Cookie Consent byPrivacyPolicies.com1ere fois que ca m arrive!!!!!! - Eugenol

1ere fois que ca m arrive!!!!!!

Vw campersurfvan bmnk1q - Eugenol
enlaye

15/05/2015 à 11h08


plutonjunior écrivait:
----------------------
" J'ai lu plus ou moins en diagonal cette discussion et je dois avouer que je me suis bien fendu la poire en vous lisant..."

eh ,ç est bien le but d'eugenol:-)))
tu peux le lire en diagonal au café ,en vertical dans le metro , en horizontal dans ton lit ,d' arriere en avant ou d'avant en arriere et toujours dans ton lit .








Utilisateur banni

15/05/2015 à 13h05

enlaye écrivait:
----------------
> eh ,ç est bien le but d'eugenol:-)))
> tu peux le lire en diagonal au café ,en vertical dans le metro , en horizontal
> dans ton lit ,d' arriere en avant ou d'avant en arriere et toujours dans ton lit

dis moi juste une chose, personnellement j'ai appris à faire dans l'ordre quand il y a une belle lésion apicale:
1) traitement endo
2) si échec retraitement
3) si encore échec obturation à rétro
4) si encore échec extraction + implant

toi tu ne fais jamais de résection apicale?
si y a échec du retraitement tu fais toujours ta technique d'extraction réimplantation?

je me ferai un plaisir de lire ta réponse de bas en haut histoire de changer un peu mes habitudes :-)


Orezza gazeuse verre litre ocoxey - Eugenol
casa

15/05/2015 à 13h13

C'est pas vrai que c'est reparti !


Avatar transparent iqadnc - Eugenol
adhoc

15/05/2015 à 13h28

Ba c'est normal, des jeunes arrivent, des vieux partent. Tels le flux et le reflux, les sujets importants reviennent régulièrement. Va la vie!


Orezza gazeuse verre litre ocoxey - Eugenol
casa

15/05/2015 à 14h09

Important , certes, mais il me semble que pas mal , ici, ont pris Enlaye pour un dinguo , et le voilà "à la mode" comme quoi un forum .. faut vraiment pas s'y fier ..ha ha ha ! ou le prendre comme "argent comptant" . Et poser des onlay reste et restera marginal même si c'est très "joli" !


Vw campersurfvan bmnk1q - Eugenol
enlaye

16/05/2015 à 11h10

plutonjunior écrivait:
----------------------

« dis moi juste une chose, personnellement j'ai appris à faire dans l'ordre quand il y a une belle lésion apicale:
> 1) traitement endo
> 2) si échec retraitement
> 3) si encore échec obturation à rétro
> 4) si encore échec extraction + implant
toi tu ne fais jamais de résection apicale? « 

Si bien sur , en faisant une extraction résection ,réimplantation .:-)) ça m 'est arrivé . Plus maintenant .
- - - - - - - - -

«  si y a échec du retraitement tu fais toujours ta technique d'extraction réimplantation? « 

hé , quoi faire d'autre ? Une résection ? Ça en fait partie !

Il ne faut pas voir ,en l'extraction - réimplantation , un nouveau traitement ,mais plutôt un nouvel outil ,ou une nouvelle voie d' accès . On va dire un outil visuel : tu enlèves ,tu regardes , et tu en profites pour faire ce que tu as à faire . Une façon d’économiser sur un microscope ou une 3D .

maintenant , si tu veux savoir ,où je mettrais l' E – R  dans ton ordre des choses , j'aurais dit entre 2 et 3 il a quelque temps , pour être politiquement correct , mais si tu as lu en entier le topic ,tu t’apercevras que je l'ai aussi placé entre 1 et 2 , et même en 0 càd avant le 1 .
en fonction de quoi ? Sais pas , c'est comme je le sens .
Que l'on soit bien d'accord , minot , je ne dis pas que ç est ce qu'il faut faire , mais , je le fais et je vous en fais profiter . Après à toi de réfléchir ….
Je reconnais ,qu'il est difficile de se sortir mentalement de ce que l'on a appris .
J'ai certainement plus d'aptitudes que toi à ne pas être sous l'influence des cours , puisque je n'y suis jamais allé . Ben ,oui , je croyais que j’étais shaper-surfer , on peu pas tout faire non plus:-))).
De souvenir , le seul exam que je'n ai pas eu en septembre , ç est l'examen d'urine à la visite médicale . Bon ,de la honte , suis retourné a la fac après la thèse , et tout mis bout a bout ,j'y suis resté + de 10 ans:-)),
tout ça pour te dire que ce que tes certitudes d' aujourd’hui ne seront certainement plus les mêmes demain .et donc , tu peux réellement dire :

«  je me ferai un plaisir de lire ta réponse de bas en haut histoire de changer un peu mes habitudes :-) « 


Orezza gazeuse verre litre ocoxey - Eugenol
casa

16/05/2015 à 11h36

Enlaye , t'es formidable pour bouger tous ces cerveaux sclérosés par leur lecture sur des supports papiers ou électroniques et qui ont oublié de laisser parler leur instinct ... L'instinct , voilà une aptitude qui va totalement disparaître de notre société . Comme tu le dis , tu le sens ou pas ... j'aime ! Dommage pour toi, plutonjunior , tu n'auras pas de réponse documentée avec des petits 1 , 2 ou 3 .. à toi de voir si tu le sens ou pas .. et ça c'est pas à la porté de tous ..mais déjà tu as l'esprit ouvert .. ça devrait t'aider à laisser parler ton instinct .


