliale...)


Vw campersurfvan bmnk1q - Eugenol
enlaye

01/07/2014 à 15h02

Latin écrivait:
---------------
l'autre servant de contention
> après réimplantation?

oui c est ca je n en ai enlevé qu une .je ne sais plus laquelle . meme pas sur que c etait la dent causale que j ai choisi d enlever d ailleurs .si faut je l ai choisie a ploum-poum .....ç est toi que j enleverais !


Orezza gazeuse verre litre ocoxey - Eugenol
casa

01/07/2014 à 15h12

y'a aussi pique nique douille c'est toi l'andouille ... mais c'est plus aléatoire !


Vw campersurfvan bmnk1q - Eugenol
enlaye

01/07/2014 à 15h17

CARIDENT,

Je n'ai ai pas l impression d avoir perdu de l os en cervical ,au contraire .

ça merite un controle 2014 pour voir.

ça va encore me couter un resto cette histoire ....mais si ça peut faire avancer la science....

et si on faisait une cervicale une saignée a la petite boule diamant style switching la prochaine fois ?
. plus facile pour voir la difference radiologique au fur du temps !on va faire comme ça .


Darmon - Eugenol
Latin

01/07/2014 à 16h20

ha ha ha !

Mais bon si tu pensais qu'il y avait une dent causale, tu aurais peut-être repris les traitements canalaires, non? Ah, pardon, c'est vrai, tout vient de l'os, la dent, le canal et ce qu'il y a dedans on s'en fout. Mais alors pourquoi parles-tu de dent causale alors?

Mais bon, c'est vrai que tu as l'air d'en avoir pas mal de cas qui ont marché apparemment. On nous aurait donc menti avec ces histoires de résorption et d’ankylose???


carident

01/07/2014 à 20h05

Voilà, j'ai trouvé mon 1er cas d'extraction/réimplantation ; une dent fêlée... Je vais essayer!!!!! :-)


Darmon - Eugenol
Latin

01/07/2014 à 20h23

Moi j'ai vu un patient avec une belle lésion à mi-hauteur radiculaire. A priori pas un candidat pour une chir apicale puisqu'à l'apex pas d'image louche. J'attends les images du cone beam... Je vais peut-être me lancer? Ou pas? Je vous tiens au jus! Et si à l'extraction il n'y a que la moitié de la racine qui vient, c'est que ce n'était pas un bon candidat, et qu'il fallait extraire de toute façon.


Vw campersurfvan bmnk1q - Eugenol
enlaye

01/07/2014 à 20h26

vas y petit .

N'oublies pas que ce n est pas un jeu ,fais le avec compassion et avec envie .
N'oublies pas non plus que tu ne seras pas l'unique responsable si ça marche donc pas d égo pendant le geste.

vas y petit !


Vw campersurfvan bmnk1q - Eugenol
enlaye

01/07/2014 à 22h09

casa écrivait:
--------------
" pour valider le
> miracle !"



bien sur que c est un miracle :
quand tu reçois l indigent avec un sourire sincere et rassurant ,il va faire en sorte de guerrir rien que pour te remercier .

Il est là le miracle .


Darmon - Eugenol
Latin

01/07/2014 à 22h12

Je dis ça sans rire, vu que je n'extraie que quand il n'y a vraiment plus rien à faire (dent pourrie de manière intrinsèque). Extraire et poser un implant plutôt que de tenter un retraitement ou une chir à rétro ce n'est pas trop mon truc (je ne fais pas d'implanto). A la limite sur un parodonte sain mais avec une lésion carieuse ou une fracture infra-osseuse, je suis plutôt pour la traction ortho si la racine est assez longue. Ca me semble plus sûr. Au moins plus conventionnel. Mais s'il faut cureter, la traction ortho ça ne suffit pas. Et si la lésion ne se porte pas à la chir apicale... pourquoi ne pas tenter un accès par l'alvéole directement puis réimplanter? Dans la mesure où la racine est encore le meilleur des implants. Je craindrais juste que le patient ait hyper mal et de passer pour un apprenti sorcier. Comment est-ce-ce que tu as géré ce genre de stress toi? Que dis-tu au patient : genre "c'est le traitement de la dernière chance, ce n'est pas sût que ça marche, rappeler si ça vous fait mal?"