Vw campersurfvan bmnk1q - Eugenol
enlaye

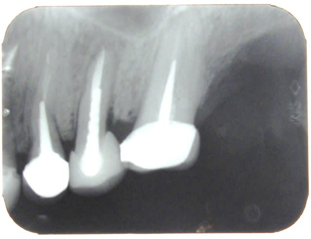
28/05/2015 à 20h13

radio de controle du cas de la pm .
au niveau de l'apex ca va
parcontre au niveau de la racine , l'image n'est pas tres jolie . une chose de sure , cela ne ressemble pas a un ligament .
bon le cliché n"est pas net non plus , ceci expliquant aussi cet aspect flou
pas de mobilité
belle gencive
bref d'un point de vue clinique RAS.

28.05 - Eugenol

6szjws718sv1jksw54v4mpj3a6cu - Eugenol
vulpi

29/05/2015 à 00h04

casa écrivait:
"Enlaye , t'es formidable pour bouger tous ces cerveaux sclérosés par leur lecture sur des supports papiers ou électroniques et qui ont oublié de laisser parler leur instinct"

C'est un vent nouveau qui fait prendre de l’altitude à nos cerveaux lents. Bravo.


Orezza gazeuse verre litre ocoxey - Eugenol
casa

29/05/2015 à 00h25

Joli .


Image saznoz - Eugenol
Hodina

07/09/2015 à 01h40

Des nouveaux cas d'ERI, Enlaye?
On ne te vois plus sur le forum...
J'aimerais que tu nous décrive un peu mieux ton astuce pour avulser
" c est de comprimer le ligament pdt 1mn 15

c est le temps pour que le systeme lacunaire de weld soit défoncé

faire une anesthesie intraligamentaire avec la citoject.

MEME si tu l as endormi autrement il faut faire une intraligamentaire pour monter la pression.

donc tu rentres l aiguille ( les plus courtes pour la raideur)
il faut forcer quand tu rentres. tu cherches un endroit ou ca rentre bien .

devant ou derriere comme tu veux mais souvent mesial en haut et distal en bas.

tu injectes 1 goutte ou 2

tu prend un instrument au choix pour exercer une pression sur la racine en continu pdt 1 mn ( spatule.sydesmo,tournevis...)

tu reenfonce l aiguille a fond dans le ligament.quand ca rentre bien ca fait frac et là tu injectes clic clic

voila l extraction est faire a 50%

ça t evitera de gangacer l os surtout le vestibulaire."

Merci

--
😁😁😁😁😁😁
Le Blog dentaire.
www.arcad-dentaire.fr
((-----Vivre le sourire Hollywoodien-----))


Vw campersurfvan bmnk1q - Eugenol
enlaye

07/09/2015 à 14h36

Hodina écrivait:
----------------
Des nouveaux cas d'ERI, Enlaye?
On ne te vois plus sur le forum...


hop là les affaire reprennent ,Hodina , ç est ma reprise aujourd'hui !! plus d'un mois sans remplaçant ni repondeur , y sont tous comme des fous ....
oui oui j'ai un cas pour bientot ,une 34 avec un beau kyste colector ....




Vw campersurfvan bmnk1q - Eugenol
enlaye

07/09/2015 à 14h36

.


Vw campersurfvan bmnk1q - Eugenol
enlaye

07/09/2015 à 14h37

.


Vw campersurfvan bmnk1q - Eugenol
enlaye

07/09/2015 à 14h38

.


Vw campersurfvan bmnk1q - Eugenol
enlaye

07/09/2015 à 14h39

.doublon


Orezza gazeuse verre litre ocoxey - Eugenol
casa

07/09/2015 à 15h17

Ouf , j'ai cru que le mistral t'avait emporté vers d'autres contrées ! bon retour , tu vas voir ça n'a pas changé !