Orezza gazeuse verre litre ocoxey - Eugenol
casa

01/07/2014 à 22h48

Sur un autre sujet , certains patients remarchent après avoir consulté un certain Isaie , ici , des dents sont sauvées de façons peu conventionnelles . mai mais ce forum est devenu la Bible !! Dieu existe ....


Vw campersurfvan bmnk1q - Eugenol
enlaye

02/07/2014 à 03h12

encore un petit cas .

je n ai pas de radio de départ .

ccm sur ic , ancienne , ic a clavette qui faisait clic cloc depuis un moment ." ça bouge mais ça tient bien " .

"par contre je reviens du costa rica il y avait des gauches magnifiques glaçies qui en finissaient plus. robert y s est gavé....et TA couronne elle m'a gonflé le palais pouvais plus ni manger ni parler ...tu m'as gaaaché mes vacances"

Espece de c...... :

1 on est en hiver et je me pele les c..
2 tu branles rien et toi tu va a costa comme au cinema
3 ton robert peux pas le voir y sait meme pas surfer
4 on dirait pas que t'y as pas mangé ,loukoum sur patte
5 et puis d abord ç est pas MAAA couronne,la mienne ç est la molaire

plan de traitement: Son compte est bon.

Arrache couronne façon HODINA pour faire sauter l ic coincé par la clavette . ca pue ç est mou et voila que ça pisse du fond,et meme du palais par une carie infra osseuse.
j essaie de netoyer les canaux et la je la creve pour de bon !
Faut faire attention a ce qu on pense !!
Remplissage au lentulo pate comme on ferait le plein de la vespa histoire de se détendre + .rdv pour extraction.
Alors là si il y en a un qui me dit que ç est pas un cas exteme,il faudra qu'il m explique sur qui il fait des implants ou des bridges.

Le rdv suivant j'suis en pleine forme et elle aussi .
j enleve la dent avec les 1 mn 15 d attente comme evoqué precedemment. ç est long 1mn d attente .tu as l impression de te retrouver dans l assenceur avec un inconnu .elle,elle te regarde avec ses grands yeux hagard et toi goguenard tu lui regardes....rien , ya rien a regarder .alors tu penses ..".Peuchere elle n y est pour rien en fait , un loukoum mais mignonette....Bon aller vaille que vaille on va lui faire le coup de l aller retour...plus que 10s et c est bon... ."
Donc j enleve et je remet...a l envers ( ça paraissait bizard d'avoir a forcer autant) donc re-enleve et remet a l endroit.
atromatique tu disais ?
ci joint la radio le jour du sc33 +taille, 3 semaines apres et sans contention.





P6047214 rsei5x - Eugenol
P6047221 st6kgn - Eugenol
P6047223 spi5yg - Eugenol

Orezza gazeuse verre litre ocoxey - Eugenol
casa

02/07/2014 à 10h42

Mais c'est PAL possible !


carident

02/07/2014 à 12h23

enlaye écrivait:
----------------

>
> "par contre je reviens du costa rica il y avait des gauches magnifiques glaçies
> qui en finissaient plus. robert y s est gavé....et TA couronne elle m'a gonflé
> le palais pouvais plus ni manger ni parler ..."
>
> Espece de connasse :
>
> 1 on est en hiver et je me pele les c..
> 2 tu branles rien et toi tu va a costa comme au cinema
> 3 ton robert peux pas le voir y sait meme pas surfer
> 4 on dirait pas que t'y as pas mangé ,loukoum sur patte
> 5 et puis d abord ç est pas MAAA couronne,la mienne ç est la molaire
>
> plan de traitement: j' vais la crever.Son compte est bon.


J'entrave que dalle à tes discussions avec tes patients... T'es dans quel coin? :-)


>
> Arrache couronne façon HODINA pour faire sauter l ic coincé par la clavette .