Vw campersurfvan bmnk1q - Eugenol
enlaye

07/09/2015 à 15h27

Hodina écrivait:
----------------

J'aimerais que tu nous décrive un peu mieux ton astuce pour avulser
" c est de comprimer le ligament pdt 1mn 15........."

ben je crois que j'ai tout dit ,en fait .
On dirait que le fait de luxer la dent pendant un peu plus d'une minute, le ligament le prend mal et lâche prise.
On peut exercer une tension de 2 façons :
Soit par l'intérieur (pression hydraulique de la citoject)
soit par l'extérieur en appuyant avec un instrument, celui que tu as sous la main..
1 mn a tordre la dent sans rien faire d’autre , ça parait long , un drôle de moment , un peu comme quand tu prends l’ascenseur, ç ‘est long , personne cause …pas un bruit , pas un geste , rien …

Avant de partir en congé, j’ai pris en urgence la femme d’un confrère pour extraire une 47. Un parisien sympathique en vacance. Il est venu avec tout un sac carrefour rempli d’objets de chirurgie divers au cas où, .en mer il en aurait eu besoin. (Prévoyant le marin) .Un poseur d’implant prés de la retraite … (ça use ce métier …). Il n’a pas bien compris :
À commencer par mon tiroir de chirurgie : 2 daviers et 2 élévateurs + 1 spatule a ciment et basta
Puis pendant cette minute où il ne se passe rien il me regardait étonné en regrettant d’être venu voir un fou !
Au final la longue 47 avec les longues racines fusionnées et presque synostoses est montée toute seule, et du coup il compte bien repousser sa retraite pour s’amuser un peu à ce jeux.
Moralité une cotisation de moins a la carchident , ç est déjà ça :-))) + un restau a son retour en escale :-)))interessant rien que pour ça non ?



Vw campersurfvan bmnk1q - Eugenol
enlaye

07/09/2015 à 15h31

casa écrivait:
--------------

bon retour , tu vas voir ça n'a pas changé !


bonjour casa :-))) j espere que ça va rigoler plus pour cette rentrée :-))))



Images 3 nesubi - Eugenol
zizine78

07/09/2015 à 19h19

Youpi! Enlaye est revenu!
Moi aussi, j'ai eu peur que tu ne nous reviennes pas...


Orezza gazeuse verre litre ocoxey - Eugenol
casa

07/09/2015 à 19h30

Ouais Enlaye mais pour faire ça il faut qu'il reste un minimum de truc à se mettre sous la dent ! un truc assez costaud pour permettre de mettre la dent sous pression (bref dans les mors du davier) .... et en pratique c'est assez rare ou alors souvent ça pète façon noisette dans le casse noisette ! Par contre c'est vrai cette technique marche très bien pour les PM chez les gamins ...merci les ortho ....Hep on relance pas le débat sur les ortho .. et les extractions de PM !


Vw campersurfvan bmnk1q - Eugenol
enlaye

08/09/2015 à 01h15

casa écrivait:

--------------

" Ouais Enlaye mais pour faire ça il faut qu'il reste un minimum de truc à se mettre sous la dent ! un truc assez costaud pour permettre de mettre la dent sous pression (bref dans les mors du davier) .... et en pratique c'est assez
rare ou alors souvent ça pète façon noisette dans le casse noisette ! "


Hummm, pas si rare que ça , casa .
si ç est une racine seule ou fragile ou bien a ras de l'os , ç est encore plus interessant : tu peux tjs faire un petit trou dans l'os le long de la racine et tu rentres un truc dedans ( genre bernard ou autre....) pour faire un levier , mais tu le fais gentillement , ç est le temps qui importe ,et non pas la force appliquée ..

Je reconnais que les fifilles ont cette force naturelle à devenir casse ….. noisettes , avec le temps :- ))))

bonsoir zizine ,suis quand meme pas tonton christobal ,non plus ...:-))))))


Orezza gazeuse verre litre ocoxey - Eugenol
casa

08/09/2015 à 11h14

ha ha ha , je m'en doutais que l'histoire du casse noisette allait rebondir ... Donc si je comprends bien tu exerces une force de haut en bas (pour la mandibule par exemple) bref tu appuies sur le dent pour la faire remonter ..logique ! parce que hier justement après avoir écrit le truc sur les PM ben bingo la patiente: d'après une jolie 14 à extraire (rhaaa ...) alors moi j'exerce une force latérale durant un bon moment puis dans l'autre sens durant aussi un bon moment .. je recommence au besoin et à un moment ça lâche avec le signe des "petites bulles" juste avant ! ne me dites pas que vous avez bu de l'Orezza avant de venir ! mais en fait le principe est le même si j'ai bien tout suivi !


G-P

08/09/2015 à 11h18

Elle est bien cette technique mais j'ai peur que de comprimer l'os longtemps comme cela puisse entraîner une nécrose ...


Vw campersurfvan bmnk1q - Eugenol
enlaye

08/09/2015 à 12h03

G-P écrivait:
-------------
" Elle est bien cette technique mais j'ai peur que de comprimer l'os longtemps comme cela puisse entraîner une nécrose ..."


Hahaha tjs dans l’excès le G-P , mais ç est pas faux ce que tu dis , surtout si tu es atteint de narcolepsie au moment de l’appui :-)))
De toute façon bien sur qu’il y a nécrose des tissus périphériques à la dent après une extraction, d’où l’intérêt de la phase détersive cicatricielle …
On est quand même loin d’une tension osseuse :
Du a un sous forage lors de la pose d’un implant
Du a un mauvais appui de crochet trop fort sur une dent
Voir un ttt ortho un peu raide.


1...171819...