L'arrache couronne pour déposer un ic claveté, c'est le meilleur moyen d'avoir une fracture... Pour le coup, je comprend mieux le plan de traitement "j'vais la crever"... mdr



> ca pue ç est mou et voila que ça pisse du fond,et meme du palais par une carie
> infra osseuse.

Fracture cervicale de la racine due à la dépose musclée de l'IC claveté, ou carie infra osseuse?



> Donc j enleve et je remet...a l envers ( ça paraissait bizard d'avoir a forcer
> autant) donc re-enleve et remet a l endroit.
> atromatique tu disait ?


Non... On aurait dit traumatique, si t'avais insisté... Du genre faire mordre la patiente sur un enfonce couronne pour faire rentrer la racine dans l'alvéole...


> ci joint la radio le jour du sc33 +taille, 3 semaines apres et sans contention.
>

La dent est sauvée, et c'est bien l'essentielle... Cela dit, heureusement que la nature est bien faite.


Vw campersurfvan bmnk1q - Eugenol
enlaye

02/07/2014 à 15h35

CARIDENT tu dors de mieux en mieux ou quoi ?

tu es de plus en plus detendu . tout est bien qui finit bien.


Vw campersurfvan bmnk1q - Eugenol
enlaye

03/07/2014 à 02h40



comme promis resto-radio

ci joint 2 radios de controle a 10 ans .
pas de resorption au tiers apical pas d ankylose .

P7027485 da4j6e - Eugenol
P7027488 s1b8s7 - Eugenol

Orezza gazeuse verre litre ocoxey - Eugenol
casa

03/07/2014 à 10h55

Miracle , certifié . Au suivant ... au bout de 3 tu gagnes ...la canonisation . Tu vas remplacer Ste Apolline ...J'y crois moi .


Vw campersurfvan bmnk1q - Eugenol
enlaye

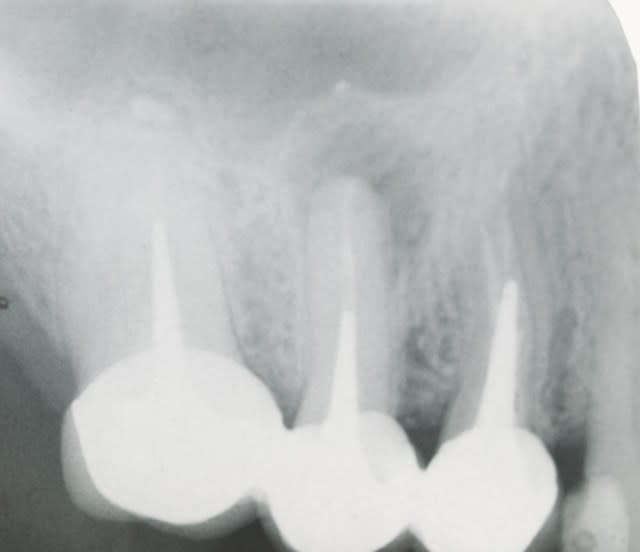
04/07/2014 à 14h49

tout frais la radio du 01.07.2014 de la premo extraite et reimplantée le 20.05.2014.

01.07 - Eugenol
1 radio debut kxjnwo - Eugenol

Orezza gazeuse verre litre ocoxey - Eugenol
casa

04/07/2014 à 19h00

Encore ! mais là c'est trop tôt pour valider ... Alors des explications: l'endo , tu la refaites ? quand ? avant , pendant ? bon pas après quand même !! Il n'y a que moi qui suit , ou quoi ? Tout le monde a disparu ....

Edit : ah non t'as moins 1 , y'en a un qui suit et qui n'aime pas .. c'est déjà ça !


Vw campersurfvan bmnk1q - Eugenol
enlaye

04/07/2014 à 19h31

casa passe au 51 . tu ne suis plus . au pire essayes le ricard

c est le 2 eme cas dont j ai parlé precedemment .
l endo a eté faite avant l extraction .

Apres endo xs061m - Eugenol

1...121314...